Criteria for ascending hard via jaw surgery

Kinda useless, its more a selling a point. Any bsso will widen your jaw a few mm
the issue is it wouldn't really do that though , it's more of an illusion because of the projection right ?
 
  • +1
Reactions: lurking truecel
20251012 1754320

20251028 014449

20251012 0747281

20231017 13221621

1000084886

I think I hit a few of the criteria.

bad class 2, Okayish gonion width without needing implants and the sfs 0 gingival and upper incisor show smile.

Also no Ramieri in this thread? Does he not have the same level of results as Alfaro? Another thing I noticed is that you said overbite but I think the right term should be overjet as that is more indicative of a class 2 skeletal relationship where the lower jaw is recessed since overbite is a dental indicator.


Great thread as always thank you.
 
Last edited:
  • +1
Reactions: lurking truecel
the issue is it wouldn't really do that though , it's more of an illusion because of the projection right ?
Nah it widen, because of how segments come forward. But most jaw surgeons or the standard is to make the condyles move as little as possible. But it happens automatically
 
  • Woah
Reactions: ltn_looksminner
View attachment 4403280
View attachment 4403281
View attachment 4403291
View attachment 4403314
View attachment 4403297
I think I hit a few of the criteria.

bad class 2, Okayish gonion width without needing implants and the sfs 0 gingival and upper incisor show smile.

Also no Ramieri in this thread? Does he not have the same level of results as Alfaro? Another thing I noticed is that you said overbite but I think the right term should be overjet as that is more indicative of a class 2 skeletal relationship where the lower jaw is recessed since overbite is a dental indicator.


Great thread as always thank you.
Ram compared to raffaini and alfaro is relatively conservative which makes the result less impressive.
 
  • Woah
Reactions: yussimania
I have a borderline short face as you can see by my scans.

I have a long ramus and well rotated jaw, which I think fits the criteria, although I have a class 1 dental occlusion, we’re going to decompensate my teeth as much as possible, so I can get a bigger movement.

Do you think a small bit of downgrafting is necessary? I’m also gonna add height and width to my chin with custom genio.

My surgeon is gonna do roughly a 12mm BSSO and 5mm Lefort 1. Haven’t decided genio movements yet.

View attachment 4402384View attachment 4402386View attachment 4402387View attachment 4402382

I don’t have great gonion flare, however I’m just gonna chew and build my masseters for lower third width.


Thoughts on everything? @lurking truecel
One easy way to see if you need downgraft is to relax the mouth, open it. If you dont see your teeth or just very slightly see teeth when you relax you need some downgraft. But its a balance because doing forward movement will also reveal a little bit.

Yes you want to compensate as much as possible as you want the whole lower jaw to come forward as much as possible so you dont need to compensate with genio much. Genio should ideally be just for vertical changes. I think flaring will be good for you.

I wouldnt add chin width because you dont need it, ideally you dont need genio at all apart from vertical maybe if the decomp goes well
 
  • +1
Reactions: tweaqo, yussimania and ltn_looksminner
I think you'd benefit from jaw angle implants tbh. Thing is- people go overboard and construct very strong uncanny looking implants, not accounting for the thicker soft tissue in that region, which makes these implants look bad. But if you go conservative, you can get a decent result.
Im considering implants after I have recovered from bimax. People have said online that if you are recessed and just do implants you will look ridiculous
 
  • +1
Reactions: lurking truecel
what would you suggest to people with poor gonion definition/lack of downward growth but good bite/projection/side profile?

can you get downgrafts with no advancement and just angularity + to stretch your cheeks?
 
  • +1
Reactions: lurking truecel
I don’t possess most traits mentioned but my jaw is recessed , if not bimax then what do you think is best , also why is it you think angle implants look bad
 
  • +1
Reactions: lurking truecel
what would you suggest to people with poor gonion definition/lack of downward growth but good bite/projection/side profile?

can you get downgrafts with no advancement and just angularity + to stretch your cheeks?
That would be ridicoulous. Then implants or fillers is the better option. Maybe mse or whatever. But doing only downgraft for stretching of soft tissue would not performed by any serious surgeon. And you would need extreme sfs to even consider it
 
One easy way to see if you need downgraft is to relax the mouth, open it. If you dont see your teeth or just very slightly see teeth when you relax you need some downgraft. But its a balance because doing forward movement will also reveal a little bit.

