Proof Nasolabial Folds are caused by Deep Canine Fossa and Recessed Cheekbone

V

valhalar

Gold
Joined
Mar 7, 2022
Posts
959
Reputation
1,642
Hey guys. I was wondering why I had a deeper nasolabial fold on one side, and thought perhaps it was just due to my cheekbone being recessed on one side.

A smaller zygo on one side looks to be part of it.

However, it is also caused by a deep canine fossa on one side.

This is the canine fossa:

Phenotypes of the canine fossa at the left and right sides are different indicating


Here are a range of canine fossa, from shallow (left) to deep (right):

2355542 ariability of the canine fossa in current humans From left to right little expanded and


To see if one of my canine fossa were deeper, I took side screenshots of my cone beam CT and overlay them.

Flicking between them I could see the cheekbone was recessed and the canine fossa was deeper on the side with the more visible nasolabial fold:

Ezgifcom gif maker 3


Obviously for many people nasolabial folds are also caused by recessed maxilla. However, many people also have a recessed midface and relatively 'normal' lower maxillas.

This means the "solution" would be to augment the midface. You'd need custom implant/s that fill in the canine fossa, and small custom ones to augment cheekbones in a masculine/conservative way. Depending on the size of the implant, you may be able to do custom infraorbitals which extend down into the midface to fill the canine fossa. However, I know Eppley usually splits the lower midface and the eye area into two different regions and will put the lower implants in through orally, while the infraorbital goes in through the eye.

Some people also claim that shallow canine fossa correspond with cheek hollowing like this:

2355545 a056881cf4454173d5b418ea6b54bcd9


While deep fossa correspond with hollowing like this, however in many people they will just create nasolabial folds:

2355554 3293


These two types of hollowing can also just be the result of lighting, because you see the two types of hollowing on the same model in different photos.

Several factors including cheekbones, canine fossa, and maxilla recession or recessed upper maxilla can cause nasolabial folds.

It seems depth of the canine fossa is a key part of this for many people, particularly those with relatively good lower maxilla but who have nasolabial folds.
 
Last edited:
  • +1
  • Love it
  • Hmm...
Reactions: Deleted member 250823, wretched_paradox, KeepCopingLads and 22 others
No. Not even close. Nasolabial folds are caused by either:

- Recessed lower maxilla
- High mass low set zygos
- Soft tissue sagging due to age
- Recessed nasal base ie. Asians and rhinoplasty alar setback (to raise a droopy tip) patients

Not muh deep canine fossa brah. Usually that would just accentuate your ogee curve even more from what I've seen.
 
Last edited:
  • +1
  • Hmm...
Reactions: AverageCurryEnjoyer, altbones, looks>books and 19 others
No. Not even close. Nasolabial folds are caused by either:

- Recessed lower maxilla
- High mass low set zygos
- Soft tissue sagging due to age
- Recessed nasal base ie. Asians and rhinoplasty alar setback (to raise a droopy tip) patients

Not muh deep canine fossa brah. Usually that would just accentuate your ogee curve even more from what I've seen.
SO? deep canine fossa or SHALLOW canine fossa which is better ????????????????????????????????????
 
  • +1
Reactions: AverageCurryEnjoyer
No. Not even close. Nasolabial folds are caused by either:

- Recessed lower maxilla
- High mass low set zygos
- Soft tissue sagging due to age
- Recessed nasal base ie. Asians and rhinoplasty alar setback (to raise a droopy tip) patients

Not muh deep canine fossa brah. Usually that would just accentuate your ogee curve even more from what I've seen.
You didn’t even read my post lol, this is about nasolabial folds in people with recessed midface, but acceptable lower maxilla. I already listed those reasons in the original post.

A surgeon has also confirmed to me that this is a cause of nasolabial folds. Folds form right above the canine fossa. My scan shows the side with deep fold is the side with deep fossa.
 
Last edited:
SO? deep canine fossa or SHALLOW canine fossa which is better ????????????????????????????????????
It doesn't matter much. It's like a 1-2 mm difference at most. It's barely even noticeable. With the right lighting the guy with shallow canine fossa can look like he had deep canine fossa and vice versa.
 
