Ekşi Sözlük'ten Expander Kullanan Bir Kişinin Entrysi

D

Duck Eats Bagel

Bronze
Joined
Apr 3, 2025
Posts
326
Reputation
591
Entrynin linki: https://eksisozluk.com/entry/31883390

Msee

Ekran grnts 2025 09 18 173817

Kullandığı expander türü sarpe olmalı çünkü burnunun düzelmesinin transversal genişletmeyle olmasının imkanı yok, vertikal genişletme olmalı ki maksilla ileriye doğru büyüdüğünde dudaklar daha da kalınlaşır. Keşke böyle ortodontistlere denk gelebilsek, damak paletim çok dar olmasına rağmen gittiğim ortodontist damon braces ı bile bana fazla görüyor. Yazan kişi expanderi 2013 senesinde Çapa'da yaptırmış @Charm0

@MogEater @ZerefDragnee1l @hightestuser @swaggy
 
  • +1
Reactions: Trenmaxx1, ZerefDragnee1l, Kayra139 and 5 others
Entrynin linki: https://eksisozluk.com/entry/31883390

View attachment 4123793

View attachment 4123792

Kullandığı expander türü sarpe olmalı çünkü burnunun düzelmesinin transversal genişletmeyle olmasının imkanı yok, vertikal genişletme olmalı ki maksilla ileriye doğru büyüdüğünde dudaklar daha da kalınlaşır. Keşke böyle ortodontistlere denk gelebilsek, damak paletim çok dar olmasına rağmen gittiğim ortodontist damon braces ı bile bana fazla görüyor. Yazan kişi expanderi 2013 senesinde Çapa'da yaptırmış @Charm0

@MogEater @ZerefDragnee1l @hightestuser @swaggy

4863261 images 4

Ekran grnts 2025 09 18 181001

13 yaşındayım 4-5 ay sonra 14'e gireceğim, bu yaşta sarpe yaptırmak mümkün mü? @hightestuser
 
  • +1
Reactions: Auchelius
ameliyattan bahsetmemis sarpe olsa bahsederdi
Haklısın ama öyle tam anlamıyla bir ameliyat yapıldığını düşünmüyorum çünkü @MogEater small cut yapıldığını söylemişti, kendisi daha iyi biliyor. Benim bildiğim lokal anesteziyle maksillayı ikiye ayırıp expanderi takıyorlar.
 
  • +1
  • Hmm...
Reactions: Auchelius and why not me?
palet expander yüzümü sikmezse yapılacak lisetesinde
 
  • +1
Reactions: Arisylva
palet expander yüzümü sikmezse yapılacak lisetesinde
olm senin yüzün zaten kare holov chikslerin dahada uncanny olur öyle
 
  • +1
Reactions: Auchelius, dogu and Duck Eats Bagel
Entrynin linki: https://eksisozluk.com/entry/31883390

View attachment 4123793

View attachment 4123792

Kullandığı expander türü sarpe olmalı çünkü burnunun düzelmesinin transversal genişletmeyle olmasının imkanı yok, vertikal genişletme olmalı ki maksilla ileriye doğru büyüdüğünde dudaklar daha da kalınlaşır. Keşke böyle ortodontistlere denk gelebilsek, damak paletim çok dar olmasına rağmen gittiğim ortodontist damon braces ı bile bana fazla görüyor. Yazan kişi expanderi 2013 senesinde Çapa'da yaptırmış @Charm0