Yes you want to compensate as much as possible as you want the whole lower jaw to come forward as much as possible so you dont need to compensate with genio much. Genio should ideally be just for vertical changes. I think flaring will be good for you.

I wouldnt add chin width because you dont need it, ideally you dont need genio at all apart from vertical maybe if the decomp goes well
Yeah that’s what the surgeon said. That I might not even need genio, at least not a big one. However I will still get one for best aesthetic outcome, a small one for height, width and small forward projection.

He said i will gain alot of face height even without downgrafting maxilla, just by bringing my jaw forward.

Before I had camouflage orthodontics, I had textbook SFS indicators, like very little teet/gum show when smiling, collapsed looking chin, with deep mentolabial fold etc.

But since getting braces, all of these have been masked, now I’m getting decomp, they will all come back again before jaw surgery.

Man decomp is gonna be hard, I will look so ugly
 
  • +1
Reactions: yussimania and lurking truecel
I don’t possess most traits mentioned but my jaw is recessed , if not bimax then what do you think is best , also why is it you think angle implants look bad
Angle implants often looks bad because its the muscle that usually creates the angle. The bone is 1 cm deep buried in soft tissue no matter what kind of gonion width you have. Deattaching and attaching the masster muscle to the implant or have the implant lower then the muscle insertion itself often doesnt look good.
 
  • +1
Reactions: axttt_ and tweaqo
Yrah i dont see many of my teeth when I open my mouth like u said, maybe a small downgraft would help
 
Yeah that’s what the surgeon said. That I might not even need genio, at least not a big one. However I will still get one for best aesthetic outcome, a small one for height, width and small forward projection.

He said i will gain alot of face height even without downgrafting maxilla, just by bringing my jaw forward.

Before I had camouflage orthodontics, I had textbook SFS indicators, like very little teet/gum show when smiling, collapsed looking chin, with deep mentolabial fold etc.

But since getting braces, all of these have been masked, now I’m getting decomp, they will all come back again before jaw surgery.

Man decomp is gonna be hard, I will look so ugly
i wouldnt just do a small genio for width and projection. All things look better untouched, it should be a good indicator as to why you need to widen. Not just a mm here and there. The accuracy can be off by a mm litteraly. When i look at your chin i dont see any indication of a genio, and rams genios and many other surgeons to are unfortunately not the best.
 
  • +1
Reactions: tweaqo
Yrah i dont see many of my teeth when I open my mouth like u said, maybe a small downgraft would help
1765194227814
you should see like 2-3 mm of teeth when doing this while being relaxed in the upper lip, Open slightly less then in this pic
 
  • +1
Reactions: tweaqo
i wouldnt just do a small genio for width and projection. All things look better untouched, it should be a good indicator as to why you need to widen. Not just a mm here and there. The accuracy can be off by a mm litteraly. When i look at your chin i dont see any indication of a genio, and rams genios and many other surgeons to are unfortunately not the best.
Okok thanks for the advice I will talk to him about this and see what we can do.

Also when I look at my CT scan and skull, it looks like I have asymmetry of the chin, this also appears to be the case when I look at my face too, here is the soft tissue scan of my face IMG 0754

It’s also worth mentioning that I used to have a cross bite, before orthodontics, is this fixeable?
 
  • +1
Reactions: lurking truecel
Okok thanks for the advice I will talk to him about this and see what we can do.

Also when I look at my CT scan and skull, it looks like I have asymmetry of the chin, this also appears to be the case when I look at my face too, here is the soft tissue scan of my faceView attachment 4403692

It’s also worth mentioning that I used to have a cross bite, before orthodontics, is this fixeable?
I mean i dont see the assymetry, and assymetry is not 1 to 1 with bone. You could fix the bone assymetry but it would still look equally assymetric because soft tissue is formed that way. Bringing the lower jaw forward can expose new assymetries aswell. One of the downsides
 
  • +1
Reactions: tweaqo
Fuck I have almost no teeth show
The thing is you still dont want to make huge down graft and make lower third to vertically high. You already got relatively or actually normal lower third height.so down graft might not be an option either way and you will need to rely on the forward movent to expose teeth instead

Also their is one alternative to make the teeth show more
 
  • +1
Reactions: tweaqo
The thing is you still dont want to make huge down graft and make lower third to vertically high. You already got relatively or actually normal lower third height.so down graft might not be an option either way and you will need to rely on the forward movent to expose teeth instead
Ok that is true, also considering the fact I am doing a large lower movement, which surprised me that a surgeon is willing to do that much on me. He said a downgraft is possible, but only a very small.
 