  • +1
Reactions: Mongrelcel and Deleted member 16371
It doesn't matter much. It's like a 1-2 mm difference at most
that’s not even true. It’s a major cause of nasolabial folds and many users here have established it including @RealSurgerymax.

Many midface implant results show reduction in nasolabial folds. They’re especially useful for those with normal occlusion but weaker midface. You should actually read before coming in and embarrassing yourself.
 
  • +1
Reactions: AscendingHero, Racky, RealSurgerymax and 1 other person
that’s not even true. It’s a major cause of nasolabial folds and many users here have established it including @RealSurgerymax.

Many midface implant results show reduction in nasolabial folds. They’re especially useful for those with normal occlusion but weaker midface. You should actually read before coming in and embarrassing yourself.
Ok? Recessed cheeks can cause nasolabial folds as you age. What does a deep canine fossa have anything to do with it? The only thing canine fossa does is accentuate the lower part of your zygos. If your zygos are hypoplastic then it's not the reason you have nls.
 
  • +1
Reactions: horizontallytall
Ok? Recessed cheeks can cause nasolabial folds as you age. What does a deep canine fossa have anything to do with it? The only thing canine fossa does is accentuate the lower part of your zygos. If your zygos are hypoplastic then it's not the reason you have nls.
The nasolabial fold sits atop the canine fossa, resulting in the tissue sinking into it deepening the fold.

“wHat COuLd iT hAvE tO dO wiTh iT eVeN tHouGh tHe FoLd SitS oN tHe cAninE fOssA”

Lmfao
 
  • +1
  • JFL
Reactions: AscendingHero, Truecel14, Danish_Retard and 1 other person
The nasolabial fold sits atop the canine fossa, resulting in the tissue sinking into it deepening the fold.

“wHat COuLd iT hAvE tO dO wiTh iT eVeN tHouGh tHe FoLd SitS oN tHe cAninE fOssA”

Lmfao
The fold sits in the canine fossa? So how come the guy in that picture along with other Chads with deep canine fossa don't have folds? Meanwhile almost everyone with one of those set of conditions I stated above has nasolabial folds. You just want to blame something aside from your shit collagen or hypoplastic maxilla for your folds.

Moving the cheekbones forward would only deepen the gap. JFL at your foid-level 3D spatial awareness.
 
  • +1
Reactions: horizontallytall and ilovelamp08
The fold sits in the canine fossa? So how come the guy in that picture along with other Chads with deep canine fossa don't have folds? Meanwhile almost everyone with one of those set of conditions I stated above has nasolabial folds. You just want to blame something aside from your shit collagen or hypoplastic maxilla for your folds.

Moving the cheekbones forward would only deepen the gap. JFL at your foid-level 3D spatial awareness.
Because there is varying degrees of fossa depth you clown.

One side of my face has a deep fossa compared to most, but it is still shallower than the other, and there is hardly any fold there. Varying degrees of canine fossa depth can cause nasolabial folds.

You can try and blame my collagen, but that doesn’t really work because I have practically no fold in the other side, and I’ve had the fold on the other since I was a teen.

If anyone has ‘foid’ spatial awareness it is you, because I actually said you’d augment both fossa and cheekbone (largely sideways) which pulls the tissue up further. Again, you’re embarrassing yourself. Autistics like to argue, but at least be correct about it. You’re consistently one of the dumbest posters on here.
 
  • +1
Reactions: It'snotover and Danish_Retard
Because there is varying degrees of fossa depth you clown.

One side of my face has a deep fossa compared to most, but it is still shallower than the other, and there is hardly any fold there. Varying degrees of canine fossa depth can cause nasolabial folds.

You can try and blame my collagen, but that doesn’t really work because I have practically no fold in the other side, and I’ve had the fold on the other since I was a teen.

If anyone has ‘foid’ spatial awareness it is you, because I actually said you’d augment both fossa and cheekbone (largely sideways) which pulls the tissue up further. Again, you’re embarrassing yourself. Autistics like to argue, but at least be correct about it. You’re consistently one of the dumbest posters on here.
Or maybe it's because your entire cheekbone and infraorbital rim is collapsed into your face.

But no, it must be your 1mm further back canine fossa :feelsuhh:.

