Aromatase inhibitors

Jesus_ist_König

Jesus_ist_König

ppl are happier when I'm not around
Joined
Jan 2, 2026
Posts
8,033
Reputation
9,782
Im sorry for asking the same question again but im so desperate. Im 5 foot 6.5 and the boys and girls where i live are way taller than me so i feel very sad very often (to show u how important it is). And no nigga imma not work on my shitty personally but my outwards appearance.
Imagen1 1

These were my growth plates 1 or 2 weeks ago. @Genio told me its over and that ai wouldnt do nothing since they r fusing this month. But im so fucking desperate. My E2 is already pretty low and under 24 pg/ml and during the day i experience knee pain and finger pain whilst typing. I wanna go lower so bad i wanna grow. HGH wont do shit for me im already 17 very soon and i donnt have the money for it and my parents know everything im getting monitorized nigga.
Question: Is it worth taking ai considering the risk/reward ratio
I beg you for an answer since my time is running out. My calculated bone age is 5 months older than me (based on my calculations)
The only thing I care about is getting osteoporosis or a lot more mental disorders than i already have
My psychologist and psychiatrist say i have signs of high iq i dont wanna nerve my iq with low e2 levels.
I SINCERELY BEG YOU FOR HELP
 
yeah bro they are closing/closed I'm sorry

I will see you in a 3 world country for LL
 
  • +1
Reactions: Jesus_ist_König
yeah bro they are closing/closed I'm sorry

I will see you in a 3 world country for LL
dont make me cry :( but there are like little lines they are clearly not closed but also not open but i dont think
I think i need to get the thing the radiologist told me. I didnt get it yet. i needa get his opinion i will also ask my psychiatrist i think he is also a doctor he knows a shit ton about peptides and everything
 
Im sorry for asking the same question again but im so desperate. Im 5 foot 6.5 and the boys and girls where i live are way taller than me so i feel very sad very often (to show u how important it is). And no nigga imma not work on my shitty personally but my outwards appearance.
View attachment 4638259
These were my growth plates 1 or 2 weeks ago. @Genio told me its over and that ai wouldnt do nothing since they r fusing this month. But im so fucking desperate. My E2 is already pretty low and under 24 pg/ml and during the day i experience knee pain and finger pain whilst typing. I wanna go lower so bad i wanna grow. HGH wont do shit for me im already 17 very soon and i donnt have the money for it and my parents know everything im getting monitorized nigga.
Question: Is it worth taking ai considering the risk/reward ratio
I beg you for an answer since my time is running out. My calculated bone age is 5 months older than me (based on my calculations)
The only thing I care about is getting osteoporosis or a lot more mental disorders than i already have
My psychologist and psychiatrist say i have signs of high iq i dont wanna nerve my iq with low e2 levels.
I SINCERELY BEG YOU FOR HELP
It's not over

Moneymaxx and get LL.
 
  • +1
Reactions: Jesus_ist_König
Im sorry for asking the same question again but im so desperate. Im 5 foot 6.5 and the boys and girls where i live are way taller than me so i feel very sad very often (to show u how important it is). And no nigga imma not work on my shitty personally but my outwards appearance.
View attachment 4638259
These were my growth plates 1 or 2 weeks ago. @Genio told me its over and that ai wouldnt do nothing since they r fusing this month. But im so fucking desperate. My E2 is already pretty low and under 24 pg/ml and during the day i experience knee pain and finger pain whilst typing. I wanna go lower so bad i wanna grow. HGH wont do shit for me im already 17 very soon and i donnt have the money for it and my parents know everything im getting monitorized nigga.
Question: Is it worth taking ai considering the risk/reward ratio
I beg you for an answer since my time is running out. My calculated bone age is 5 months older than me (based on my calculations)
The only thing I care about is getting osteoporosis or a lot more mental disorders than i already have
My psychologist and psychiatrist say i have signs of high iq i dont wanna nerve my iq with low e2 levels.
I SINCERELY BEG YOU FOR HELP
Still open but very late stage. If your serious then get x rays of both of your tibia and femur plates on both legs. HGH is not expensive btw
 
  • +1
Reactions: Jesus_ist_König
It's not over

Moneymaxx and get LL.
Nigga i clicked on ur song and i suddendly got hyperphantasia and could see all the agartha edits i have been watching all these years thank youuu
 