  • +1
Reactions: lurking truecel
Ok that is true, also considering the fact I am doing a large lower movement, which surprised me that a surgeon is willing to do that much on me. He said a downgraft is possible, but only a very small.
The movements also depends slightly how you measure. If you ask pag for movements he will only give you the forward movement from the side. While ramieri will give you the bone seperation movements. So if you watch clearly from the side, 10 mm bone seperation would give like 7 mm of actual diffrence.
 
  • +1
Reactions: tweaqo
Angle implants often looks bad because its the muscle that usually creates the angle. The bone is 1 cm deep buried in soft tissue no matter what kind of gonion width you have. Deattaching and attaching the masster muscle to the implant or have the implant lower then the muscle insertion itself often doesnt look good.
So would you say short ramus height is a flaw one just has to live with or there’s something else that can be done
 
  • +1
Reactions: lurking truecel
The movements also depends slightly how you measure. If you ask pag for movements he will only give you the forward movement from the side. While ramieri will give you the bone seperation movements. So if you watch clearly from the side, 10 mm bone seperation would give like 7 mm of actual diffrence.
That is interesting, so would the actual measurement that actually matters be on the pogonion?
 
  • +1
Reactions: lurking truecel
That is interesting, so would the actual measurement that actually matters be on the pogonion?
Depends most people get like 9 mm one side and 13 the other for assymetry in length of the mandible bodies. But the average pog becomes another value
 
  • +1
Reactions: tweaqo
So would you say short ramus height is a flaw one just has to live with or there’s something else that can be done
i mean short ramus is not so big flaw if not severe
 
  • +1
Reactions: axttt_
  • +1
Reactions: axttt_
in those who dont get decompensation, you can just get some genioplasty with some forward projection to fraud a slightly longer jaw that you would've gotten from the decompensation?
 
  • +1
Reactions: lurking truecel
in those who dont get decompensation, you can just get some genioplasty with some forward projection to fraud a slightly longer jaw that you would've gotten from the decompensation?
Yea but it will looks worse but yea
 
  • +1
Reactions: DonaldJTrump
Ramieri iirc talks highly of it though,

wouldn't it be a good shot to get a decent bit of ramus widening alongside BSSO?

otherwise I may just have to cave in w/ implants
I asked him about it recently and he said it's worth doing, however I think it will work best if you already have decent width and can meaningfully improve from a subtle addition. If your width is a big issue I doubt it will do much to save it.
 
  • +1
Reactions: lurking truecel
only having some of these points would be enough to ascend your front. for example one might not have an extreme overbite per se but a recessed mandible and fleeing chin might still be present, in which case a djs would solve your lip seal fron the front as well. a tall jaw is also not required since ccw rotations for the bsso exist. good thread though
 
  • +1
  • Hmm...
Reactions: K.German Psycho and lurking truecel
Am i a good djs candidate?
would i need marpe and braces before ?
 

Attachments

  • IMG_4108.png
    IMG_4108.png
    6.2 MB · Views: 0
  • IMG_4106.png
    IMG_4106.png
    9.7 MB · Views: 0
  • IMG_4104.png
    IMG_4104.png
    4.2 MB · Views: 0
  • IMG_4109.png
    IMG_4109.png
    7 MB · Views: 0
  • IMG_4107.png
    IMG_4107.png
    5.1 MB · Views: 0
  • IMG_4110.png
    IMG_4110.png
    3.8 MB · Views: 0
  • IMG_4112.png
    IMG_4112.png
    4.4 MB · Views: 0
  • IMG_4113.png
    IMG_4113.png
    4.6 MB · Views: 0
  • IMG_4111.png
    IMG_4111.png
    4.8 MB · Views: 0
  • IMG_4105.png
    IMG_4105.png
    5.2 MB · Views: 0
  • +1
Reactions: lurking truecel
We all seen the best results from bimax, and if you want that your bimax to actually ascend you from front and side then you need to reach up to a few of these criterias.

criterias to actually ascend from front:

1. You need to have decent jaw width(black) at the gonions( wide jaw), both good examples, right has outward gonions(unfortunate he has short ramus), jaw implants look shit so over if you dont have.

