Genioplasty advice

R

richardascension

Iron
Joined
Apr 13, 2026
Posts
4
Reputation
1
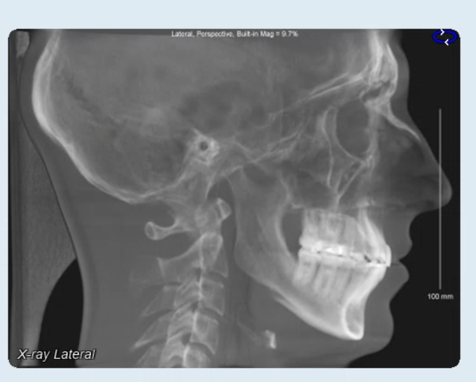
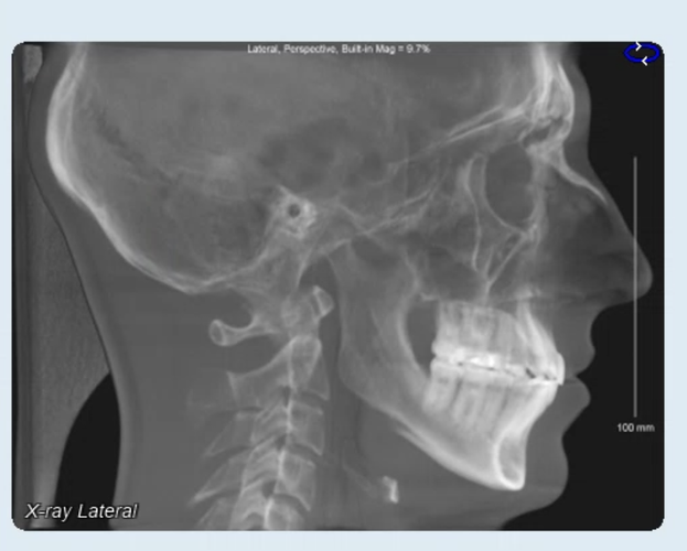
Am wondering if around 5mm genioplasty would be fine. Surgeon initially said 4mm with 1mm down, i asked for 5. Before ppl drop the jaw surgery talk, I know I probably do need that, but its not realistic for me to have that done right now, too expensive and dont have time for the recovery. I feel like I can get most of the aesthetic benefit from the genioplasty but lmk.
 

Attachments

  • Screenshot 2026-03-18 at 11.10.35 AM.png
    Screenshot 2026-03-18 at 11.10.35 AM.png
    415.5 KB · Views: 0
you need bimax not only genio.
 
Probably but my bite is good and i think most of the aesthetic benefit can be achieved by genioplasty. Bimax is very intensive and expensive, which is why im asking for advice on the genio
 

Similar threads

R
Looksmaxxing Genioplasty advice
Replies
3
Views
42
goku21
goku21
bratex2213
Replies
11
Views
141
Animepilled
Animepilled
I
Replies
5
Views
102
LEFORT17
LEFORT17
IDontBlameAnybody
Replies
2
Views
93
IDontBlameAnybody
IDontBlameAnybody
M
Replies
5
Views
190
yussimania
yussimania

Users who are viewing this thread

  • vermicel
  • EverythingMattersCel
Back
Top