Palate expansion or braces

ritik

ritik

Iron
Joined
Nov 1, 2023
Posts
101
Reputation
22
9E050C27 3C5B 4FDF A741 0491AEE86C10
979BED7F 2537 4207 BCE4 4BDCD702DE94


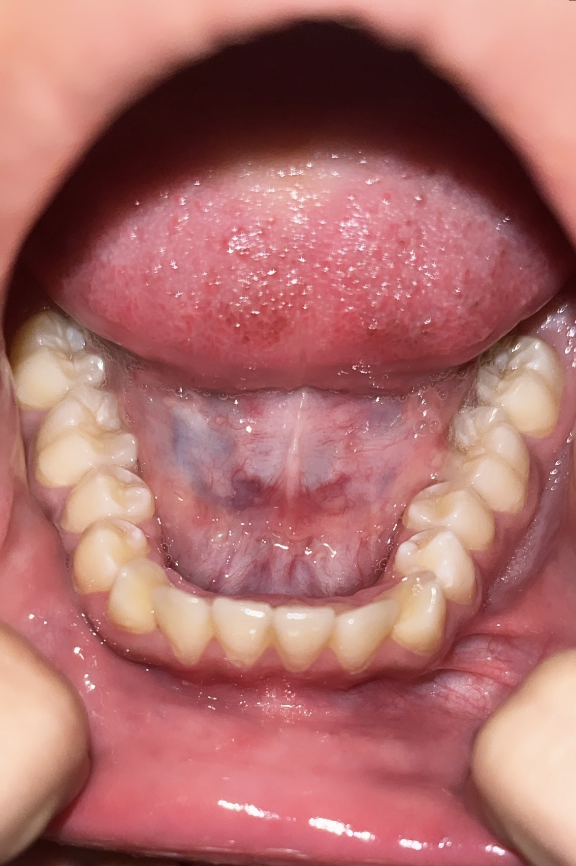
My palate and teeth are lowest tier
My incisors face inwards and outwards and canines also aren’t straight
Should i get palate expansion?
Or braces? I want braces which pull/push my teeth outwards
And can braces pull my teeth outwards or braces can only push them inside.

What cost can I expect for both if u know
 
Braces can pull teeth outwards as well?
 
lol wtf is that palate feel bad bro
 
yup u need some palate expansion, maybe talk w jawhacks he is always up 2 date w that shit
 
after the expansion you’ll need braces anyway.
 
You’ll need both
 

Similar threads

M
Replies
8
Views
155
yyk117
yyk117
rexuyq
Discussion BRACES
Replies
2
Views
53
cancsrs
cancsrs
Alfons0_7252_
Replies
3
Views
51
Geeker66
Geeker66
Valitic
Replies
3
Views
84
MixedBoyo12
MixedBoyo12
sombody
Replies
1
Views
59
JimmyB196
J

Users who are viewing this thread

Back
Top