Bimax planned, but what's causing my "banana jaw"? No gonial angle, just one curve

H

htmdream

Iron
Joined
Jan 10, 2026
Posts
21
Reputation
7
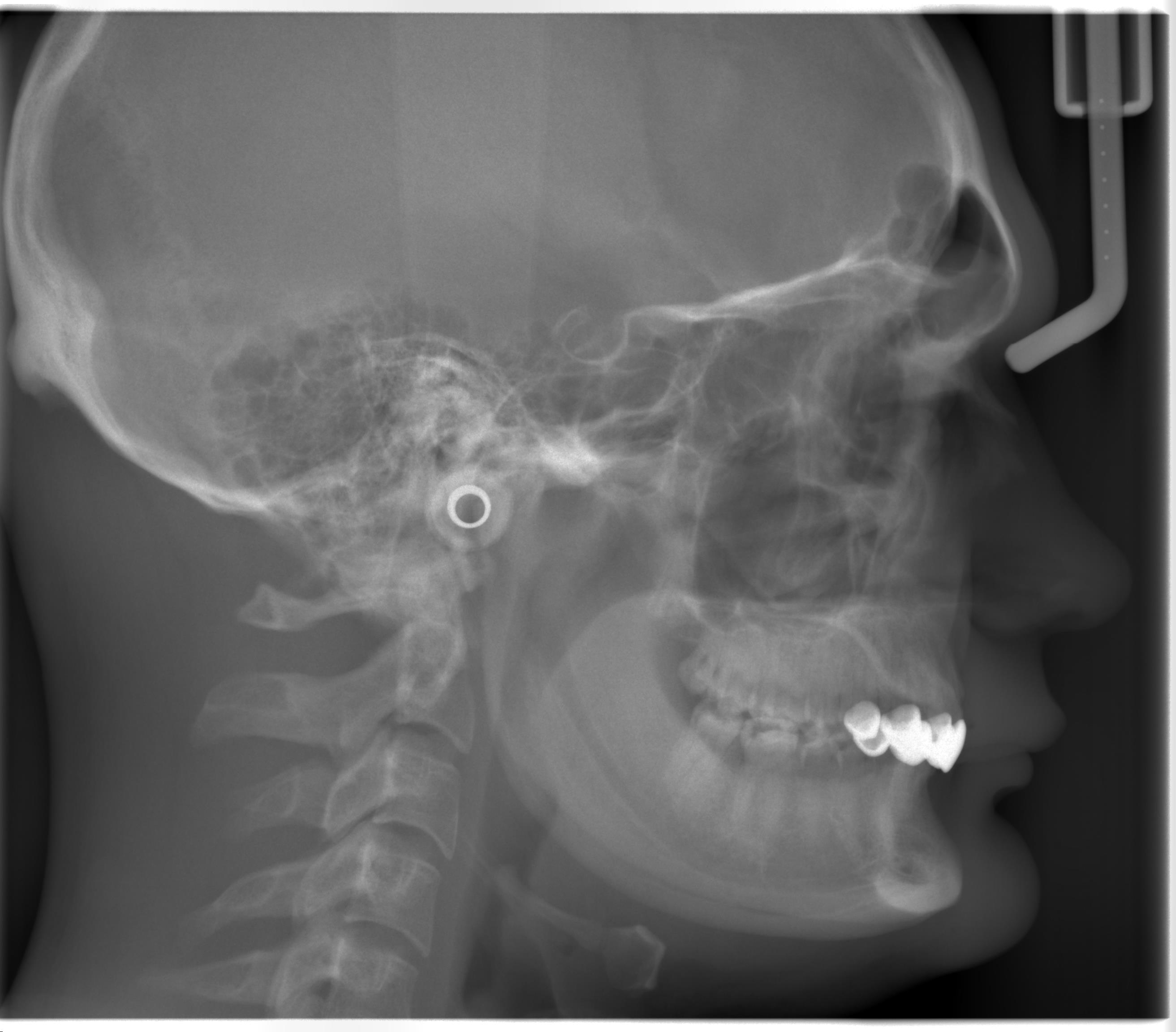
Looking for technical input from people who've researched this or been through it. CONTEXT - Male, adult, Class II retrognathic - 1 month into pre-surgical ortho - Bimax (Le Fort I + BSSO) in ~11 months - Surgeon: experienced Italian maxfax, CAD/CAM + custom PEEK workflow THE ISSUE My lateral mandibular profile has what I'd call a "banana shape" — no defined transition between ramus and body. Instead of a clear L-shape with a sharp gonial angle, the whole lower jaw reads as one continuous curve from ear to chin. Key features: - Obtuse gonial angle (visually >130°) - Undefined gonion, no "hook" - Poor cervicomental angle - Recessed pogonion - Short/thin mandibular body - Convex lower third overall Pre-op ceph attached. QUESTIONS 1. Etiology: mandibular hypoplasia, hyperdivergent pattern, backward rotation secondary to maxillary deficiency, genetic micrognathia, or combination? 2. Looking at the ceph: how much of the "banana" is realistically fixable by bimax alone (advancement + CCW rotation), and how much still requires alloplastic augmentation? 3. For those who went single-stage (bimax + custom PEEK jawline in one surgery): how was the VSP workflow? Was the implant designed on the post-BSSO virtual model? How was the fit? 4. Any case studies or threads with similar pre-op bony morphology would be hugely appreciated. Already decided on single-stage with my surgeon, so not looking for "do bimax first and see" answers. Trying to understand the underlying anatomy better for the next consult. Ceph analyses welcome. Thanks.

