
Osteogenesis
Bronze
- Joined
- Jun 15, 2021
- Posts
- 305
- Reputation
- 457
https://link.springer.com/article/10.1007/s00238-013-0809-4Background
The malaris muscle is a superficial and fine facial muscle. It is not well known because of its inconsistency in Caucasians. It could play a role in midface aging prevention as that observed in subjects with prominent cheekbones like Asian people. The purpose of this study was to explain how the malaris muscle is able to produce an anti-aging effect on the midface.
Methods
We first analysed a hundred pictures of human faces of different age sex and race to better comprehend identifying characteristics of aging in particular of the midface. Then anatomical dissections were done on fresh cadavers to identify the malaris muscle associated with radiological studies. Finally, in vivo experiments with botulinum toxin A (Botox) and lidocaine (Xylocaine) permitted to precise the action of the malaris muscle on the midface and principally on the malar fad pad.
Results
These anatomical and functional studies demonstrated that the malaris muscle acts as a dynamic link between the Superficial Muscular Aponeurotic System (SMAS) of the upper part of the face and the SMAS of the midface, producing a lifting effect of the soft tissues of the cheek particularly the malar fat pad. This action is the due to presence of the dermal terminations of the malaris muscle.
Conclusions
The malaris muscle could be an anti-aging link of the midface. Our findings suggest a new approach for the comprehension of the global facial aging.
Introduction
Many researches have been undertaken to understand the midface aging and to try to correct it. Beautiful publications with very details anatomical studies advocated the relaxation of deep structures such as ligaments or septa [1, 2]. They are all, however, unfortunately contradicted by the fact that before a midface lifting, the patient often immediately corrects the midface skin ptosis by pulling gently on the temple [3, 4]. This observation implies that midface aging could be also the consequence of a superficial process.
Another important observation regarding midface aging is that patients of Asian and black people (Fig. 1) age much less than Caucasian population. It was also observed that Caucasian subjects with prominent cheekbones [5] often demonstrate a midface aging process which resembles that of Asian and black people. These above facts suggest that something in or around the cheekbone plays an anti-aging role in the midface aging, but what?
Fig. 1
Youthful aspect of a 57-old-African woman with midface soft tissues well in place around the zygoma
Full size image
A previous report based essentially on anatomic dissections of the periorbital region and the malaris muscle, endeavours to explain the function of this muscle in this anti-aging process [5]. This function is unfortunately confirmed by the increased utilisation of Botox (Botulinumtoxin Type A, Allergan, Inc., Irvine, CA, USA) and its undesirable side effects in the periorbital region; in fact sometimes when injected too laterally to the orbicularis oculi muscle definitive malar depression can be observed [6]. These undesirable effects of Botox on a voluntary subject demonstrate the action of the malaris muscle (Fig. 4). The aim of the current study is to report the probable anti-aging effect of the malaris muscle which reinforces the muscular component of the Superficial Muscular Aponeurotic System (SMAS) of the periorbitalis and midface regions. To date, few reports have mentioned the function of the SMAS, a more static structure that can be pulled in order to improve classical face liftings.
This study cannot however be considered a definitive scientific demonstration of the anti-aging effect of the malaris muscle on the midface. It simply aims to consider observations, anatomical dissections and in vivo experiments on the malaris muscle that could play a role in the comprehension of the midface aging.
