Plans for my bimax surgery

hopecel271

hopecel271

MTN -> HTN in 2026
Joined
Dec 31, 2025
Posts
754
Reputation
632
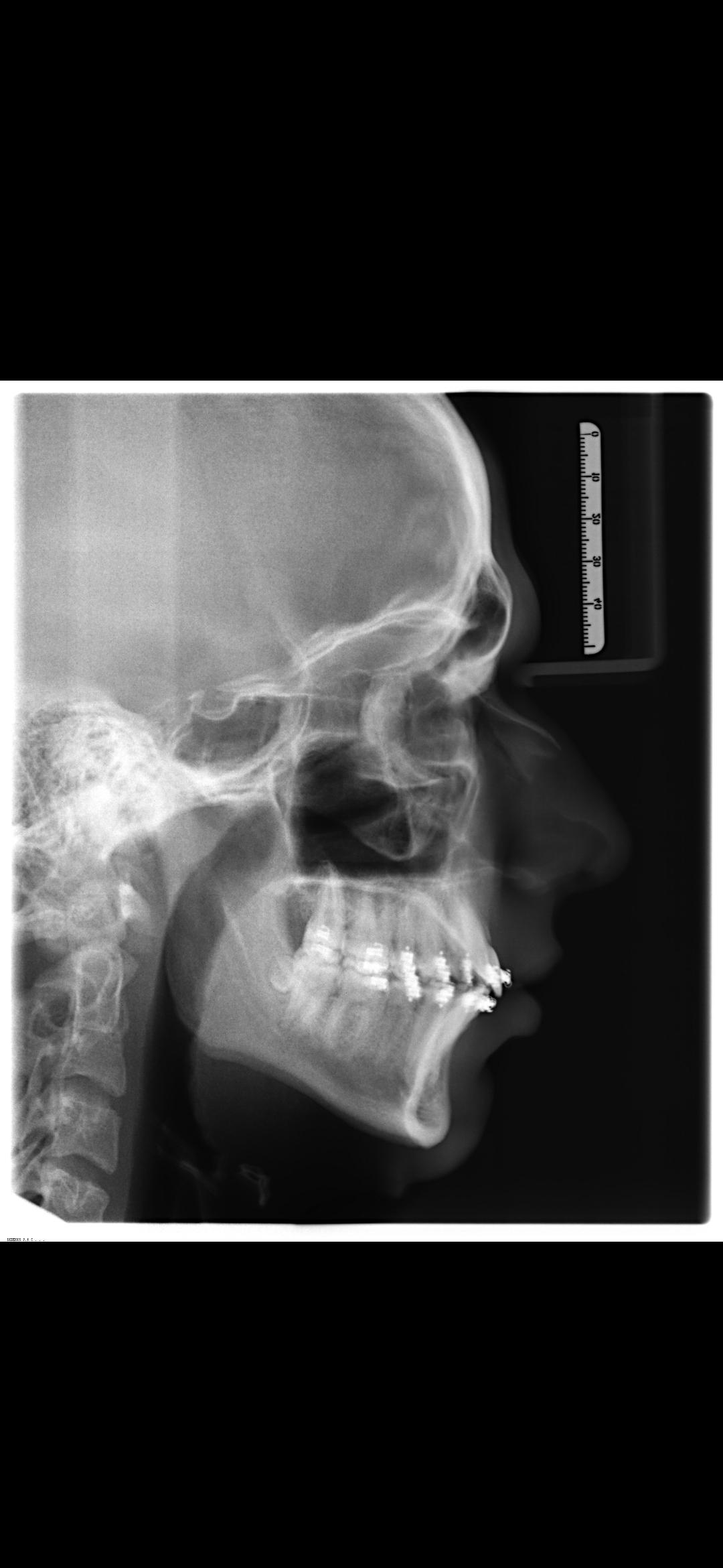
I'm planning my bimax surgery (which i'm getting in about 4 weeks) next week on wednesday. I've already made some plans, can yall tell me what you think of them considering my ceph?
1768158326836
1768158347504

It's in german, but the most important points are understandable (such as rotation and advancement)
 
  • +1
Reactions: bosnian, Rylie, Deleted member 262735 and 2 others
More proof that it will be the greys that will inherit the earth.
 
  • +1
Reactions: Rylie
bump
 
  • +1
Reactions: Rylie
I'm planning my bimax surgery (which i'm getting in about 4 weeks) next week on wednesday. I've already made some plans, can yall tell me what you think of them considering my ceph?
View attachment 4529308 View attachment 4529310
It's in german, but the most important points are understandable (such as rotation and advancement)
Sind das die offiziellen movements oder nur das was du gerne hättest?
 
are you paying for it out of pocket or will you have insurance cover it for sleep apnea
 
  • +1
Reactions: Rylie
are you paying for it out of pocket or will you have insurance cover it for sleep apnea
Look at how wide the airway is, no way insurance is covering it.

Meanwhile I have a narrow airway and sleep apnea and I had to battle 3 fucking orthos to finally see an airway based surgeon in the United States.

All orthodontists who aren’t airway based should be sent to North Korean concentration camps
 
  • +1
Reactions: horsefacin
Look at how wide the airway is, no way insurance is covering it.

Meanwhile I have a narrow airway and sleep apnea and I had to battle 3 fucking orthos to finally see an airway based surgeon in the United States.

All orthodontists who aren’t airway based should be sent to North Korean concentration camps
feel you. bureaucracy is genuinely a bitch man. the waiting hurts so much
 
  • +1
Reactions: Rylie

Similar threads

hopecel271
Replies
4
Views
164
good_king_alex
good_king_alex
MyDreamIsToBe183CM
Replies
12
Views
122
123451
123451
S
Replies
6
Views
70
F0idhater
F0idhater
hopecel271
Replies
40
Views
641
manuel355335
manuel355335
Vass
Replies
3
Views
131
yyk117
yyk117

Users who are viewing this thread

Back
Top