Da inviare l
 
Last edited:
  • +1
  • JFL
Reactions: Lookologist003, compost_ and goku21
Embarrassed Flight GIF
 
  • JFL
  • +1
Reactions: Paul.jnxy and horsefacin
Hey everyone, looking for technical input from people who've researched this or been through it themselves. STATS / CONTEXT - Male, adult - Skeletal Class II retrognathic - 1 month into pre-surgical orthodontics - Bimax (Le Fort I + BSSO) planned in ~11 months - Surgeon: well-known maxfax in Italy, experienced with CAD/CAM workflow and custom PEEK implants THE ISSUE My lateral mandibular profile has what I've been calling a "banana shape" — meaning there's no defined transition between ramus and body. Instead of the classic L-shape with a clear gonial angle, the whole lower jaw reads as one continuous curve from the ear down to the chin. Key features I can identify: - Obtuse gonial angle (visually >130°) - Undefined/rounded gonion, no "hook" - Weak jawline-to-neck transition (poor cervicomental angle) - Recessed chin (pogonion) - Short/thin mandibular body in lateral view - Overall convex lower-third profile Attaching my pre-op lateral cephalometric x-ray so you can see the bony architecture directly (soft tissue aside). QUESTIONS 1. What is the actual etiology of this morphology? Is it primarily: a) mandibular hypoplasia (small mandible overall) b) high mandibular plane angle / hyperdivergent pattern c) backward mandibular rotation secondary to maxillary deficiency d) genetic micrognathia e) combination? 2. Looking at the ceph: how much of the "banana" is realistically fixable by bimax alone (advancement + CCW rotation) vs. how much will still require alloplastic augmentation afterwards? 3. For those who went single-stage (bimax + custom PEEK jawline implant in the same surgery): how was the VSP workflow? Was the implant designed on the post-BSSO virtual model, and how did the fit turn out? 4. Any references, case studies, or before/after threads with similar starting bony morphology would be hugely appreciated — especially from people who had a similarly "curved" mandibular outline pre-op. Not looking for "just do bimax first and see" answers — I've already decided on single-stage with my surgeon and I'm trying to understand the underlying anatomy better so I can have a more informed discussion at the next consult. Cephalometric analyses / measurements welcome. Thanks in advance.View attachment 4953843
DNR:ROFLMAO:
 
  • Ugh..
Reactions: APOSTLE333
OP You absolutely need to go for trimax, and do a CW genioplasty with downgraft to get rid of your hedious mentolabial fold
 
  • +1
Reactions: compost_ and htmdream
OP You absolutely need to go for trimax, and do a CW genioplasty with downgraft to get rid of your hedious mentolabial fold
Thanks, useful input. Quick follow-ups: 1. On the ceph, what's driving the CW + downgraft call over straight advancement — vertical deficiency, or the labiomental fold specifically? 2. And on the "banana" mandibular outline itself — in your view, can trimax (with CCW rotation of the maxillomandibular complex) actually rebuild a defined gonial angle, or does that always need a custom PEEK jawline on top? How would you approach the banana jaw in my case?Thanks.
 
