Bimax advice (x-rays included)

I

ILMFP

Iron
Joined
Apr 6, 2021
Posts
7
Reputation
1
Recently visited a maxillofacial surgeon based in London (where im based), main points from the consultation are:

1) He presents with a hypoplasia of the midface but only to the lateral area as the central mid face including the nose have had adequate projection. The nose however is quite short which needs to be taken into consideration when planning any procedures

2) Clinical examination reveals indeed a hypoplasia in the infraorbital and paranasal areas. There is also relatively short face and in occlusion of the upper lip is compressed by approximately 3 mm.

3) There is hardly any incisor exposure at rest, mildly when speaking but there is on the other hand almost complete incisor exposure when smiling.

4) He could benefit from a clockwise bimaxillary advancement of approximately 5 mm whereby the overall vertical position of the incisor point comes down approximately 3 mm. The molar area could remain at the same level as currently. When doing that movement, there may be a small backward rotation of the chin and there may therefore be need for a genioplasty advancement.

When i asked him about the maximum number of mm i could get, he recommended no more than 7mm-8mm

I am planning to fill up the nasolabial area with fillers for 1-2 years until i save up for bimax, tho im probably gonna have it done in Europe

Any opinions on the plan he gave me? Im also a bit concerned about the clockwise rotation, dont wanna make my face longer tbh

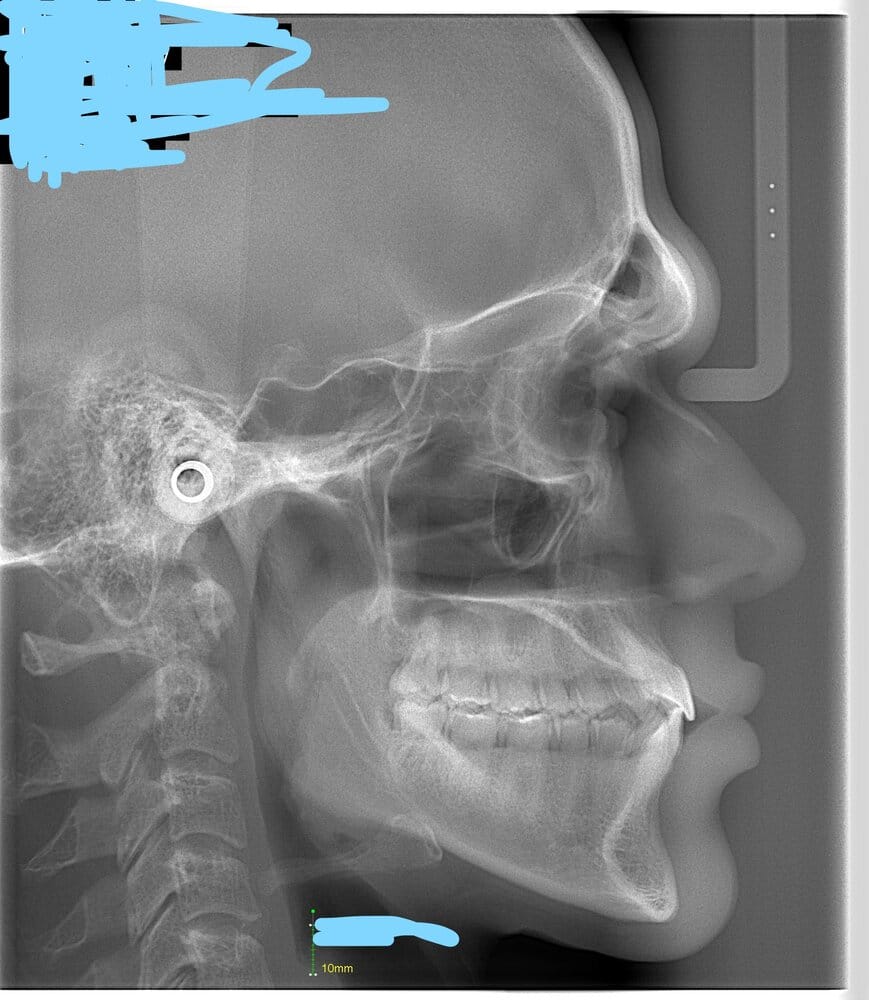
Here's the cephalogram i had:


