Kemik Yaşıma Baktırdım, Daha Uzama İhtimalim Var mı? (Röntgen görüntüsü var)

Duck Eats Bagel

Duck Eats Bagel

Bronze
Joined
Apr 3, 2025
Posts
382
Reputation
689
Öncelikle herkese merhaba, bugün kemik yaşıma baktırdım; doktor biyolojik yaşımın 13 yıl 9 ay kemik yaşımın 15 olduğunu, 2-3 cm daha uzayabileceğimi ve plakların kapanmak üzere olduğunu söyledi. Erken ergenliğe girmiş olabilir miyim, yüksek östrojenden dolayı mı kemik yaşım ileride diye sordum, hayır gelişimin gayet normal, erkeklerde zaten östrojen yok dedi. Ancak fazla testosterona sahipsen östrojene dönüşür (aromataz) diye de ekledi.

Boyum: 176, kilom: 54, annemin boyu: 163, babamın boyu: 174; şu ana kadar düzenli olarak her sene uzadım, birden büyüme atağı gerçekleşmedi. Ailemde olmamasına ve esmer olmamama rağmen vücudumda kıllanma var, 12-12,5 yaşlarında yüzümde bıyık-sakal çıkmaya başladı, koltuk altlarım ve genital bölge kıllanmaya başladı. Küçüklüğümden beri asla ama asla paketli gıda tüketmememe ve yüzümü düzenli olarak yıkamama rağmen 12 yaşında yüzümde sivilce çıkmaya başladı, ilk başta pek fazla çıkmıyordu ancak bu kıştan itibaren çok fazla sivilce artışı yaşadım, boynumda da çıkmaya başladı. Birkaç ay önce sivilcelenme için dermatolojiye gittiğimde doktor, yüksek androjen seviyesinden dolayı fazla sebum üretilmesinden bahsetmişti, yüksek androjenin plakların erken kapanmasına yol açtığını okumuştum. Sesim biraz ince, ne derin ne de tiz. Tüm bunlara karşılık en nüans özellik 12 yaşında sperm üretimi başladı. Ayriyeten annem prenatal dönemi sağlıklı geçirdiğini söylüyor.

siz bana herbst apareyinin etki etmeyeceğini ve bana verdiğiniz elastiklerin iskeletsel etki sağlamayacağını söylemiştiniz, ama ben böyle düşünmüyorum, internette araştırdığımda herbst apareyini benim yaşımda kullanan bir sürü kişi hatta 16 yaşında kullanan bile gördüm. Ayriyetten erkeklerde çene gelişimi 17-18 yaşına kadar devam ediyor dedim, yani kısacası ben herbst apareyi istiyorum dedim.
doktor ben bu apareyi vermemek için senin boyuna, sivilcelerine, gelişimine bakıyorum dedi.
(Herbst Apareyi için en geç 15-16 yaşlarında olmak lazım)

Erken ergenlik geçirdiğimi sanmıyorum çünkü kaç yaşında sperm üretimi başladıysa o yaşta tamamen ergenliğe giriliyor diye biliyorum.
Ayriyeten küçüklüğümde hep yaşıtlarımdan uzundum ve asla kilolu-yağlı değildim.

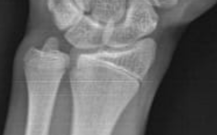
Röntgen:
1761313248078


Tüm bunlara karşılık daha uzayabilir miyim? Şimdiden konuyu ciddi cevaplayan herkese çok teşekkürler, iyi forumlar dilerim
 
Last edited:
  • +1
Reactions: Resistance., Kayra139, Auchelius and 1 other person

@ascendantwill @ZerefDragnee1l @Auchelius @yadih @Xavier @MogEater @maarda @elemancomeback31 @Trenmaxx1 ]@ER enjoyer @Resistance.
 
Last edited:
  • +1
  • JFL
Reactions: Deleted member 157316, Trenmaxx1, Kayra139 and 3 others
Öncelikle herkese merhaba, bugün kemik yaşıma baktırdım; doktor biyolojik yaşımın 13 yıl 9 ay kemik yaşımın 15 olduğunu, 2-3 cm daha uzayabileceğimi ve plakların kapanmak üzere olduğunu söyledi. Erken ergenliğe girmiş olabilir miyim, yüksek östrojenden dolayı mı kemik yaşım ileride diye sordum, hayır gelişimin gayet normal, erkeklerde zaten östrojen yok dedi. Ancak fazla testosterona sahipsen östrojene dönüşür (aromataz) diye de ekledi.




(Herbst Apareyi için en geç 15-16 yaşlarında olmak lazım)

Erken ergenlik geçirdiğimi sanmıyorum çünkü kaç yaşında sperm üretimi başladıysa o yaşta tamamen ergenliğe giriliyor diye biliyorum.
Ayriyeten küçüklüğümde hep yaşıtlarımdan uzundum ve asla kilolu-yağlı değildim.

Röntgen:
View attachment 4240632,

Tüm bunlara karşılık daha uzayabilir miyim? Şimdiden konuyu ciddi cevaplayan herkese çok teşekkürler, iyi forumlar dilerim
Allah bilir kardeş kimse burda kahin değil ne olacağı belli olmaz belki uzar belkide uzamasın sen düzgün beslen elinden geleni yap aromasin + 6iu gh falanda basabilirsin ama kimse net birşey diyemez doktorda öylesine boş konuşuyor
 
  • +1
Reactions: Kayra139, Auchelius, pashanimair and 3 others
Öncelikle herkese merhaba, bugün kemik yaşıma baktırdım; doktor biyolojik yaşımın 13 yıl 9 ay kemik yaşımın 15 olduğunu, 2-3 cm daha uzayabileceğimi ve plakların kapanmak üzere olduğunu söyledi. Erken ergenliğe girmiş olabilir miyim, yüksek östrojenden dolayı mı kemik yaşım ileride diye sordum, hayır gelişimin gayet normal, erkeklerde zaten östrojen yok dedi. Ancak fazla testosterona sahipsen östrojene dönüşür (aromataz) diye de ekledi.