Materials and methods
In 1992, the author published a study entitled Anatomical Variations of the Nasolabial Fold. This article was written after observing the dissection of a fresh face cadaver, and a superficial muscular structure which appeared to originate from the zygomaticus major muscle. At first observation, this superficial structure was believed to be an anatomical variation of the zygomaticus major with morphological consequences on the nasolabial fold which was precisely the subject of this article [7]. However, after researches in old anatomic textbooks [8, 9], it was concluded that this superficial muscular structure was in fact an atrophic malaris muscle. In order to study the functional consequences of this muscle on the face between 1997 and 2001, only fresh faces were dissected because regular anatomical preparations easily destroyed these fine superficial muscular structures; these complementary studies demonstrated the functional importance of the modiolus and its influence on the nasolabial fold formation [10, 11]. It was noted that there was a strong likelihood that subject with prominent cheekbones presented a malaris muscle. Thanks to the Institute of Anatomy of Lausanne in Switzerland, enable selection of fresh cadavers with prominent cheekbones for dissections was carried on. Since 2003, ten fresh hemi faces have been dissected, all from Caucasian origin. The results of these dissections have demonstrated that the malaris muscle was always present, although on some occasions it was trophic (Fig. 2) but sometimes nothing more than a few muscular fibres mixed with malar fat pad. The majority of these dissections were conducted before the introduction of the powerful magnetic resonance imaging (MRI), and now with selected young patients with prominent cheekbones, it is easy to locate the malaris muscle.
Fig. 2
After removing the malar fat pad, the body of the malaris is well identifiable
Full size image
Thank to careful observation during dermatological periorbital surgery, malaris muscles were often found, which were at times very trophic. The malaris muscle was never seen during a facial lifting, probably because people with malaris muscle do not need this kind of procedure.
Additionally, another field of study has been the analysis and attentive observation of hundreds of pictures of human faces of different ages, sex, and ethnics (Fig. 1), which contributed to the identifying characteristics of aging, notably of the midface. [12].
The increased utilisation of Botox has brought with it an important and new field of experimentation, notably because of its undesirable effects on the periorbital region [6, 13]. In fact, a single application with only a few units of Botox on a voluntary subject in the origin of the malaris muscle on the fascia temporalis superficialis had produced dramatic effects and was even potentially dangerous because of the risk of non-recovery (Fig. 4). For this reason, no other attempts were carried out with Botox and fortunately, in this case, the subject recovered the totality of the function of his malaris muscle. A second application was administered to the same subject using Xylocaine 2 % in the malaris. Photos taken before and after the procedure clearly illustrated the effects of the transitory paralysis of the malaris muscle (Fig. 5).
Results
Anatomical considerations
The malaris muscle was first reported in 1871 by Henle [8], the famous German anatomist. He described a muscular structure without bony insertion originating in the fascia temporalis superficialis and ending in the fat of the cheek. An additional description was made by Ligtholler [9] in 1927 with native Australian Aboriginals who demonstrated a true muscular sheet starting from the temporal fossa, passing over the zygomaticus major and minor muscles and joining the labial commissure.
In order to observe the malaris muscle, it is necessary to dissect fresh cadavers with a malar highlight [14]. A recent anatomical study on Korean cadavers [15] confirms the fact that prominent cheekbones present a high degree of malaris muscle; 54 % of all the dissections showed a malaris muscle, which is approximately ten times more than the Caucasian population. In fact, the Korean population is known to have the most prominent cheekbones of all the Asian populations. This morphological specificity can even be seen in the young son’s World Mundial football book.
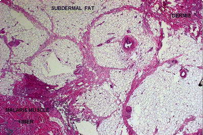
To locate the malaris muscle, the dissection must be conducted precisely firstly by removing the subdermal plane of the temple. The start of the muscle on the fascia temporalis superficialis is easily identifiable; the malar fat pad [16] is pulled down showing the body of the malaris muscle above the zygomaticus major muscle (Fig. 2). This shows that these two muscles are completely different, the zygomaticus major muscle [17] being deeper, in an underlying plan. Often standard dissections presented no real malaris muscle [10] but only some muscular fibres mixed with the malar fat pad. A MRI of the subject with pronounced cheekbones sometimes shows a very visible malaris muscle on the subcutaneous plane. After removing a spinalioma from a 64-year-old patient, on the periorbital region, the pathological examination (Fig. 3) illustrates easily recognizable malaris muscle fibre mixed with the subdermal fat through interconnecting septa [18], producing a muscular dermal termination. This means that malaris muscle reinforces the muscular component of the periorbital and midface SMAS, making it more muscular than aponeurotic [19]. Dissections on foetuses usually show very bulky malaris muscles [30], whereas this muscle is generally atrophic or absent on cadavers of old subjects. In fact, the anatomical studies of the malaris muscle demonstrate that this muscle, like the risorius muscle, has a natural tendency to disappear with age. An illustration is the loss of the cheek dimple after childhood [5]. It seems then that with age, the SMAS tends to become more aponeurotic, as it loses a degree of its muscular components. This fact automatically has a direct influence on the soft tissues of the midcheek with functional repercussions on the global aspect of the face.
