Connection of teeth protrusion and a fat tounge

RAMU KAKA

RAMU KAKA

Fraudster.
Joined
Jan 2, 2023
Posts
4,675
Reputation
7,195
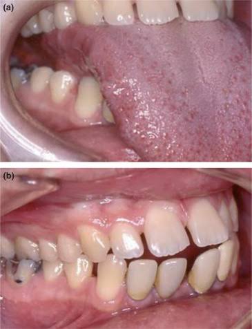
Its called macroglossia in medical terms

Images   2024 01 28T121445514


Macroglossia may lead to open bite deformities, prognathism, malocclusion, anterior or posterior crossbite, buccal tipping of posterior teeth, accentuated curve of Spee in the maxillary arch, reverse curve of Spee in the mandibular arch, and increased transverse width of mandibular or maxillary arches.

I seem to have this problem but maxillary incisors arent protrusive, I have huge gaps between my canines and premolar

But my lower incisors are protruded just like the pic above

IMG 20230214 153904

IMG 20230214 153927


Would fixing this using braces ascend me? It did ascend a user here who had the same problem @VinnyH
 
  • +1
Reactions: diditeverbegin, VinnyH and Rabbesol34
bro just sucking cock all day
 
  • JFL
  • WTF
Reactions: Deleted member 20370, Mog3D and RAMU KAKA
if your bite and lip seal are fine then face wont change it'll just give you better teeth which is cool
 
if your bite and lip seal are fine then face wont change it'll just give you better teeth which is cool
How can my bite be fine? I mean my teeth do sit properly but the protrusion of lower incisors has given me sort of a deep bite
 
Its called macroglossia in medical terms

View attachment 2705702

Macroglossia may lead to open bite deformities, prognathism, malocclusion, anterior or posterior crossbite, buccal tipping of posterior teeth, accentuated curve of Spee in the maxillary arch, reverse curve of Spee in the mandibular arch, and increased transverse width of mandibular or maxillary arches.

I seem to have this problem but maxillary incisors arent protrusive, I have huge gaps between my canines and premolar

But my lower incisors are protruded just like the pic above

View attachment 2705703
View attachment 2705704

Would fixing this using braces ascend me? It did ascend a user here who had the same problem @VinnyH
Fyi my teeth still looks horrible but it did fix my gap and overbite
 
  • +1
Reactions: RAMU KAKA
Its called macroglossia in medical terms

View attachment 2705702

Macroglossia may lead to open bite deformities, prognathism, malocclusion, anterior or posterior crossbite, buccal tipping of posterior teeth, accentuated curve of Spee in the maxillary arch, reverse curve of Spee in the mandibular arch, and increased transverse width of mandibular or maxillary arches.

I seem to have this problem but maxillary incisors arent protrusive, I have huge gaps between my canines and premolar

But my lower incisors are protruded just like the pic above

View attachment 2705703
View attachment 2705704

Would fixing this using braces ascend me? It did ascend a user here who had the same problem @VinnyH
giga canine mogger
 
  • JFL
Reactions: RAMU KAKA
Go for it bro
 

Similar threads

hopecel271
Replies
7
Views
53
hopecel271
hopecel271
Richard182
Replies
13
Views
100
sqaqyi
sqaqyi
P
Replies
8
Views
62
ptown069
P
axuerce
Replies
4
Views
44
pslmoggergreycel
pslmoggergreycel
W
Replies
1
Views
34
fraudster#1
fraudster#1

Users who are viewing this thread

Back
Top