This is so ironic coming from you. I've seen tons of your posts and it's all your advice is shit and you constantly argue with people when you're clearly wrong.
 
Cope and seethe @LooksOverAll. Actual papers support my argument.
 
Cope and seethe @LooksOverAll. Actual papers support my argument.
Yeah dude, the canine fossa deepens along with every other bone in the face slowly retruding. Not to mention the soft tissue ptosis and collagen loss. But nah, it's definitely the canine fossa brah!

Also that's a massive difference in that pic. Yours is like 1mm deeper than the other. Send a pic. I guarantee it's just overall recession and/or shit collagen/aging and not some autistic landmark causing your fold.
 
  • +1
Reactions: Deleted member 16371 and Mongrelcel
Yours is like 1mm deeper than the other
It isn't. I measured it on my CBCT and one of my fossa is 2.5mm deeper when measured from the nasal spine. That's a very significant distance on the face. And as for you responding to that paper by referring to ageing, the fucking point is that fossa can make nasolabial folds. One of mine is deeper than the other, thus it is reasonable to conclude it is a cause of the fold on one side. Adding to Ignore list.
 
Last edited:
It isn't. I measured it on my CBCT and one of my fossa is 2.5mm deeper when measured from the nasal spine. That's a very significant distance on the face. And as for you responding to that paper by referring to ageing, the fucking point is that fossa can make nasolabial folds. One of mine is deeper than the other, thus it is reasonable to conclude it is a cause of the fold on one side. You are fucking dense. Ignored.
Why are you autistically zero-ing in on your canine fossa and completely ignoring the fact that your entire upper midface is more recessed on that side? There's no way the lower part of it is 2.5 mm deeper at the paranasal area. You are measuring wrong for sure.

Also your canine fossa is exactly the same depth on both sides in the paranasal area if you take your zygo projection differences into account. Again, you're hyperfocusing on 1 landmark for some reason acting as if you found some secret.
 
  • +1
Reactions: Racky and Deleted member 16371
Why are you autistically zero-ing in on your canine fossa and completely ignoring the fact that your entire upper midface is more recessed on that side? There's no way the lower part of it is 2.5 mm deeper at the paranasal area. You are measuring wrong for sure.

Also your canine fossa is exactly the same depth on both sides in the paranasal area if you take your zygo projection differences into account. Again, you're hyperfocusing on 1 landmark for some reason acting as if you found some secret.
If you cannot tell from the title and the original post, I implicated both canine fossa and the cheekbone and midface recession. Instead you jumped in without reading and went UM ACKSHUALLY it's collagen. Either you're stupid as hell or just a troll. Fin.
 
  • +1
Reactions: Racky and Deleted member 16371
I did not say "just get implants in fossa" I said to do full midface implants in fossa, cheekbone and infra area.
 
It makes sense I have slight nasal folds I always thought something was wrong with that area because it gives me this look when I am lean which looks like shit because I'm not gl like this.
2355554_3293-jpg.1683690
 
  • +1
Reactions: valhalar
If you cannot tell from the title and the original post, I implicated both canine fossa and the cheekbone and midface recession. Instead you jumped in without reading and went UM ACKSHUALLY it's collagen. Either you're stupid as hell or just a troll. Fin.
But why even implicate canine fossa at all? Having a recessed cheekbone in combination with a deep canine fossa just means that your entire upper maxilla is recessed. When people refer to canine fossa causing nasolabial folds, they are referring to people with normal (usually high mass) cheekbones and genetically deep canine fossa causing a deep valley in between, which you don't have. You are just straight up recessed and blaming an irrelevant landmark for your issues.

I'm asking for a pic because most people who think their nasolabial folds are caused by some autistic landmark are older guys with dogshit aged collagen who don't want to admit it.

And no, I didn't say "actually it's collagen". I listed a few other reasons as well. Post your pic and I guarantee you fit into one of if not all of those criteria.
 
Last edited:
  • +1
Reactions: Deleted member 16371
Having a recessed cheekbone in combination with a deep canine fossa just means that your entire maxilla is recessed
With respect, in this case it means the upper maxilla is recessed. Your lower maxilla can be acceptable/normal. The best way to augment this is through implants according to Ramieri.