A


And here's the front view if its of any help:

B
 
  • Love it
Reactions: thecel
show profil pic of your face

Blackpill surgeon don't just go by cephalometric mesure as explained by Alfaro Fernandez in one of his video , if it's for aesthetic he need to see judge face not just numbers
 
  • +1
Reactions: one job away, lilhorizontal32 and RazerGlazer
show profil pic of your face

Blackpill surgeon don't just go by cephalometric mesure as explained by Alfaro Fernandez in one of his video , if it's for aesthetic he need to see judge face not just numbers
Eh id rather not post pics of my face online, but i can pm them
 
btw looking at your ceph yes u need CW not CCW, look at your hyoid bone is so up, your submental must be like 90 degree or even 80

When doing surgery for short face always CW

Like above
 

Attachments

  • E0994E2B-A6D6-4CD5-B1F3-4C8836E6E299.jpeg
    E0994E2B-A6D6-4CD5-B1F3-4C8836E6E299.jpeg
    52.8 KB · Views: 53
  • 507C4D6F-C210-46FE-8FF5-3B717794B7A0.jpeg
    507C4D6F-C210-46FE-8FF5-3B717794B7A0.jpeg
    54.9 KB · Views: 52
Update: Made a request for a video conference with Alfaro but was denied after sending him pictures of my x-rays and front/side profile. Specifically told him that i am interested in this surgery for cosmetic purposes so wtf was i denied, thought he was one of the surgeons doing bimax for cosmetics no? Even the surgeon i visited in London was willing to do bimax to fix my "short face"

Also any other surgeons i should consider??
 
Update: Made a request for a video conference with Alfaro but was denied after sending him pictures of my x-rays and front/side profile. Specifically told him that i am interested in this surgery for cosmetic purposes so wtf was i denied, thought he was one of the surgeons doing bimax for cosmetics no? Even the surgeon i visited in London was willing to do bimax to fix my "short face"

Also any other surgeons i should consider??
Who's your surgeon in London? There's only a handful and I'm familiar with most, if not all of them. PM me if you don't want to say it publicly.

Your cephalometric x-ray looks great.. but it's impossible to tell from an x-ray only, it's just a small part of the picture.

What confuses me is that you say you have good incisor show when smiling.. but your surgeon wants to disimpact 3mm and advance 5mm.. an advancement of 5mm will give almost 2mm of incisor show, so now you've got 5mm more incisor show.. that'll completely ruin your face.

PM me and I'll give you my thoughts!
 
Who's your surgeon in London? There's only a handful and I'm familiar with most, if not all of them. PM me if you don't want to say it publicly.

Your cephalometric x-ray looks great.. but it's impossible to tell from an x-ray only, it's just a small part of the picture.

What confuses me is that you say you have good incisor show when smiling.. but your surgeon wants to disimpact 3mm and advance 5mm.. an advancement of 5mm will give almost 2mm of incisor show, so now you've got 5mm more incisor show.. that'll completely ruin your face.

PM me and I'll give you my thoughts!
Lol can you pm me? i cant pm for some reason...
 
Talked with Newguy5 and he said i probably dont need 7mm.

Is there anyone else on here that has experience with bimax? I can pm pictures
 

Similar threads

R
  • Question
Replies
2
Views
71
raconeater21
R
nunotherone
Replies
4
Views
151
Buterman
Buterman
R
Replies
12
Views
220
Realism
R
monday
Replies
4
Views
507
goonmaster11
goonmaster11

Users who are viewing this thread

Back
Top