@MogEater @ZerefDragnee1l @hightestuser @swaggy
Tag için teşekkürler, bi sorum var sence bana isteğim üzerine marpe yerine sarpe yaparlar mı, daha hala 16 olduğum için sütürlerim tam fused olmayabilir o yüzden sarpeyi tercih etmeyeceklerini düşünüyorum hatta en kötü ihtimal sende damaklığa gerek yok bile diyebilir ortodontist. Dilim üst damağıma pek sığmıyor bu arada o yüzden istiyorum expander ve zygolarımın biraz daha çıkık olması benim için iyi olur. Uyku apnesi larplamayı düşünüyorum, yakınımdakiler bazen horladığımı söylüyor nedeni solunum yolumun dar olması değilde deviated septum ve alerjik rinitim olduğundan dolayı büyük ihtimal ama uyku apnesi larplayarak sarpe yaptırabilirsem çok iyi olur.Bu arada randevum pazartesi gittiğimde thread açıcam ortodontistle konuştuklarım hakkında. Şimdilik sarpe/marpe(dilim damağıma sığmıyor ve nefes zorlukları yaşıyorum nefes almamı kolaylaştırır diye isticem, braces(overbite hatta belki deep bite denilebilecek bi bite'ım var ,yaptırabilirsem self ligating braces isticem ama devlette büyük ihtimalle yapmazlar) ve recessed mandibleımdan dolayı belki 1 mm forward growth sağlar diye herbst apareyi tarzı bişey isticem umarım iyi geçer.
 
  • +1
Reactions: Kayra139 and Duck Eats Bagel
Devlette olma ihtimali yüzde kaç
 
  • Hmm...
  • +1
Reactions: Duck Eats Bagel, ZerefDragnee1l and Auchelius
ben küçükken emzik emmediğim için doğuştan geniş zaten
 
  • Love it
Reactions: Duck Eats Bagel
Entrynin linki: https://eksisozluk.com/entry/31883390

View attachment 4123793

View attachment 4123792

Kullandığı expander türü sarpe olmalı çünkü burnunun düzelmesinin transversal genişletmeyle olmasının imkanı yok, vertikal genişletme olmalı ki maksilla ileriye doğru büyüdüğünde dudaklar daha da kalınlaşır. Keşke böyle ortodontistlere denk gelebilsek, damak paletim çok dar olmasına rağmen gittiğim ortodontist damon braces ı bile bana fazla görüyor. Yazan kişi expanderi 2013 senesinde Çapa'da yaptırmış @Charm0

@MogEater @ZerefDragnee1l @hightestuser @swaggy
trde ortho tamamen over falan ben ortho işlerini halledebilsem orgdan giderim amk baska biseye ihtiyacim cok oldugunu sanmıyorum şu asimetriyi ve pallate işini çözdüğüm sürece kalan iş büyümek zaten ama özelde bile çok zor ki ben devlette deneyeceğim şansımı
 
  • +1
Reactions: Duck Eats Bagel, why not me? and xlegend
palet expander yüzümü sikmezse yapılacak lisetesinde
benim yüzümü bilen tüm elemanlar yok oldu amına koyim kimseye de atmak istemiyorum şimdi galiba @yadih biliyordu ama ya
 
  • +1
Reactions: Duck Eats Bagel
trde ortho tamamen over falan ben ortho işlerini halledebilsem orgdan giderim amk baska biseye ihtiyacim cok oldugunu sanmıyorum şu asimetriyi ve pallate işini çözdüğüm sürece kalan iş büyümek zaten ama özelde bile çok zor ki ben devlette deneyeceğim şansımı
kanka valla diyom iranda yaptır ortho orda baya iyi doktorlar var :forcedsmile:
 
  • +1
Reactions: Duck Eats Bagel
benim yüzümü bilen tüm elemanlar yok oldu amına koyim kimseye de atmak istemiyorum şimdi galiba @yadih biliyordu ama ya
bende biliyom
 
  • +1
  • JFL
Reactions: Duck Eats Bagel and Arisylva
ben küçükken emzik emmediğim için doğuştan geniş zaten
Ben 2 sene emzik emmişim, sadece diş yapısını bozuyor diye biliyorum fakat dişlerim geniz eti oluşuncaya kadar düzdü ve yüzüm de deforme değildi.

