Insane face pulling device results

patricknotstar

patricknotstar

Platinum
Joined
May 24, 2020
Posts
1,235
Reputation
1,812
1A2B1E25 540E 470B B4D9 F55C32A3FC80

Blown away
 
  • +1
  • Love it
  • Woah
Reactions: anticel, neckcheck, MansNotHot and 1 other person
rip hair
 
  • +1
Reactions: banku don, PURE ARYAN GENETICS and Baldingman1998
looks painful
 
  • +1
Reactions: banku don
bumb. can i have the article link?
 
should have done it with a tractor instead of leaving those ugly ass marks
 
Interesting...
Fpull
 
  • +1
  • JFL
Reactions: goat123, everythingisacope and sandcelmuttcel
Must suck to trip and fall with that shit on
 
  • +1
  • JFL
Reactions: goat123, Deleted member 8706, everythingisacope and 1 other person
Link
 
  • +1
Reactions: sandcelmuttcel
Im glad you posted this, I feel like I saw this before but dont remember where.
This looks very promising to be improved with a version that is removeable (on the head.)

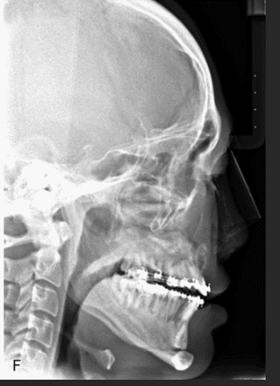
His vertebral column also straightened! Which is important for airway and aesthetics.

I wish doctors would just charge on installing implants only leaving us to facepull on our own time so we aren't charged by duration of treatment. These are the kinds of directional forces I wish I could have.
 
  • +1
  • Love it
Reactions: anticel and patricknotstar
just use medieval torture devices on people instead of performing surgery theory
 
  • JFL
Reactions: goat123
just use medieval torture devices on people instead of performing surgery theory
Might not be that bad but we need more info.

As an MSE patient, my own "medieval torture device" wasnt too bad considering that my maxilla was split into two with corticopuncture I think it might look worse than how it feels.

Surgery looks more painful imo. This facepulling anchor looks less intimidating than jaw surgery and alot cheaper.
 
Im glad you posted this, I feel like I saw this before but dont remember where.
This looks very promising to be improved with a version that is removeable (on the head.)

His vertebral column also straightened! Which is important for airway and aesthetics.

I wish doctors would just charge on installing implants only leaving us to facepull on our own time so we aren't charged by duration of treatment. These are the kinds of directional forces I wish I could have.
It's the result of surgery, you can see the screws in the after image.
 
This proves mewing is legit is those results came from a little bit of force.
 

Similar threads

StuckInNDHell
Replies
2
Views
39
StuckInNDHell
StuckInNDHell
greycel manlet
Discussion face pulling
Replies
1
Views
80
sherry12
sherry12
D
Replies
20
Views
200
pxverr
pxverr
A
Replies
4
Views
56
Avagar Nexus
A
L
Replies
20
Views
88
Ltb_slayer69
L

Users who are viewing this thread

Back
Top