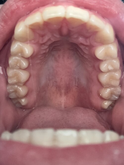
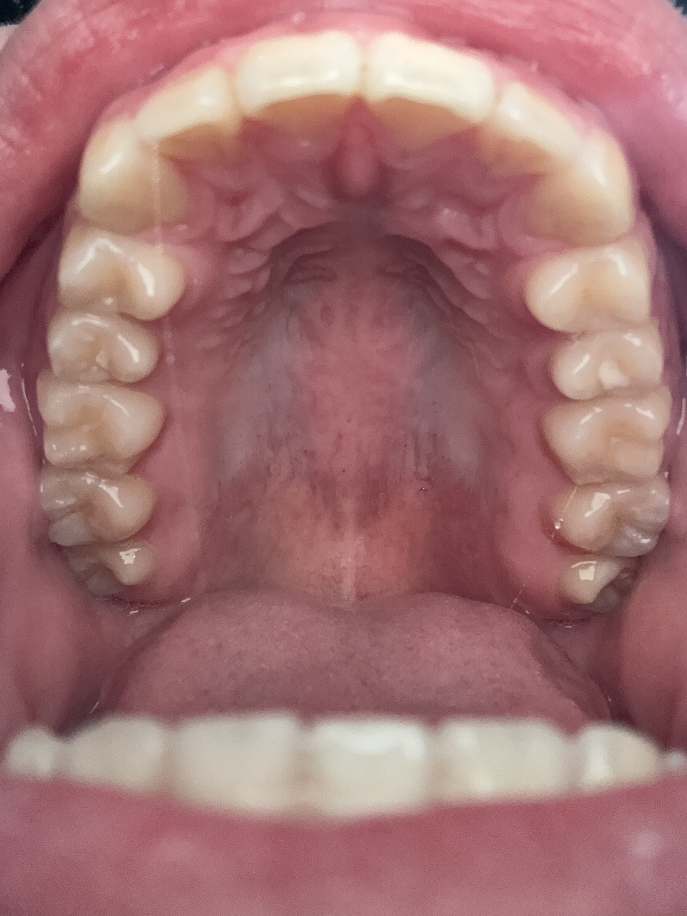
Is my palate narrow? 17 yrs

servallius

servallius

Iron
Joined
Jan 23, 2026
Posts
4
Reputation
0
Wondering if my palate is narrow enough to to have a convincing reason for MARPE or other devices/surgeries. Im kinda retarded so I just want your guys opinions on this
 

Attachments

  • IMG_32158C37-DF68-4DB4-8C08-7F02EDC85B19.jpeg
    IMG_32158C37-DF68-4DB4-8C08-7F02EDC85B19.jpeg
    892.8 KB · Views: 0
from the appearnce yes, but go to an ortho and theyll tell you, dont get marpe if they say its not narrow or youll end up with an uncanny smile
 

Similar threads

Endewo
Replies
8
Views
73
Choda
Choda
moonlit
Replies
2
Views
68
moonlit
moonlit
uterus77
Replies
4
Views
94
uterus77
uterus77
idont_likemirrors
Replies
12
Views
185
alikay
alikay

Users who are viewing this thread

Back
Top