Geniz etinden önce:
4966007 front 4966006 Before adenoid 4966030 side

Sonra:
4966112 adenoidsonra3 4966111 adenoidsonraside2 4966114 adenoid sonra
 
Devlette olma ihtimali yüzde kaç
Devlette de aparey veya expander yaptırılabilir fakat sıra gelmesi uzun sürer ama diş teli yaptırmak neredeyse imkansız çünkü aparey ve expandere nazaran sıra gelmesi çok daha uzun sürüyor.
 
Last edited:
  • +1
Reactions: xlegend
trde ortho tamamen over falan ben ortho işlerini halledebilsem orgdan giderim amk baska biseye ihtiyacim cok oldugunu sanmıyorum şu asimetriyi ve pallate işini çözdüğüm sürece kalan iş büyümek zaten ama özelde bile çok zor ki ben devlette deneyeceğim şansımı
Bence senin durumun çok ciddi değil ve göreceğin tedavi, yüzü deforme birisinin göreceği tedaviye kıyasla daha kolay. Dediğim gibi eğer ortodonti için tanıdık birisi yoksa devlette sıra gelmesi için uzun süre beklersin ama expander için beklemeye değer aslında
 
Ben 2 sene emzik emmişim, sadece diş yapısını bozuyor diye biliyorum fakat dişlerim geniz eti oluşuncaya kadar düzdü ve yüzüm de deforme değildi.

Geniz etinden önce:
View attachment 4126176View attachment 4126183View attachment 4126184

Sonra:
View attachment 4126174View attachment 4126175View attachment 4126177
dediğim gibi emzik emmediğim için şükür emziği reddetmişim bebekken bu da dişlerin birleşik ve sıkı damağın geniş olmasını sağlamış ama geniz eti çok sıkıntı yaşamadım ama yaşayanı gördüm çevremde geçmiş olsun senin için asla bitmedi
 
