D
Deleted member 16204
Bronze
- Joined
- Nov 26, 2021
- Posts
- 409
- Reputation
- 779
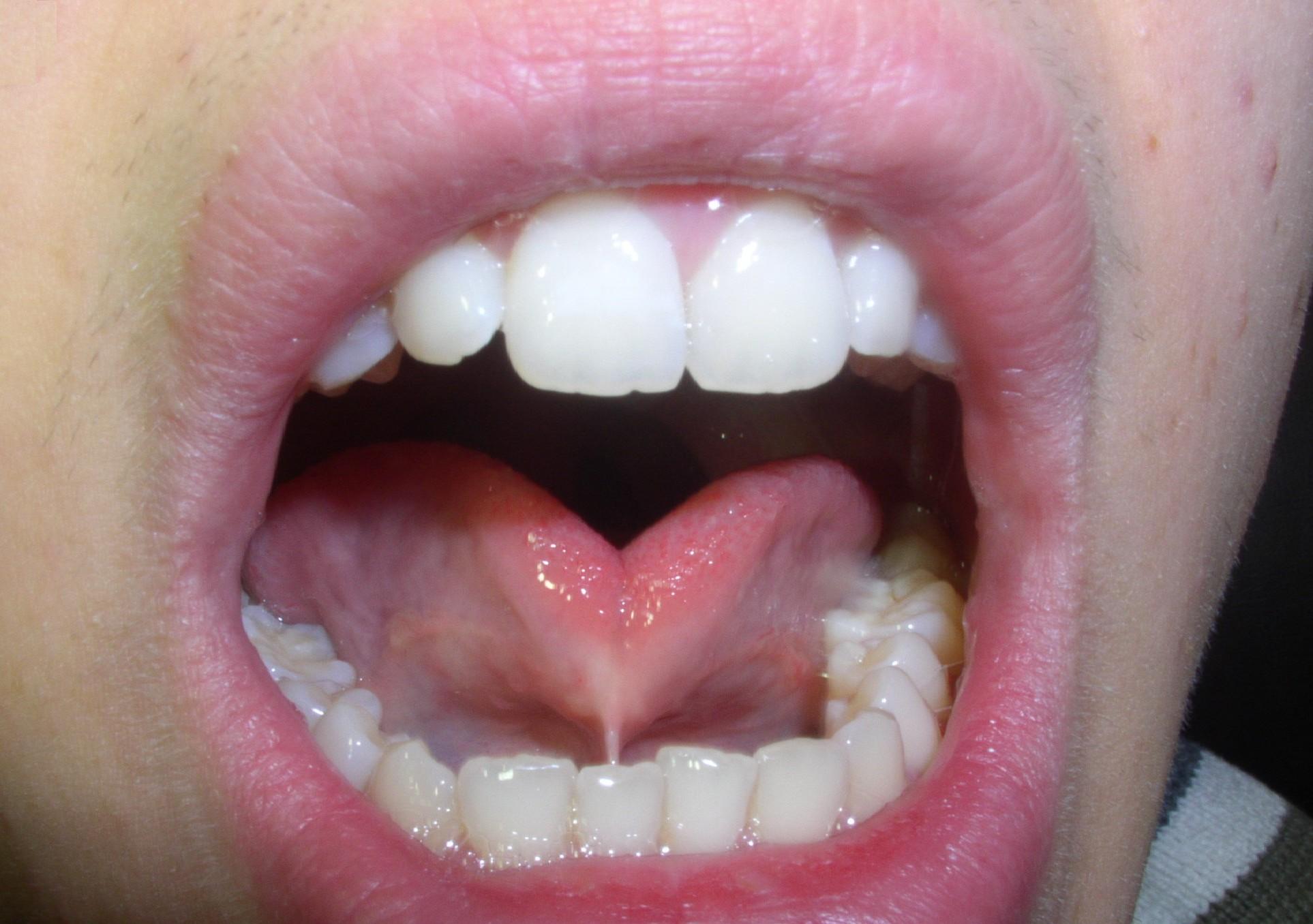
Seriously, having a tongue tie is way worse than occasionally mouthbreathing as a kid. It means that your tongue is literally ANCHORED to the floor lf your mouth, and it's NEVER EVEN GOING TO BE ANATOMICALLY CAPABLE of touching your palate, or doing normal swallowing patterns.
And as you grow, your face is going to FUCKING COLLAPSE.
I had a tongue tie that was so severe I wasn't even able to say certain letter because even the tip of my tongue wasn't able to touch the roof of my mouth, let alone the back part.
And it wasn't before I was 15 when I had a surgery to fix it.
I look drastically different from everyone else in my family. Everyone else has excellent forward growth, I'm a severely recessed subhuman.
I had a tongue tie that was so severe I wasn't even able to say certain letter because even the tip of my tongue wasn't able to touch the roof of my mouth, let alone the back part.
And it wasn't before I was 15 when I had a surgery to fix it.
I look drastically different from everyone else in my family. Everyone else has excellent forward growth, I'm a severely recessed subhuman.