View attachment 4401191

2. Good vertical height across the whole mandible(long ramus big part of it), but if you got too much you will be ogre( very bad). black box is good, red bad:

View attachment 4401213

3. you have a gummy smile(impaction even if it comes some with downsides) or little tooth show( downgraft case, sfs)

View attachment 4401220

4. you need to have bite issues, extreme overbite(7 mm +), underbite, deep bite, or anterior open bite(get your condyles checked).(you can create via decomp)

View attachment 4401228


5. big nasolabial angle and the lip being far behind your nose. this means that you can get a big change on the lips from front movement. the higher you have the greater the change possible

View attachment 4401243

if you dont have all of these then bimax will not change front for you at all.(overbite could be created if you are decompensated somehow)

side profile criterias:

side is cope we know most people can ascend with bimax from the side even most psl gods glazed on this site. so dont even bother if thats the only thing unless severe retrusion. And also the front criteria is enough to understand if its worth. But for function side is ofc very important



Okey now, lets look at some bimax results and there skeletal disposition and the reason why the result became so good or why its not so good.

Lets start with gustavo, Alfaro bimax case, the most famous bimax result online:


View attachment 4400481
View attachment 4400495

lets look at his skeleton, which explains the huge transformation:

View attachment 4400494


Lets now look at another alfaro case which didnt have equally good ascension, but he still had a sfs.

As we can see from the front he didnt have as much of a overbite or retrusion.
View attachment 4400504

Because he didnt have much recession the lower jaw didnt became more vertically long as it wasnt hidden away behind a huge overbite or deep bite as in gustavos case. But he did a vertical genio which i think was a mistake

View attachment 4400505


lets look at his bones and compare to gustavos:

View attachment 4400538


Lets look at the standard recessed case, which has a functional issue. But he doesnt have a gummy smile or much short face syndrome. This makes his front appear the same almost. As we also can notice is that more forward projection will make it seem like its less width on the mandible because of perception.

huge side ascension:
View attachment 4400547

almost nothing changed from front because of no sfs or excess gummy show:
View attachment 4400549

lets look at the bones:

View attachment 4400568


lets look at some more of the most famous bimax cases with the biggest asensions.

lets start with raffaini case:

He got a relatively big overbite, where his lower mandible is hidden because of it. clear indicator is that his chin is far back behind his chin.
View attachment 4400577

from the front he ascends hard when his overly short chin and mandible is coming forward to make his his lowr third seem normal height and not hidden.
View attachment 4400583


his skeleton:

View attachment 4400585


another raffaini case, extremly good base for bimax:

retruded both in the lower and upper jaw( huge nasolabial angle, his upper lip is far behind his nasal base, which makes it possible to go huge on the maxilla and mandible)

View attachment 4400591

From the front his lips become more supported with the huge uppr maxilla movement, and his lower jaw hidden by a big overbite is now in the view.
View attachment 4400595

lets look at his bones, as we can see have the perfect base, and he also gets huge movements which makes a big diffrence:

View attachment 4400603


side note: i dont account on other failos you have like, huge nose, bad eyes, bad phil or whatever that is not addressed primarly via jaw surgery.


side note on the gustavo case, he got severly underadvanced compared to his plan. but yea the front still looks really good. But just shows how unpredictable the surgery is :

