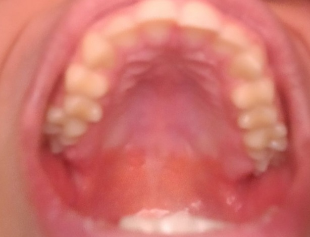
Is there anything I can do about my palate?

L

LauZkd

Iron
Joined
Nov 24, 2025
Posts
8
Reputation
1
Like, chewing with premolars or something?🥀
 

Attachments

  • Screenshot_20260105-004114_TikTok.jpg
    Screenshot_20260105-004114_TikTok.jpg
    47 KB · Views: 0

Similar threads

ascendrx
Replies
6
Views
80
ascendrx
ascendrx
Salamin
Replies
9
Views
159
zjss
zjss
idont_likemirrors
Replies
12
Views
195
alikay
alikay
MantisMan
Replies
5
Views
254
Coping733
Coping733
F
Replies
17
Views
234
Leevi
Leevi

Users who are viewing this thread

Back
Top