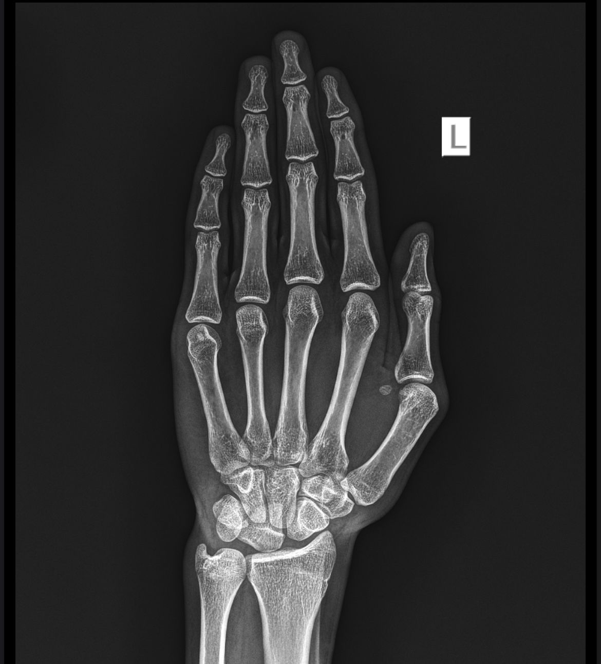
Just got my x-ray back, are my growth plates closed?

accutanefuckedme

accutanefuckedme

Fuck this life
Joined
Jan 7, 2026
Posts
1,299
Reputation
1,679
Ik it’s almost totally fused but still is there any chance I can grow a few cms?
IMG 6940
 
not in this universe
 
Bump ahh
 

Similar threads

baygad
Replies
6
Views
52
baygad
baygad
RevengeAndForget
Replies
1
Views
35
mr123456
mr123456
maad
Replies
3
Views
46
maad
maad
ccwb
Replies
71
Views
318
Bars
Bars
ccwb
Replies
18
Views
106
kisslessvirgin
kisslessvirgin

Users who are viewing this thread

Back
Top