Jaw Surgery Morph with Dr. Walline

R

Roan

Iron
Joined
Sep 5, 2023
Posts
38
Reputation
26
Can anybody give their thoughts on my morphs from Dr. Walline and whether the advancements are enough?

From what he told me the movements would be:

- 5 MM with CW Rotation of maxilla and high cut Lefort

- 5 MM back with BSSO, 6 MM forward with Genioplasty for total advancement of 1 MM

After my consultation, the suggestions were a Maxilla CW to bring it forward, a Sagittal Split Osteotomy to bring my lower jack back, and then a sliding Genioplasty to bring my chin back forward.

I did ask if the lower jaw really needed to be moved back, and he said yes because both jaws needed to be moved in tandem.

He also agreed to a High Cut Lefort 1/Quadrangular Osteotomy, but that's not included in this morph. He said he wasn't able to add it to the morph movements.

Yes, this is mainly cosmetic. My main concern is the lack of projection in the midface, which was why I pushed for a high cut Lefort from him.
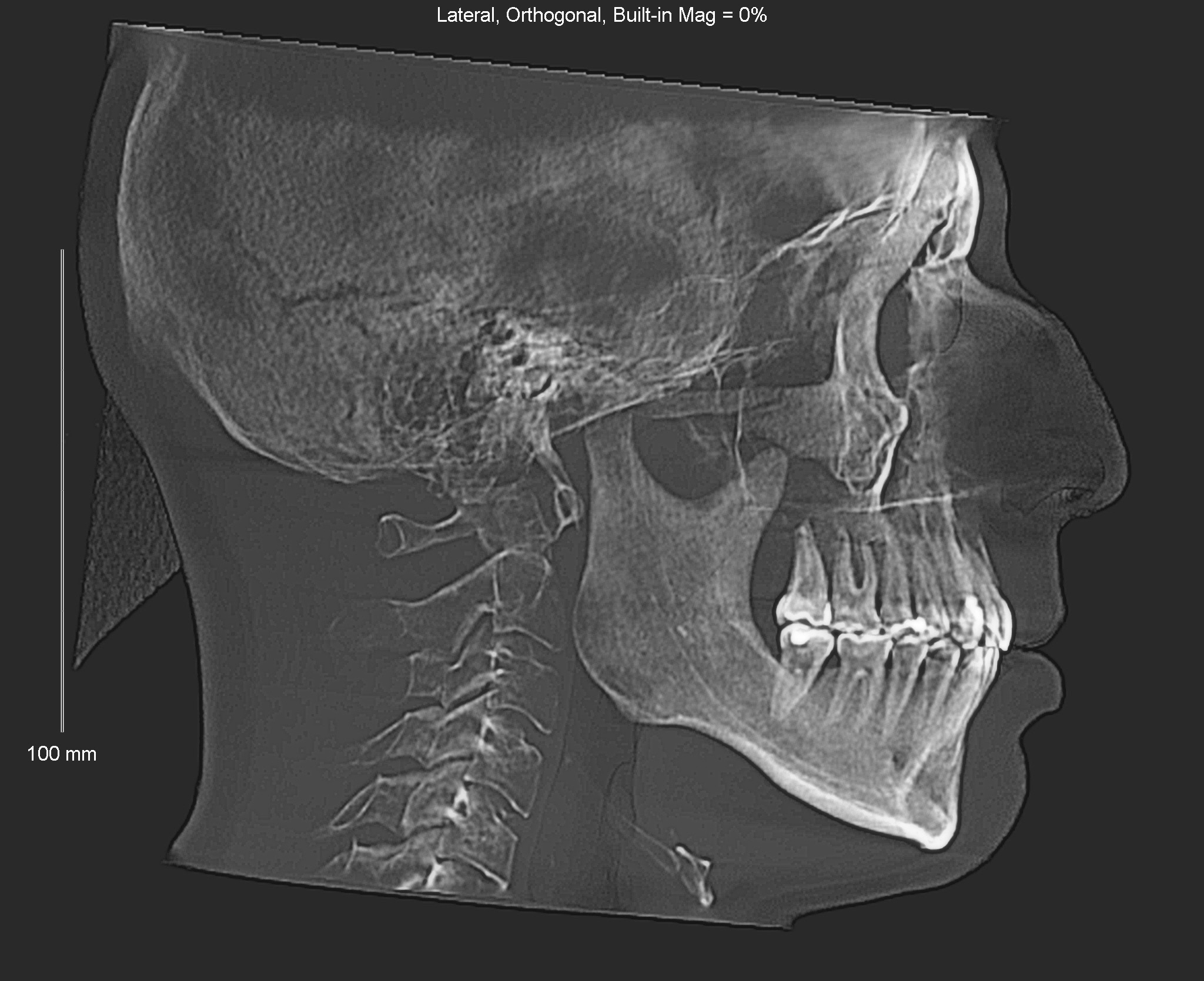
So Lateral Tracing Overlay
So Maxilla Mandible and Chin
So Ceph
 
  • +1
Reactions: fika2, Sicilian Cyclops, aids and 1 other person
Can anybody give their thoughts on my morphs from Dr. Walline and whether the advancements are enough?