Fig. 3
On the histological examination a malaris muscle fiber mixed with the subdermal fat through the interconnecting septa= dermal muscular termination
Full size image
Functional considerations
Since Botox has been used in the treatment of crow’s feet, we have learned that lateral injections too lateral to the orbicularis oculi muscle can also flatten the upper cheek [13], and sometimes a definitive malar depression could appear definitively when too many units of Botox are used in the periorbicular region[6]. In order to analyse the function of the malaris muscle, a voluntary subject received an experimental injection of three units of Botox in the origin of the muscle on the fascia temporalis superficialis. We can see 4 weeks after the injection (Fig. 4a) how the lateral part of the left eye brow droops in comparison to the right brow; below, the malar fat pad is no longer retained by the malaris muscle and hangs on the nasolabial fold producing a convex shape [7]. Figure 4b shows the same subject, 4, 5 months after the injection of Botox. The left eye brow is already straight and the malar fat pad well in place around the zygoma, the nasolabial fold now short and straight [7]. Another attempt was then made using Xylocaine 2 % in the left malaris muscle of the same voluntary subject (Fig. 5a). We can observe the effects 30 min after the injection the effects on the midface of the transitory paralysis of the malaris muscle (Fig. 5b). This means that just under the skin and in the same plane of the orbicularis oculi muscle, but lateral to it, there are muscular structures responsible for cheek elevation; this action is vertical in direction of the temple, perpendicular to the central line and parallel to the closure of the lower lid. Contraction of the malaris muscle is then opposed to gravitation, involuntary [5] and is probably activated just after awakening. Therefore, this muscle always supports the midface soft tissues under tension preventing their sagging.
Fig. 4
a Voluntary subject, 4 weeks after injection of three BOTOX units in the origin of the malaris muscle on the fascia temporalis superficialis. b The same subject 4, 5 months after the experimental injection of BOTOX (see text)
Full size image
Fig. 5
a The subject of picture 4 before injection of Xylocaine 2 % in the malaris muscle. b Effect after 30 min of Xylocaine 2 % with paralysis of the malaris muscle ptosis of the periorbital and midface soft tissues
Full size image
The malaris muscle could then be a dynamic missing link between the SMAS of the upper part of the face [5] and the SMAS of the midface [19]. In fact, it forms a dynamic bridge between the fascia temporalis superficialis and the malar fat pad. The malar fat pad, which is closely mixed with the skin moves as a whole with it, and has a natural tendency to droop with age because of the distension of the orbicularis retaining ligaments [1, 2, 20]. The two middle-aged men in Fig. 6 clearly illustrate the effect of the malaris muscle with time. The first subject on the left, who has no malaris muscle, demonstrates the midface soft tissues that already droop producing a long and convex nasolabial fold [12]; in the second subject on the right with a malaris muscle, the midface soft tissues stay well in place around the zygoma, producing a short and straight nasolabial fold [12].
