Brain Scans And Language

holy

holy

Joined
Nov 5, 2024
Posts
945
Reputation
1,664
Speaking something aloud can, over time, change how the brain treats that content, whether the statement was meant seriously or as satire.
1759057161053


I'll provide a simple summary of the scientific studies that I will provide:

1. Repeating a statement makes it feel more true, even if it is false. This is the illusory truth effect, and it is robust across lab and real world materials.

2. The brain shows measurable changes when information is repeated or when people speak about themselves. Repetition often reduces neural responses in sensory and association areas, a phenomenon called repetition suppression, and it increases processing fluency which people use as a cue for truth. Valuation areas, notably ventromedial prefrontal cortex, track subjective truth and reward.

3. Speaking to yourself, self-affirming, or hearing your own voice alters connectivity and activity in brain networks for self processing, emotion regulation, and valuation. This is a plausible neural route by which spoken words reshape attitude and behavior.

4. Putting ALL of this together, the behavioral effects and the neural signatures show a coherent mechanism. Speech, repetition, and self-reference change processing fluency and engage valuation and self networks, and that shifts judgment and sometimes behavior.

Now, I will mainly focus on these images:

1759052200080
5377488_1759052214103.png
1759052270604
1759052283816


IMAGE 1 (first in the carousel)

Experimental figure showing repetition suppression in sensory and association cortex, and how repeated stimuli become easier for the brain to process.
This underlies why repeated sentences feel familiar and, therefore, truer.

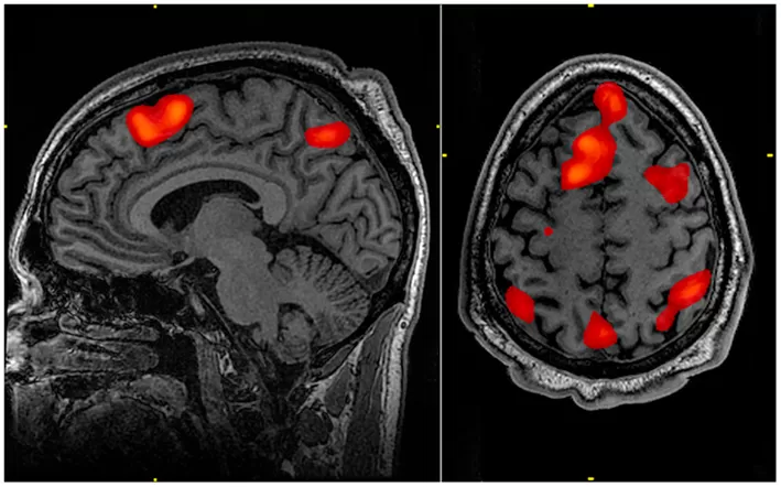
IMAGE 2

Schematic from a high level review of fMRI studies on deception, truth, and related processes. Highlights regions commonly active when people evaluate truth, conflict, or produce dishonest speech, including prefrontal and temporal areas. Useful for context about which areas light up when speech and truth judgments clash.

IMAGE 3

fMRI statistical maps from a study on brain activity during a monetary deception or truth task. Basically shows distributed activations when people lie or when cognitive control is recruited.
This illustrates that speech content and intent map to measurable differences in brain activation.

IMAGE 4

An assembly of fMRI images with highlighted regions, used in a public overview article about lie detection and brain imaging.
Visually useful for seeing multiple activation clusters at once, though the field has limits and controversies.

So, what is the direct explanation of this? Let me take you through it, step by step, with citations for the major claims:

1. THE PSYCHOLOGICAL AFFECT, THEN THE NEURAL MECHANISM

The behavioral fact, simply put, is that if people hear a statement repeatedly, they are more likely to say it is true later. This is surprisingly different to the persuasion by argument. It's actually persuasion by familiarity. People use processing ease as a proxy for truth.

The basic neural correlate is that when a stimulus is repeated, many brain areas respond less strongly on subsequent presentations. That is repetition suppression. Lower activation is not absence of processing, but it is more efficient processing. Efficient processing feels fluent. Fluency is then used by the decision system as evidence for truth. Neural repetition suppression studies show how repetition changes the brain’s signal. (study #1)

2. VOCAL PRODUCTION, SELF VOICE, AND SELF PROCESSING

When you speak, your speech motor system and auditory system interact to monitor what you said. Distorted feedback or altering voice input changes activity in superior temporal cortex and related circuits. Now, what does this exactly mean? Well, it means that your brain that your brain treats your own spoken words as tightly coupled perceptual events.

There have been recent studies that show hearing your own voice while doing emotion regulation or self talk modulates connectivity differently than hearing another voice. Self voice adds a special signal to self related networks. That amplifies the potential of spoken self talk to change how you value and respond to information. (study #2)

3. SELF AFFIRMATION, VALUATION, AND BEHAVIOR CHANGE

Self affirmations and similar verbal interventions produce measurable increases in activity in ventromedial prefrontal cortex and ventral striatum, areas tied to subjective value and reward.
Those same brain signals predict changes in behavior weeks later, for example, improved responses to health messages.
That is a direct neural pathway from spoken or internally generated self statements to future behavior. (study #3)

4. PUTTING EVERYTHING TOGETHER

Repetition makes a statement fluent, repetition suppression and fluency reduce cognitive cost, and valuation networks treat that fluency as evidence for truth.