  • +1
Reactions: gunterrr and bignigga
Still open but very late stage. If your serious then get x rays of both of your tibia and femur plates on both legs. HGH is not expensive btw
Well a cycle of hgh for 60 days is like 600 dollars but i cant do it since i cant store hgh with my helicopter parents at all i have no privacy
 
  • +1
Reactions: gunterrr
It's over regarding natural growth man (y)
what the fuck i grew in the past month this cant be. I wont give up nigga i cant i cant. Imma take the opinion of a professional since on .org the advise differ a lot but thanks
 
what the fuck i grew in the past month this cant be. I wont give up nigga i cant i cant. Imma take the opinion of a professional since on .org the advise differ a lot but thanks
Copium af buddy but you do you
 
  • +1
Reactions: domdadon and Jesus_ist_König
Well a cycle of hgh for 60 days is like 600 dollars but i cant do it since i cant store hgh with my helicopter parents at all i have no privacy
Idk what source your looking at thats going to give you a supply of HGH for 2 months at the price of 600 lmao. The most expensive non pharma goes up to 1-1.50 per IU
 
  • +1
Reactions: Jesus_ist_König
No its not, you also taper down aromasin, so you would switch to 6.25mg after 2-3 months
and regarding osteoporosis? I have Osteochondritis dissecans of the ankle and im scared that my body will like make the bone go away due to very low e2 levels and then i wouldnt be able to walk. I had one years in crutches that shit doesnt heal at all. i can walk now but i dont wanna go back to not walking jus cuz i grew 2 cm more
 
what the fuck i grew in the past month this cant be. I wont give up nigga i cant i cant. Imma take the opinion of a professional since on .org the advise differ a lot but thanks
Ur in denial bro u hop on here for advice and then say u want advice from a professional just accept it not everyone is meant to be tall and Chad ur js genetically cooked blame ur parents
 
  • +1
Reactions: Jesus_ist_König
The page is crashing right now, brother. Keep trying with AI. I wish you luck. If it doesn't work, it's over for you, and the only thing left to do is moneymaxx y LL. Good luck
 
  • +1
Reactions: yushmaxx and Jesus_ist_König
Im sorry for asking the same question again but im so desperate. Im 5 foot 6.5 and the boys and girls where i live are way taller than me so i feel very sad very often (to show u how important it is). And no nigga imma not work on my shitty personally but my outwards appearance.
View attachment 4638259
These were my growth plates 1 or 2 weeks ago. @Genio told me its over and that ai wouldnt do nothing since they r fusing this month. But im so fucking desperate. My E2 is already pretty low and under 24 pg/ml and during the day i experience knee pain and finger pain whilst typing. I wanna go lower so bad i wanna grow. HGH wont do shit for me im already 17 very soon and i donnt have the money for it and my parents know everything im getting monitorized nigga.
Question: Is it worth taking ai considering the risk/reward ratio
I beg you for an answer since my time is running out. My calculated bone age is 5 months older than me (based on my calculations)
The only thing I care about is getting osteoporosis or a lot more mental disorders than i already have
My psychologist and psychiatrist say i have signs of high iq i dont wanna nerve my iq with low e2 levels.
I SINCERELY BEG YOU FOR HELP
AI wont do shit after you’re already exposed to “x” amount of serum E2, if that amount is high height will be stunted
 
  • +1
Reactions: Jesus_ist_König
AI wont do shit after you’re already exposed to “x” amount of serum E2, if that amount is high height will be stunted
Can u elaborate I don’t get it. My E2 is sub 24 pg/ml
 
  • +1
Reactions: Zagro
Can u elaborate I don’t get it. My E2 is sub 24 pg/ml
Your height being short isn’t mediated by E2 probably

But what i meant is aromatase inhibitors don’t do shit for your longitudinal growth, it’s all planned and programmed already and no amount of aromatase inhibitors will change it prolly
 
  • +1
Reactions: Jesus_ist_König
Your height being short isn’t mediated by E2 probably

But what i meant is aromatase inhibitors don’t do shit for your longitudinal growth, it’s all planned and programmed already and no amount of aromatase inhibitors will change it prolly
Even if my bone age is older than me I wouldn’t see any benefits?

