Is it over?

H

hobuiu

Iron
Joined
Nov 22, 2025
Posts
8
Reputation
1
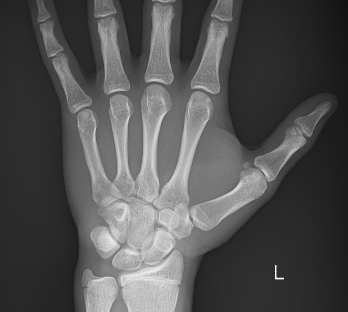
Afb79647 56d1 4d9a a86d 8dcc5dab5c39
Is it worth taking hgh and an ai or is it too late to have meaningful change? I’m 16 it has been like 4 months since this was taken
 
how tall are you? I think you need to go about this from a risk to roi standpoint
 
Bro hgh is not ganna make you grow taller jfl, it is a very lucky circumstance, you might grow a cm if u very lucky but if u willing to spend hundreds on pharma hgh go for it, you just needa pray to gandy now bro
 
Bro hgh is not ganna make you grow taller jfl, it is a very lucky circumstance, you might grow a cm if u very lucky but if u willing to spend hundreds on pharma hgh go for it, you just needa pray to gandy now bro
Just to clarify you mean due to my advanced bone age right? And what does jfl mean?
 
Are your growth plates closed jfl = just fucking laugh
Bro I put an image 😭. Pretty sure when I got it the doctor said I had max 4cm left at time of x ray and it has been 3 months not seen any I don’t think. Are you claiming that hgh is general doesn’t work? Or was it case specific to my bone age?
 
Bro I put an image 😭. Pretty sure when I got it the doctor said I had max 4cm left at time of x ray and it has been 3 months not seen any I don’t think. Are you claiming that hgh is general doesn’t work? Or was it case specific to my bone age?
Do I look like a fucking doctor nigger, hgh is not ganna do shit use test and a fucking ai you grey
 
Ye I don’t disagree. However why would test work better than hgh? Have you tried it?
Currently on test 300 test e a week, hgh is going to benefit sleep maybe some muscle growth but test is going work much better and be a cheaper alternative
 
Currently on test 300 test e a week, hgh is going to benefit sleep maybe some muscle growth but test is going work much better and be a cheaper alternative

Are you doing it primarily for height as well?
 
  • +1
Reactions: Lauren de Graaf

Similar threads

adawsdawadsadsa
  • Question
Discussion HGH question
Replies
2
Views
96
adawsdawadsadsa
adawsdawadsadsa
rudo
Replies
2
Views
117
rudo
rudo
bluebandz
Replies
6
Views
78
bluebandz
bluebandz
B
Replies
13
Views
86
user20266741
user20266741
S
Replies
25
Views
124
sick kunt31
sick kunt31

Users who are viewing this thread

Back
Top