Growth plates: Should i use AI and HGH? (WITH PICS)

niqfan625

niqfan625

Ascended in 2025 to HTN
Joined
Jul 18, 2023
Posts
1,575
Reputation
1,155
Stats:
Current age: 17,6
Weight: 78 kg (5-8 kg probably water weight look the entire post..)
Current height: 5‘8/173
Desired height: 5‘9/177cm

So i have been injecting peptides + using Anastrazole (AI). Then i got caught by my parents (look at the previous threads for me about that or pm dont do the same mistake as i did).
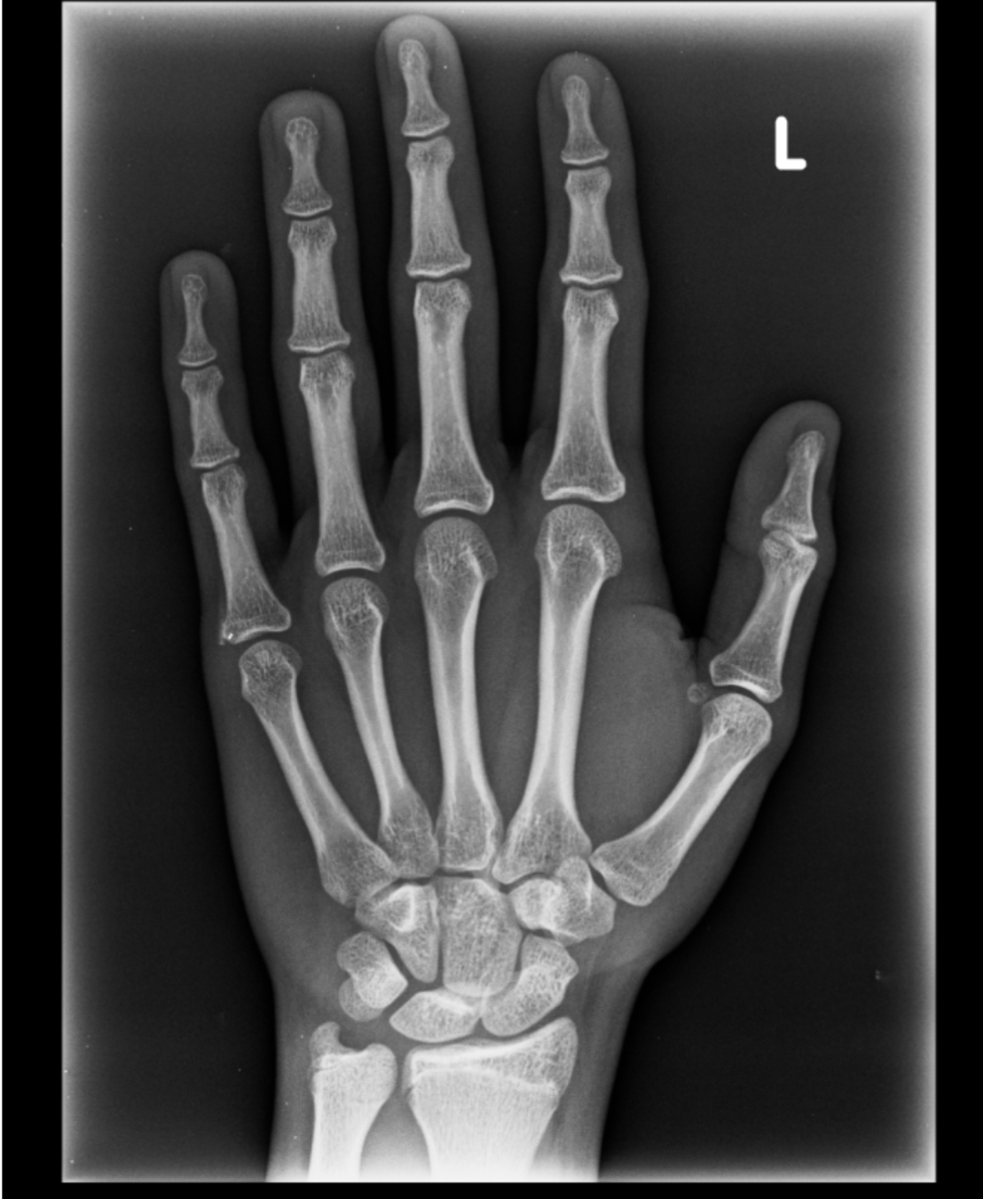
Now I had to go to the doctor and my growth plates are slightly open:
IMG 9736


Now the doctor said I shouldnt use AI+HGH since it’s unnecessary,harmful and she said it won’t work, if it would she would prescribe me she said.
But she also seemed bluepilled asf talking about my health,having loving parents, that its only a phase where adolescents care about stuff like this.

