my 18yo bro with "closed" plates grew 4in a year

fataholic

fataholic

Bronze
Joined
Feb 7, 2026
Posts
360
Reputation
139
- My brother was 5'6 at 18, 5'6 at 17 and 5'5 at 16.
- He was fuming a year ago until he discovered .com and .gg (.org came later) and started researching ways to increase his height.
- He took erdafitinib from a sketchy indiamart seller, i think it was 5mg eod or something
- He grew to 5'10, he turns 19 in a few weeks
- The doctor had told him his plates were fused and no more growth was possible
- He lost his virginity in his room 30 minutes ago (hmmtn facially just short), prompting me to make this post
- Heightpill is brutal
 
  • JFL
Reactions: hellookingforheaven and khrome
dawg u sure his shi was closed? maybe his chronlogical age was hella far from his biological age
 
dawg u sure his shi was closed? maybe his chronlogical age was hella far from his biological age
idk bro doctor said his shi wouldnt grow anymore but who knows if the doctor was right no ones perfect i doubt the mistake tho
 
then prob he was about to close (dr js said it was closed) and whatever shi he was on retained the space. what effect does erdafitinib have? u still growing?
 
do you have the x-rays?
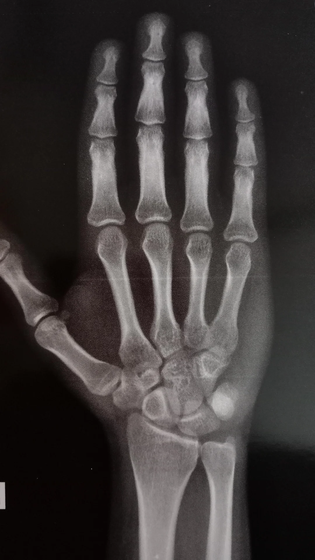
this is what he sent me just now from his doctors visit the other day (they were in disbelief and he was very satisifed), but I know his growth plates looked a bit less closed than this last year but he's 19 now so its to be expected it closes more

Are my growth plates closed im 20m v0 r38snq0pjkhc1
 
- My brother was 5'6 at 18, 5'6 at 17 and 5'5 at 16.
- He was fuming a year ago until he discovered .com and .gg (.org came later) and started researching ways to increase his height.
- He took erdafitinib from a sketchy indiamart seller, i think it was 5mg eod or something
- He grew to 5'10, he turns 19 in a few weeks
- The doctor had told him his plates were fused and no more growth was possible
- He lost his virginity in his room 30 minutes ago (hmmtn facially just short), prompting me to make this post
- Heightpill is brutal
Literally had the same thing happen to me after the doctor said my plates were closed in December 5”8 now I’m 5”10
 
  • +1
Reactions: fataholic

Similar threads

robotlalka
Replies
6
Views
282
robotlalka
robotlalka
sub5lser
Replies
4
Views
85
LHTNjack
LHTNjack
skibidirizzler128
Replies
12
Views
142
weluvpikachu
weluvpikachu
Gea
Replies
4
Views
145
Arrlo
Arrlo

Users who are viewing this thread

Back
Top