I think my plates are closed

iblamemyheight

iblamemyheight

Bronze
Joined
Nov 6, 2024
Posts
275
Reputation
186
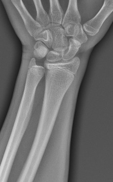
Need some high IQ to tell me if they're still open
Chatgpt told me they're still open but really close to fusing
1000318378
 
  • +1
Reactions: Deleted member 254380, HundredManSlayer and gio729
open not for a long time though
 
  • +1
Reactions: iblamemyheight and Deleted member 254380
Your good bro, distal radius open but distal ulna closed . How old are you?
 
Not exactly how it works i think and AI isn't risk free
Im pretty sure risk comes only if you dose it incorrectly. I was thinking low dose arimidex and recurrent bloodworm.
 
Im pretty sure risk comes only if you dose it incorrectly. I was thinking low dose arimidex and recurrent bloodworm.
Risk is always present brochaco, estrogen is crucial for male development too and also wft is "recurrent bloodworm" darksouls item or sum
 
Risk is always present brochaco, estrogen is crucial for male development too and also wft is "recurrent bloodworm" darksouls item or sum
Sorry for typos English is not my main language. But you know what's I mean, biweekly bloodwork to check my e2 levels and make sure I don't crash it. And about the risk, I'm willing to take a risk at slightly slower brain development if the side is 2 inches above baseline, totally worth it imo.
 
  • +1
Reactions: PharmaPhaggot and Chaotropic
Sorry for typos English is not my main language. But you know what's I mean, biweekly bloodwork to check my e2 levels and make sure I don't crash it. And about the risk, I'm willing to take a risk at slightly slower brain development if the side is 2 inches above baseline, totally worth it imo.
You seem fairly knowledgeable unlike most of the iqcels here who just blast shit and hope for the best. Any more height gained is good. It just seems questionable that reducing estrogen is 1:1 the reason for plate closure, the only way is hgh and maybye AI on top of that, from everything ive heard
 
  • +1
Reactions: iblamemyheight
You seem fairly knowledgeable unlike most of the iqcels here who just blast shit and hope for the best. Any more height gained is good. It just seems questionable that reducing estrogen is 1:1 the reason for plate closure, the only way is hgh and maybye AI on top of that, from everything ive heard
ty bro, i did my research, though the fear of something going wrong is always there
 
using hgh alone would give better growth than using ai alone. i suggest pairing the 2 for best results. unless you can't afford it
 
  • +1
Reactions: iblamemyheight
using hgh alone would give better growth than using ai alone. i suggest pairing the 2 for best results. unless you can't afford it
Ik, but i cant really afford the ranges i aim for, it is still in my considerations to run something atleast, maybe 4IU
 
  • +1
Reactions: Spieldren

Similar threads

ifidonthit6irope
Replies
20
Views
181
r4ntr4pedyou
r4ntr4pedyou
srh4an
Replies
6
Views
89
srh4an
srh4an
J6FF
Replies
2
Views
154
twizzytee
T
poreskin
Replies
5
Views
113
Vaske Silni
Vaske Silni

Users who are viewing this thread

Back
Top