Double Jaw Surgery Morph with Dr. Walline (LACOMS)

R

Roan

Iron
Joined
Sep 5, 2023
Posts
38
Reputation
26
Realized I didn't post to this one, and it would make more sense to do so.

Can anybody give their thoughts on my morphs from Dr. Walline and whether the advancements are enough? I got some people saying forward advancement should be more.

From what he told me the movements would be:

- 5 MM with CW Rotation of maxilla and high cut Lefort

- 5 MM back with BSSO, 6 MM forward with Genioplasty for total advancement of 1 MM

After my consultation, the suggestions were a Maxilla CW to bring it forward, a Bilateral Sagittal Split Osteotomy to bring my lower jack back, and then a sliding Genioplasty to bring my chin back forward.

I did ask if the lower jaw really needed to be moved back, and he said yes because both jaws needed to be moved in tandem.

He also agreed to a High Cut Lefort 1/Quadrangular Osteotomy, but that's not included in this morph. He said he wasn't able to add it to the morph movements. It's a 3 piece, so just imagine it same as the maxilla movement.

Yes, this is mainly cosmetic. My main concern is the lack of projection in the midface, which was why I pushed for a high cut Lefort from him.

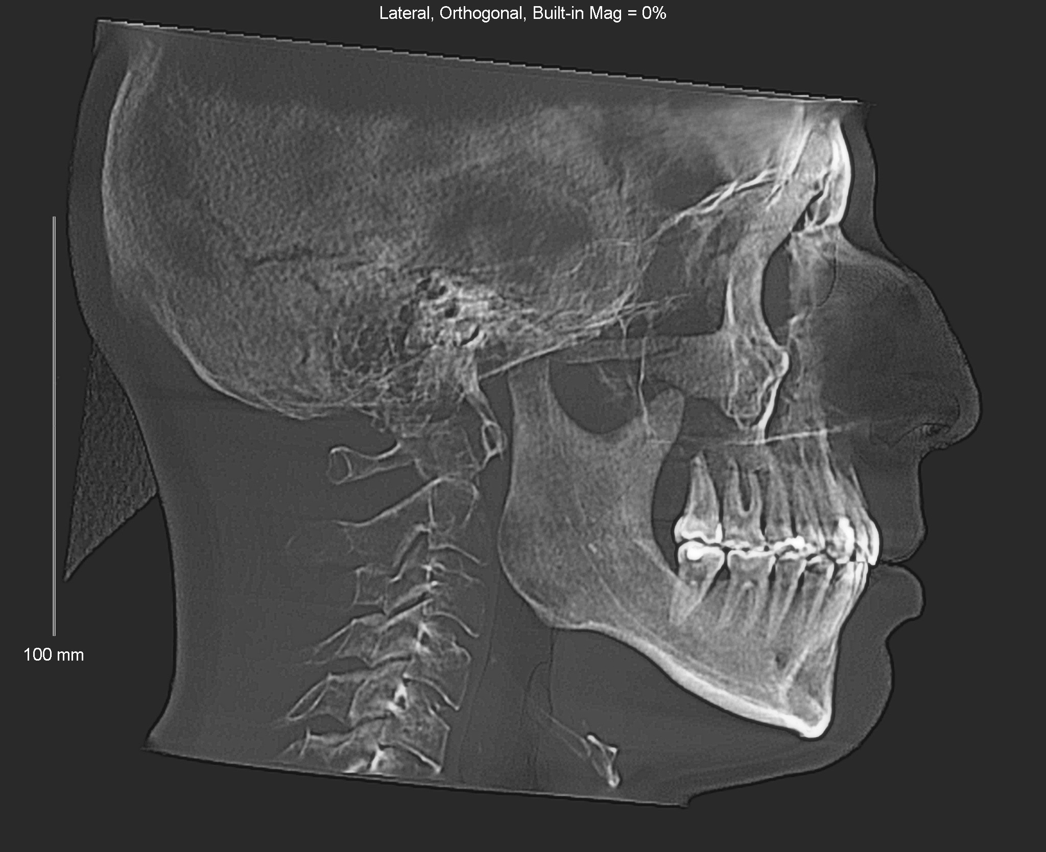
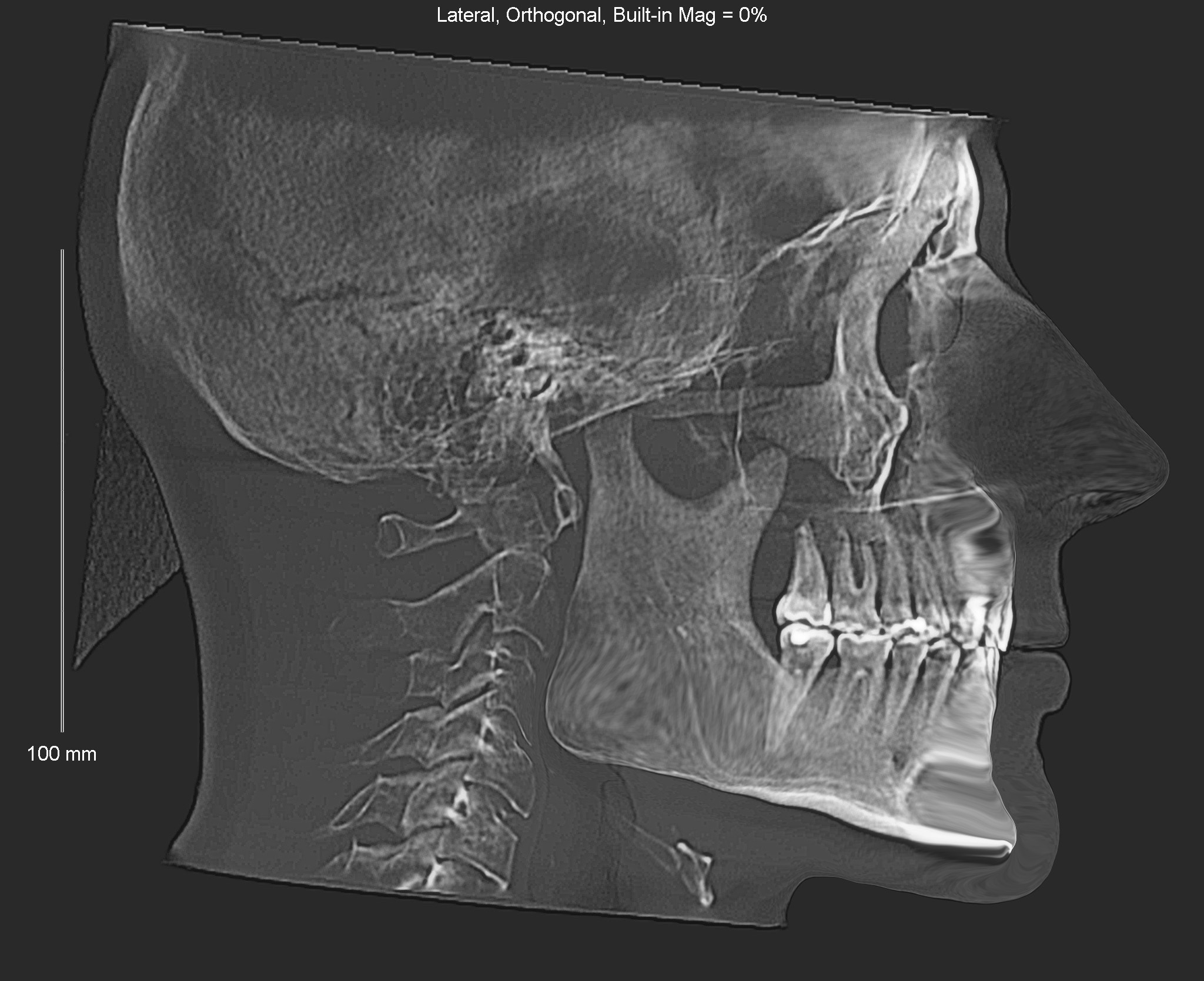
5388858 So Lateral Tracing Overlay
5388859 So Maxilla Mandible and Chin
5388860 So Ceph
 
  • +1
Reactions: Jatt and wrestle.cel
Is there a reason why he chose CW ?
The after looks good but not life changing as your profile isn't the worst, he's retracting the mandible because you don't want to project the maxilla too much and therefore mandible needs to follow maxilla so you compensate with advancing the chin ?
or am i missing something
 
Is there a reason why he chose CW ?
The after looks good but not life changing as your profile isn't the worst, he's retracting the mandible because you don't want to project the maxilla too much and therefore mandible needs to follow maxilla so you compensate with advancing the chin ?
or am i missing something
No you're right. CW is because CCW would recess me even more. My lower jaw/mandible isn't visibly recessed, so counter clockwise rotation would jut it forward too much and my maxilla would need to follow it, making my cheekbones (one of the parts im worried about) become even worse.