Thanks, useful input. Quick follow-ups: 1. On the ceph, what's driving the CW + downgraft call over straight advancement — vertical deficiency, or the labiomental fold specifically? 2. And on the "banana" mandibular outline itself — in your view, can trimax (with CCW rotation of the maxillomandibular complex) actually rebuild a defined gonial angle, or does that always need a custom PEEK jawline on top? How would you approach the banana jaw in my case?Thanks.
For the banana shape iam not sure lol it is a bit odd but I wonder if it’s only cuz it’s X-ray and not CT. We’d need to see CT to see full ramus to mandible transition
Also would be nice to see real life side pic

And for the mentolabial fold, yes you should 100% do CW and downgraft ON THE CHIN (with perhaps some advancement but doesn’t matter rn)
This will unfold your shit.
I had the same and it completely unfucked my side
 
  • +1
Reactions: compost_
How long have you been on braces for decomp ?
 
Quick note on the ceph — it was taken right before
braces went on, so it's basically my pre-ortho baseline
(1 month ago).

And trust me, IRL it's a fucking banana jaw too. Not
a 2D artifact — same curved outline from ear to chin
in real life, no defined gonion. Ceph just confirms
what the mirror shows.

Still agree CT would give a cleaner read on the
ramus-body transition though, good call.
 
  • +1
Reactions: Lookologist003
Quick note on the ceph — it was taken right before
braces went on, so it's basically my pre-ortho baseline
(1 month ago).

And trust me, IRL it's a fucking banana jaw too. Not
a 2D artifact — same curved outline from ear to chin
in real life, no defined gonion. Ceph just confirms
what the mirror shows.

Still agree CT would give a cleaner read on the
ramus-body transition though, good call.
Then you have fucked goniond and are a perfect candidate for implants.
 
  • +1
Reactions: htmdream
Then you have fucked goniond and are a perfect candidate for implants.
Yeah, same conclusion. Bimax handles sagittal + CCW, but curved mandible stays curved — just more forward. Needs alloplastic to actually build the angle. Since you've been through it: single-stage or staged? And did your jawline include bigonial widening, or mostly vertical ramus lengthening? Frontal bothers me more than profile honestly — pear-shaped lower third, no gonial flare. Hoping implants fix that more than ortho alone..
 
I did — he's one of the top 3 maxfax in Italy for
ortho. He said it's doable in principle, but doesn't
want to commit to a plan until decomp is done and the
real skeletal discrepancy shows up. Fair enough,
makes sense.

I'm just using this time to understand the anatomy
better and come to the 6-month consult with specific
questions instead of vague ones. That's where
real-world input from people who've been through it
helps — you see stuff surgeons don't always bring up
upfront.
 
why not ask the surgeon
I did — he's one of the top 3 maxfax in Italy for
ortho. He said it's doable in principle, but doesn't
want to commit to a plan until decomp is done and the
real skeletal discrepancy shows up. Fair enough,
makes sense.

I'm just using this time to understand the anatomy
better and come to the 6-month consult with specific
questions instead of vague ones. That's where
real-world input from people who've been through it
helps — you see stuff surgeons don't always bring up
upfront.
 
Your bite is so deep it might be even a traumatic bite. You need clockwise rotation, not counterclockwise rotation.
 
  • +1
Reactions: BronzeSpartan2, compost_ and htmdream
Your bite is so deep it might be even a traumatic bite. You need clockwise rotation, not counterclockwise rotation.
Fair point — overbite is definitely deep, incisors
cover maybe100% of the lowers. Not sure if
traumatic but significant.

Between CW and CCW, which one actually gives the
better aesthetic outcome in a case like mine? I get
the functional argument for CW with deep bite, but
wondering about the profile/frontal trade-off.

Also curious — any take on the banana jaw itself?
How much of that curved outline do you think is
fixable with the right rotation + genio + custom
implants combo?
 
Last edited:
Fair point — overbite is definitely deep, incisors
cover maybe100% of the lowers. Not sure if
traumatic but significant.

Between CW and CCW, which one actually gives the
better aesthetic outcome in a case like mine? I get
the functional argument for CW with deep bite, but
wondering about the profile/frontal trade-off.

Also curious — any take on the banana jaw itself?
How much of that curved outline do you think is
fixable with the right rotation + genio + custom
implants combo?
It is only fixable with clockwise rotation and genio.
 
