Es necesario la extracción de muelas del juicio para brackets ?

rackze

rackze

Iron
Joined
Nov 4, 2025
Posts
6
Reputation
4
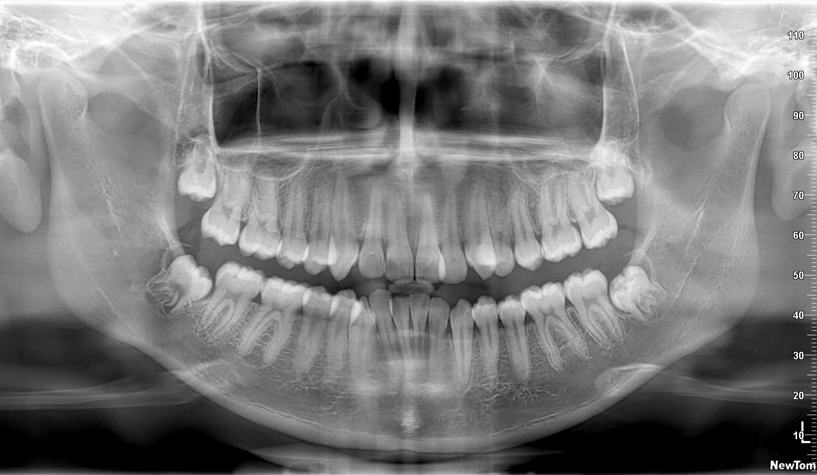
Recientemente saque mis 4 muelas del juicio por pedido de mi odontólogo pero nose si es realmente necesario la extracción de aquellas¿Alguna respuesta?
 
  • +1
Reactions: Anamnesis
te sacaste 4 muelas?? estas loco amigo
 
Recientemente saque mis 4 muelas del juicio por pedido de mi odontólogo pero nose si es realmente necesario la extracción de aquellas¿Alguna respuesta?
si venian mal no es tan mala decision, si venian bien ese bastardo es un idiota
 
Tenezaca Guaman Geovany Patricio 2009 11 07 PAN05 4
 
Recientemente saque mis 4 muelas del juicio por pedido de mi odontólogo pero nose si es realmente necesario la extracción de aquellas¿Alguna respuesta?
lo peor que podes hacer es extraerte las muelas

cada vez que pasa el tiempo te das cuenta que hay "profesionales" que no tienen idea y no les importa tu apariencia solo es otra industria
 
  • So Sad
Reactions: rackze

Similar threads

sphenoidnr
Replies
28
Views
134
Panchitosbroncs
Panchitosbroncs
psl nigga
Replies
11
Views
52
psl nigga
psl nigga
joojuszn
Replies
9
Views
92
Panchitosbroncs
Panchitosbroncs
alannn
Replies
19
Views
183
Naizu
Naizu
MediterraneanMoid
Replies
4
Views
25
nigger9837
nigger9837

Users who are viewing this thread

Back
Top