From what he told me the movements would be:

- 5 MM with CW Rotation of maxilla and high cut Lefort

- 5 MM back with BSSO, 6 MM forward with Genioplasty for total advancement of 1 MM

After my consultation, the suggestions were a Maxilla CW to bring it forward, a Sagittal Split Osteotomy to bring my lower jack back, and then a sliding Genioplasty to bring my chin back forward.

I did ask if the lower jaw really needed to be moved back, and he said yes because both jaws needed to be moved in tandem.

He also agreed to a High Cut Lefort 1/Quadrangular Osteotomy, but that's not included in this morph. He said he wasn't able to add it to the morph movements.

Yes, this is mainly cosmetic. My main concern is the lack of projection in the midface, which was why I pushed for a high cut Lefort from him.View attachment 4166216View attachment 4166217View attachment 4166218
If only this forum still had somewhat competent users.

Based on what I can see I’d say push for more maxillary advancement (7-9mm).

r/jawsurgery will get you better answers in my opinion.
 
  • +1
Reactions: unon, aids, Deleted member 172386 and 1 other person
Can anybody give their thoughts on my morphs from Dr. Walline and whether the advancements are enough?

From what he told me the movements would be:

- 5 MM with CW Rotation of maxilla and high cut Lefort

- 5 MM back with BSSO, 6 MM forward with Genioplasty for total advancement of 1 MM

After my consultation, the suggestions were a Maxilla CW to bring it forward, a Sagittal Split Osteotomy to bring my lower jack back, and then a sliding Genioplasty to bring my chin back forward.

I did ask if the lower jaw really needed to be moved back, and he said yes because both jaws needed to be moved in tandem.

He also agreed to a High Cut Lefort 1/Quadrangular Osteotomy, but that's not included in this morph. He said he wasn't able to add it to the morph movements.

Yes, this is mainly cosmetic. My main concern is the lack of projection in the midface, which was why I pushed for a high cut Lefort from him.View attachment 4166216View attachment 4166217View attachment 4166218
rhino next?
 
rhino next?
Yes, but after because I know recovery is kind of long. Would rather get jaw surgery first since if affects nose but Rhino would be #1 if I wasn't doing it.
 
If only this forum still had somewhat competent users.

Based on what I can see I’d say push for more maxillary advancement (7-9mm).

r/jawsurgery will get you better answers in my opinion.
Sub is full of haters who always just say to not get it unless you have some crazy deformity
 
  • +1
Reactions: Orka
Sub is full of haters who always just say to not get it unless you have some crazy deformity
Makes sense.

I'm assuming you've tried r/cosmeticsurgery aswell? Is reddit that bad nowadays?
 
  • +1
Reactions: unon
Yes, but after because I know recovery is kind of long. Would rather get jaw surgery first since if affects nose but Rhino would be #1 if I wasn't doing it.
good idea, good luck bhai! please @ me in updates :feelshah:
 
  • +1
Reactions: Orka
Makes sense.

I'm assuming you've tried r/cosmeticsurgery aswell? Is reddit that bad nowadays?
most of the niggas on reddit are even more deformed than some of the niggas on here

and i feel like the user base is either toxic or they dont give out good enough advice
 
  • +1
Reactions: Orka
Makes sense.

I'm assuming you've tried r/cosmeticsurgery aswell? Is reddit that bad nowadays?
I haven't but I've been lurking for a while since I was looking into implants. They just don't really talk about jaw surgery, would prob just tell me to get rhino and genio only
 
  • +1
Reactions: Orka
most of the niggas on reddit are even more deformed than some of the niggas on here

and i feel like the user base is either toxic or they dont give out good enough advice
They're good for actual surgeon recommendations but not much beyond that
 
  • +1
Reactions: Orka
Also forgot to mention, but I could be having the surgery as soon as late October so it's also why I'm doing this first.
 
Anyone else have an idea? Only seen Walline so far, Gunson doesn't have a consultation until April of next fucking year so I'd rather not wait that long.
 
Jewish psyop. just eat raw meat n pray to Jesus. amen
 
Ok let me know doing stupid shit like that turns you into Orb
No orb didn't eat raw meat, that's why his jaw was recessed. And he died in a car crash due to not praying enough. Amen, may his soul rest in peace. 😭🙏
 
No orb didn't eat raw meat, that's why his jaw was recessed. And he died in a car crash due to not praying enough. Amen, may his soul rest in peace. 😭🙏
Wtf are you talking about
 

Similar threads

mateus17
Replies
32
Views
308
DonaldJTrump
DonaldJTrump
mylo1234
Replies
54
Views
312
Buddyboyo2
Buddyboyo2
P
Replies
11
Views
304
bjebb007
bjebb007
S
Replies
4
Views
87
ethin2471
ethin2471
D
Replies
3
Views
100
Mogger-gorilla
Mogger-gorilla

Users who are viewing this thread

Back
Top