Fig. 6
Consequences of the long time action of the malaris muscle on two middle-aged men (see text)
Full size image
Discussion
These anatomical and functional considerations demonstrate that the malaris muscle reinforces the muscular component of the periorbital and midface SMAS producing a specific and an unconscious dynamic. As the malaris fibres, run just under the skin and are mixed with the subdermal fat, the midface soft tissues benefit from a lifting effect toward the origin of the muscle on the fascia temporalis superficialis. As this muscle ends in the malar fat pad, this latter is always well maintained around the zygoma avoiding the formation of the malar bags. This mechanism is involuntary and probably activated just after awakening. The malaris muscle could be then the antiaging missing link between the SMAS of the superior part of the face and the SMAS of the midface. In fact, it forms a dynamic bridge between the fascia temporalis superficialis and the malar fat pad. This dynamic bridge effect is well demonstrated through the experiences in vivo with Botox and Xylocaine which break this bridge letting down the skin of the midface on the corner of the mouth (Figs. 4 and 5).
Until now, the SMAS of the midface was more considered like a static structure that could be pulled in order to improve the benefit of the classical cervicofacial lifting in the neck [19]. However, little attention was given to the potential dynamic function of the SMAS of the cheek, because it is firstly a fibroaponeurotic layer when dissected and prepared a lifting. When the SMAS of the cheek incorporates a high quantity of muscular fibres, it is then possible to dissect and observe recognisable superficial muscle such risorius or malaris muscles. Thank to their dermal terminations (Fig. 3), these muscles produce a kind of muscular structure on the subcutaneous tissue. This plane is then dynamically reinforced making the skin-subdermal unit well fixed on the superficial facial muscles. In fact, when the muscular fibres contract, they stretch the dermis through the subcutaneous septa and the skin is then firmly attached to the muscular plane (Fig.7a). On the contrary, when then SMAS of the midcheek is more fibroadiposus than muscular, the skin of the cheek has a tendency to be isolated from a sub-dermal, atrophic, and hypotonic muscular plane (Fig. 7b). The skin then relaxed under gravitation and fat tissue accumulates in the subdermal plane. When they are present, the dermal muscular terminations avoid then the definitive relaxation of the elastin fibers of the derma and the skin stays well adherent to the subdermal plane with few fat tissue. Moreover, when the SMAS of the cheek present many muscular fibres, it also favours a better skin perfusion, allowing a good hydration of the derma which remains thick and tonic. All these factors contribute to a youthful and pulpous aspect of the midface and as the malaris muscle was never located during a midface lifting, is an indirect proof of the antiaging action of this muscle, probably because people with malaris muscle do not need this procedure. Midface aging is in fact often the first and the most frequent sign of facial aging with formation of the malar bags and accumulation of skin on the nasolabialfold which tends to get long and prominent [21], but why?
Fig. 7
a When the SMAS of the midcheek incorporates many muscular fibres, the dermis is stretched firmly by the interconnecting septa against the muscular plane. b When the SMAS of the midcheek is more aponeurotic than the muscular dermis, let down and fat tissue accumulates between the dermis and the muscular plane
Full size image
Often patients before lifting [3, 4] show their surgeon the result they want, by pulling the temporal skin gently and without effort with their fingers, which immediately corrects the ptosis of the midface soft tissues. This is evidence that midface aging is a rather superficial process which concerns the superficial structures more than it does the deeper ones. As in the region of the malar arch, there is usually only skin, fat, fascia and bone, midface ptosis is due to the slipping of the malar fat on the fascia (=SMAS) (Ref.19, 24, 30).As plastic surgeons, we know very well that during a midface lifting, the subcutaneous dissection is more difficult in the malar area than in the cheek or in the temple because the subdermal fat adheres well to the malar fat pad. It is then easier to pass under the malar fat pad [22]. This plane is identical to that of the malaris muscle, when this muscle exists and in this case the malar fat pad-sub-dermal fat unit is continuously maintained under tension through the action of the malaris muscle and its dermal terminations. This action correspond to the malar suspension described by Owsley in order “to recreate the youthful roundness of the malar area” [22].