She suggested I should eat health (no sweets),loose a bit of weight (it was probably water weight gained from the previous heightmaxxing protocol) and that I should swim 3 times a week for one hour. This way i could grow about 2-3cm.

Should I use HGH and AI or at least only AI (Anastrazole) or is it useless like she suggested?
 
  • +1
Reactions: hattrick, cyprian_tomaszewski and lebesgue
She suggested I should eat health (no sweets),loose a bit of weight (it was probably water weight gained from the previous heightmaxxing protocol) and that I should swim 3 times a week for one hour. This way i could grow about 2-3cm.
cope cope cope,looks are everything,if height isnt important why do people care so much about height?blast hgh and ai while u still can
 
  • +1
Reactions: Deleted member 68446
cope cope cope,looks are everything,if height isnt important why do people care so much about height?blast hgh and ai while u still can
Shes a stupid whore thats lying
 
  • +1
Reactions: iabsolvejordan
Shes a stupid whore thats lying
my doctor wanted to perscibe hgh because i said i want to be a professional basketball player even tho i was 5 ft 11 he just didnt want me to buy shit online and he wanted to scam my parents out of hundreds of $
 
  • Woah
Reactions: JCaesar
my doctor wanted to perscibe hgh because i said i want to be a professional basketball player even tho i was 5 ft 11 he just didnt want me to buy shit online and he wanted to scam my parents out of hundreds of $
Wtf so this is how shit works now just tell doctors u wanna be 7 feet?
 
  • Woah
Reactions: JCaesar
She suggested I should eat health (no sweets),loose a bit of weight (it was probably water weight gained from the previous heightmaxxing protocol) and that I should swim 3 times a week for one hour. This way i could grow about 2-3cm.
eating "healthy" is the worst diet for heightmaxxing
Should I use HGH and AI or at least only AI (Anastrazole) or is it useless like she suggested?
lol fuck that hoe blaast that shit
 
lose some weight u fucking slob
 
Stats:
Current age: 17,6
Weight: 78 kg (5-8 kg probably water weight look the entire post..)
Current height: 5‘8/173
Desired height: 5‘9/177cm

So i have been injecting peptides + using Anastrazole (AI). Then i got caught by my parents (look at the previous threads for me about that or pm dont do the same mistake as i did).
Now I had to go to the doctor and my growth plates are slightly open:
View attachment 2743726

Now the doctor said I shouldnt use AI+HGH since it’s unnecessary,harmful and she said it won’t work, if it would she would prescribe me she said.
But she also seemed bluepilled asf talking about my health,having loving parents, that its only a phase where adolescents care about stuff like this.

She suggested I should eat health (no sweets),loose a bit of weight (it was probably water weight gained from the previous heightmaxxing protocol) and that I should swim 3 times a week for one hour. This way i could grow about 2-3cm.

Should I use HGH and AI or at least only AI (Anastrazole) or is it useless like she suggested?
my doc said same, don't believe them. They just want you to stop being a problem.
Height is forever, so I will do anything to achieve my desired height, you should do same, but also include her bluepill talk -> swimming could help.
 
  • +1
Reactions: niqfan625
Go for it but AI’s are not as safe as people here say it is.

Look at the bone density in spines of children who used AI’s. Lifetime erectile issues are also prevalent with them.

You will legitimately be prone to fracturing your spine for life.
 
