Büyüme plağı meselesi

Eren151

Eren151

Bronze
Joined
Dec 21, 2024
Posts
363
Reputation
243
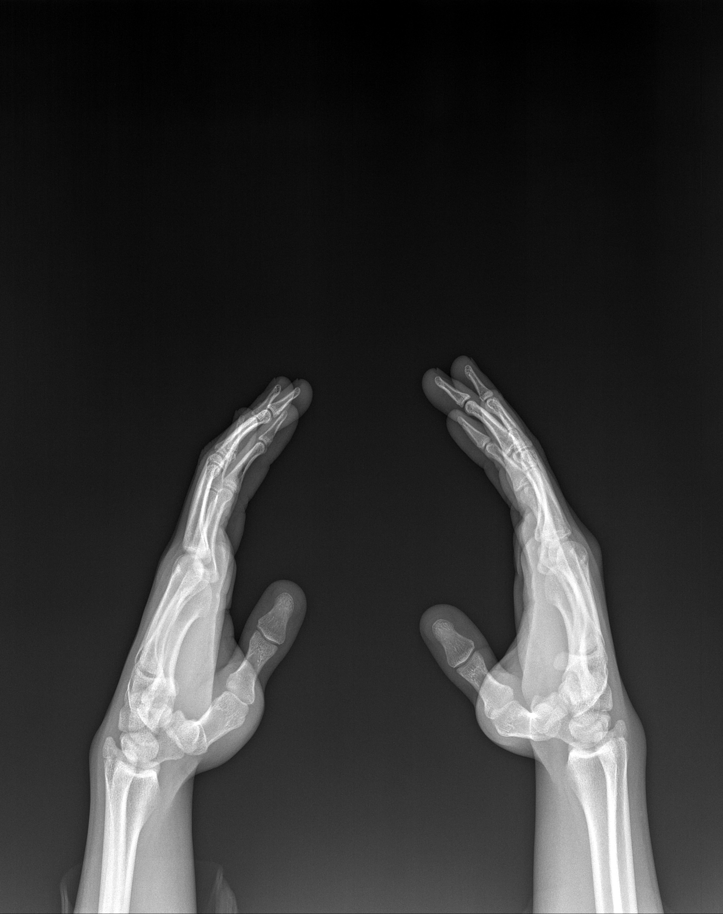
IMG 2494

Ne diyonuz açık kapalı
 
  • +1
Reactions: Thrill and growthplatessss111
parmaktakiler kapalı ama düzgün röntgen yok mu böyle emin değilim
IMG 2495

Açıkla Karşılaştırma yaptımda kapalı diye yorumladım dize baktırcam artık bidahaki röntgende
 
  • +1
Reactions: Thrill and growthplatessss111
  • +1
Reactions: Thrill
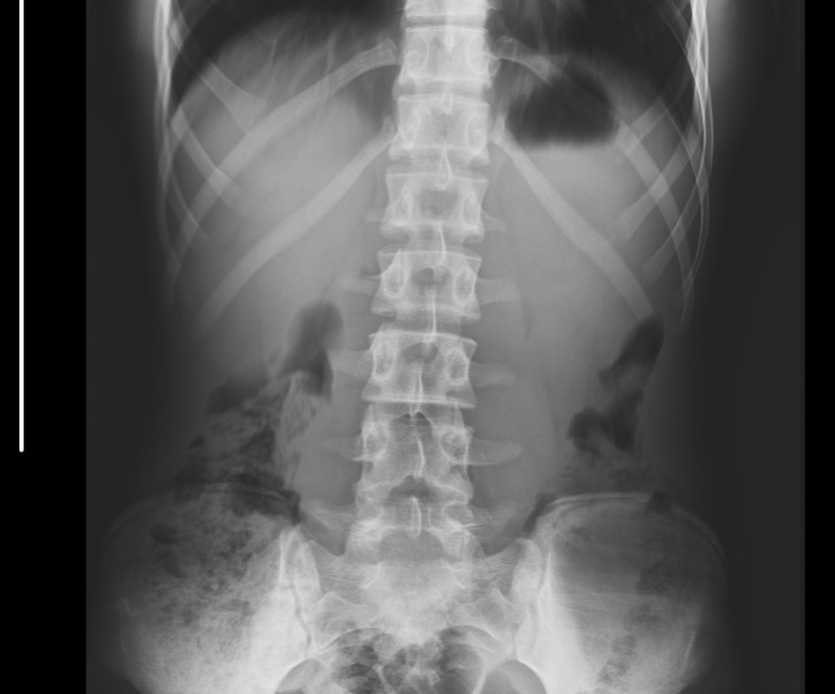
Kalça kemiğinden anlaşılıyor sanırım bide atsam bi bakarmısın?
kalça kemiği bildiğim kadarıyla ergenliği geçmiş kişilerd ekemik yaşı tayinini daha rahat yapabilmek için. çok anlamam ama femurun üst kısmı kapalı mı değil mi diye at yine de bi. alt kısım daha geç kapanıyor ama
 
  • +1
Reactions: Thrill
over knk kapalı
yaş kaç
+ 1 yılda ne kdr uadın
 
  • +1
Reactions: Thrill and growthplatessss111
sana bir şey sorabilir miyim
yadın kaç ve son 6 ayda ve son 1 senede hiç uzadın mı?
Son 1 senede uzadım sanırım ama garanti veremiyorum geçen seneki boyumu bilmediğim için
 
  • +1
Reactions: Thrill and growthplatessss111
Son 1 senede uzadım sanırım ama garanti veremiyorum geçen seneki boyumu bilmediğim için
emin değilsen 1-2cmdır zaten max
diz çektirmenin çok bir anlamıda yok kapanmıştır oda
 
  • +1
Reactions: Thrill
kalça kemiği bildiğim kadarıyla ergenliği geçmiş kişilerd ekemik yaşı tayinini daha rahat yapabilmek için. çok anlamam ama femurun üst kısmı kapalı mı değil mi diye at yine de bi. alt kısım daha geç kapanıyor ama
IMG 2510

Böyle aga kısmen gözüküyor bana kalsa boydan çekerimde çekmiyorlar işte
 
  • +1
Reactions: Thrill and growthplatessss111
View attachment 4653966
Böyle aga kısmen gözüküyor bana kalsa boydan çekerimde çekmiyorlar işte
çok anlamıyorum kalçadan dediğim gibi. bacağın üstü de vardır sandım
xray lateral olsaydı belki apofiz plaklarına bakılırdı. burası genelde yetişkin birisi için falan adli falan bi şeyler kemik yaşı istenirken çekiliyor
 
Last edited:
  • +1
Reactions: Thrill and Eren151
çok anlamıyorum kalçadan dediğim gibi. bacağın üstü de vardır sandım
xray lateral olsaydı belki apofiz plaklarına bakılırdı. burası genelde yetişkin birisi için falan adli falan bi şeyler kemik yaşı istenirken çekiliyor
Açıkmış kanka bu arada aldığım bilgi urlde Url
 
  • +1
Reactions: Thrill

Similar threads

JustForLaughs
Replies
5
Views
124
Trenmaxx1
Trenmaxx1
epigenic
Replies
12
Views
234
testtrenvar
T
botdericektshoeIift
Replies
8
Views
91
blackpillruinedmyli
blackpillruinedmyli
susisesi
Replies
5
Views
101
meynet
meynet

Users who are viewing this thread

Back
Top