Dental Asymmetry or Skeletal

Professor Grey

Professor Grey

“A king never betrays the people who trust him."
Joined
Feb 9, 2024
Posts
1,982
Reputation
2,380
1771533296503

Image

Ssddadas
 
  • +1
Reactions: Jimcel
Mandibular deviation so skeletal
 
  • +1
Reactions: Professor Grey
Mandibular deviation so skeletal
Hey thanks for responding!
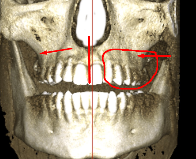
The chin is actually in line with the center of the skull
IMG 4804


This is how it looks when i try ( and fail) to edit the midline towards center of the face


IMG 4806
 
1771535167895

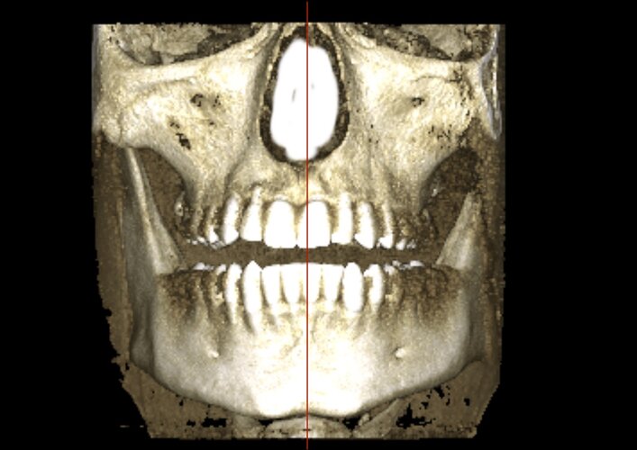
I was judging of this pic, looked like there was mandibular deviation

why are you trying to find out if its skeletal or dental asymmetry?
 
  • +1
Reactions: Professor Grey
View attachment 4675725
I was judging of this pic, looked like there was mandibular deviation

why are you trying to find out if its skeletal or dental asymmetry?
Because If its skeletal it means im deformed, and if its dental its just mean my teeth are deformed
 
  • +1
Reactions: Jimcel

Attachments

  • IMG_4807.jpeg
    IMG_4807.jpeg
    135.3 KB · Views: 0
  • +1
Reactions: Jimcel
damn bro, def a bone borne appliance, probably MSE and best to choose SARPE because that cut could differentiate you getting the split or wasting money and going through the hustle again
I have extracted premolar on my right side. What if i extract premolar on the other side too to balance it out and fix midline
 
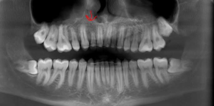
Isnt chin still centered or am i tripping?
seems to be centered, it's just the alveolar bone playing tricks with you head, your teeth are a lil overcrowded and the "midline" in the teeth has "shifted" (thankfully because of the xray you can see that with braces a clear aligner or even a toothborne expander you could fix your overcrowded lower teeth and move the "mid-line" to the right spot, your occlusion doesn't follow the "guide lines" of the bones also I notice that the upper jaw seems to be inlign with the "midline"(teeth and the base of the nasal cavity as you can see in the image)
IDK dude if I where you(and still broke) I'd do clear aligners and then a tooth expander(because I'm broke if you are not then deff SARPE)
1771535725787

The alveolar bone in the upper jaw seems to be shifted
p.s.
seems like you chew on the left side and you prob have had or will have TMJ issues or masseter cramps, still that puts us at the last point: your occlusion has problems you need to see you can align the teeth without expanding or expanding first and then aligning
1771535938387
 
Last edited:
  • +1
Reactions: karmacitathugmaxx, Firstname.Lastname and Professor Grey
I have extracted premolar on my right side. What if i extract premolar on the other side too to balance it out and fix midline
I see where you are getting at, but the thing is that bone resorption by extraction of healthy premolars happens over a long period and when the premolars cause inflamation it's better to extract them rather than keeping them(in fear of getting boneloss if you remove them)
 
  • +1
Reactions: Firstname.Lastname and Professor Grey
I see where you are getting at, but the thing is that bone resorption by extraction of healthy premolars happens over a long period and when the premolars cause inflamation it's better to extract them rather than keeping them(in fear of getting boneloss if you remove them)
you can also see that my alveolar bone is short af vertically which causes lot of issues like lack of upper teeth show and small root on the teeth. in particularry my right incisor is hanging off by a thread:feelswah:
 
  • Woah
Reactions: Kuros
you can also see that my alveolar bone is short af vertically which causes lot of issues like lack of upper teeth show and small root on the teeth. in particularry my right incisor is hanging off by a thread:feelswah:
Dude first, you are right I just saw how fucked up that root was(still is), also seems like you have a permanent retainer on top, I wonder, you got this xray cbct or whatever the fuck this is called, because of a doctor's suggestion or on your own? like did a professional give you rough advice yet, also, you are right to be worried I mean I have seen jawhacks' "over-expanded" expander like 82+turns, and saw how fcked up the roots were, but it can be saved you are not fucked over yet, but I fear for you brother, and that's a rare thing lol, do whatever you can to get it right and fckin rot in orthodontic knowlage if you have to if that means you can debate your doctor or confirm for yourself that what he says is valid and not unnecessary
 
Last edited:
  • +1
Reactions: Firstname.Lastname and Professor Grey
I see where you are getting at, but the thing is that bone resorption by extraction of healthy premolars happens over a long period and when the premolars cause inflamation it's better to extract them rather than keeping them(in fear of getting boneloss if you remove them)
ive gotten 4 removed for braces before i had any knowledge, do you recomend expansion now? my teeth are still fucked (probs cause i didnt use my retainer lol) or my ortho is just shit. i also had a overbite(which i assume is skeletal cause my mandible is very small). what do you think i should do=?
 
