How big is my gonial angle?

hopecel271

hopecel271

MTN -> HTN in 2026
Joined
Dec 31, 2025
Posts
810
Reputation
667
1772012093911


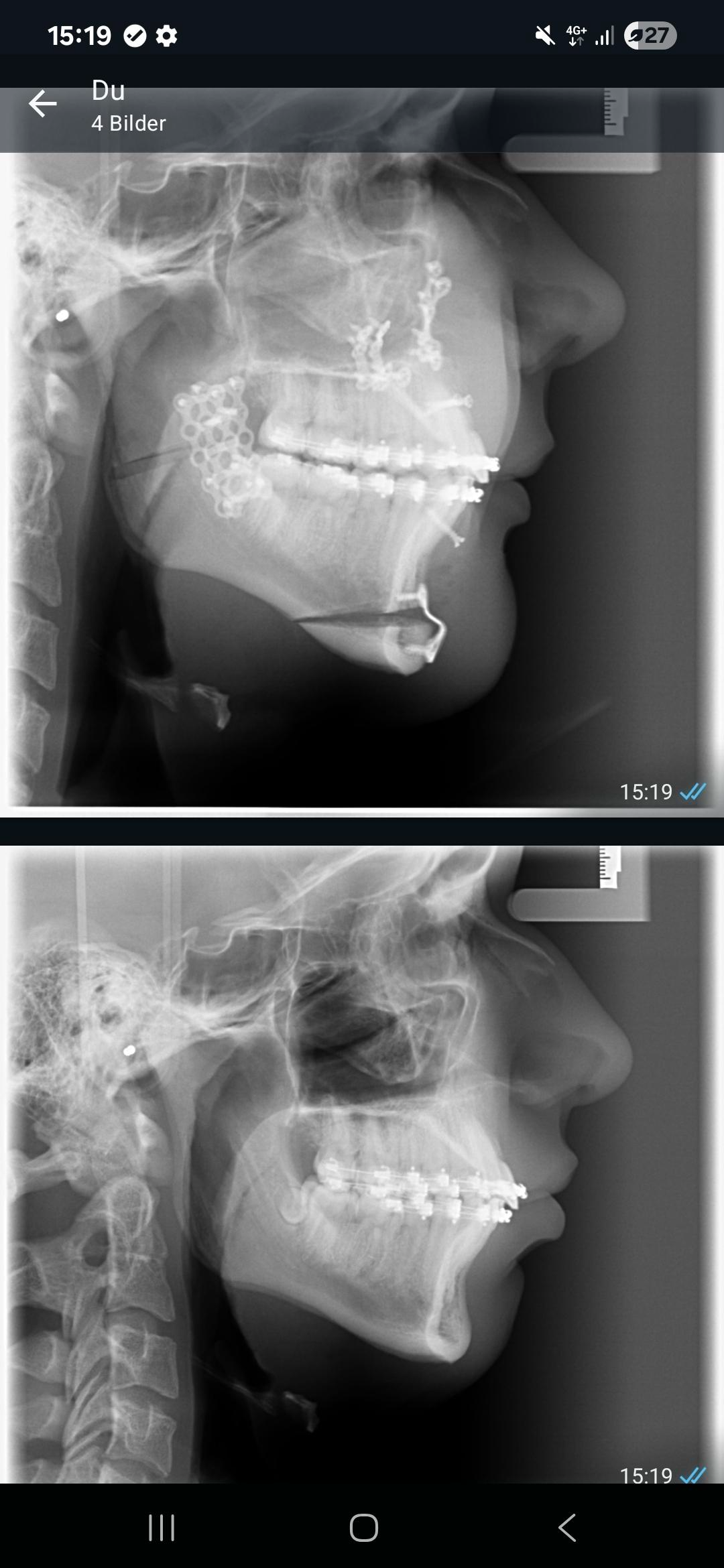
Can someone measure the before and after bimax? I got a very small CW
 
  • +1
Reactions: pervitin
Digga dein gonial angle war vor surgery 120 grad und jetzt nach surgery 127 grad ???!?!
Was hat der Arzt dir angetan???
 
Digga dein gonial angle war vor surgery 120 grad und jetzt nach surgery 127 grad ???!?!
Was hat der Arzt dir angetan???
Hast du gemessen?
 
Ich check halt fr nicht die movements die dein Arzt gemacht hat??
Denke liegt an kopfhaltubg beim röntgenbild, es wurde eine cw durchgeführt aber NICHT 8⁰. Was genau checkst du nicht? Hatte short face syndrome vorher deshalb macht cw schon sinn
 
Denke liegt an kopfhaltubg beim röntgenbild, es wurde eine cw durchgeführt aber NICHT 8⁰. Was genau checkst du nicht? Hatte short face syndrome vorher deshalb macht cw schon sinn
Sachmal bist du aufm Kopf gefallen oder hast du Tomaten auf den Augen? Du siehst doch wie das Lineal an deinem Knochen sitz als Ankerpunkte? Deine Posture ist da irrelevant. Habe mir deine alten Fotos grad angeschaut und kann zu dem claim "shortface syndrome " nur fehldiagnose sagen. Nächstes mal bitte nach Surgeryplan fragen und unabhängig evaluieren lassen bevor du irgend nen rdm shit freestylest nur weil "Der Arzt das sagte das es so ist".
 
  • +1
Reactions: hopecel271
Sachmal bist du aufm Kopf gefallen oder hast du Tomaten auf den Augen? Du siehst doch wie das Lineal an deinem Knochen sitz als Ankerpunkte? Deine Posture ist da irrelevant. Habe mir deine alten Fotos grad angeschaut und kann zu dem claim "shortface syndrome " nur fehldiagnose sagen. Nächstes mal bitte nach Surgeryplan fragen und unabhängig evaluieren lassen bevor du irgend nen rdm shit freestylest nur weil "Der Arzt das sagte das es so ist".
Ok bro, trotzdem ist mein short face syndrome behoben (was ich definitiv hatte, mein lower third war sehr kurz), und meine Seite ist definitiv um längen besser als vorher also war sie bimax kostenlos zu machen doch keine schlechte Entscheidung oder?
 
Ok bro :forcedsmile:. Lk kb meine Zeit noch weiter zu wasten ist der effort nicht Wert. Vergiss einfach was ich geschrieben habe und genieß deine free "Ascension"
 
  • +1
Reactions: hopecel271
correct me if im being retarded

but can’t you just measure that shit out with a protractor
 
  • +1
Reactions: pervitin
correct me if im being retarded

but can’t you just measure that shit out with a protractorI
I think hes to bloated to do that but yea usually u can
 
  • +1
Reactions: hopecel271 and soapbubble
I think hes to bloated to do that but yea usually u can
Kannst du ganz kurz pm checken? Halte dich für high iq hätte deshalb gerne noch ne Meinung zu der sache
 

Similar threads

Wiggle_24
Replies
28
Views
190
Wiggle_24
Wiggle_24
imdamon
Replies
4
Views
79
erickdoox
erickdoox
itsgenuinelysoover
Replies
1
Views
91
itsgenuinelysoover
itsgenuinelysoover
I
Replies
6
Views
106
restinsolitude
restinsolitude
valentine
Replies
31
Views
171
skibidimaster69
skibidimaster69

Users who are viewing this thread

Back
Top