Is my palette narrow?

firmino

firmino

Iron
Joined
Dec 22, 2025
Posts
75
Reputation
25
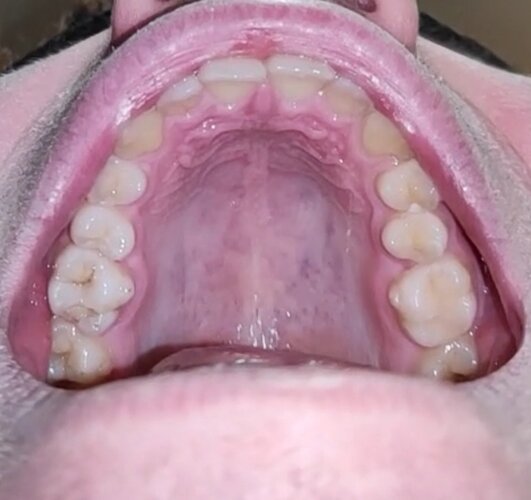
My palette is 35 mm at 15 y.o. Should I Get MARPE?
 

Attachments

  • IMG_20251230_111044_678.jpg
    IMG_20251230_111044_678.jpg
    326.8 KB · Views: 0
I can't really tell from this photo, could you take a front-facing photo with your tongue out, looking upwards at the camera? Thanks
 
  • +1
  • JFL
Reactions: abzz! and firmino

Similar threads

facedamace
Replies
5
Views
80
facedamace
facedamace
jmorra
Replies
5
Views
41
jmorra
jmorra
A
Replies
21
Views
142
chud37
chud37
firmino
Replies
11
Views
102
daunas
daunas
A
Replies
9
Views
75
BtwElliot
B

Users who are viewing this thread

Back
Top