Also besides the need to move them together, retracting the jaw and keeping the chin forward may make my midface be more pronounced. Since while my side profile isn't deformed or anything, it's visibly flat and from other angles it's clear my cheekbones are pretty much non existent
 
  • +1
Reactions: ASM5
I feel like a genio and midface implants would be less of a pain in the ass and also cheaper
 
  • +1
Reactions: Assymetry
Ok but
I feel like a genio and midface implants would be less of a pain in the ass and also cheaper
Ok but lets say money wasn't a problem, wouldn't this be better? It also comes with the genio anyways and the other surgeon I sussed out for midface implants costs like 30-40k, and another said he can't do it
 
I feel like a genio and midface implants would be less of a pain in the ass and also cheaper
Also nothing is better than bone, especially since I could always get implants later
 
Can you ask him to draw a diagram of the high lefort 1 cut he'll be doing? They vary a lot and I'm very interested.

Did he show you any results using this cut?
 
Realized I didn't post to this one, and it would make more sense to do so.

Can anybody give their thoughts on my morphs from Dr. Walline and whether the advancements are enough? I got some people saying forward advancement should be more.

From what he told me the movements would be:

- 5 MM with CW Rotation of maxilla and high cut Lefort

- 5 MM back with BSSO, 6 MM forward with Genioplasty for total advancement of 1 MM

After my consultation, the suggestions were a Maxilla CW to bring it forward, a Bilateral Sagittal Split Osteotomy to bring my lower jack back, and then a sliding Genioplasty to bring my chin back forward.

I did ask if the lower jaw really needed to be moved back, and he said yes because both jaws needed to be moved in tandem.

He also agreed to a High Cut Lefort 1/Quadrangular Osteotomy, but that's not included in this morph. He said he wasn't able to add it to the morph movements. It's a 3 piece, so just imagine it same as the maxilla movement.

Yes, this is mainly cosmetic. My main concern is the lack of projection in the midface, which was why I pushed for a high cut Lefort from him.

View attachment 4167848View attachment 4167855View attachment 4167856
bad. you need more advanement in madible not less and evenmore in maxilla
 
  • +1
Reactions: Insomnia
Realized I didn't post to this one, and it would make more sense to do so.

Can anybody give their thoughts on my morphs from Dr. Walline and whether the advancements are enough? I got some people saying forward advancement should be more.

From what he told me the movements would be:

- 5 MM with CW Rotation of maxilla and high cut Lefort

- 5 MM back with BSSO, 6 MM forward with Genioplasty for total advancement of 1 MM

After my consultation, the suggestions were a Maxilla CW to bring it forward, a Bilateral Sagittal Split Osteotomy to bring my lower jack back, and then a sliding Genioplasty to bring my chin back forward.

I did ask if the lower jaw really needed to be moved back, and he said yes because both jaws needed to be moved in tandem.

He also agreed to a High Cut Lefort 1/Quadrangular Osteotomy, but that's not included in this morph. He said he wasn't able to add it to the morph movements. It's a 3 piece, so just imagine it same as the maxilla movement.

Yes, this is mainly cosmetic. My main concern is the lack of projection in the midface, which was why I pushed for a high cut Lefort from him.

View attachment 4167848View attachment 4167855View attachment 4167856
idk how much you are spending on this, but consider different surgeon.
YOu need gonial implants, much more movement of upper jaw (maxilla) and bsso advancement not deuction and ofc genio. and rhinoplasty even if you get best maxilla movement with high cut cause the nose is over.
Yxdsds
 
  • +1
Reactions: ltn_looksminner and imontheloose
bad. you need more advanement in madible not less and evenmore in maxilla
Trust me, I do not need advancement in my mandible and surgeons have said so. Picture this, you know how people jut their jaw to make it seem better? When I jut my jaw, I look like a sped so more advancement would ruin it. The problem is that my chin is weak, which is what the genio is for.

I'm going to push for more maxilla advancement, but Walline's reasoning it's like that is to not go past the ideal nasolabial angle, which I understand because my philtrum is already long. So it's based on aesthetics
 
Trust me, I do not need advancement in my mandible and surgeons have said so. Picture this, you know how people jut their jaw to make it seem better? When I jut my jaw, I look like a sped so more advancement would ruin it. The problem is that my chin is weak, which is what the genio is for.