You are just straight up recessed and blaming an irrelevant landmark for your issues
I never blamed an irrelevant landmark. As I already pointed out, this post implicates the cheekbone, the infra and the canine fossa together.

You are just straight up recessed
Do you know what advancing my maxilla would do with a LeFort 1 cut? It would fucking chimp-max me. You don't understand much about jaw surgery at all.

"Straight up recessed"? :ROFLMAO: This is what I look like. My airway size is above average. Please learn the meaning of recessed.

Edit: *Pic redacted*

So recessed bruh. My recession is largely confined to my midface, and it's not even that big of a falio. I just wanted to help people understand where their folds may come from if their lower maxilla is good.
 
Last edited:
No. Not even close. Nasolabial folds are caused by either:

- Recessed lower maxilla
- High mass low set zygos
- Soft tissue sagging due to age
- Recessed nasal base ie. Asians and rhinoplasty alar setback (to raise a droopy tip) patients

Not muh deep canine fossa brah. Usually that would just accentuate your ogee curve even more from what I've seen.
WOuld advancing the maxila logically advance the nasal base and ANS?
 
  • Hmm...
Reactions: Racky
So which Lefort this?
LeFort 1, but they are just variations of it. Types B through E would advance the paranasal area. Type A advances the nasal base but not paranasal.
 
  • +1
Reactions: Racky and AscendingHero
LeFort 1, but they are just variations of it. Types B through E would advance the paranasal area.
Why is it that people who have recessed maxilas have forward projecting noses?

what causes nasal bridge growth btw?
 
Why is it that people who have recessed maxilas have forward projecting noses?

what causes nasal bridge growth btw?
The nose often looks big because the paranasal area is further back. Advancing the paranasal area makes the nose look smaller from the side profile.

As I morphed here, his paranasal area is advanced with a LeFort making his nose look smaller on the face. This even though it actually moved forward/more upturned because the nasal base was also advanced:

Bimax morph
 
  • +1
Reactions: Racky and AscendingHero
The nose often looks big because the paranasal area is further back. Advancing the paranasal area makes the nose look smaller from the side profile.

As I morphed here, his paranasal area is advanced with a LeFort making his nose look smaller on the face. This even though it actually moved forward/more upturned because the nasal base was also advanced:

View attachment 1683793
What about if the nose looks like this+prognathic jaws
1652765244521
Prognathism


How would you go from this to this?
1652765185329
--------------------->
Insane proper craniofacial growth for blacks pill fixing prognathism


@valhalar
 
Last edited:
  • +1
Reactions: Racky
My NF was raised cheek fat that only went away below 12% body fat.
For a long time I thought it's something only fillers could fix.

Food for thought

Even when I was very lean at ~15% they were there, especially on the left side.

99% disappeared at under 12%

If I want to look human, I'll need to stay low body fat for the rest of my life. No slipups
 
  • JFL
  • +1
Reactions: Deleted member 69862 and valhalar
With respect, in this case it means the upper maxilla is recessed. Your lower maxilla can be acceptable/normal. The best way to augment this is through implants according to Ramieri.


I never blamed an irrelevant landmark. As I already pointed out, this post implicates the cheekbone, the infra and the canine fossa together.
Why even implicate the canine fossa at all? It's not relevant.
Do you know what advancing my maxilla would do with a LeFort 1 cut? It would fucking chimp-max me. You don't understand much about jaw surgery at all.

"Straight up recessed"? :ROFLMAO: This is what I look like. My airway size is above average. Please learn the meaning of recessed.
Ok? Your upper maxilla can still be recessed to shit.
Edit: *Pic redacted*

So recessed bruh. My recession is largely confined to my midface, and it's not even that big of a falio. I just wanted to help people understand where their folds may come from if their lower maxilla is good.
Post your pic. muh canine fossa when I guarantee it's because you have the collagen of a 50 year old and a hypoplastic midface.
 
Last edited:
Why even implicate the canine fossa at all? It's not relevant.

Ok? Your upper maxilla can still be recessed to shit.

