Hyaluronic acid supplement as an alternative acne treatment

LVZZO

LVZZO

̿̿ ̿̿ ̿̿ ̿'̿'\̵͇̿̿\з= ( ▀ ͜͞ʖ▀) =ε/̵͇̿̿/’̿’̿ ̿ ̿̿
Joined
Apr 23, 2023
Posts
2,462
Reputation
3,060
Hyaluronic acid can be used as an alternative to isotretinoin because both decrease sebum production.
Could resolve seborrheic dermatitis as well, since isotretinoin also resolves it
1729440455732
1729440718168


To my knowledge this has never been theorized or studied in form of a scientific publication.
 
  • +1
Reactions: SlayerJonas and NZb6Air
There's no acne treatment other than Accutane. Fat fucks takes steroids that increases the chances of having cancer by 300% but is scared to take a fucking pill that makes your skin dry, dumbass monkeys.
 
  • JFL
  • +1
Reactions: idkwhattoputhere, Kelly Oubre Jr, mfk and 2 others
100-200mg/day is the normal dose
500 mg/day is high dose
1-2g is very high dose

100mg is just as effective as 200mg when measuring several skin markers.
Not much information for higher doses I believe, unless it's safety data.
I wouldn't go over 2-3g per day.

There's no acne treatment other than Accutane. Fat fucks takes steroids that increases the chances of having cancer by 300% but is scared to take a fucking pill that makes your skin dry, dumbass monkeys.
Accutane is the most effective, hyaluronic acid has never been tested.
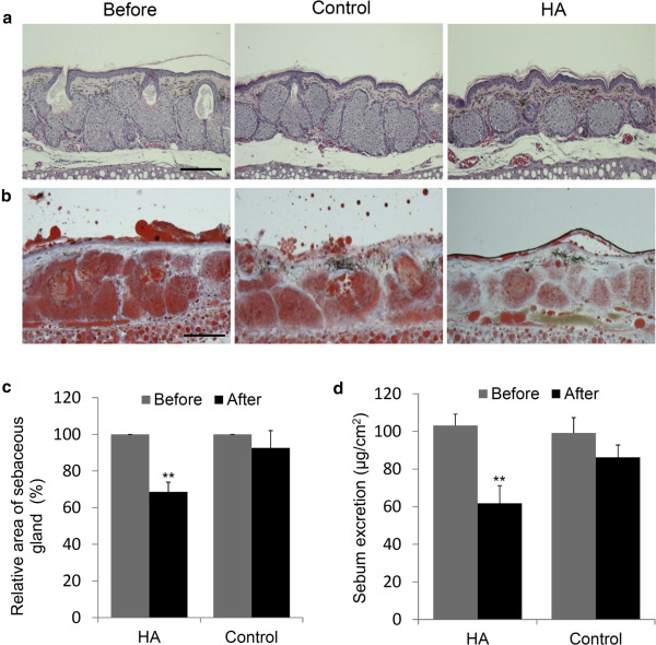
Some people don't need a reduction in 80-90% of sebum production, which causes side effects.
HA reduces it in 20-40%, it may be enough for many people.
 
Good thread
 
  • +1
Reactions: LVZZO
100-200mg/day is the normal dose
500 mg/day is high dose
1-2g is very high dose

100mg is just as effective as 200mg when measuring several skin markers.
Not much information for higher doses I believe, unless it's safety data.
I wouldn't go over 2-3g per day.


Accutane is the most effective, hyaluronic acid has never been tested.
Some people don't need a reduction in 80-90% of sebum production, which causes side effects.
HA reduces it in 20-40%, it may be enough for many people.
HA is very common in skincare products, and is frequently used in skincare routines without people even realizing. There’s a decent chance your moisturizer has HA or its derivatives (sodium hyaluronate, etc)

Then there’s the argument that it’s topical. Well, the study had HA injected into the skin. Oral and topical are both going to be quite different than HA injections regardless.

It’s understood that sebum over-production can be a result of the skin compensating for a lack of moisture/water content. So these results align with what is expected, given that HA holds water in the skin.

But if the aforementioned is why sebum production was reduced, then you’d see topical HA serums (which boost skin moisture content) as a treatment for acne. But you don’t. There’s a complex pathology behind acne which includes androgens, blood glucose, and more.

So it’s not possible to argue that HA would be as effective as Isotretinoin for that reason.

But if you’d like to give it a go, you need to take an oral micronized form of HA like Injuv. As the normal form lacks oral bioavailability.
 
Last edited:
  • +1
Reactions: LVZZO
There's no acne treatment other than Accutane. Fat fucks takes steroids that increases the chances of having cancer by 300% but is scared to take a fucking pill that makes your skin dry, dumbass monkeys.
jay ef el
 
HA is very common in skincare products, and is frequently used in skincare routines without people even realizing. There’s a decent chance your moisturizer has HA or its derivatives (sodium hyaluronate, etc)

Then there’s the argument that it’s topical. Well, the study had HA injected into the skin. Oral and topical are both going to be quite different than HA injections regardless.

It’s understood that sebum over-production can be a result of the skin compensating for a lack of moisture/water content. So these results align with what is expected, given that HA holds water in the skin.

But if the aforementioned is why sebum production was reduced, then you’d see topical HA serums (which boost skin moisture content) as a treatment for acne. But you don’t. There’s a complex pathology behind acne which includes androgens, blood glucose, and more.

So it’s not possible to argue that HA would be as effective as Isotretinoin for that reason.

But if you’d like to give it a go, you need to take an oral micronized form of HA like Injuv. As the normal form lacks oral bioavailability.
I said it's going to be less effective already, the biodistributionof HA varies greatly, it may or may not happen that enough gets in the sebaceous glands or in some way affect them, but it should have some effect.
Just need some kiddos to test it
 

Similar threads

Softmax09
Replies
6
Views
75
Doom0
Doom0
SonT18
Replies
1
Views
52
dkxe
D
V
Replies
5
Views
117
views
V
MTNLudde
Replies
9
Views
28
iblamezygomaticbone
iblamezygomaticbone
Z
Replies
10
Views
95
cometohaunted
cometohaunted

Users who are viewing this thread

Back
Top