Jesus_ist_König
ppl are happier when I'm not around
- Joined
- Jan 2, 2026
- Posts
- 8,377
- Reputation
- 10,233
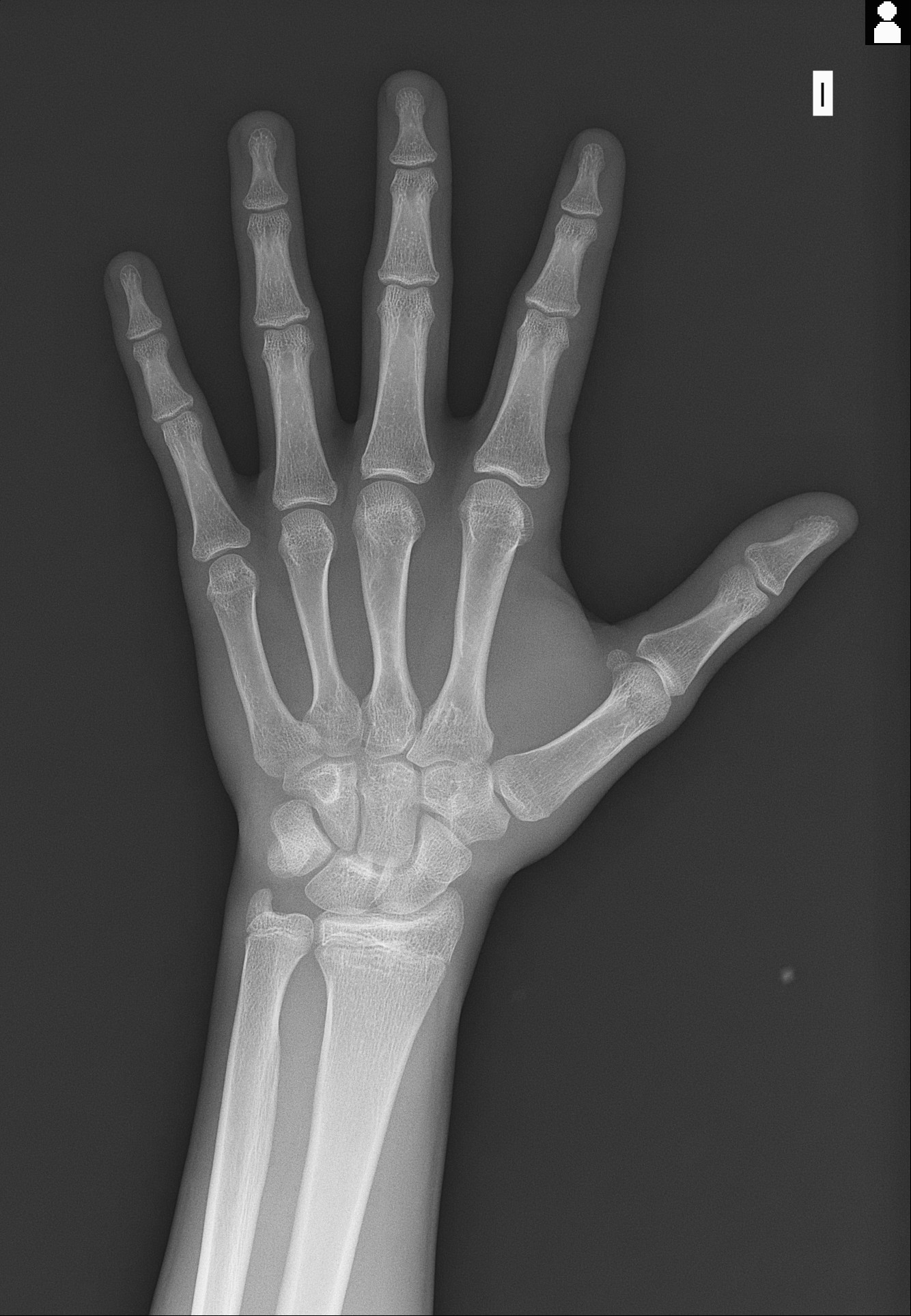
22.01.2026 x-ray of growth plates
Is it worth it to take them to get more time to grow?? My age is 16 and 17 in less than 3 months. My bone age is 5 months older than me based on my calculations (used orkas thread on radiology https://looksmax.org/threads/the-ra...s-how-to-tell-if-youre-still-growing.1701312/). Would I gain more than 3cm extra with ai? Regarding also the risk of osteoporosis or bad brain development.
@Orka @PSLbbc
Is it worth it to take them to get more time to grow?? My age is 16 and 17 in less than 3 months. My bone age is 5 months older than me based on my calculations (used orkas thread on radiology https://looksmax.org/threads/the-ra...s-how-to-tell-if-youre-still-growing.1701312/). Would I gain more than 3cm extra with ai? Regarding also the risk of osteoporosis or bad brain development.
@Orka @PSLbbc
