I fell for the facepulling meme a while ago and now I have slight bimaxillary protrusion, how to fix?

Deleted member 11770

Deleted member 11770

Zephir
Joined
Jan 7, 2021
Posts
1,871
Reputation
3,393
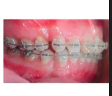
So for a while I used my thumbs from the inside of my mouth to push my palate forward, all that this did is it created a slight gap between my incisors, just like in this pic:

Screen Shot 2021 10 16 at 44935 PM


Making my upper lip more protruded from the outside which doesn't look great.

I want to push the teeth back but when I apply too much pressure from the outside with my thumbs I get swollen jaw muscles and tmj pain after a while.

Can braces fix this, will I look normal again just like before? I need to go from this

Untitled


to this basically:

After
 

Similar threads

Z
Replies
4
Views
32
Sub->CL
Sub->CL
Supraz
Replies
11
Views
27
Supraz
Supraz
chudboi
Replies
15
Views
78
DNR_
DNR_
cħūd
Replies
11
Views
106
sqaqyi
sqaqyi

Users who are viewing this thread

Back
Top