How much jaw movement should i get?

hopecel271

hopecel271

MTN -> HTN in 2026
Joined
Dec 31, 2025
Posts
768
Reputation
642
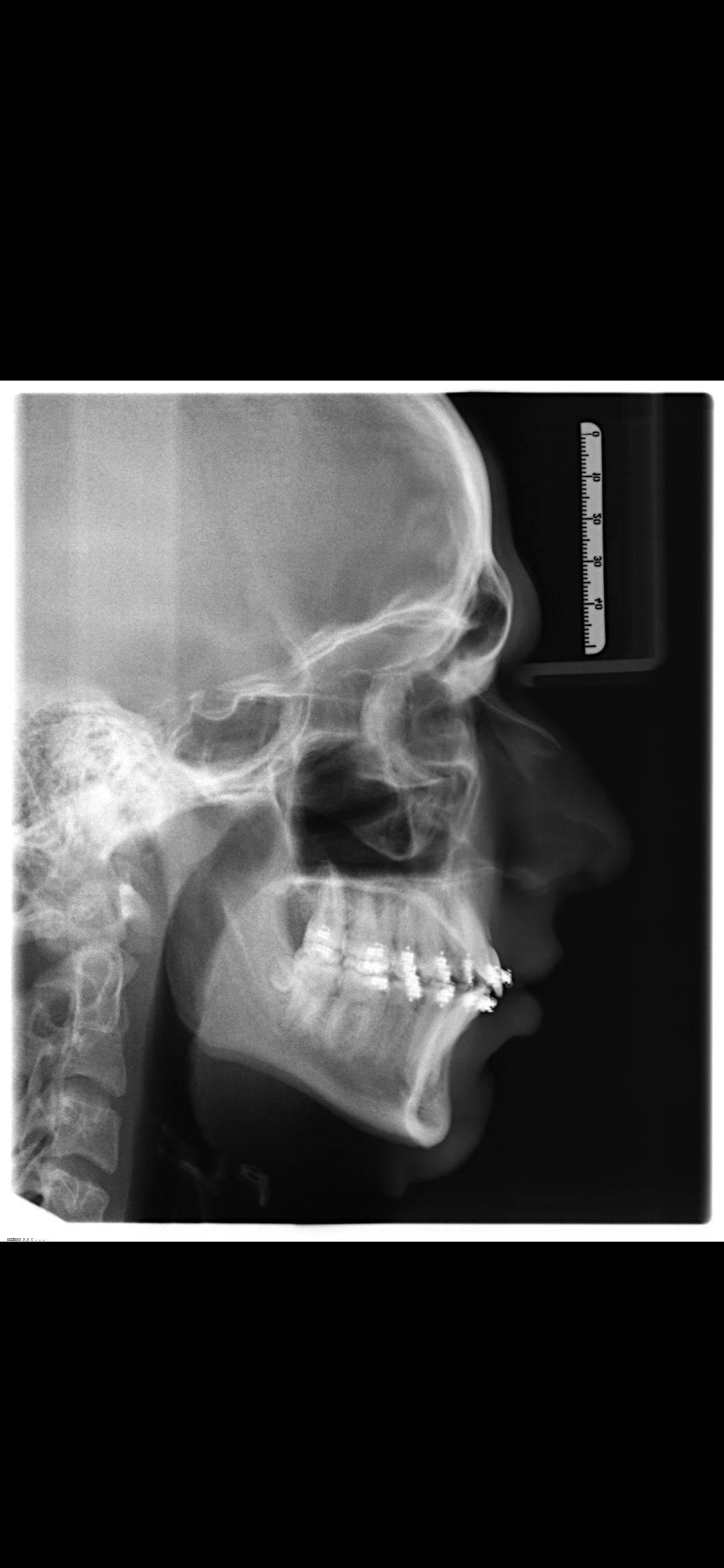
I'm getting Bimax in 5 weeks, and it's getting planned next week, but i don't know how much mm of forward movement i should get. My bite is perfect but my chin is recessed (which will be fixed by a Genioplasty), aside from that my mandible and maxilla are retrognathic (too short), which will be fixed through dysgnathia (the forwardmovement of both jaws). I think around 12mm of forward movement in maxilla and mandible + genioplasty would be perfect, i'm not sure tho, what do yall think, if you have experience with jaw surgery?
1767485087689
 
  • +1
Reactions: oculus
dogmaxxing
 

Similar threads

O
Replies
2
Views
110
tony10
tony10
ACNECell7
Replies
9
Views
139
negativ_canthalshit
negativ_canthalshit
S
Replies
10
Views
190
looksmaxer321
looksmaxer321
Lyso
Replies
6
Views
114
purpleskulltrooper
purpleskulltrooper
RussianMTN
Replies
6
Views
47
RussianMTN
RussianMTN

Users who are viewing this thread

Back
Top