Planned in the sense of genetics
 
Im sorry for asking the same question again but im so desperate. Im 5 foot 6.5 and the boys and girls where i live are way taller than me so i feel very sad very often (to show u how important it is). And no nigga imma not work on my shitty personally but my outwards appearance.
View attachment 4638259
These were my growth plates 1 or 2 weeks ago. @Genio told me its over and that ai wouldnt do nothing since they r fusing this month. But im so fucking desperate. My E2 is already pretty low and under 24 pg/ml and during the day i experience knee pain and finger pain whilst typing. I wanna go lower so bad i wanna grow. HGH wont do shit for me im already 17 very soon and i donnt have the money for it and my parents know everything im getting monitorized nigga.
Question: Is it worth taking ai considering the risk/reward ratio
I beg you for an answer since my time is running out. My calculated bone age is 5 months older than me (based on my calculations)
The only thing I care about is getting osteoporosis or a lot more mental disorders than i already have
My psychologist and psychiatrist say i have signs of high iq i dont wanna nerve my iq with low e2 levels.
I SINCERELY BEG YOU FOR HELP
just hopemaxx and on hop on ai and hgh, but lowk, yeah its kinda over, its fine tho im short af too
 
  • +1
Reactions: Jesus_ist_König
just hopemaxx and on hop on ai and hgh, but lowk, yeah its kinda over, its fine tho im short af too
It’s not fine I fucking cry everyday. Wtf I can’t do this. I have read a study showing that hgh won’t give u more height but just give u ur genetic height faster. And also besides that my growth plate state is to old for hgh gains
 
It’s not fine I fucking cry everyday. Wtf I can’t do this. I have read a study showing that hgh won’t give u more height but just give u ur genetic height faster. And also besides that my growth plate state is to old for hgh gains
only method is LL surgery, i feel you man, dont spike ur cortisol tho from crying, it wont help, honestly im mtn but i still cry cuz i could always look better, taking this shit seroisly since i couldnt pull some sub 6 alt foid, ruined me lowk, but hey wtv it takes right?
 
Even if my bone age is older than me I wouldn’t see any benefits?

Planned in the sense of genetics
Impossible, you can microdose aromatase inhibitors to keep e2 at like 15pg that’s all but It wont help increase potential height, most likely to ensure you reach your existing one without stunting it though E2

You cant reverse bone age its not possible
 
Im sorry for asking the same question again but im so desperate. Im 5 foot 6.5 and the boys and girls where i live are way taller than me so i feel very sad very often (to show u how important it is). And no nigga imma not work on my shitty personally but my outwards appearance.
View attachment 4638259
These were my growth plates 1 or 2 weeks ago. @Genio told me its over and that ai wouldnt do nothing since they r fusing this month. But im so fucking desperate. My E2 is already pretty low and under 24 pg/ml and during the day i experience knee pain and finger pain whilst typing. I wanna go lower so bad i wanna grow. HGH wont do shit for me im already 17 very soon and i donnt have the money for it and my parents know everything im getting monitorized nigga.
Question: Is it worth taking ai considering the risk/reward ratio
I beg you for an answer since my time is running out. My calculated bone age is 5 months older than me (based on my calculations)
The only thing I care about is getting osteoporosis or a lot more mental disorders than i already have
My psychologist and psychiatrist say i have signs of high iq i dont wanna nerve my iq with low e2 levels.
I SINCERELY BEG YOU FOR HELP
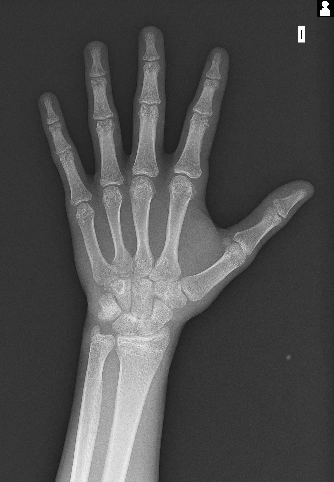
I saw your xray from 6 months ago ans it seems the wrist hasnt increased in age alot, how is ur growth velocity?
 
I saw your xray from 6 months ago ans it seems the wrist hasnt increased in age alot, how is ur growth velocity?
I grew 1 cm I think in the past months that’s why I thought about ai. In the past 3 months about 1 cm
 
I grew 1 cm I think in the past months that’s why I thought about ai. In the past 3 months about 1 cm
Your wrist isnt fused yet from the xray. If u start high dose gh+ai u might grow 1-2cm max but it depends on your knee growth plates.
 