View attachment 4400621
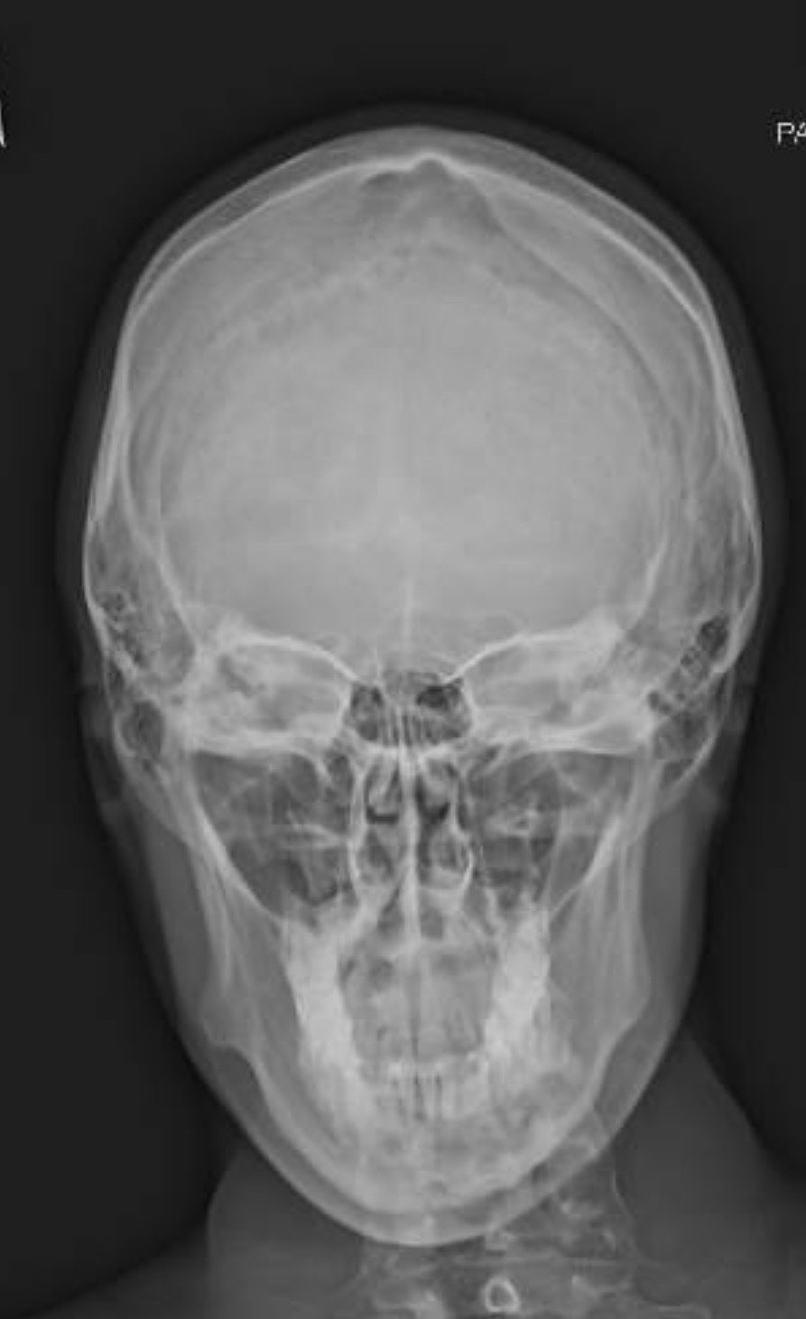
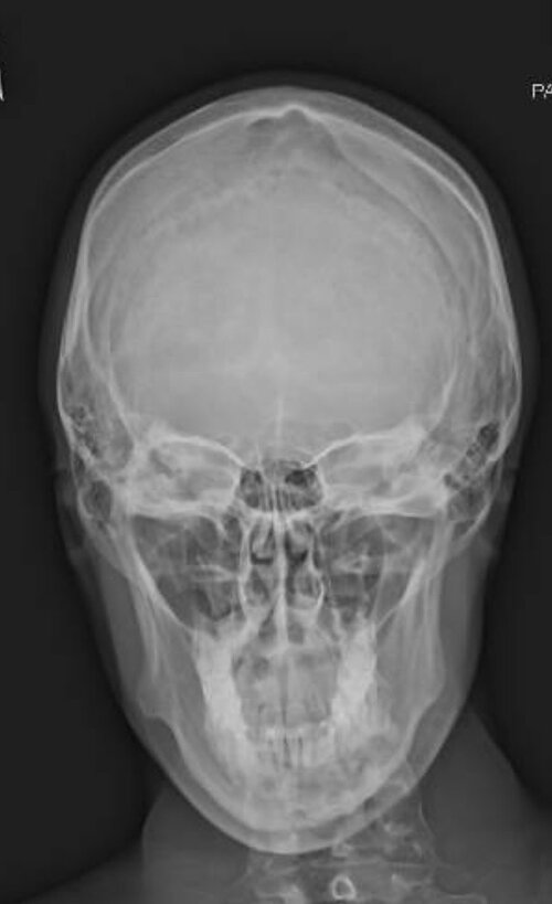
Am I cooked if I get jaw implants? My jaw is narrow and it looks like I already have outward gonions.
 

