 
		
				
				
			Herald420
Iron
- Joined
- Oct 28, 2025
- Posts
- 1
- Reputation
- 0
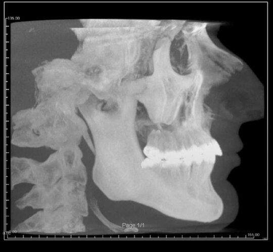
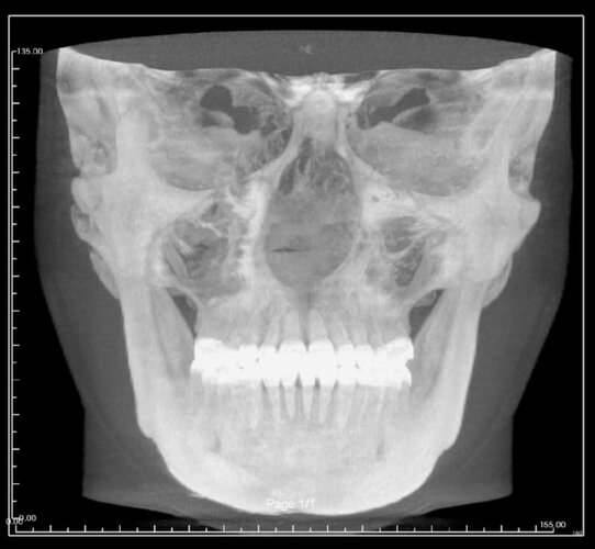
Needing serious advice on what would best surgeries for myself. I’m currently exploring double jaw surgery and rhinoplasty for my subhuman face. 
Goal is to go from sub human to ltn if that’s what y’all call it.
My maxillofacial surgeon has suggested a segmental upper jaw, lower jaw and genioplasty; will cost 12k but I have to wait a year for insurance to cover the hospital side which is 30k… I’m not interested in going overseas for this either.
Advice?
View attachment 4268822
	
		
			
		
		
	
				
			Goal is to go from sub human to ltn if that’s what y’all call it.
My maxillofacial surgeon has suggested a segmental upper jaw, lower jaw and genioplasty; will cost 12k but I have to wait a year for insurance to cover the hospital side which is 30k… I’m not interested in going overseas for this either.
Advice?
View attachment 4268822
 
						 
			 
			 
			 
			 
		 
		 
		 
		 
		 
		 
		