Need advice for mse GTFIH

LoLoyi

LoLoyi

Iron
Joined
Apr 6, 2025
Posts
236
Reputation
205
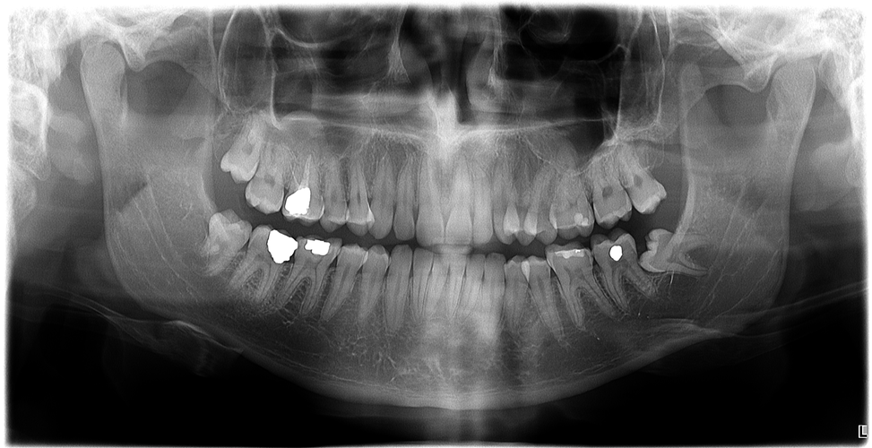
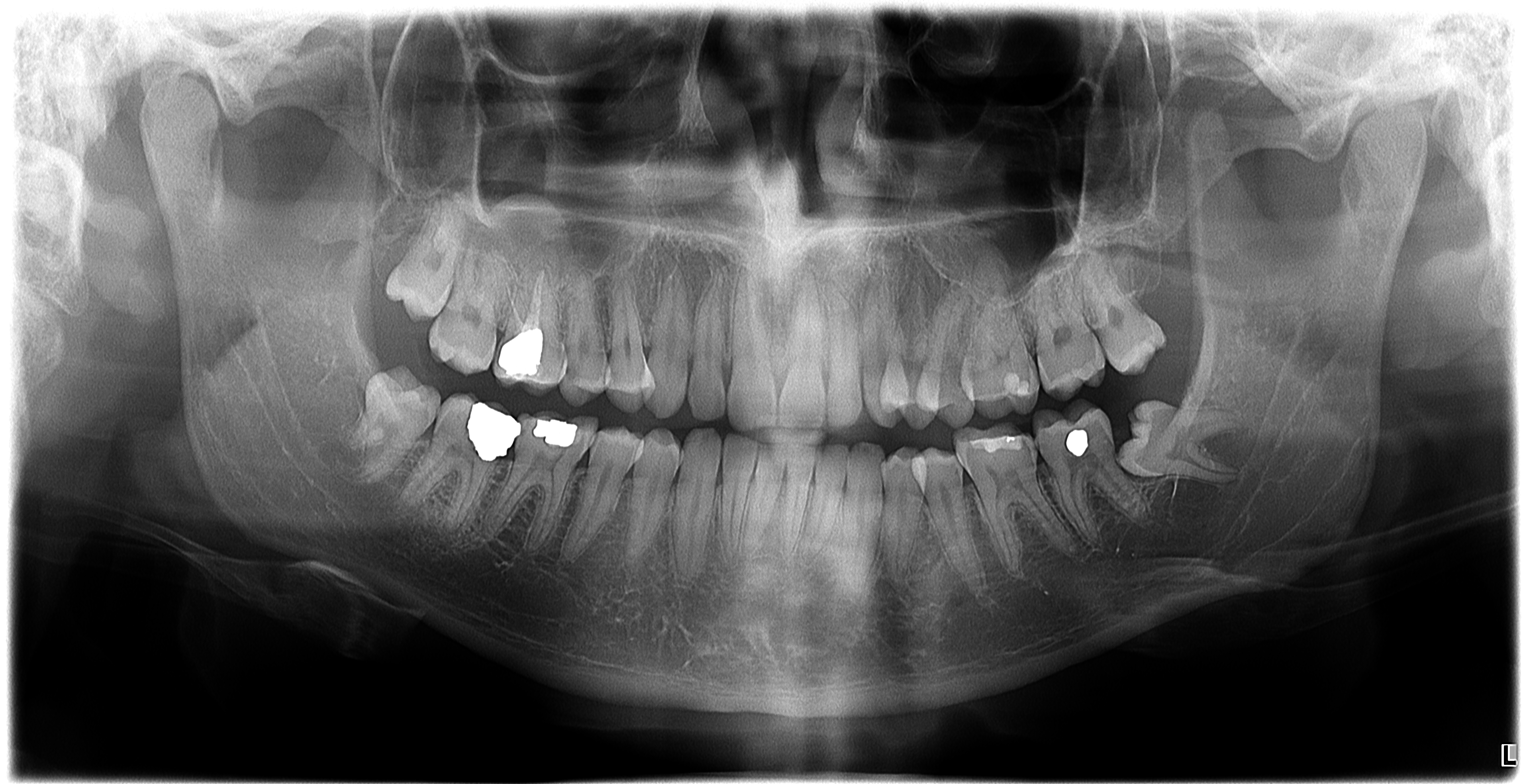
So this is my otropan (scan of my teeth), i have a narrow maxilla, crowding teeth and cant mew for 5 fucking seconds, so my mse deffo wouldnt be for cosmetic reasons, but also i have a slightly higher ipd bc of my right eye (since my right side of maxilla is wider then left) and prominent zygos (they could be more ofc) and because of that i cant make my mind if i should do it. Help.
 

Attachments

  • IMG_0745.png
    IMG_0745.png
    7.2 MB · Views: 0
they are barely crowded
 
  • +1
Reactions: Deleted member 175542
So this is my otropan (scan of my teeth), i have a narrow maxilla, crowding teeth and cant mew for 5 fucking seconds, so my mse deffo wouldnt be for cosmetic reasons, but also i have a slightly higher ipd bc of my right eye (since my right side of maxilla is wider then left) and prominent zygos (they could be more ofc) and because of that i cant make my mind if i should do it. Help.
BUMP IM GOING TO MY ORTHO TOMMOROW
 
yea and the bitch sad that my insurance wont pay it and that i need to pay 2.500k , dk what to do now
js ascend and she'll thirst over you, physical payment
 

Similar threads

N
Replies
8
Views
87
NeedUndereyeSupport
N
CopeMoreHopeLess
Replies
13
Views
90
CopeMoreHopeLess
CopeMoreHopeLess
IcePretty
Replies
18
Views
233
IcePretty
IcePretty
TomoIsLearning
Replies
2
Views
89
TomoIsLearning
TomoIsLearning
Jaybird
Replies
10
Views
86
Jaybird
Jaybird

Users who are viewing this thread

Back
Top