  • Love it
Reactions: Duck Eats Bagel
Öncelikle müsait olmadığımdan dolayı anlayış gösterdiğin için çok sağol
bi sorum var sence bana isteğim üzerine marpe yerine sarpe yaparlar mı, daha hala 16 olduğum için sütürlerim tam fused olmayabilir o yüzden sarpeyi tercih etmeyeceklerini düşünüyorum hatta en kötü ihtimal sende damaklığa gerek yok bile diyebilir ortodontist. Dilim üst damağıma pek sığmıyor bu arada o yüzden istiyorum expander ve zygolarımın biraz daha çıkık olması benim için iyi olur.
maksilla süturlarının kaynaşmış olup olmadığını öğrenmek için lateral sefalometrik röntgen çektirmen gerekir, @hightestuser sarpe ve msenin sadece süturları kaynaşmış kişilere verildiğini söylemişti, bilemiyorum, yani buna bakılırsa kemik yaşı 10-15 civarı olan hastaların iskeletsel ankraj kullanılmadan da damak paleti genişletilebilir. iskeletsel kazanım için en iyi expanderlar sarpe ve mse, sarpe mse ye göre çok daha iyi bir tercih çünkü daha fazla transversal genişletmenin yanı sıra forward growth da sağlıyor
mse daha konservatif genelde 6-8 mm civarında kalabiliyor vakaya göre bazen 10mm ye yaklasblıyor sarpe ise cerrahiyle oldugu icin 10mm üstüne cıkabiliyor yani genisletme kapasitesi cok daha yüksek ve garantili.
sarpe/mse, ortayüz için ilaç niteliğindedir ve bu expanderlar sayesinde istediğin gibi çıkık elmacık kemikleri elde edebilirsin. marpe yerine kesinlikle sarpe iste.
Uyku apnesi larplamayı düşünüyorum, yakınımdakiler bazen horladığımı söylüyor nedeni solunum yolumun dar olması değilde deviated septum ve alerjik rinitim olduğundan dolayı büyük ihtimal ama uyku apnesi larplayarak sarpe yaptırabilirsem çok iyi olur
(dilim damağıma sığmıyor ve nefes zorlukları yaşıyorum nefes almamı kolaylaştırır diye isticem,
Benimde dilim damağıma sığmıyor fakat çoğu ortodontist solunum yolu darlığı, damak şekli, dilin damağa sığmaması vb. şeylere bakmıyor, direk alt diş kemeriyle üst diş kemerinin birbiriyle uyumlu genişlikte olup olmadığına bakıyorlar yani kamuflaj ortodonti uygulamaya çalışıyorlar. Eğer ki gideceğin ortodontist bilgili biriyse; damak genişliğini-şeklini ve yaşadığın fonksiyonel-estetik sıkıntıları göz önünde bulundurarak sana sarpe yapıp, alt ve üst çenenin birbiriyle uyumlu bir şekilde genişlemesi için de alt diş kemerini dental olarak genişletecek lastikler verir.
O bahsettiğim lastikler: https://looksmax.org/threads/i-stop...n-and-started-lower-palate-expansion.1561570/
Lower palate expansion, I have 6 of them on my molars and incisors.
1754466194142
Ayrıca ortodontistin uyku apnesi ve solunum yolları için seni kbb ye yönlendirme ihtimali de var, inşallah randevun iyi geçer.
braces(overbite hatta belki deep bite denilebilecek bi bite'ım var ,yaptırabilirsem self ligating braces isticem ama devlette büyük ihtimalle yapmazlar) ve recessed mandibleımdan dolayı belki 1 mm forward growth sağlar diye herbst apareyi tarzı bişey isticem
kesinlikle self ligating braces olarak damon braces iste ve deep bite için rubber bands (class 2 elastikler) ve forsus apareyinden kesinlikle uzak dur çünkü bu ikisi maksillanı recessed yapar. Sana daha iyi tavsiyelerde bulunmam için rica etsem bite ının ve yan profilinin fotoğrafını atabilir misin? Yani fotoğraf istemekten kastım deep bite için 2 farklı şekilde çalışan aparey türü var, birincisi azı dişlerini yükseltip de çene konumunu değiştiren, ikincisi temporomandibular eklem sayesinde mandibulayı ileriye doğru taşıyan. Bu iki apareyden hangisini seçmelisin onu ancak bite ın ve yan profilin sayesinde karar verebilirim.
 
  • +1
Reactions: Trenmaxx1, why not me?, Charm0 and 1 other person
Öncelikle müsait olmadığımdan dolayı anlayış gösterdiğin için çok sağol

maksilla süturlarının kaynaşmış olup olmadığını öğrenmek için lateral sefalometrik röntgen çektirmen gerekir, @hightestuser sarpe ve msenin sadece süturları kaynaşmış kişilere verildiğini söylemişti, bilemiyorum, yani buna bakılırsa kemik yaşı 10-15 civarı olan hastaların iskeletsel ankraj kullanılmadan da damak paleti genişletilebilir. iskeletsel kazanım için en iyi expanderlar sarpe ve mse, sarpe mse ye göre çok daha iyi bir tercih çünkü daha fazla transversal genişletmenin yanı sıra forward growth da sağlıyor

sarpe/mse, ortayüz için ilaç niteliğindedir ve bu expanderlar sayesinde istediğin gibi çıkık elmacık kemikleri elde edebilirsin. marpe yerine kesinlikle sarpe iste.


