Adee
Stoic
- Joined
- Oct 8, 2025
- Posts
- 1,762
- Reputation
- 8,529
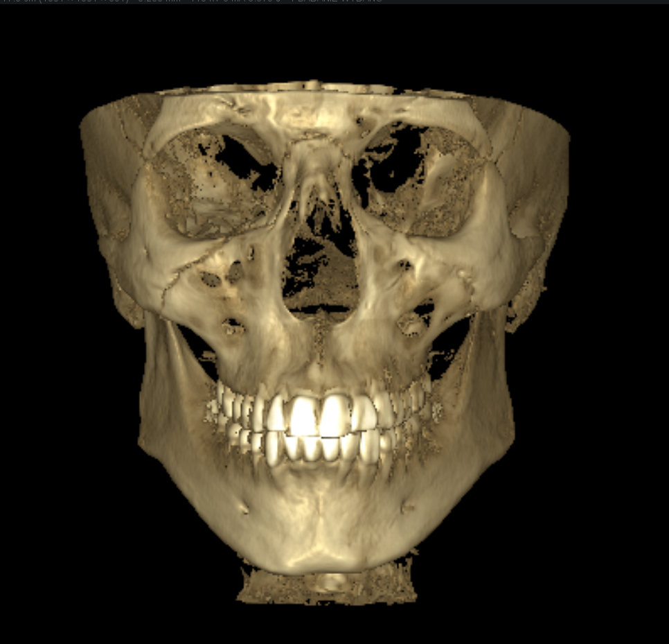
mandibular plane angle definitely not ideal
Planning and surgery time
Follow along with the video below to see how to install our site as a web app on your home screen.
Note: this_feature_currently_requires_accessing_site_using_safari
Be grateful budView attachment 4694478
View attachment 4694481
View attachment 4694487
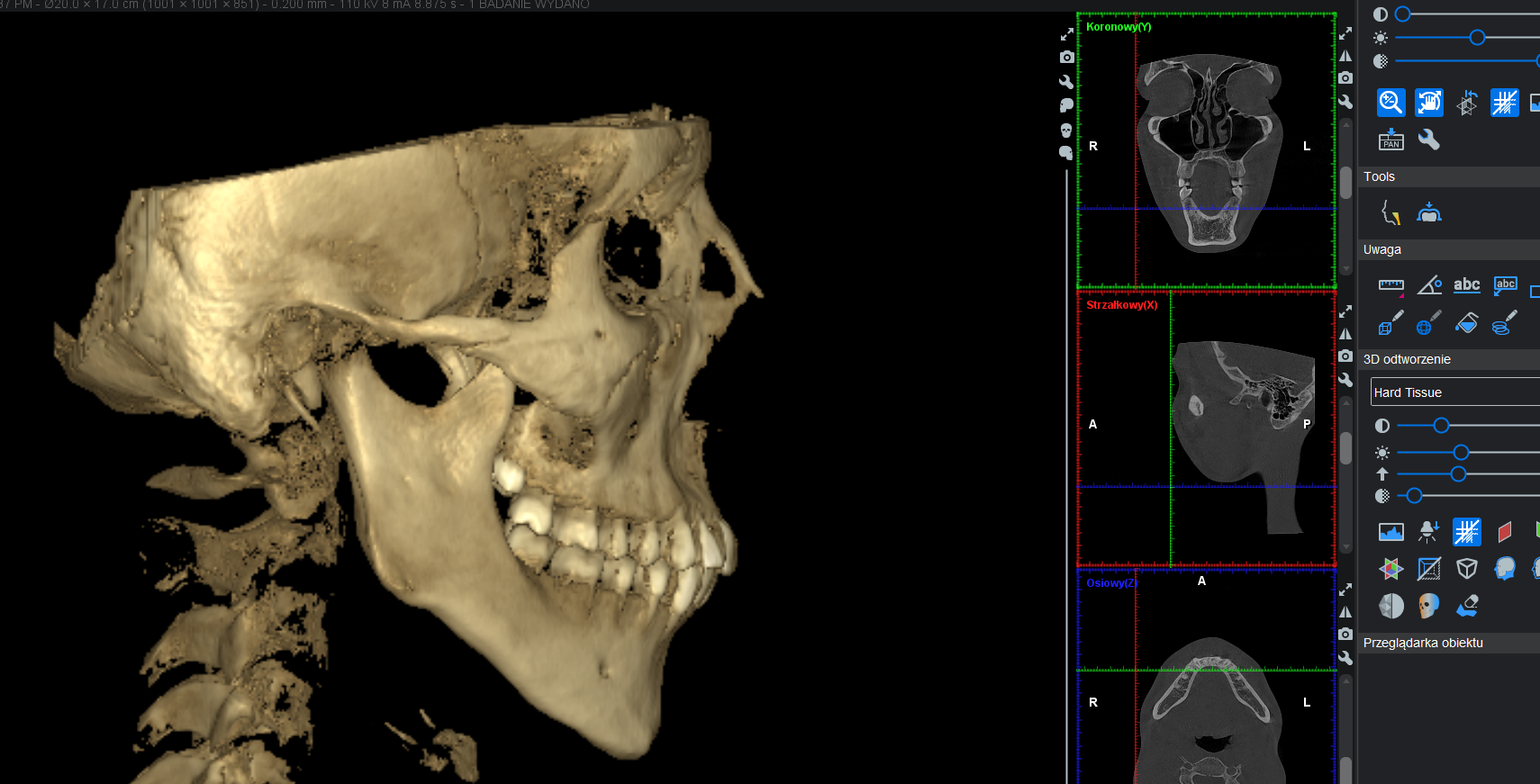
mandibular plane angle definitely not ideal
Planning and surgery time![]()
theres nothing we can do with below the surface aestheticsView attachment 4694478
View attachment 4694481
View attachment 4694487
mandibular plane angle definitely not ideal
Planning and surgery time![]()
my soft tissue is so unfortunate man, i have 2* negative tilt with an average orbitals like thismine made me wanna rope. my midface is caved in
what surg u getting bhai?View attachment 4694478
View attachment 4694481
View attachment 4694487
mandibular plane angle definitely not ideal
Planning and surgery time![]()
counter clockwise tri with segmental lefortwhat surg u getting bhai?
whats ur bfmy soft tissue is so unfortunate man, i have 2* negative tilt with an average orbitals like this
9-11%?whats ur bf
yessir segmental mogs im planning on it toocounter clockwise tri with segmental lefort
Outa topic, does Marpe ascend allot?whats ur bf
depends on ur palate. but mostly no. surg mogsOuta topic, does Marpe ascend allot?
yeah imagine getting marpe and spending months with an expander and later bracesyessir segmental mogs im planning on it too
only if you need it, if not youre gonna end up looking like a chipmunk with nuts in his mouth like that jawhacks dudeOuta topic, does Marpe ascend allot?
Pmdepends on ur palate. but mostly no. surg mogs
Is it unrealistic to add rhino in there within the same procedure(just what you mentioned) with obviously an additional surgeon in the room?counter clockwise tri with segmental lefort