When the statement is self related, self processing networks amplify it. When the statement is produced aloud, auditory and motor systems lock the content into a sensory loop that reinforces fluency and self reference. If you combine both of these, they basically explain why speaking something aloud, even ironically, can lead people to treat it as more true or as part of their self narrative.

BUT, LIMITATIONS AND HONEST CAVEATS, BECAUSE LITERATURE IS NOT A ONE-SIZE-FITS-ALL SOLUTION


Meaning:

1. Not everything you say aloud becomes true in your brain indefinitely. Many factors moderate the effect, including preexisting knowledge, the social context, the framing, attention, and explicit efforts to correct misinformation. Illusory truth is weaker when people focus on accuracy.

2. fMRI activation maps show associations and plausible mechanisms instead of ironclad causation. They tell us which networks are involved, not that a single sentence will permanently rewire your beliefs. Longitudinal interventions, like repeated self affirmation training, show actual behavioral change, but casual one off speech has smaller, less reliable effects.

3. The lie detection literature is... confusing. Some fMRI markers differ when people intentionally deceive, but the field has notable replication and interpretation problems. So, what does this mean? It mean's do not fucking misuse brain images as proof that someone is lying. The scans just show pattern.
Nothing else, nothing more.


SO... WHAT ARE SOME PRACTICAL TAKEAWAYS FROM THIS?

1. If you want to build a belief or habit, say it aloud regularly, in a context where you care about accuracy and follow up with action.
Self generated, repeated statements + behavior makes change far more likely.


Evidence here includes self affirmation fMRI and behavior studies:
[1]
[2]

2. If you want to guard against being misled by repetition, intentionally test claims for accuracy, and force yourself to evaluate sources.
Making accuracy salient weakens the illusory truth effect.

[3]

3. Satire and joking are also a bit confusing. If you repeatedly perform satirical claims to an audience that misses the cue, those phrases can enter collective belief via the same fluency mechanisms. Context and audience awareness matter. The brain does not read irony labels unless you make them explicit.


Speech matters.

Repetition, self reference, and hearing your own voice have measurable neural effects that explain why the brain often ends up following the tongue.
The effect size and permanence vary, and the brain is not a gullible retard, but the mechanisms are real and replicated enough to be practically useful.
Use. This. Knowledge. Responsibly. Or, you can watch jokes, slogans, and propaganda do the job for you.​
 

Attachments

  • 1759052214103.png
    1759052214103.png
    799.8 KB · Views: 0
  • 1759052249952.png
    1759052249952.png
    700.5 KB · Views: 0
  • +1
  • Hmm...
Reactions: Mitläufer, unon and EvilSatanArseRapist
Mirin effort, bookmarked.
 
  • +1
Reactions: unon and holy
Speaking something aloud can, over time, change how the brain treats that content, whether the statement was meant seriously or as satire.
View attachment 4154948

I'll provide a simple summary of the scientific studies that I will provide:

1. Repeating a statement makes it feel more true, even if it is false. This is the illusory truth effect, and it is robust across lab and real world materials.

2. The brain shows measurable changes when information is repeated or when people speak about themselves. Repetition often reduces neural responses in sensory and association areas, a phenomenon called repetition suppression, and it increases processing fluency which people use as a cue for truth. Valuation areas, notably ventromedial prefrontal cortex, track subjective truth and reward.

3. Speaking to yourself, self-affirming, or hearing your own voice alters connectivity and activity in brain networks for self processing, emotion regulation, and valuation. This is a plausible neural route by which spoken words reshape attitude and behavior.

4. Putting ALL of this together, the behavioral effects and the neural signatures show a coherent mechanism. Speech, repetition, and self-reference change processing fluency and engage valuation and self networks, and that shifts judgment and sometimes behavior.

Now, I will mainly focus on these images:

View attachment 4154844
5377488_1759052214103.png
View attachment 4154849View attachment 4154850

IMAGE 1 (first in the carousel)

Experimental figure showing repetition suppression in sensory and association cortex, and how repeated stimuli become easier for the brain to process.
This underlies why repeated sentences feel familiar and, therefore, truer.

IMAGE 2

Schematic from a high level review of fMRI studies on deception, truth, and related processes. Highlights regions commonly active when people evaluate truth, conflict, or produce dishonest speech, including prefrontal and temporal areas. Useful for context about which areas light up when speech and truth judgments clash.

IMAGE 3

fMRI statistical maps from a study on brain activity during a monetary deception or truth task. Basically shows distributed activations when people lie or when cognitive control is recruited.
This illustrates that speech content and intent map to measurable differences in brain activation.