  • +1
Reactions: compost_
Looking for technical input from people who've researched this or been through it. CONTEXT - Male, adult, Class II retrognathic - 1 month into pre-surgical ortho - Bimax (Le Fort I + BSSO) in ~11 months - Surgeon: experienced Italian maxfax, CAD/CAM + custom PEEK workflow THE ISSUE My lateral mandibular profile has what I'd call a "banana shape" — no defined transition between ramus and body. Instead of a clear L-shape with a sharp gonial angle, the whole lower jaw reads as one continuous curve from ear to chin. Key features: - Obtuse gonial angle (visually >130°) - Undefined gonion, no "hook" - Poor cervicomental angle - Recessed pogonion - Short/thin mandibular body - Convex lower third overall Pre-op ceph attached. QUESTIONS 1. Etiology: mandibular hypoplasia, hyperdivergent pattern, backward rotation secondary to maxillary deficiency, genetic micrognathia, or combination? 2. Looking at the ceph: how much of the "banana" is realistically fixable by bimax alone (advancement + CCW rotation), and how much still requires alloplastic augmentation? 3. For those who went single-stage (bimax + custom PEEK jawline in one surgery): how was the VSP workflow? Was the implant designed on the post-BSSO virtual model? How was the fit? 4. Any case studies or threads with similar pre-op bony morphology would be hugely appreciated. Already decided on single-stage with my surgeon, so not looking for "do bimax first and see" answers. Trying to understand the underlying anatomy better for the next consult. Ceph analyses welcome. Thanks.

View attachment 4953843
I think its just a genetic feature you can get, just get implants sfter bimax
 
I think its just a genetic feature you can get, just get implants sfter bimax
Yeah, leaning toward that explanation too — bony
gonion shape being largely genetic, rotation just
repositions it without reshaping.

On the timing though, why do you specifically say
implants AFTER bimax rather than same surgery? Is
it because you'd want to see how much the bimax
actually changes the outline before committing to
an implant design, or something else?

My surgeon said single-stage is technically doable
but I'm still weighing it.
 
It is only fixable with clockwise rotation and genio.
Got it — so CW + genio are the non-negotiables, implants still on top. Why CW specifically over CCW for the aesthetic side though? I'd assumed CCW would give a better profile, but you're saying CW works better with my deep bite + banana jaw combo?
 
Yeah, leaning toward that explanation too — bony
gonion shape being largely genetic, rotation just
repositions it without reshaping.

On the timing though, why do you specifically say
implants AFTER bimax rather than same surgery? Is
it because you'd want to see how much the bimax
actually changes the outline before committing to
an implant design, or something else?

My surgeon said single-stage is technically doable
but I'm still weighing it.
Im saying after because the bimax will change how your jaw is positioned, so if you get it after you can make it fit the new jaw better, but you could probably do it before still.

When youre doing major jaw surgeries like a bimax, its usually better to do any other surgeries after
 
  • +1
Reactions: LackEmpathyTherefor
Got it — so CW + genio are the non-negotiables, implants still on top. Why CW specifically over CCW for the aesthetic side though? I'd assumed CCW would give a better profile, but you're saying CW works better with my deep bite + banana jaw combo?
ccw makes no sense. your OPA and mandibular plane angles are very flat.
You need to make your jaws longer and more forward. decompensation would be needed too, to increase the overjet
 
  • +1
Reactions: Lookologist003, compost_, htmdream and 1 other person
ccw makes no sense. your OPA and mandibular plane angles are very flat.
You need to make your jaws longer and more forward. decompensation would be needed too, to increase the overjet
Solid read, thanks. Brachyfacial + deep bite + retrognathia makes CW the obvious call — longer, more forward, open the bite. Decomp abundance also explains why my surgeon won't commit to numbers yet. Two quick ones: 1. Banana mandibular outline — pure genetic gonion, or does brachyfacial contribute? 2. Would you actually recommend custom implants in my case, or do you think CW + big advancement + genio can handle it alone?
 
Yeah, same conclusion. Bimax handles sagittal + CCW, but curved mandible stays curved — just more forward. Needs alloplastic to actually build the angle. Since you've been through it: single-stage or staged? And did your jawline include bigonial widening, or mostly vertical ramus lengthening? Frontal bothers me more than profile honestly — pear-shaped lower third, no gonial flare. Hoping implants fix that more than ortho alone..
I didn’t get implants.
Trimax increased real or perceived jaw width but very slightly I always had wide jaw.
And why do you assume I had vertical ramus widening ?
 
I didn’t get implants.
Trimax increased real or perceived jaw width but very slightly I always had wide jaw.
And why do you assume I had vertical ramus widening ?
My bad on the terminology — meant bigonial widening,
not vertical ramus widening.

Good datapoint though: trimax gave you slight width
on an already wide base. My starting point is the
opposite — narrow bigonial, pear-shaped frontally.
So trimax alone probably won't cut it, implants
likely needed for the frontal fix.

Track with how you'd read it, or am I overestimating?
 
ccw makes no sense. your OPA and mandibular plane angles are very flat.
You need to make your jaws longer and more forward. decompensation would be needed too, to increase the overjet
You're one of the sharpest reads in this thread,
seriously. Brachyfacial + deep bite call changed how
I'm thinking about the whole rotational logic.

