Anyone here help me understand what's going on with my lower back (x-ray)

Squirtoutmabooty

Squirtoutmabooty

🫣
Joined
Feb 23, 2019
Posts
6,382
Reputation
7,916
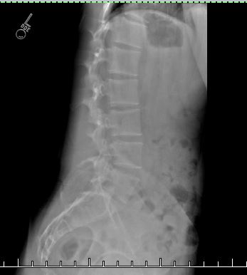
So this is my spine when I'm bent over
X3



Are my low back muscles probably too tight/compressed or could it be something else? This is me lying down on my side and the curve is still there so what do I do?
X1
 
  • +1
Reactions: Copemaxxing
Judging by the photo you submitted. You have:
  • Non-Celiac Gluten Sensitivity
  • Morgellons
  • Wilson's Thyroid Syndrome
  • Adrenal Fatigue
  • Chronic Lyme Disease
 
  • Hmm...
  • +1
Reactions: Squirtoutmabooty and Sikkunt23
Judging by the photo you submitted. You have:
  • Non-Celiac Gluten Sensitivity
  • Morgellons
  • Wilson's Thyroid Syndrome
  • Adrenal Fatigue
  • Chronic Lyme Disease
what?
 

Similar threads

Boneless Alex
Replies
0
Views
112
Boneless Alex
Boneless Alex
yvngbreadstick
Replies
24
Views
413
bonemaxxer001
B
Prøphet
Replies
15
Views
491
Kroker
Kroker
christian_18097
Replies
12
Views
305
christian_18097
christian_18097
SvtvnTr14d
Replies
23
Views
846
Th3Man
Th3Man

Users who are viewing this thread

Back
Top