I'm going to push for more maxilla advancement, but Walline's reasoning it's like that is to not go past the ideal nasolabial angle, which I understand because my philtrum is already long. So it's based on aesthetics
Philtrum is cope as you can get lipp lift.
 
  • +1
Reactions: cutecel1337
I think a lip lift will only help so much if your philtrum gets too long
and lip lift leaves a scar
but you can't really predict soft tissue, and i guess you're never sure if the maxillar advancement will really make philtrum area worse?
 
and lip lift leaves a scar
but you can't really predict soft tissue, and i guess you're never sure if the maxillar advancement will really make philtrum area worse?
Yes, because advancing it too much can make your philtrum longer. Their software is always weird with soft tissue
 
and lip lift leaves a scar
but you can't really predict soft tissue, and i guess you're never sure if the maxillar advancement will really make philtrum area worse?
still beliving in scars.
yes you get scar but
their is scar cream, you can laser it after some months and put concelar on in meantime.
Truth is scars are mostly cope and can be revisioned away by scar revision through survery and laser.
 
  • +1
Reactions: LEFORT17
still beliving in scars.
yes you get scar but
their is scar cream, you can laser it after some months and put concelar on in meantime.
Truth is scars are mostly cope and can be revisioned away by scar revision through survery and laser.
I agree, unless you get absolutely butchered by some maniac in Turkey you won't really need to worry about scars
 
  • +1
Reactions: AustrianMogger
still beliving in scars.
yes you get scar but
their is scar cream, you can laser it after some months and put concelar on in meantime.
Truth is scars are mostly cope and can be revisioned away by scar revision through survery and laser.
based
 
  • +1
Reactions: AustrianMogger
Ok but

Ok but lets say money wasn't a problem, wouldn't this be better? It also comes with the genio anyways and the other surgeon I sussed out for midface implants costs like 30-40k, and another said he can't do it
So much investment into side profile is just a waste, genio is responsible for 90% of the asthetik result of a trimax,

Don't waste so much time and money, get the Genio and Rhino, and enjoy life
 
  • +1
Reactions: ltn_looksminner and jfllcellular
So much investment into side profile is just a waste, genio is responsible for 90% of the asthetik result of a trimax,

Don't waste so much time and money, get the Genio and Rhino, and enjoy life
I have over 300k to blow on hardmaxxing. I've calculated everything and the stuff I want right now is about 110-120k total. It's worth it for me, and I think everything will also affect my front profile.
 
I have over 300k to blow on hardmaxxing. I've calculated everything and the stuff I want right now is about 110-120k total. It's worth it for me, and I think everything will also affect my front profile.
Jaw surgery is not only about price of surgery, the time in braces before and after + recovery is long. Also the amount of risks are crazy aswell and more common thar people think
 
  • +1
Reactions: ASM5, ltn_looksminner and Rex.
Jaw surgery is not only about price of surgery, the time in braces before and after + recovery is long. Also the amount of risks are crazy aswell and more common thar people think
At least for me, there is no braces needed beforehand. know the recovery and a few weeks off of work with liquid diet is fine with me. From when I spoke to Dr. Walline, the recovery is actually kind of overblown from what I've seen on reddit and the first few weeks are the worst.

For me, it's essentially a trade off of some money I can afford to lose and some short term suffering (I could get every surgery done this year) in order to be happy for the rest of my life. It's a no brainer and I actually agonize over having not done it sooner.
 
  • +1
Reactions: ASM5, passionfruit5 and clearness.
Jaw surgery is not only about price of surgery, the time in braces before and after + recovery is long. Also the amount of risks are crazy aswell and more common thar people think
At least for me, there is no braces needed beforehand. know the recovery and a few weeks off of work with liquid diet is fine with me. From when I spoke to Dr. Walline, the recovery is actually kind of overblown from what I've seen on reddit and the first few weeks are the worst.

For me, it's essentially a trade off of some money I can afford to lose and some short term suffering (I could get every surgery done this year) in order to be happy for the rest of my life. It's a no brainer and I actually agonize over having not done it sooner.
 
Jaw surgery is not only about price of surgery, the time in braces before and after + recovery is long. Also the amount of risks are crazy aswell and more common thar people think
At least for me, there is no braces needed beforehand. I know the recovery and a few weeks off of work with liquid diet is fine with me. From when I spoke to Dr. Walline, the recovery is actually kind of overblown from what I've seen on reddit and the first few weeks are the worst.

For me, it's essentially a trade off of some money I can afford to lose and some short term suffering (I could get every surgery done this year) in order to be happy for the rest of my life. It's a no brainer and I actually agonize over having not done it sooner.
 
