Ram/braces

Look how the spark in her eyes vanished…

Premolars destroy your youthful appearance and in the long run your health.

It’s just sad at this point. Sad that this knowledge isn’t mainstream.
Bro what hahaha :ROFLMAO::ROFLMAO:
 
interesting but at the same time retarded takes... ur kinda like the org goatis
Imagine calling someone retarded because you can’t understand the mechanism of it, intellectual!

When teeth are extracted and the alveolar bone resorbs, the maxilla and midface lose structurl support. This causes the overlying soft tissues (mostly cheeks and eyelids) to descend and retract slightly. It leads to displacement of the overlying soft tissues, resulting in greater lower- and upper eyelid exposure.

Unfortunately your too dumb to understand.

My guess? You’re autistic so it’s hard for you to look people in the eyes, therefore you’re not able to analyse.
 
Last edited:
You have admitted that you’re bipolar, I can’t take your opinion on things serious.

By this time you just type shit. No substance anymore.
I mean i see you talk shit about, leforte segmental, fme, mse, orthodontics, jaw surgery. Whats left, mewing and thump pulling? Maybe stretching
 
  • +1
Reactions: Nahorscend
I mean i see you talk shit about, leforte segmental, fme, mse, orthodontics, jaw surgery. Whats left, mewing and thump pulling? Maybe stretching
You’re an expert at generalising things I say. As I said at this point you just type shit😂

No substance.
 
interesting but at the same time retarded takes... ur kinda like the org goatis
I mean he is kinds give up and rope type of person, dont do mse, fme, leforte, bsso. Orthodontics is bad, basically he is saying be born perfect or rope. At best do massai jumps, thumb pulling and mewing at adult age
 
  • +1
Reactions: nishka and Nahorscend
I mean he is kinds give up and rope type of person, dont do mse, fme, leforte, bsso. Orthodontics is bad, basically he is saying be born perfect or rope. At best do massai jumps, thumb pulling and mewing at adult age
What have you gained after your surgery😂

Please tell me. You won’t get any vagina because you’re autistic and bipolar, your job alternatives won’t increase cause your autistic and bipolar. So for the love of god, why do you do it? To impress people in this forum? Trie to appreciate the life more and stop with this shit.

Listen to what I’m saying instead of arguing for the sake of arguing. You think you know it all cause you’ve done a little bit of research about jaw surgery. You’ve consulted with one jaw surgeon(Ramieri, you said it yourself).

I’ve read books about the tongue, have consulted with over 50 different experts, read Paul Cocenacig book “6ways to design a face”(which btw has a lot of error, he is a complete fool), seen cases you haven’t.

What I’m trying to say is that I’m in a much more nuanced position than you, yet you think you know it all because your bipolar and autistic.

To be honest I hope everything goes well for you. A bit too harshly worded text.

Doesn’t change the fact that it’s true. Trie to live in the moment, tomorrow are never promised.

It might sound cliché, but it’s true.
 
Last edited:
  • +1
Reactions: lurking truecel
Peak ignorance, laughing at what you can’t comprehend.

That’s actually funny lmao.
No the spark in her eyes :cry: … it’s gone now :feelscry:
 