ive gotten 4 removed for braces before i had any knowledge, do you recomend expansion now? my teeth are still fucked (probs cause i didnt use my retainer lol) or my ortho is just shit. i also had a overbite(which i assume is skeletal cause my mandible is very small). what do you think i should do=?
You could DEMANT(xd ask and gasslight) your ortho to remove the permanent retainer so you can use a clear one while you sleep, then you can go on a site and buy whatever tooth-borne device you like, like a schwarz expander (I myself got an RPE and expanded 3 solid mm in 2 months)
then depending on the expander you are going to choose liek if you get an RPE it will apply force to different teeth than a schwarz, after expansion you can buy the cheapest option of clear aligners which is 400-500eur I think and be done with it, haven't seen any images from you so I'm not sure, you might need to align first and expand after, or expand and align,

Sidenote I'm gonna post a thread on my experience with the site and my results (like in a few mins lol)
 
  • +1
Reactions: Firstname.Lastname
Dude first, you are right I just saw how fucked up that root was, also seems like you have a permanent retainer on top, I wonder, you got this xray cbct or whatever the fuck this is called, because of a doctor's suggestion or on your own? like did a professional give you rough advice yet, also, you are right to be worried I mean I have seen jawhacks' "over-expanded" expander like 82+turns, and saw how fcked up the roots were, but it can be saved you are not fucked over yet, but I fear for you brother, and that's a rare thing lol, do whatever you can to get it right and fckin rot in orthodontic knowlage if you have to if that means you can debate your doctor or confirm for yourself that what he says is valid and not unnecessary
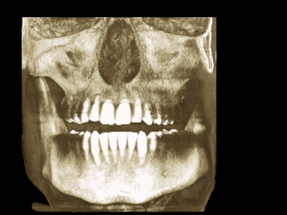
you cant see the roots there properly, here let me show you:
1771537997460
 
you cant see the roots there properly, here let me show you:
View attachment 4675876
wtf this looks even worse, if I hadn't seen the poorly edited correction you made in the image I'd assume this is edite, how the fck do you get this result? I mean more power to you, prob getting a full implant at early 30s xd and the funny thing is that the implant most likely will be better
 
  • +1
Reactions: Professor Grey
You could DEMANT(xd ask and gasslight) your ortho to remove the permanent retainer so you can use a clear one while you sleep, then you can go on a site and buy whatever tooth-borne device you like, like a schwarz expander (I myself got an RPE and expanded 3 solid mm in 2 months)
then depending on the expander you are going to choose liek if you get an RPE it will apply force to different teeth than a schwarz, after expansion you can buy the cheapest option of clear aligners which is 400-500eur I think and be done with it, haven't seen any images from you so I'm not sure, you might need to align first and expand after, or expand and align,

Sidenote I'm gonna post a thread on my experience with the site and my results (like in a few mins lol)
my ortho was so fucked,i had very minimal crowding, a toothe borne device wouldve been enough, but she "doesnt belive in expanders" and therefore pulled my premolars, im so fucking annoyed but there is nothing i can do now other than buy one myself, i have a plastic retainer right now, but only for upper teeth, i also have permanent retainers on the 4 front botton and upper teeth
 
  • +1
Reactions: Kuros
my ortho was so fucked,i had very minimal crowding, a toothe borne device wouldve been enough, but she "doesnt belive in expanders" and therefore pulled my premolars, im so fucking annoyed but there is nothing i can do now other than buy one myself, i have a plastic retainer right now, but only for upper teeth, i also have permanent retainers on the 4 front botton and upper teeth
wtf what a fcking bitch, also I agree minimal crowding or a few mm lower than normal intermolar width could be fixed with an expander alone, I can give you the site in the pm if you'd like, or you can wait to see my thread, or smthing
 
wtf what a fcking bitch, also I agree minimal crowding or a few mm lower than normal intermolar width could be fixed with an expander alone, I can give you the site in the pm if you'd like, or you can wait to see my thread, or smthing
yes that would be much apprieciated. but i would also probably hesitate on doing my own dental work even though i cant really say that i trust orthodontists anymore
 
  • +1
Reactions: Kuros
I have extracted premolar on my right side. What if i extract premolar on the other side too to balance it out and fix midline
why tf would they extract only 1 tooth how tf was that supposed to balance out
 
  • +1
Reactions: Professor Grey
yes that would be much apprieciated. but i would also probably hesitate on doing my own dental work even though i cant really say that i trust orthodontists anymore
Oh tust me, I was too hesitant, overthinking, doubtful, thinking I was in a dunning kruger effect, everything, untill I just bite the bullet hade the money saved up and said fck it, afc the very next day I said, fck I hope they are legit and didn't get scammed 300eur, but at last they where very helpful everything went right the quality was medical grade, I stuck to the plan, and thankfuly I get pics and molds (one made by the profetionals on was made with like 5eur budget at home :lul:)
 
why tf would they extract only 1 tooth how tf was that supposed to balance out
I have a friend who got 3 teeth extracted because he had prognathism, I mean LEGIT BIG ASS underbite I didn't bother too much mf is 23yo and doesn't bother to educate himself just goes blindly to the doctor
 
  • So Sad
Reactions: karmacitathugmaxx

Similar threads

Lucas psyc🦇
Replies
5
Views
177
Lucas psyc🦇
Lucas psyc🦇
H
Replies
16
Views
186
FwDelta
FwDelta
S
Replies
3
Views
154
sickofitall
sickofitall
Moldovan_Mogger
Discussion Facial asymmetry
Replies
6
Views
173
desperatesub5
desperatesub5
cope!
Replies
7
Views
198
ICL
ICL

Users who are viewing this thread

Back
Top