 
		
				
				
			micronhtn
Iron
- Joined
- Mar 3, 2025
- Posts
- 55
- Reputation
- 46
My face doesn't look narrow
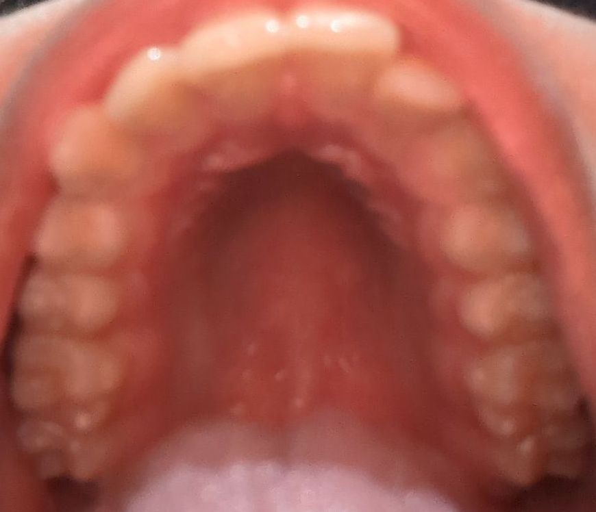
I do have breathing problems, however I have DNS asw so I'm not sure if that's the main cause or a narrow pallete
If I do get pallete expansion, should I expect any changes in my face? I'm almost 17.
And after getting an expander, how long do I gotta wear braces and retainers for
		
 
	
	
		
			
		
		
	
				
			I do have breathing problems, however I have DNS asw so I'm not sure if that's the main cause or a narrow pallete
If I do get pallete expansion, should I expect any changes in my face? I'm almost 17.
And after getting an expander, how long do I gotta wear braces and retainers for
 
	 
						 
		 
		 
		 
		 
		 
		 
		