One more if you don't mind: looking purely at the
bones no soft tissue when would you
say I'd actually start benefiting from the trimax?
Is my skeletal pattern one where the result lands
close to ideal, or is there a structural ceiling
I should be realistic about?
 
Ask ur surgeon also how much is it costing u ?
 
Ask ur surgeon also how much is it costing u ?
I'm fully aware of the cost side of this whole plan, trimax + potential implants adds up. But I see it as an investment in myself, something I'll carry for the rest of my life. Worth doing right, once.
 
  • +1
Reactions: Lookologist003
I'm fully aware of the cost side of this whole plan, trimax + potential implants adds up. But I see it as an investment in myself, something I'll carry for the rest of my life. Worth doing right, once.
Yes truly worth it, u won't regret but my question was now much it cost u in dollars?
 
  • +1
Reactions: Lookologist003
A complicated case. The surgeon will probably do a 2-piece lefort to rotate the forward part of the upper jaw upwards for the deep bite, then some downgraft and vertical genio
 
Plan lines up perfectly — 2-piece Le Fort with
anterior impaction for the deep bite, downgraft +
vertical genio for the short lower third. Cleaner
than straight advancement.

Two open questions:
1. Does that alone rebuild a defined gonial angle,
or does the banana jaw stay? No implants mentioned.
2. How close to ideal does my skeletal result land?
Any ceiling to expect?
 
Looking for technical input from people who've researched this or been through it. CONTEXT - Male, adult, Class II retrognathic - 1 month into pre-surgical ortho - Bimax (Le Fort I + BSSO) in ~11 months - Surgeon: experienced Italian maxfax, CAD/CAM + custom PEEK workflow THE ISSUE My lateral mandibular profile has what I'd call a "banana shape" — no defined transition between ramus and body. Instead of a clear L-shape with a sharp gonial angle, the whole lower jaw reads as one continuous curve from ear to chin. Key features: - Obtuse gonial angle (visually >130°) - Undefined gonion, no "hook" - Poor cervicomental angle - Recessed pogonion - Short/thin mandibular body - Convex lower third overall Pre-op ceph attached. QUESTIONS 1. Etiology: mandibular hypoplasia, hyperdivergent pattern, backward rotation secondary to maxillary deficiency, genetic micrognathia, or combination? 2. Looking at the ceph: how much of the "banana" is realistically fixable by bimax alone (advancement + CCW rotation), and how much still requires alloplastic augmentation? 3. For those who went single-stage (bimax + custom PEEK jawline in one surgery): how was the VSP workflow? Was the implant designed on the post-BSSO virtual model? How was the fit? 4. Any case studies or threads with similar pre-op bony morphology would be hugely appreciated. Already decided on single-stage with my surgeon, so not looking for "do bimax first and see" answers. Trying to understand the underlying anatomy better for the next consult. Ceph analyses welcome. Thanks.

View attachment 4953843
we see the gauge piercing man, but you cant just ask ur surgeon a 3d model of what ur "banana shaped" mandible will look post bsso?
 
we see the gauge piercing man, but you cant just ask ur surgeon a 3d model of what ur "banana shaped" mandible will look post bsso?
Ha, caught the gauge.

On the 3D model — yeah, that's the plan. My surgeon
said proper VSP + CBCT happens around month 6 of
ortho once decomp shows the real skeletal pattern.
Too early right now. I'll definitely ask for the
post-BSSO 3D sim when it's ready — that'll answer
the gonion question directly.
 
  • +1
Reactions: Dewhey321
Why are you talkn like a fckn chatbot
 
  • +1
Reactions: geenk worg
Becauae in not english and ask ChatGPT to translate what I want say if I write without i talk like this ok??
 
Becauae in not english and ask ChatGPT to translate what I want say if I write without i talk like this ok??
Hahaha really Italians French and Spanish we are the most retard when it comes to English jfl
 
For the gonial angle, Implate with Ramieri is a good option.
 

Similar threads

NarrowBoneMarrow
Replies
0
Views
6
NarrowBoneMarrow
NarrowBoneMarrow
J
Replies
15
Views
135
saiflv
saiflv
bigseedy
Replies
28
Views
422
Firstname.Lastname
Firstname.Lastname
D
Replies
0
Views
28
Drm106
D
Toastyie_
Replies
2
Views
83
_Lucius
_Lucius

Users who are viewing this thread

Back
Top