Benimde dilim damağıma sığmıyor fakat çoğu ortodontist solunum yolu darlığı, damak şekli, dilin damağa sığmaması vb. şeylere bakmıyor, direk alt diş kemeriyle üst diş kemerinin birbiriyle uyumlu genişlikte olup olmadığına bakıyorlar yani kamuflaj ortodonti uygulamaya çalışıyorlar. Eğer ki gideceğin ortodontist bilgili biriyse; damak genişliğini-şeklini ve yaşadığın fonksiyonel-estetik sıkıntıları göz önünde bulundurarak sana sarpe yapıp, alt ve üst çenenin birbiriyle uyumlu bir şekilde genişlemesi için de alt diş kemerini dental olarak genişletecek lastikler verir.
O bahsettiğim lastikler: https://looksmax.org/threads/i-stop...n-and-started-lower-palate-expansion.1561570/

Ayrıca ortodontistin uyku apnesi ve solunum yolları için seni kbb ye yönlendirme ihtimali de var, inşallah randevun iyi geçer.

kesinlikle self ligating braces olarak damon braces iste ve deep bite için rubber bands (class 2 elastikler) ve forsus apareyinden kesinlikle uzak dur çünkü bu ikisi maksillanı recessed yapar. Sana daha iyi tavsiyelerde bulunmam için rica etsem bite ının ve yan profilinin fotoğrafını atabilir misin? Yani fotoğraf istemekten kastım deep bite için 2 farklı şekilde çalışan aparey türü var, birincisi azı dişlerini yükseltip de çene konumunu değiştiren, ikincisi temporomandibular eklem sayesinde mandibulayı ileriye doğru taşıyan. Bu iki apareyden hangisini seçmelisin onu ancak bite ın ve yan profilin sayesinde karar verebilirim.
furkan sarıkaya eleman

dm bak nolur
 
  • +1
Reactions: Duck Eats Bagel
View attachment 4123828

View attachment 4123837

13 yaşındayım 4-5 ay sonra 14'e gireceğim, bu yaşta sarpe yaptırmak mümkün mü? @hightestuser
Daha doğru bir değerlendirme yapabilmem için mevcut diş ve çene durumunuzla ilgili birkaç bilgi daha alabilir miyim? Örneğin üst çene darlığınızın derecesi, daha önce ortodontik tedavi görüp görmediğiniz veya varsa röntgen/CBCT görüntüleriniz gibi. Bunları paylaşırsanız size daha net yardımcı olabilirim.
 
  • JFL
Reactions: Duck Eats Bagel and maarda
Daha doğru bir değerlendirme yapabilmem için mevcut diş ve çene durumunuzla ilgili birkaç bilgi daha alabilir miyim? Örneğin üst çene darlığınızın derecesi, daha önce ortodontik tedavi görüp görmediğiniz veya varsa röntgen/CBCT görüntüleriniz gibi. Bunları paylaşırsanız size daha net yardımcı olabilirim.
Bu threadleri okuyabilirsin:






 
Cope
 
  • Woah
Reactions: Duck Eats Bagel
Bence senin durumun çok ciddi değil ve göreceğin tedavi, yüzü deforme birisinin göreceği tedaviye kıyasla daha kolay. Dediğim gibi eğer ortodonti için tanıdık birisi yoksa devlette sıra gelmesi için uzun süre beklersin ama expander için beklemeye değer aslında
fazla diş, 12 13 civarı çürük, bozuk diş şekilleri, bozuk diş yapısı, fazla dişten dolayı çenenin kaymasından ötürü uzun süreli dilin sol üst damağa sağa göre fazla baskı uygulaması yüzünden sol damağın sağ damaktan daha geniş olması ve yüzün sağ tarafının daha aşağıda olması, genel çene asimetrisi, damak asimetrisi yüzünden zygo ve göz asimetrisi
ve daha bir sürü ortho sorunum var sırf bunları fixlemek bile 5 yıl alacak en az devlette
 
  • +1
Reactions: Duck Eats Bagel
fazla diş, 12 13 civarı çürük, bozuk diş şekilleri, bozuk diş yapısı, fazla dişten dolayı çenenin kaymasından ötürü uzun süreli dilin sol üst damağa sağa göre fazla baskı uygulaması yüzünden sol damağın sağ damaktan daha geniş olması ve yüzün sağ tarafının daha aşağıda olması, genel çene asimetrisi, damak asimetrisi yüzünden zygo ve göz asimetrisi
ve daha bir sürü ortho sorunum var sırf bunları fixlemek bile 5 yıl alacak en az devlette
neler taktıracaksın yada neler olucaksın
 