  • +1
  • Woah
Reactions: horizontallytall and cyprian_tomaszewski
Stats:
Current age: 17,6
Weight: 78 kg (5-8 kg probably water weight look the entire post..)
Current height: 5‘8/173
Desired height: 5‘9/177cm

So i have been injecting peptides + using Anastrazole (AI). Then i got caught by my parents (look at the previous threads for me about that or pm dont do the same mistake as i did).
Now I had to go to the doctor and my growth plates are slightly open:
View attachment 2743726

Now the doctor said I shouldnt use AI+HGH since it’s unnecessary,harmful and she said it won’t work, if it would she would prescribe me she said.
But she also seemed bluepilled asf talking about my health,having loving parents, that its only a phase where adolescents care about stuff like this.

She suggested I should eat health (no sweets),loose a bit of weight (it was probably water weight gained from the previous heightmaxxing protocol) and that I should swim 3 times a week for one hour. This way i could grow about 2-3cm.

Should I use HGH and AI or at least only AI (Anastrazole) or is it useless like she suggested?
how did you manage to get an xray?
also 5'8 is pretty bad, i think you should gamble it and take the hgh, even tho you are kinda too old (i'm same age as u and wondering if i should take it)
Go for it but AI’s are not as safe as people here say it is.

Look at the bone density in spines of children who used AI’s. Lifetime erectile issues are also prevalent with them.

You will legitimately be prone to fracturing your spine for life.
can u link?
 
also 5'8 is pretty bad, i think you should gamble it and take the hgh, even tho you are kinda too old (i'm same age as u and wondering if i should take it)
Im taking hgh +Ai since 1 week
 
Stats:
Current age: 17,6
Weight: 78 kg (5-8 kg probably water weight look the entire post..)
Current height: 5‘8/173
Desired height: 5‘9/177cm

So i have been injecting peptides + using Anastrazole (AI). Then i got caught by my parents (look at the previous threads for me about that or pm dont do the same mistake as i did).
Now I had to go to the doctor and my growth plates are slightly open:
View attachment 2743726

Now the doctor said I shouldnt use AI+HGH since it’s unnecessary,harmful and she said it won’t work, if it would she would prescribe me she said.
But she also seemed bluepilled asf talking about my health,having loving parents, that its only a phase where adolescents care about stuff like this.

She suggested I should eat health (no sweets),loose a bit of weight (it was probably water weight gained from the previous heightmaxxing protocol) and that I should swim 3 times a week for one hour. This way i could grow about 2-3cm.

Should I use HGH and AI or at least only AI (Anastrazole) or is it useless like she suggested?
What did your doc say your bone age was?
 
Stats:
Current age: 17,6
Weight: 78 kg (5-8 kg probably water weight look the entire post..)
Current height: 5‘8/173
Desired height: 5‘9/177cm

So i have been injecting peptides + using Anastrazole (AI). Then i got caught by my parents (look at the previous threads for me about that or pm dont do the same mistake as i did).
Now I had to go to the doctor and my growth plates are slightly open:
View attachment 2743726

Now the doctor said I shouldnt use AI+HGH since it’s unnecessary,harmful and she said it won’t work, if it would she would prescribe me she said.
But she also seemed bluepilled asf talking about my health,having loving parents, that its only a phase where adolescents care about stuff like this.

She suggested I should eat health (no sweets),loose a bit of weight (it was probably water weight gained from the previous heightmaxxing protocol) and that I should swim 3 times a week for one hour. This way i could grow about 2-3cm.

Should I use HGH and AI or at least only AI (Anastrazole) or is it useless like she suggested?
dont take hgh your growth plates are closed and u wont grow more than 1 cm with it and it will cause acromegaly in your case because of your closed plates your spinal plates are open but they are very limited for height growth
 
Go for it but AI’s are not as safe as people here say it is.

Look at the bone density in spines of children who used AI’s. Lifetime erectile issues are also prevalent with them.

You will legitimately be prone to fracturing your spine for life.
Exactly, even simple search on medical journals will give u all info about myriad of problmes ai cause
 
cope cope cope,looks are everything,if height isnt important why do people care so much about height?blast hgh and ai while u still can
faggot
 

Similar threads

robotlalka
Replies
2
Views
73
robotlalka
robotlalka
H
Replies
21
Views
261
Faustum
Faustum
gandypill
Replies
2
Views
65
roidconnoisseur
R
Piciu
Replies
27
Views
204
Darce
Darce
S
Replies
4
Views
74
femoidannihilator
femoidannihilator

Users who are viewing this thread

Back
Top