As the malar fat pad is compact and very adherent to the skin [21], it moves together with the skin and has a natural tendency to droop with it because of the distension of the orbicularis retaining ligament with aging [1, 2]. The characteristics of typical midface aging are sagging of the malar fat pads [23], formation of the malar bags [21], relaxation of the periorbital skin, and the external canthus. This 80-year-old subject (Fig. 8a) has however the malar fat well in place, no malar bag, and no relaxing of the periorbital skin. If we look at the same subject when he was young (Fig.8b), we can see how much the periorbital and midface muscles are well developed, in particular, the malaris muscle. This means that during his long life, this well-developed muscle has always maintained the malar fat pad well around the zygoma avoiding its ptosis. This action of the malaris muscle is synergetic with the orbicularis retaining ligaments and antagonist with their natural distension with aging and gravitation Fig. 9) [23]. When this muscle is absent or degenerates, orbicularis retaining ligaments are no longer supported by the malaris muscle and the malar fad pad migrates down producing the beginning of midface aging [24].
Fig. 8
a Eighty-year-old subject with tonic malaris muscles. b The same subject in his youth with well-visible strong malaris muscles
Full size image
Fig. 9
Synergetic effect of the malaris muscle with orbicularis retaining ligaments
Full size image
For the past 10 years, new lifting midface procedures [22, 25, 29] have tending to recreate a kind of malaris muscle; in this case, it is the lateral part of the orbicularis muscle which is suspending in order to lift the periorbicular region and the midface. After superficially undermining the temporal skin, the orbicularis muscle is fixed on the temporal fascia which finally corresponds exactly to the action of the malaris muscle and its antiaging effect. The principle of the minimal access cranial suspension lift (MACS-lift) [4] is also a very demonstrative proof of the antigravitational effect of the malaris muscle; in fact, the fixation of the two permanent sutures in the deep temporal fascia produce finally the same vertical action of the malaris muscle which prevent then the ptosis of the facial features.
Another observation of the antiaging effects of the malaris muscle can be easily done with Korean population. An anatomical study with Korean subjects [15] showed a high presence of this muscle on cadaver dissections. We know all too well how it is often difficult to precisely estimate the age of these people, especially when they raise the mysterious Asian smile. This particularity is an indirect proof of the antiaging action of the malaris muscle with its very superficial position in the midface soft tissues pulling only the malar fat pad and the overlying skin producing this typical youthful aspect Asian midface aspect.
Conclusion
People are, unfortunately, not equal with regard to facial aging particularly where midface aging is concerned, a phenomenon which can appears sometimes in very young patients [12]. In these cases, subjects rapidly make an elderly appearance, and finally ending up with skin accumulation on the nasolabial fold. The midface region is very important in contributing to the youthful aspect of the face and many factors are, of course, responsible for the face aging aspect. However, skin relaxation is the main factor: the more the skin sags the more the face looks old. The function of the malaris muscle just under the skin prevents precisely this relaxation of the midface soft tissues by helping the orbicularis retaining ligaments to maintain the malar fat pad well around the zygoma in a synergetic action. We can conclude that the malaris muscle, thank to its dermal terminations is then the dynamic antiaging missing link of the midface. This muscle is maybe one piece of a superficial, muscular puzzle which makes the SMAS of the midface more muscular than aponeurotic and whose other elements are still poorly known; such as risorius, temporoparietal [5, 17], or depressor supercilii muscles. It is possible that all these muscles produce a coherent superficial, unconscious, and dynamic structure whose function is to maintain skin tone, then avoiding its relaxation, resulting in good skin perfusion and a pulpous aspect of the face. All these factors contribute then to facial youthfulness [26] and often its beauty [27]. Unfortunately, the essential characteristic of the malaris muscle is its inconstancy and its rarity in the Caucasian population; this leads to very typical face aging in this population with fat and skin accumulation on the nasolabial fold [21, 28]. It is as if the midface skin permanently droops at the corners of the mouth as in a vicious circle, the more the skin droops, the more it will sag without the hope of recovery. This finally produces a long prominent and convex nasolabial fold, which can only be corrected through surgery.