At least for me, there is no braces needed beforehand. I know the recovery and a few weeks off of work with liquid diet is fine with me. From when I spoke to Dr. Walline, the recovery is actually kind of overblown from what I've seen on reddit and the first few weeks are the worst.

For me, it's essentially a trade off of some money I can afford to lose and some short term suffering (I could get every surgery done this year) in order to be happy for the rest of my life. It's a no brainer and I actually agonize over having not done it sooner.
Yea listen to the doctor that get paid 80k to operate you, nah the recovery is longer than that. Atleast in downtime, also you might end up needing braces for sometime after either way
 
  • +1
  • Ugh..
Reactions: ASM5, ltn_looksminner and clearness.
Yea listen to the doctor that get paid 80k to operate you, nah the recovery is longer than that. Atleast in downtime, also you might end up needing braces for sometime after either way
I mean Walline is literally one of the best in the world, so I would def listen to him as long as it doesn't conflict too much with what I think. I can handle being uncomfortable/in pain for a few weeks and swelling, even from people who get the surgery, they are presentable after a month or 2 which is ok with me.

I know I'll need braces or invisalign after, but it's worth it. I've had Invisalign before for unrelated stuff, so if I can get that again it's actually really easy.
 
  • +1
Reactions: clearness.
I mean Walline is literally one of the best in the world, so I would def listen to him as long as it doesn't conflict too much with what I think. I can handle being uncomfortable/in pain for a few weeks and swelling, even from people who get the surgery, they are presentable after a month or 2 which is ok with me.

I know I'll need braces or invisalign after, but it's worth it. I've had Invisalign before for unrelated stuff, so if I can get that again it's actually really easy.
Join some discord
 
Orthognathic surgery isn't like swapping lego blocks. You're literally cutting the jaws, moving them a few millimetres and hoping the soft tissues behave the way the morph shows. For a guy with no malocclusion or airway issues, the risk‑reward of a full trimax is pretty bad: nerve damage, permanent numbness, TMJ pain, relapse, months of braces/invisalign and liquid diet, scars etc. Soft tissue simulations lie – a 5 mm CW rotation can actually lengthen the philtrum or make the nose look droopy.

If your only problem is a weak chin or short upper jaw, a simple genio/implant/rhino/liplift will give you 90 % of the aesthetics at a fraction of the cost and risk. Hardmaxxing is not a magic pill, it's major surgery with long recovery. Get at least two or three consults, understand the functional indications and don't let "hardmaxx now, cope later" memes push you into spending 6 figures and gambling your bite for a few millimetres.
 
  • +1
Reactions: Survived abortion and yolo23
Orthognathic surgery isn't like swapping lego blocks. You're literally cutting the jaws, moving them a few millimetres and hoping the soft tissues behave the way the morph shows. For a guy with no malocclusion or airway issues, the risk‑reward of a full trimax is pretty bad: nerve damage, permanent numbness, TMJ pain, relapse, months of braces/invisalign and liquid diet, scars etc. Soft tissue simulations lie – a 5 mm CW rotation can actually lengthen the philtrum or make the nose look droopy.

If your only problem is a weak chin or short upper jaw, a simple genio/implant/rhino/liplift will give you 90 % of the aesthetics at a fraction of the cost and risk. Hardmaxxing is not a magic pill, it's major surgery with long recovery. Get at least two or three consults, understand the functional indications and don't let "hardmaxx now, cope later" memes push you into spending 6 figures and gambling your bite for a few millimetres.
erm no. I've now been diagnosed with maxillary hypoplasia by 3 different surgeons so it's either this or I kill myself by 30
 
how much does walline charge these days? I was quoted for 70k in 2023
 
You’re a fucking joke , you post a thread to get advice but every single HIGH IQ user who gave you one , you just ignore and proceed to say MUH DR WALLINE
 
underadvanced imo, but walline is generally conservative from what I've heard. this guy was apparently able to convince him to advance more than he usually does though. it's still an improvement, but idt it's worth 70
 

Similar threads

P
Replies
11
Views
304
bjebb007
bjebb007
Herald420
Replies
8
Views
447
geenk worg
geenk worg
Adee
Replies
13
Views
481
geenk worg
geenk worg
Adee
Replies
7
Views
517
Adee
Adee
The Dire
Replies
59
Views
1K
vermicel
V

Users who are viewing this thread

Back
Top