Post your pic. muh canine fossa when I guarantee it's because you have the collagen of a 50 year old.
His cheekbones are recessed only reason for folds
 
No. Not even close. Nasolabial folds are caused by either:

- Recessed lower maxilla
- High mass low set zygos
- Soft tissue sagging due to age
- Recessed nasal base ie. Asians and rhinoplasty alar setback (to raise a droopy tip) patients

Not muh deep canine fossa brah. Usually that would just accentuate your ogee curve even more from what I've seen.
When my masseter is stronger, my nasolabial folds increase, I noticed this recently
 
When my masseter is stronger, my nasolabial folds increase, I noticed this recently
I've seen your pics. You're a bloated boomer with dogshit collagen. It's not your masseters brah
 
Post your pic. muh canine fossa when I guarantee it's because you have the collagen of a 50 year old and a hypoplastic midface.
some autistic landmark are older guys with dogshit aged collagen who don't want to admit it.
You are just straight up recessed

“you’re recessed”
“you’ve got dog shit collagen”
“your maxilla is straight up recesssed”

My maxilla and jaw positioning is fine, it’s just my upper maxilla, canine fossa and cheekbone which are weaker.

The fact clowns like you scream “YOURE COMPLETELY RECESSED” when I look like this. Nah… I mog you.



Yeah muh Collagen even though I’m in my 20’s and it’s perfectly fine. 🤡
 
“you’re recessed”
“you’ve got dog shit collagen”
“your maxilla is straight up recesssed”

My maxilla and jaw positioning is fine, it’s just my upper maxilla, canine fossa and cheekbone which are weaker.

The fact clowns like you scream “YOURE COMPLETELY RECESSED” when I look like this. Nah… I mog you.



Yeah muh Collagen even though I’m in my 20’s and it’s perfectly fine. 🤡

JFL I knew it. You have nasolabial folds because you have feminine low set cheekbones.

muh canine fossa brah!
 
JFL I knew it. You have nasolabial folds because you have feminine low set cheekbones.

muh canine fossa brah!
That’s really not an argument given I wrote that in my original post, combo of fossa and cheekbone.

You also edited your post to remove your comment about collagen.

And lol you also never implicated ‘low set cheekbones’ you tried to say my maxilla was completely recessed.
 
Last edited:
Ok this makes sense now, not gonna engage

 
That’s really not an argument given I wrote that in my original post, combo of fossa and cheekbone.

You also edited your post to remove your comment about collagen.

And lol you also never implicated ‘low set cheekbones’ you tried to say my maxilla was completely recessed.
It's not the fossa at all. It's your low set feminine cheekbones. Why even implicate the fossa at all? It's irrelevant in your case. Your cheeks aren't recessed. You would look like Bogdanoff with midface implants.

You're clearly aging and your collagen is getting worse, but I removed it because it wasn't related to my point.
 
Ok this makes sense now, not gonna engage

Nice lol. I've consistently seen you get absolutely destroyed in arguments with your dogshit theories and disinformation while you continue to pursue it despite being wrong. I guess I win here.
 
It's not the fossa at all. It's your low set feminine cheekbones. Why even implicate the fossa at all? It's irrelevant in your case. Your cheeks aren't recessed. You would look like Bogdanoff with midface implants.

You're clearly aging and your collagen is getting worse, but I removed it because it wasn't related to my point.
No, you’re a deluded troll.

Johnny Depp had cheekbones at the same height and no folds because his upper maxilla/midface where fossa and surrounding bone is not recessed. The projection of my lower maxilla against the recession of the upper maxilla causes a fold on one side.

Okay you’re actually going on the ignore list cause you’re just dumb.
 
Last edited:
No, you’re a deluded troll.

Johnny Depp had cheekbones at the same height and no folds because his upper maxilla/midface where fossa and surrounding bone is wasn’t recessed. The projection of my lower maxilla against the recession of the upper maxilla causes a fold.

Okay you’re actually going on the ignore list cause you’re just dumb.
Johnny Depp does have folds that are way deeper than they should be given how forward grown he is:

6908096


You are nowhere near as forward grown as him. You have the same cheekbones as the average female aka low set high mass causing your deep folds as you started to age:

360 F 223734253 0w0fwYRLW5V0pEgudp4hMHLZOKWsY4gO



Good luck looking like the long lost bodanoff triplet after you get implants for a problem you were shilled into thinking you have.
 