  • +1
Reactions: Duck Eats Bagel
kesinlikle degil,
Tmj splint + braces ilk yilinda hayatim degisti, elbette cok fazla soft max yaptim sacims bile ozen gostermiyodun filan ama hayayimi degisti orthodonthi, ancak benim dislerim bozuktu + tmj bozuktu + hala kiriklar filan var tedavi sonunda ilgilenecegiz onlarla, expander 2. sicrayisimdi, mtn olmami saglayab seyler expander + gym ( ikiside %50 tamamlandi, gym 15kg kas daha koymaliyim, expander 6-8mm daha genisletmeliyiz )

Tmj splint + braces zamanindan itibaren migren 0, cene agrilari 0, ayrica suan hyrax expander + braces + 10 afet tad vida var, yani tedavi %40 filanim daha.

Not face asymmetry %80 duzeltti, ozelliklr tmj splint + braces,

orthodonthi + Bmibf + skinteethhair life
 
  • +1
  • Love it
Reactions: Serialsuicide, Duck Eats Bagel and why not me?
bozuk diş şekilleri, bozuk diş yapısı,
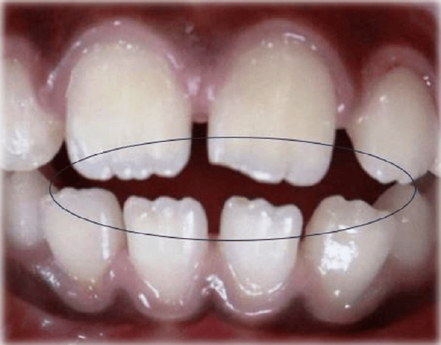
Ön dişlerinin uçları bu şekilde tırtıklı ve şeffaf mı?
Article river 4f09c300847311efa0dc9b32357984cf Fig 1
ve daha bir sürü ortho sorunum var
eğer ki zamanında çözülemeyecek veya hiç çözülmeyecek problemlerin yoksa bence sıkıntı değil. Mesela benim kemik yaşım büyük çıkabilir, beni anlayabilecek daha doğrusu "bilgili" bir ortodontiste denk gelemeyebilirim, maddi durumumuz kısıtlı ve ailem beni zaten anlamadığı için doktora bile götürmeyebilir. Umarım sende bu gibi durumlar söz konusu değildir
 
Ön dişlerinin uçları bu şekilde tırtıklı ve şeffaf mı?
View attachment 4129362

eğer ki zamanında çözülemeyecek veya hiç çözülmeyecek problemlerin yoksa bence sıkıntı değil. Mesela benim kemik yaşım büyük çıkabilir, beni anlayabilecek daha doğrusu "bilgili" bir ortodontiste denk gelemeyebilirim, maddi durumumuz kısıtlı ve ailem beni zaten anlamadığı için doktora bile götürmeyebilir. Umarım sende bu gibi durumlar söz konusu değildir
kemik yaşım 16 (14 yaşındayım) bilgili ortodontist ? :d trde yok zaten aynı şekilde ailevi durumum yok devlette sürünüyorum birkaç dişim böyle evet nerden bildin aq
 
  • +1
Reactions: Duck Eats Bagel
kemik yaşım 16 (14 yaşındayım) bilgili ortodontist ? :d trde yok zaten aynı şekilde ailevi durumum yok devlette sürünüyorum birkaç dişim böyle evet nerden bildin aq
Şimdi anlamadım gittiğin doktor plakların açık, rahat uzarsın growth spurt yaşarsın vb şeyler söylemişti, sonrasında sen yapay zekaya x rayi atmıştın, kemik yaşının 16 olduğu çıkmıştı. Doktorun dediği değil de yapay zekanın tanısı mı doğru ve bundan emin misin?