(Herbst Apareyi için en geç 15-16 yaşlarında olmak lazım)

Erken ergenlik geçirdiğimi sanmıyorum çünkü kaç yaşında sperm üretimi başladıysa o yaşta tamamen ergenliğe giriliyor diye biliyorum.
Ayriyeten küçüklüğümde hep yaşıtlarımdan uzundum ve asla kilolu-yağlı değildim.

Röntgen:
View attachment 4240632

Tüm bunlara karşılık daha uzayabilir miyim? Şimdiden konuyu ciddi cevaplayan herkese çok teşekkürler, iyi forumlar dilerim
Bide yarramın kafası yanlış bilgi vermiş erkeklerde düşük miktarda olsa böbrek korteksinden(Matriksde olabilir tam hatırlamıyorum) östorojen salgılanır
 
  • +1
Reactions: Auchelius, pashanimair and Duck Eats Bagel
Dnrd

Ascendantin dedigi gibi belli olmaz ben de 13 yaşında falan gittiğimde aynısını demişti 168 falandım max 173 olursun dedi, şu an 178 hâlâ uzuyom yavasindan
 
  • +1
  • Love it
Reactions: churmaxxed, Auchelius, pashanimair and 2 others
tüm forumdakileri etiketlemiş
 
  • +1
  • JFL
Reactions: ascendantwill, Auchelius, pashanimair and 3 others
tüm forumdakileri etiketlemiş
Bu threade yazan kişileri etiketledim :lul:
 
  • +1
Reactions: Auchelius and pashanimair
Bide yarramın kafası yanlış bilgi vermiş erkeklerde düşük miktarda olsa böbrek korteksinden(Matriksde olabilir tam hatırlamıyorum) östorojen salgılanır
Evet östrojen erkeklerde kemiklerin kalınlığını, beyin gelişimini etkiliyor diye biliyorum
 
  • +1
Reactions: Auchelius and pashanimair
Dnrd

Ascendantin dedigi gibi belli olmaz ben de 13 yaşında falan gittiğimde aynısını demişti 168 falandım max 173 olursun dedi, şu an 178 hâlâ uzuyom yavasindan
Çok sağol lifefuel verdiğin için, bu tarz doktorlardan nefret ediyorum
 
  • +1
Reactions: why not me?, pashanimair, Kayra139 and 1 other person
doktorun dediğine güvenmeyip ruh hastası dolu 90 iq foruma güvenen grey kardeşimiz
 
  • JFL
  • +1
Reactions: Auchelius, Duck Eats Bagel, pashanimair and 1 other person
röntgenin hiç iç açıcı değil sadece bunu söyleyeceğim
1761337426166

whitepill'i benimse, looksmax kadar bomboş ve boktan bir content görmedim şu ana kadar. sadece ropefuel veren ve genel olarak gerizekalılardan oluşan topluluk.
 
Last edited:
  • +1
  • JFL
Reactions: Auchelius, Duck Eats Bagel, pashanimair and 1 other person
doktorun dediğine güvenmeyip ruh hastası dolu 90 iq foruma güvenen grey kardeşimiz
Doğru diyorsun fakat doktorların çoğunluğu sadece saatini doldurmaya bakıyor, mesela bu doktor bana erkeklerde östrojen yok dedi.
En iyisini doktorlar falan bilmez, zamanında para için sigara tavsiye eden adamlar bunlar.
 
  • +1
Reactions: Auchelius, maarda and pashanimair
Öncelikle herkese merhaba, bugün kemik yaşıma baktırdım; doktor biyolojik yaşımın 13 yıl 9 ay kemik yaşımın 15 olduğunu, 2-3 cm daha uzayabileceğimi ve plakların kapanmak üzere olduğunu söyledi. Erken ergenliğe girmiş olabilir miyim, yüksek östrojenden dolayı mı kemik yaşım ileride diye sordum, hayır gelişimin gayet normal, erkeklerde zaten östrojen yok dedi. Ancak fazla testosterona sahipsen östrojene dönüşür (aromataz) diye de ekledi.




(Herbst Apareyi için en geç 15-16 yaşlarında olmak lazım)

Erken ergenlik geçirdiğimi sanmıyorum çünkü kaç yaşında sperm üretimi başladıysa o yaşta tamamen ergenliğe giriliyor diye biliyorum.
Ayriyeten küçüklüğümde hep yaşıtlarımdan uzundum ve asla kilolu-yağlı değildim.

Röntgen:
View attachment 4240632

Tüm bunlara karşılık daha uzayabilir miyim? Şimdiden konuyu ciddi cevaplayan herkese çok teşekkürler, iyi forumlar dilerim
ben de çektirdim çoğu kişi max 2-5 cm diyor. bazıları baya var da diyor pek inanmasam da. ilki gerçekse senin muhtelen 2 santimden fazla yok dürüst olmam gerekirse umarım ikimiz için de iyi olan doğrudur
 
  • +1
Reactions: pashanimair and Duck Eats Bagel

Similar threads

Duck Eats Bagel
Replies
119
Views
3K
Deleted member 131809
D
D
Replies
86
Views
6K
Deleted member 131809
D

Users who are viewing this thread

Back
Top