
darktriadcel
Iron
- Joined
- Jul 17, 2024
- Posts
- 31
- Reputation
- 113
So recently i made a post explaining why black ppl can’t have typical hollow cheeks but someone mentioned because black ppl have a deeper canine fossa but that isn't true either and is another misconception, black ppl don't have a deep canine fossa they have shallow canine fossas but with protruding mouths
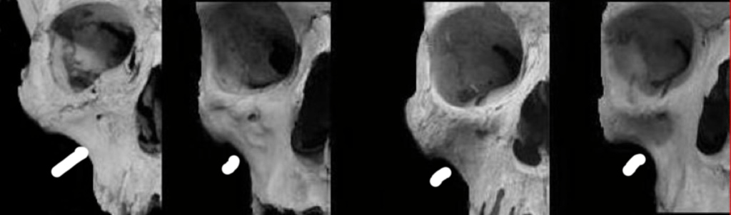
range of canine fossa depths from shallow (left) to deep (right):
As you can see the cheekbones connect to the maxilla smoothly with shallow canine fossae forming a single unit, while deep canine fossae cause inward depressions that create separations between the bottoms of the cheekbones and the maxilla
black people have the most protruding palates and lower maxillas which give the illusion of having a deeper fossa.
However the canine fossa isn't actually deep itself its just the maxilla shape giving the illusion not projection.
A deep fossa is meant to give a more horizontal line around the mouth area, a more sunken mid face appearance with pronounced shadowing depending on lighting of course and give the illusion of recessed infra orbitals, however a protruding mouth will give a more vertical line around the mouth area
Both these guys have protruding mouths/lower maxilla which makes it look like they have deep fossa but if you check the midface you can tell they don't have a deep canine fossa
real example of a deep fossa would be these pics
You will never see blacks with deep hollows like this Its just the actual maxilla shape, not projection
This is the skull of the average negroid and as you can see the canine fossa area is not really deep
Regardless the black examples with protruding mouth look very good anyways but i just wanted to clear this misconception that blacks have deeper fossa, they don’t, its actually white ppl who do.
range of canine fossa depths from shallow (left) to deep (right):

As you can see the cheekbones connect to the maxilla smoothly with shallow canine fossae forming a single unit, while deep canine fossae cause inward depressions that create separations between the bottoms of the cheekbones and the maxilla
black people have the most protruding palates and lower maxillas which give the illusion of having a deeper fossa.
However the canine fossa isn't actually deep itself its just the maxilla shape giving the illusion not projection.

A deep fossa is meant to give a more horizontal line around the mouth area, a more sunken mid face appearance with pronounced shadowing depending on lighting of course and give the illusion of recessed infra orbitals, however a protruding mouth will give a more vertical line around the mouth area


Both these guys have protruding mouths/lower maxilla which makes it look like they have deep fossa but if you check the midface you can tell they don't have a deep canine fossa
real example of a deep fossa would be these pics


You will never see blacks with deep hollows like this Its just the actual maxilla shape, not projection

This is the skull of the average negroid and as you can see the canine fossa area is not really deep
Regardless the black examples with protruding mouth look very good anyways but i just wanted to clear this misconception that blacks have deeper fossa, they don’t, its actually white ppl who do.
Last edited: