whitepill_is_true
will become true denji
- Joined
- Dec 27, 2024
- Posts
- 45
- Reputation
- 60
This thread gonna be pretty long so if you aren't attentionspanmaxxed just read the tldr in red.
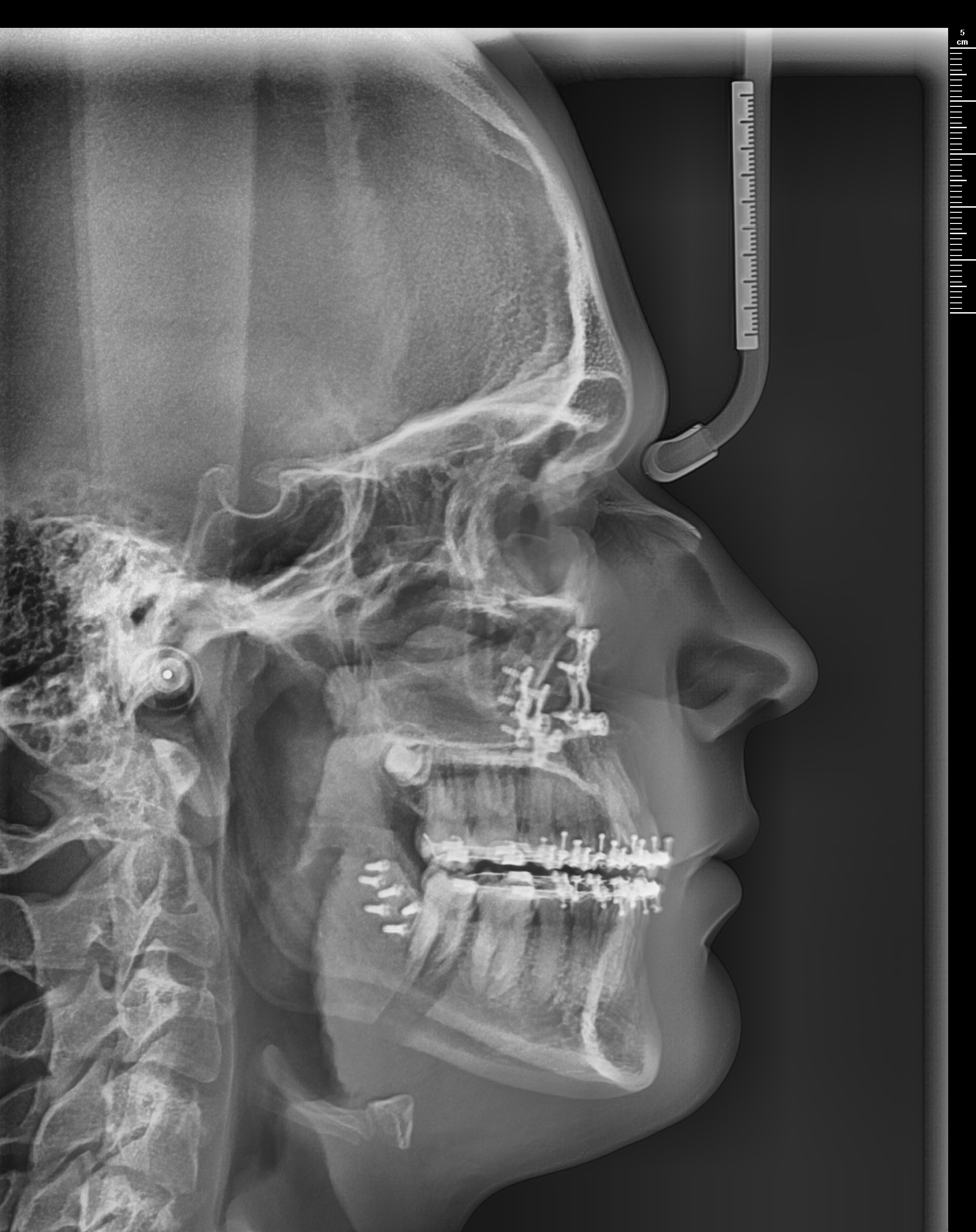
Got a Bimax late september via insurance. These were the movements planned.
LEFORT 1: 2MM ADVANCEMENT
BSSO: 8MM ADVANCEMENT
2° CCW ROTATION
PRE BIMAX
POST BIMAX
My question is: Did I get underadvanced? I'm aware swelling takes longer to go away but atm I still feel like my jaw is recessed.
FUTURE HARDMAXXING PLANS:
I believe my remaining failos are as follows, from most to least severe:
1- recessed infraorbitals
2- recessed zygos
3- narrow smile
4- inward gonions
5- thin lips
6- bad coloring
7- bad brows and lashes
do you guys agree? frontal pic below.
HARDMAXXES I'M PLANNING:
1: MARPE FOR BETTER SMILE
2: COMPOSITE BONDING
3: CUSTOM INFRAORBITAL AND ZYGOMATIC IMPLANTS
4: ROIDS
SOFTMAXXES IM DOING:
1: Gymcelling- Water ik but if you aren't doing this are you even trying?
2: Topical minoxidil 5% on brows- Been doing this for a while but struggling to fill in the inner corner of my brow, any tips?
3: Skincare- Just finished my accutane treatment which saved my skin, just doing basic cleansing and moisturizing rn, gonna start something topical soon.
4: Hair- getting a sick ass cut soon which hopefully gonna ascend me to HLTN
5: NTmaxxing- College really made me realise the importance of social status, so i've been working on getting low inhib and socialmaxxing, but doing ts feels like a salmon swimming upstream
Im doing the basics like proper diet and sleep and stuff but what specifics should I add?
Since my maxilla needs to heal for atleast 6 months before I could start MARPE, I haven't made too much progress towards the composite bonding (need to wait for all orthodontic treatments to finish anyway). Luckily I have been wageslaving hella this past year so I believe that once I'm done with MARPE I could instantly get started on the implant process. I'm slowly getting started on researching anabolics and peptides. Think I'm gonna start with some easy peptides like MT2 once I find a supplier to get the process down. But I'm interested to hear your guys thoughts on how to achieve the greatest aesthetic benefit. What would you do in my shoes? Would you skip MARPE altogether? Maybe add a gonial implant as well? How would I rate rn on looks scale and what do you believe to be my genetic ceiling? If you made it this far please read the motivational quote down below
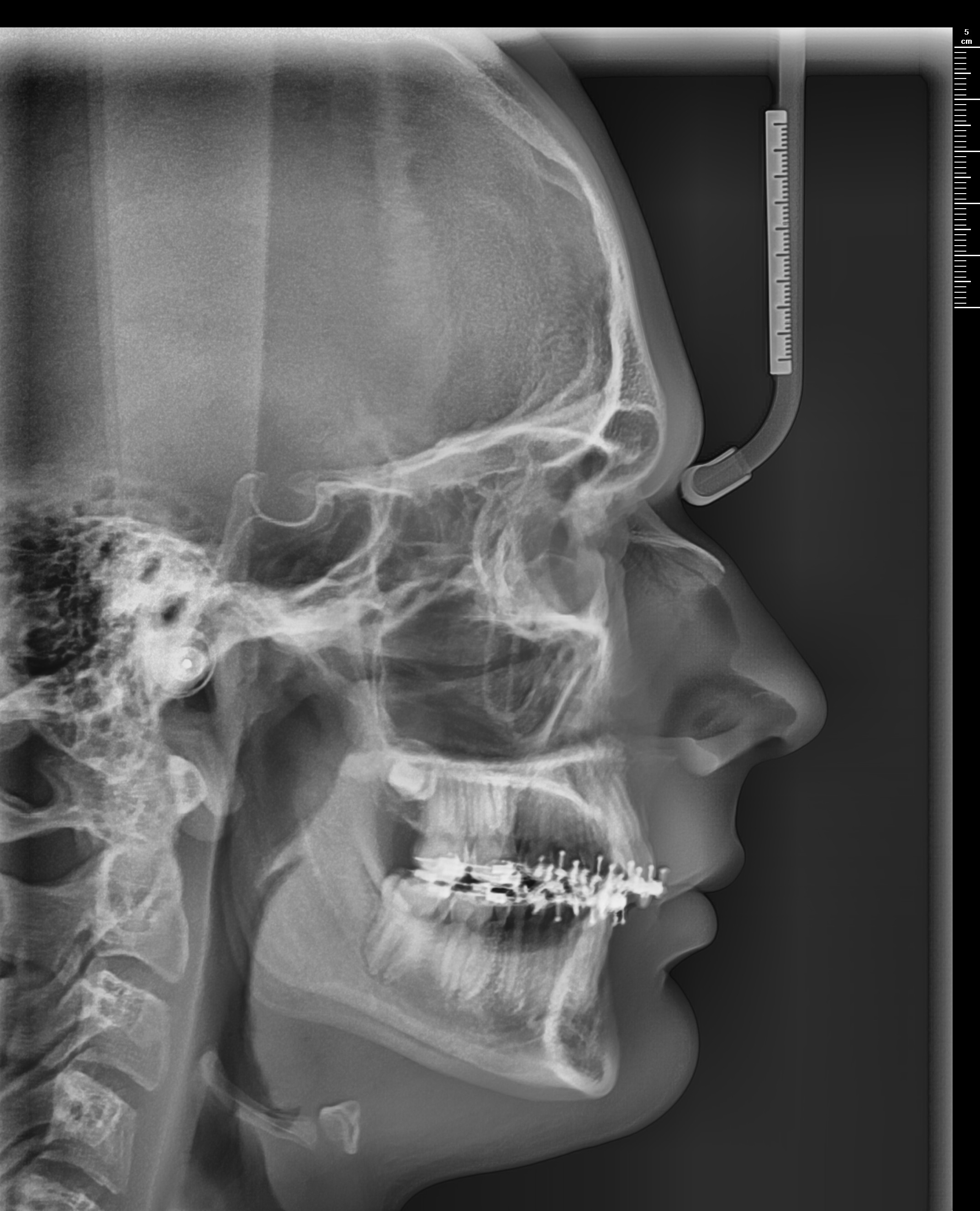
Got a Bimax late september via insurance. These were the movements planned.
LEFORT 1: 2MM ADVANCEMENT
BSSO: 8MM ADVANCEMENT
2° CCW ROTATION
PRE BIMAX
POST BIMAX
My question is: Did I get underadvanced? I'm aware swelling takes longer to go away but atm I still feel like my jaw is recessed.
Recovery was brutal lmao, had me looking like a chipmunk first two weeks. Woke up after surgery in hella pain in a room full of old farts. While I was dying from pain these two old guys next to me were deadass yapping about fishing for three hours, worst experience i've had in a while. After a while a nurse comes in and told me I'd lost alot of blood but the surgery went well. She hooked me up with some pain meds and I kinda drifted in and out of sleep for the first day. Got sent home on the second day which was pretty nice because if I had to listen to another fish yap I was gonna kms. From that point on recovery was pretty smooth, my doctor gave me a HELIOTHERM mask which was a lifesaver. My only tip for when your getting jaw surgery is to get a FACE MASK WITH CONTINOUS WATER FLOW LIKE A HELIOTHERM (pic below). Also pic of first day after surgery looking hella mog 
FUTURE HARDMAXXING PLANS:
I believe my remaining failos are as follows, from most to least severe:
1- recessed infraorbitals
2- recessed zygos
3- narrow smile
4- inward gonions
5- thin lips
6- bad coloring
7- bad brows and lashes
do you guys agree? frontal pic below.
HARDMAXXES I'M PLANNING:
1: MARPE FOR BETTER SMILE
2: COMPOSITE BONDING
3: CUSTOM INFRAORBITAL AND ZYGOMATIC IMPLANTS
4: ROIDS
SOFTMAXXES IM DOING:
1: Gymcelling- Water ik but if you aren't doing this are you even trying?
2: Topical minoxidil 5% on brows- Been doing this for a while but struggling to fill in the inner corner of my brow, any tips?
3: Skincare- Just finished my accutane treatment which saved my skin, just doing basic cleansing and moisturizing rn, gonna start something topical soon.
4: Hair- getting a sick ass cut soon which hopefully gonna ascend me to HLTN
5: NTmaxxing- College really made me realise the importance of social status, so i've been working on getting low inhib and socialmaxxing, but doing ts feels like a salmon swimming upstream
Im doing the basics like proper diet and sleep and stuff but what specifics should I add?
Although post-bimax marpe is rare, I believe I still qualify. my smile is narrow asf and struggle to put my tongue on my the top of my mouth. Finding an orthodontist in the Netherlands willing to provide this is gonna be hard but there are some promising orthodontists im planning to consult. One of these is Aldin Kapetanovic. He has published multiple research papers about marpe and even created his own design: Dutch Maxillary Expansion Device. It contains 4 miniscrews and is 3d printed (picture below). Can those knowledgeable on MARPE DESIGN advise if this is a good design? Would really help me out as i'm not too knowledgeable.
Since my maxilla needs to heal for atleast 6 months before I could start MARPE, I haven't made too much progress towards the composite bonding (need to wait for all orthodontic treatments to finish anyway). Luckily I have been wageslaving hella this past year so I believe that once I'm done with MARPE I could instantly get started on the implant process. I'm slowly getting started on researching anabolics and peptides. Think I'm gonna start with some easy peptides like MT2 once I find a supplier to get the process down. But I'm interested to hear your guys thoughts on how to achieve the greatest aesthetic benefit. What would you do in my shoes? Would you skip MARPE altogether? Maybe add a gonial implant as well? How would I rate rn on looks scale and what do you believe to be my genetic ceiling? If you made it this far please read the motivational quote down below
.