Ekran grnts 2025 09 20 165516 Ekran grnts 2025 09 20 165636

Hizalanması bozuk olan herkesin dişleri o şekildedir, kapanışın düzeldiğinde mamelonlar zamanla aşınacaktır.
 
Last edited:
Şimdi anlamadım gittiğin doktor plakların açık, rahat uzarsın growth spurt yaşarsın vb şeyler söylemişti, sonrasında sen yapay zekaya x rayi atmıştın, kemik yaşının 16 olduğu çıkmıştı. Doktorun dediği değil de yapay zekanın tanısı mı doğru ve bundan emin misin?

View attachment 4129444View attachment 4129443

Hizalanması bozuk olan herkesin dişleri o şekildedir, kapanışın düzeldiğinde mamelonlar zamanla aşınacaktır.
hasiktir amk overbiteımın olduğu %100 guaranteed mi şimdi neyse en kötü törpületiriz doktora ve lifefuel verdiğin için teşekkürler
 
  • +1
Reactions: Duck Eats Bagel
Entrynin linki: https://eksisozluk.com/entry/31883390

View attachment 4123793

View attachment 4123792

Kullandığı expander türü sarpe olmalı çünkü burnunun düzelmesinin transversal genişletmeyle olmasının imkanı yok, vertikal genişletme olmalı ki maksilla ileriye doğru büyüdüğünde dudaklar daha da kalınlaşır. Keşke böyle ortodontistlere denk gelebilsek, damak paletim çok dar olmasına rağmen gittiğim ortodontist damon braces ı bile bana fazla görüyor. Yazan kişi expanderi 2013 senesinde Çapa'da yaptırmış @Charm0

@MogEater @ZerefDragnee1l @hightestuser @swaggy
Kral expander ile ilgili birkaç sorum var. sadece ergenliğin bittiği zaman yapılmalı değil mi? eger normal bir çene yapısına sahipsen ve plak, diş teli vs şeyleri takarsan ergenliğin altın çağında aynı şey yaşanır mı? şu anki operasyonumda dişlerimin düzene girip mandiblemin birkaç mm öne gitmesi planlanıyor da(kendi etkisi yuzunden) merakımdan sordum. birde plagı cıkarınca bi baktım elmacık kemiğim falan hayvan gibi derinleşmişti aq
 
Last edited:
  • Hmm...
Reactions: Duck Eats Bagel
hasiktir amk overbiteımın olduğu %100 guaranteed mi şimdi neyse en kötü törpületiriz doktora ve lifefuel verdiğin için teşekkürler
hayır direk maloklüzyon olmasına gerek yok, eğer dişlerin sadece çapraşıksa yine mamelonlar aşınmaz. Kapanış bozukluğu olmadığını varsayarsak; diş telleri ile dişlerin hizalandığında mamelonlar zamanla kendiliğinden geçer veya overbite/deepbite vardır kapanışın düzeltilir yine mamelonlar zamanla aşınır, törpületmene gerek kalmaz merak etme. Mesela benim dişlerim tel takmadan önce rezil durumdaydı, ön alt-üst dişlerim öne doğru çapraşıktı ve köpek dişlerimde abnormal eruption sapması vardı. Şu anda dişlerim tamamen düzeldi fakat overbite olduğu için mamelonlar hala aşınmamış durumda.

1758378973213

4-5 ay önce bu fotoğrafı çekmiştim, şeffaflık gözükmüyor ama uçlarının tırtıklı olduğu anlaşılıyor.
 