Good luck looking like the long lost bodanoff triplet after you get implants for a problem you were shilled into thinking you have.
Getting implants on one side so it matches the side without a fold is not going to make me look like bogdanoff. You’re straight retarded 😭🤣
 
Getting implants on one side so it matches the side without a fold is not going to make me look like bogdanoff. You’re straight retarded 😭🤣
Yeah dude, get 1mm implant for $20k bro for 0 PSL increase that isn't fixing the real issue:soy:. Imagine having a surgeon convince you to get an implant for something that clearly just needs fillers (just like every plastic surgeon does for low-cheekbone'd foids with soft tissue ptosis from aging causing folds).
 
I always had nasolabial folds, my maxilla is not recessed; one time I did high cheekbones filler to try and these subhuman ugly folds DISAPPEARED

So I m sure it has something to do with zygomatics (in some cases at least)
 
  • +1
Reactions: valhalar and Deleted member 17244
I always had nasolabial folds, my maxilla is not recessed; one time I did high cheekbones filler to try and these subhuman ugly folds DISAPPEARED

So I m sure it has something to do with zygomatics (in some cases at least)
Also, I know lots of people with noso fold and they arent recessed. Shit thread
 
  • +1
Reactions: It'snotover and Scorpioned
so what would be the implant design for this?
 
Also, I know lots of people with noso fold and they arent recessed. Shit thread

Most people here use the word "recessed" to refer to a recessed lower maxilla. You can have a normal lower maxilla and a recessed upper maxilla with deeper canine fossa and weaker paranasal area resulting in nasolabial folds. @LooksOverAll and @Scorpioned.

Since you cannot advance jaws when they are well projected, the solution is to augment the midface.

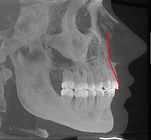
This is what midface/upper maxillary recession looks like on a scan:

Rece


The maxillary region above the white line is technically under projected and set back compared to the teeth/lower maxilla. This results in a low angle between upper maxilla and lower maxilla (red lines above).

Now if the upper maxilla, paranasal and canine fossa were not recessed, the angle between upper maxilla and lower maxilla is made much smaller (red lines below). Facial tissue will run harmoniously between the midface and the lips.

Bbhj


Folds are far less likely to occur in those with well projected mid faces. This is a big reason people who are not "recessed" can have nasolabial folds... they have some degree of recession in the paranasal and midface area compared to the lower maxilla. Dr Ramieri has also spoken about this and how bimax is not a solution for this.
 
  • +1
  • Love it
Reactions: greywind, tyronelite, joseph and 4 others
Most people here use the word "recessed" to refer to a recessed lower maxilla. You can have a normal lower maxilla and a recessed upper maxilla with deeper canine fossa and weaker paranasal area resulting in nasolabial folds. @LooksOverAll and @Scorpioned.

Since you cannot advance jaws when they are well projected, the solution is to augment the midface.

This is what midface/upper maxillary recession looks like on a scan:

View attachment 1684958

The maxillary region above the white line is technically under projected and set back compared to the teeth/lower maxilla. This results in a low angle between upper maxilla and lower maxilla (red lines above).

Now if the upper maxilla, paranasal and canine fossa were not recessed, the angle between upper maxilla and lower maxilla is made much smaller (red lines below). Facial tissue will run harmoniously between the midface and the lips.

View attachment 1684961

Folds are far less likely to occur in those with well projected mid faces. This is a big reason people who are not "recessed" can have nasolabial folds... they have some degree of recession in the paranasal and midface area compared to the lower maxilla. Dr Ramieri has also spoken about this and how bimax is not a solution for this.
so what's a solution to fix this? Tho I see many chadlites with nosolable folds, I think what you've said is irrelevant to being gl
 

Similar threads

IcePretty
Replies
18
Views
265
IcePretty
IcePretty
layovv
Replies
12
Views
842
ForsakenDestiny
ForsakenDestiny
TomoIsLearning
Replies
2
Views
128
TomoIsLearning
TomoIsLearning
4lexx_skiral
Replies
51
Views
1K
4lexx_skiral
4lexx_skiral

Users who are viewing this thread

Back
Top