Im sorry for asking the same question again but im so desperate. Im 5 foot 6.5 and the boys and girls where i live are way taller than me so i feel very sad very often (to show u how important it is). And no nigga imma not work on my shitty personally but my outwards appearance.
View attachment 4638259
These were my growth plates 1 or 2 weeks ago. @Genio told me its over and that ai wouldnt do nothing since they r fusing this month. But im so fucking desperate. My E2 is already pretty low and under 24 pg/ml and during the day i experience knee pain and finger pain whilst typing. I wanna go lower so bad i wanna grow. HGH wont do shit for me im already 17 very soon and i donnt have the money for it and my parents know everything im getting monitorized nigga.
Question: Is it worth taking ai considering the risk/reward ratio
I beg you for an answer since my time is running out. My calculated bone age is 5 months older than me (based on my calculations)
The only thing I care about is getting osteoporosis or a lot more mental disorders than i already have
My psychologist and psychiatrist say i have signs of high iq i dont wanna nerve my iq with low e2 levels.
I SINCERELY BEG YOU FOR HELP
Alright let's get this straight, your bones are fusing this month and u wanna grow taller, soo what aromatase inhibitor does is that it cancels estrogen production, im not sure if it completely stops it or just reduces it, but it can cause infertility, so tbh yeah its worth it risking fertility for height since you're 5'6 but along with the aromatase you should blast hgh and igf1, incase you're not willing you could try LSJL (which im not sure if its cope or not) but matter of fact if you can afford the peptides just do it bro, height matters as long as its less than 5'9
 
  • +1
Reactions: Jesus_ist_König
Alright let's get this straight, your bones are fusing this month and u wanna grow taller, soo what aromatase inhibitor does is that it cancels estrogen production, im not sure if it completely stops it or just reduces it, but it can cause infertility, so tbh yeah its worth it risking fertility for height since you're 5'6 but along with the aromatase you should blast hgh and igf1, incase you're not willing you could try LSJL (which im not sure if its cope or not) but matter of fact if you can afford the peptides just do it bro, height matters as long as its less than 5'9
Nigger
1. U just got here
2. Its over
3. What is LSJL
4. Its over
5. Ai wont do much for me
 
Nigger
1. U just got here
2. Its over
3. What is LSJL
4. Its over
5. Ai wont do much for me
My bad nigga for trying to help, just rope and hope in ur next life u get taller, and LSJL is lateral synovial joint loading which u apply force on the joints of ur knee and ankle (growth plates) to trigger and spike hgh and igf1, some people claim its real but im not sure if it is
 
  • +1
Reactions: Jesus_ist_König
Your wrist isnt fused yet from the xray. If u start high dose gh+ai u might grow 1-2cm max but it depends on your knee growth plates.
this js my knee and wrist can you tell me how i it seems i have left? would gh be worth it. il alr on ai
 

Attachments

  • 20260223_011430(1).jpg
    20260223_011430(1).jpg
    1.2 MB · Views: 0
  • 20260223_011534(1).jpg
    20260223_011534(1).jpg
    1.4 MB · Views: 0
this js my knee and wrist can you tell me how i it seems i have left? would gh be worth it. il alr on ai
Your proximal tibia is starting to fuse, femur is in partial fusion but still has growth potential aswell as your fibula. I cant tell how much growth is left because it depends on your recent growth velocity so you can go from there. Did u grow recently?
 
Your proximal tibia is starting to fuse, femur is in partial fusion but still has growth potential aswell as your fibula. I cant tell how much growth is left because it depends on your recent growth velocity so you can go from there. Did u grow recently?
arkund 2-3 cm in the past year but ive been undereating badly my whole life. i might start gh soon ill consult an endocrine doctor to prescribe it. but im guessing if i start gh and start eating well again could i have some proper gains? also ty for helping me out
 
arkund 2-3 cm in the past year but ive been undereating badly my whole life. i might start gh soon ill consult an endocrine doctor to prescribe it. but im guessing if i start gh and start eating well again could i have some proper gains? also ty for helping me out
Doctors wont prescribe it to older people they only do to deficient ppl, if u do gh i would also do ai and if u cant get it try being in a caloric surplus
 
it might not be effective for you if your estrogen has peaked in the pas but you could still try,you'll also need like 0.4iu of hgh per kilogram of bodyweight along with it
 

Similar threads

fataholic
Replies
8
Views
52
fletcherp
fletcherp
anonymooose
Replies
21
Views
118
stigmaboy
stigmaboy
jacokkk
Replies
23
Views
70
just a chud
just a chud
Smelson
Replies
4
Views
54
Kara
Kara
odb
Replies
7
Views
49
odb
odb

Users who are viewing this thread

Back
Top