  • +1
Reactions: ZerefDragnee1l
hayır direk maloklüzyon olmasına gerek yok, eğer dişlerin sadece çapraşıksa yine mamelonlar aşınmaz. Kapanış bozukluğu olmadığını varsayarsak; diş telleri ile dişlerin hizalandığında mamelonlar zamanla kendiliğinden geçer veya overbite/deepbite vardır kapanışın düzeltilir yine mamelonlar zamanla aşınır, törpületmene gerek kalmaz merak etme. Mesela benim dişlerim tel takmadan önce rezil durumdaydı, ön alt-üst dişlerim öne doğru çapraşıktı ve köpek dişlerimde abnormal eruption sapması vardı. Şu anda dişlerim tamamen düzeldi fakat overbite olduğu için mamelonlar hala aşınmamış durumda.

View attachment 4129519

4-5 ay önce bu fotoğrafı çekmiştim, şeffaflık gözükmüyor ama uçlarının tırtıklı olduğu anlaşılıyor.
hem overbite var hem dişlerin çarpık ama jutting yapıyom yemek yerken ön dişlerimi kullanmak için
 
  • +1
Reactions: Duck Eats Bagel
kanka sana hep soracam unutuyom ya bu bendeki fazla diş çekilirse kemik erimesi olur mu? hadi diyelim olmaz mantıken tel ile diş hizalanırken o boşluğu kapatmak için üst çenem küçülmek zorunda kalmayacak mı yoksa arka dişler mi o genişletme işini devralacak?
@Furkan Sarıkaya
 
  • Hmm...
Reactions: Duck Eats Bagel
Kral expander ile ilgili birkaç sorum var. sadece ergenliğin bittiği zaman yapılmalı değil mi? eger normal bir çene yapısına sahipsen ve plak, diş teli vs şeyleri takarsan ergenliğin altın çağında aynı şey yaşanır mı? şu anki operasyonumda dişlerimin düzene girip mandiblemin birkaç mm öne gitmesi planlanıyor da(kendi etkisi yuzunden) merakımdan sordum. birde plagı cıkarınca bi baktım elmacık kemiğim falan hayvan gibi derinleşmişti aq
hiç diş teli taktırdın mı?
 
kanka sana hep soracam unutuyom ya bu bendeki fazla diş çekilirse kemik erimesi olur mu? hadi diyelim olmaz mantıken tel ile diş hizalanırken o boşluğu kapatmak için üst çenem küçülmek zorunda kalmayacak mı yoksa arka dişler mi o genişletme işini devralacak?
@Furkan Sarıkaya
o fazladan diş çapraşık mı ve tam olarak hangi dişlerinin yanında?
 
hayır direk maloklüzyon olmasına gerek yok, eğer dişlerin sadece çapraşıksa yine mamelonlar aşınmaz. Kapanış bozukluğu olmadığını varsayarsak; diş telleri ile dişlerin hizalandığında mamelonlar zamanla kendiliğinden geçer veya overbite/deepbite vardır kapanışın düzeltilir yine mamelonlar zamanla aşınır, törpületmene gerek kalmaz merak etme. Mesela benim dişlerim tel takmadan önce rezil durumdaydı, ön alt-üst dişlerim öne doğru çapraşıktı ve köpek dişlerimde abnormal eruption sapması vardı. Şu anda dişlerim tamamen düzeldi fakat overbite olduğu için mamelonlar hala aşınmamış durumda.

View attachment 4129519

4-5 ay önce bu fotoğrafı çekmiştim, şeffaflık gözükmüyor ama uçlarının tırtıklı olduğu anlaşılıyor.
bendede var tırtıklılık
 
  • +1
Reactions: Duck Eats Bagel
bendede var tırtıklılık
eğer kapanış bozukluğu olmadığı halde dişlerin tırtıklıysa mineralizasyon eksikliği olma ihtimali vardır veya dişlerine darbe almış olabilirsin??
1758457058611

mamelon varsa bu şekilde olur:
Main qimg 9ceaa43b285f3fe08e65275832bb9777 lq
 
  • +1
Reactions: Serialsuicide

Users who are viewing this thread

Back
Top