Best facial implants for Ascension.

FuckFace5

FuckFace5

Iron
Joined
Jan 12, 2025
Posts
21
Reputation
25


Implants
Inplants are a type of cosmetic Surgery where you dont need to break and replace bones. They are used to fill places where isn't enough bone and improves that specific area. You have a lot of different inplants for different places of the face to fix your specific flaw. They are always custom made to your liking and end result. You have inplants in different materials like Titanium, Polyetheretherketone, silicone or even your own bone. These materials have different functions and act differently, they also have a different price tag for usage. Some materials last longer then others. I am also going to talk about the inplants and what it exactly improves.



Jaw inplants:

Gonial inplants

Gonial inplants are a inplant in the jaw that cover the gonions. They can fix the width of your jaw and can make your gonians More flared, this gives a more angular appearance.

Price = 4.000 to 12.000$


Chin inplants


Chin inplants are a inplant that can fix the size and shape of your Chin. This is useful if you have a poor Chin shape or have a mild recession.

Price = 3.000 to 6.000$


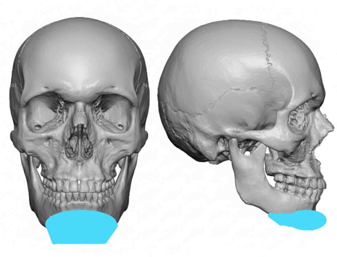
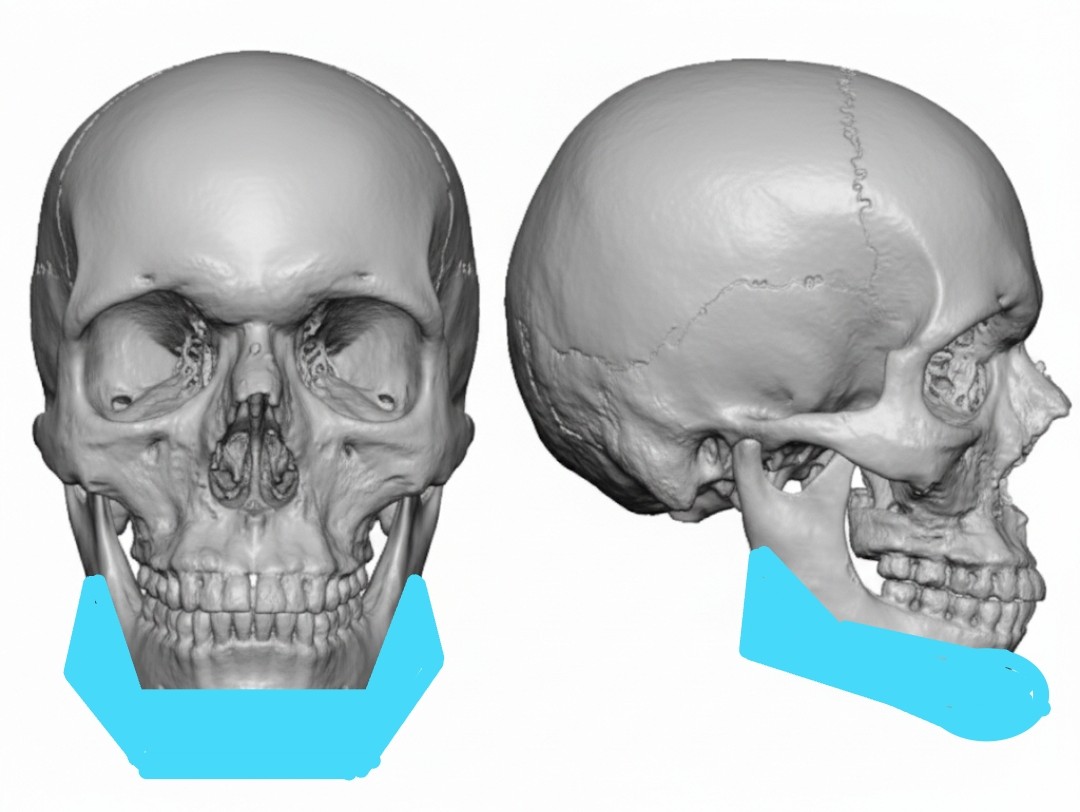
Full jaw inplants


A full jaw inplant covers your whole entire jaw transforming your lower third. Changes the width, shape, size and projection of the jaw.


Price = 15.000 to 30.000+



Eye inplants:

Infra-orbital inplants


These inplants sit right under the eyes and give more eye support. It improves the eye area and gives healthier looking under eyes.

Price = 5.000 to 15.000$


Supra-orbital inplants

These inplants sit right above the eyes and give more shape to the browridge to possibly make you more masculine. It also improves the shape of your eyes and possibly make your eyebrows lower-set.

Price = 5.000 to 15.000$


Full orbital box osteonamy

This is kinda infra + supra implants and also the corners of the eyes. It completely changes the shape of the eyes and possibly even the spacing. It makes the eyes more deep-set and possibly more masculine.



Midface inplants:

Midface inplant
This inplant covers a part or even the whole midface kind of giving you a face lift and fixing folds om the skin. This does not fix recession it only makes the midface even and fixes gaps where isnt enough support.



I know that these examples are a bit bad but you can still kinda see what it looks like. The prices vary a lot per country, inplant and material.

 
  • +1
Reactions: gio729
DNRRRRRRRR
 
  • +1
Reactions: MaracasMogs
1761488986683
 
omg first im first investor. give me rep
DNRRRRRRRR
dnr and its one of the most oranized threads ive read
 
  • JFL
Reactions: MaracasMogs

Similar threads

FuckFace5
Replies
5
Views
100
VampyrMaxx
VampyrMaxx
bl33dfvr
Replies
18
Views
397
bl33dfvr
bl33dfvr
M
Replies
4
Views
141
lurking truecel
lurking truecel
mogsteroid
Replies
9
Views
786
gigacumster3000
gigacumster3000

Users who are viewing this thread

Back
Top