Attachments

  • xray.jpg
    xray.jpg
    75.9 KB · Views: 0
  • +1
Reactions: lurking truecel
We all seen the best results from bimax, and if you want that your bimax to actually ascend you from front and side then you need to reach up to a few of these criterias.

criterias to actually ascend from front:

1. You need to have decent jaw width(black) at the gonions( wide jaw), both good examples, right has outward gonions(unfortunate he has short ramus), jaw implants look shit so over if you dont have.

View attachment 4401191

2. Good vertical height across the whole mandible(long ramus big part of it), but if you got too much you will be ogre( very bad). black box is good, red bad:

View attachment 4401213

3. you have a gummy smile(impaction even if it comes some with downsides) or little tooth show( downgraft case, sfs)

View attachment 4401220

4. you need to have bite issues, extreme overbite(7 mm +), underbite, deep bite, or anterior open bite(get your condyles checked).(you can create via decomp)

View attachment 4401228


5. big nasolabial angle and the lip being far behind your nose. this means that you can get a big change on the lips from front movement. the higher you have the greater the change possible

View attachment 4401243

if you dont have all of these then bimax will not change front for you at all.(overbite could be created if you are decompensated somehow)

side profile criterias:

side is cope we know most people can ascend with bimax from the side even most psl gods glazed on this site. so dont even bother if thats the only thing unless severe retrusion. And also the front criteria is enough to understand if its worth. But for function side is ofc very important



Okey now, lets look at some bimax results and there skeletal disposition and the reason why the result became so good or why its not so good.

Lets start with gustavo, Alfaro bimax case, the most famous bimax result online:


View attachment 4400481
View attachment 4400495

lets look at his skeleton, which explains the huge transformation:

View attachment 4400494


Lets now look at another alfaro case which didnt have equally good ascension, but he still had a sfs.

As we can see from the front he didnt have as much of a overbite or retrusion.
View attachment 4400504

Because he didnt have much recession the lower jaw didnt became more vertically long as it wasnt hidden away behind a huge overbite or deep bite as in gustavos case. But he did a vertical genio which i think was a mistake

View attachment 4400505


lets look at his bones and compare to gustavos:

View attachment 4400538


Lets look at the standard recessed case, which has a functional issue. But he doesnt have a gummy smile or much short face syndrome. This makes his front appear the same almost. As we also can notice is that more forward projection will make it seem like its less width on the mandible because of perception.

huge side ascension:
View attachment 4400547

almost nothing changed from front because of no sfs or excess gummy show:
View attachment 4400549

lets look at the bones:

View attachment 4400568


lets look at some more of the most famous bimax cases with the biggest asensions.

lets start with raffaini case:

He got a relatively big overbite, where his lower mandible is hidden because of it. clear indicator is that his chin is far back behind his chin.
View attachment 4400577

from the front he ascends hard when his overly short chin and mandible is coming forward to make his his lowr third seem normal height and not hidden.
View attachment 4400583


his skeleton:

View attachment 4400585


another raffaini case, extremly good base for bimax:

retruded both in the lower and upper jaw( huge nasolabial angle, his upper lip is far behind his nasal base, which makes it possible to go huge on the maxilla and mandible)

View attachment 4400591

From the front his lips become more supported with the huge uppr maxilla movement, and his lower jaw hidden by a big overbite is now in the view.
View attachment 4400595

lets look at his bones, as we can see have the perfect base, and he also gets huge movements which makes a big diffrence:

View attachment 4400603


side note: i dont account on other failos you have like, huge nose, bad eyes, bad phil or whatever that is not addressed primarly via jaw surgery.


side note on the gustavo case, he got severly underadvanced compared to his plan. but yea the front still looks really good. But just shows how unpredictable the surgery is :

View attachment 4400621
thanks for the thread its very helpful and i actually read it lmao
if someone doesnt have big gonians (me) how the fuck do we combat this situation
is :feelswhy: the only solution
 
Am I cooked if I get jaw implants? My jaw is narrow and it looks like I already have outward gonions.
i was thinking the same thing and i probs wont get them i will just do a trimaxx and then evaluate. worst case some fillers.
 