IMAGE 4

An assembly of fMRI images with highlighted regions, used in a public overview article about lie detection and brain imaging.
Visually useful for seeing multiple activation clusters at once, though the field has limits and controversies.

So, what is the direct explanation of this? Let me take you through it, step by step, with citations for the major claims:

1. THE PSYCHOLOGICAL AFFECT, THEN THE NEURAL MECHANISM

The behavioral fact, simply put, is that if people hear a statement repeatedly, they are more likely to say it is true later. This is surprisingly different to the persuasion by argument. It's actually persuasion by familiarity. People use processing ease as a proxy for truth.

The basic neural correlate is that when a stimulus is repeated, many brain areas respond less strongly on subsequent presentations. That is repetition suppression. Lower activation is not absence of processing, but it is more efficient processing. Efficient processing feels fluent. Fluency is then used by the decision system as evidence for truth. Neural repetition suppression studies show how repetition changes the brain’s signal. (study #1)

2. VOCAL PRODUCTION, SELF VOICE, AND SELF PROCESSING

When you speak, your speech motor system and auditory system interact to monitor what you said. Distorted feedback or altering voice input changes activity in superior temporal cortex and related circuits. Now, what does this exactly mean? Well, it means that your brain that your brain treats your own spoken words as tightly coupled perceptual events.

There have been recent studies that show hearing your own voice while doing emotion regulation or self talk modulates connectivity differently than hearing another voice. Self voice adds a special signal to self related networks. That amplifies the potential of spoken self talk to change how you value and respond to information. (study #2)

3. SELF AFFIRMATION, VALUATION, AND BEHAVIOR CHANGE

Self affirmations and similar verbal interventions produce measurable increases in activity in ventromedial prefrontal cortex and ventral striatum, areas tied to subjective value and reward.
Those same brain signals predict changes in behavior weeks later, for example, improved responses to health messages.
That is a direct neural pathway from spoken or internally generated self statements to future behavior. (study #3)

4. PUTTING EVERYTHING TOGETHER

Repetition makes a statement fluent, repetition suppression and fluency reduce cognitive cost, and valuation networks treat that fluency as evidence for truth.

When the statement is self related, self processing networks amplify it. When the statement is produced aloud, auditory and motor systems lock the content into a sensory loop that reinforces fluency and self reference. If you combine both of these, they basically explain why speaking something aloud, even ironically, can lead people to treat it as more true or as part of their self narrative.

BUT, LIMITATIONS AND HONEST CAVEATS, BECAUSE LITERATURE IS NOT A ONE-SIZE-FITS-ALL SOLUTION

Meaning:

1. Not everything you say aloud becomes true in your brain indefinitely. Many factors moderate the effect, including preexisting knowledge, the social context, the framing, attention, and explicit efforts to correct misinformation. Illusory truth is weaker when people focus on accuracy.

2. fMRI activation maps show associations and plausible mechanisms instead of ironclad causation. They tell us which networks are involved, not that a single sentence will permanently rewire your beliefs. Longitudinal interventions, like repeated self affirmation training, show actual behavioral change, but casual one off speech has smaller, less reliable effects.

3. The lie detection literature is... confusing. Some fMRI markers differ when people intentionally deceive, but the field has notable replication and interpretation problems. So, what does this mean? It mean's do not fucking misuse brain images as proof that someone is lying. The scans just show pattern.
Nothing else, nothing more.


SO... WHAT ARE SOME PRACTICAL TAKEAWAYS FROM THIS?

1. If you want to build a belief or habit, say it aloud regularly, in a context where you care about accuracy and follow up with action.
Self generated, repeated statements + behavior makes change far more likely.


Evidence here includes self affirmation fMRI and behavior studies:
[1]
[2]

2. If you want to guard against being misled by repetition, intentionally test claims for accuracy, and force yourself to evaluate sources.
Making accuracy salient weakens the illusory truth effect.

[3]

3. Satire and joking are also a bit confusing. If you repeatedly perform satirical claims to an audience that misses the cue, those phrases can enter collective belief via the same fluency mechanisms. Context and audience awareness matter. The brain does not read irony labels unless you make them explicit.


Speech matters.

Repetition, self reference, and hearing your own voice have measurable neural effects that explain why the brain often ends up following the tongue.
The effect size and permanence vary, and the brain is not a gullible retard, but the mechanisms are real and replicated enough to be practically useful.
Use. This. Knowledge. Responsibly. Or, you can watch jokes, slogans, and propaganda do the job for you.​
Marin the effort will read
 
  • +1
Reactions: holy

Similar threads

Nodesbitch
Replies
75
Views
2K
Ulysses2.3
Ulysses2.3
A
Replies
8
Views
424
LwsP7
L
emirtbp
Replies
15
Views
1K
tightmason
tightmason
Nodesbitch
Replies
11
Views
793
weepmeep
weepmeep
weepmeep
Replies
13
Views
1K
hej1377
hej1377

Users who are viewing this thread

Back
Top