  • +1
Reactions: lurking truecel
  • +1
Reactions: lurking truecel
@lurking truecel is there a way I can dm you for your help?
 
  • +1
Reactions: lurking truecel
What if your chin is a bit too long vertically? I feel like I have a bit downward growth, and I could fix my chin height by just getting a ccw to my lower jaw. We discussed with my maxfac and agreed that we can also do genio (originally for chin height reduction but my chin is a tad bit recessed aswell so would help with that too), but I'm not sure rn. I have a final ortho visit in 2 days where we discuss the braces for the last time before they go on.
 
  • +1
Reactions: lurking truecel
I got braces for a deepbite ( 6-7 mm retrognathia) let's the result of bimax JFL
 
  • +1
Reactions: lurking truecel
What if your chin is a bit too long vertically? I feel like I have a bit downward growth, and I could fix my chin height by just getting a ccw to my lower jaw. We discussed with my maxfac and agreed that we can also do genio (originally for chin height reduction but my chin is a tad bit recessed aswell so would help with that too), but I'm not sure rn. I have a final ortho visit in 2 days where we discuss the braces for the last time before they go on.
Nvm after seeing my side profile pics, it's clear that my downward growth is not rly prominent and CCW would not benefit me at all. Genio it is.
 
  • +1
Reactions: lurking truecel
Nvm after seeing my side profile pics, it's clear that my downward growth is not rly prominent and CCW would not benefit me at all. Genio it is.
I mean you had class 3 i think you do benefit from bimax, your teeth are peoclined aswell, thats why your underbite isnt worse. You could prob get it covered via insurance. Leforte 1 alone would be enough i think but both has its benefits
 
  • +1
Reactions: ltn_looksminner
I mean you had class 3 i think you do benefit from bimax, your teeth are peoclined aswell, thats why your underbite isnt worse. You could prob get it covered via insurance. Leforte 1 alone would be enough i think but both has its benefits
I want to get ideally 6mm forward movement of the maxilla and MAX 2mm setback of the lower jaw. I need to also make sure that any amount of setback wont fuck up my airways. And yes the surgeon told me insurance would cover it, but I still need to pay like 4k for lefort 1 and not exactly sure how much for bsso.
 
  • +1
Reactions: lurking truecel
I want to get ideally 6mm forward movement of the maxilla and MAX 2mm setback of the lower jaw. I need to also make sure that any amount of setback wont fuck up my airways. And yes the surgeon told me insurance would cover it, but I still need to pay like 4k for lefort 1 and not exactly sure how much for bsso.
Hmm yea then its 100% worth, i mean setback should be able to do without
 
  • +1
Reactions: IDontBlameAnybody
in terms of what, just setting back the lower jaw or ccw?
To get leforte forward ofc because you are class 3 skeletal. Ccw i dont know. But for leforte would benefit you for bite health and aesthetic
 
To get leforte forward ofc because you are class 3 skeletal. Ccw i dont know. But for leforte would benefit you for bite health and aesthetic
Oh yeah maxilla forwards ofc, would be massive benefit aesthetically, the ortho showed me what just a 4 mm movement of maxilla would look like and it already looked rly good.
 
  • +1
Reactions: lurking truecel

Similar threads

MindOfBeni
Replies
54
Views
494
MindOfBeni
MindOfBeni
DatNigga.com
Replies
20
Views
390
IzDrizSub5
IzDrizSub5
DonaldJTrump
Replies
9
Views
360
DonaldJTrump
DonaldJTrump
lahari
Replies
26
Views
699
lahari
lahari
DonaldJTrump
Replies
37
Views
924
duduboy
duduboy

Users who are viewing this thread

Back
Top