  • +1
Reactions: Nahorscend
Her eyes are less attractive.
IMG 5802

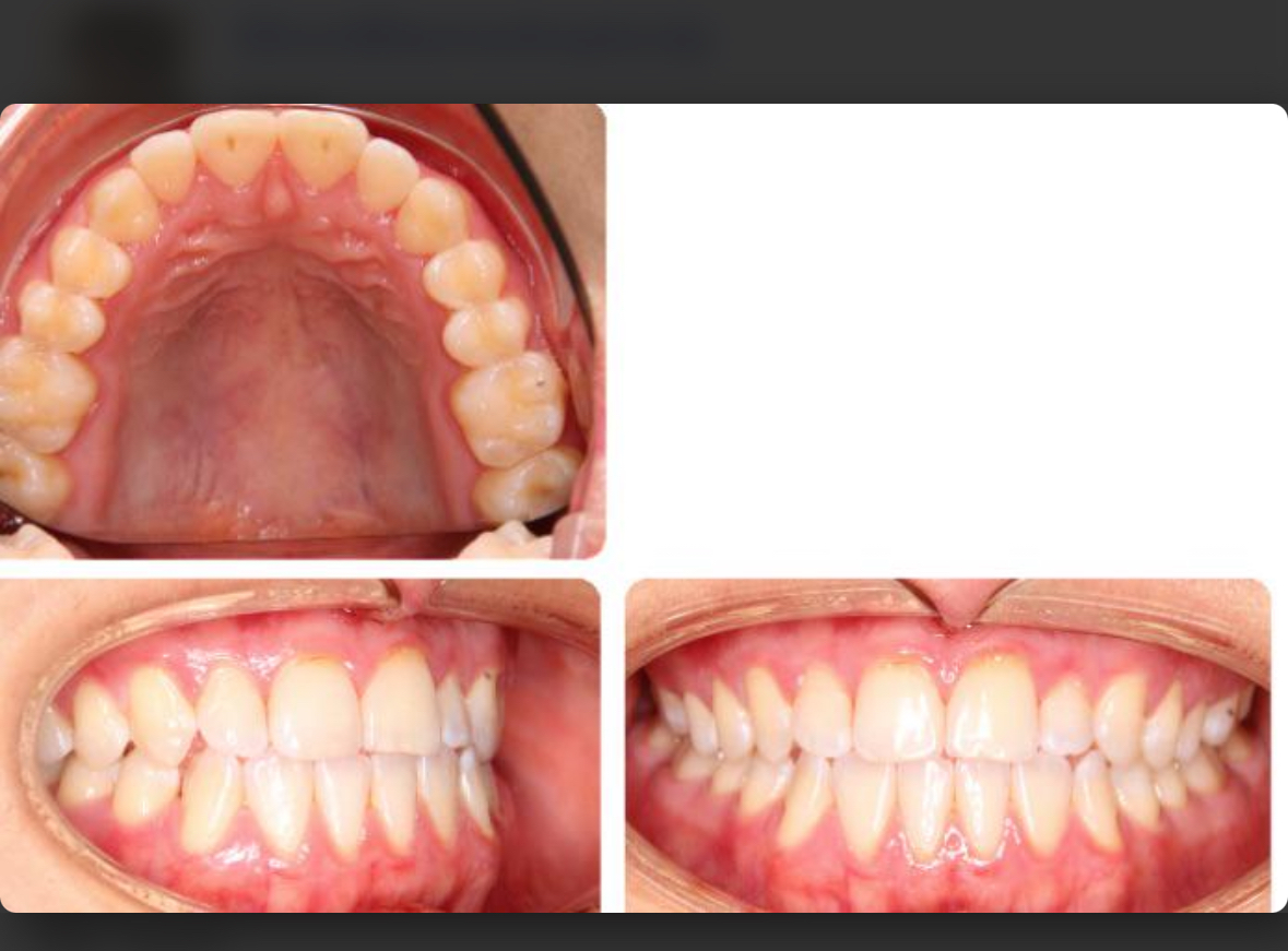
This is the guys teeth this can be decomposition without extractions he’s just rushing and going to a shit ortho
 
View attachment 4678098
This is the guys teeth this can be decomposition without extractions he’s just rushing and going to a shit ortho
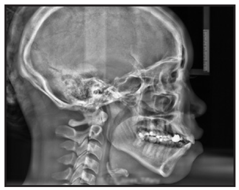
This is kinda doxxing and decomp doesnt work that way, he is class 3 and his teeth doesnt sit right on his bone if you look at the scans they are tilted from the nasal base and then to the lower jaw. But obv its not possible to tilt them so he actually can move maxilla without peoclined teeth so he will look like a ape post op. Thats also the reason why looking at this pics from below when the bone above is too short either way

Its like this(pic below), wow the front teeth is infront but obv the teeth is proclined so he looks like a ape. This dude also needs extractions, because there will be no room for to reverse the proclined teeth otherwise. And having this proclined teeth is not good for longevity either way
1771682237855
 
Last edited:
  • +1
Reactions: Nahorscend

Similar threads

oribulator
Replies
2
Views
97
lahari
lahari
GREENFL
Replies
0
Views
32
GREENFL
GREENFL
layovv
Replies
11
Views
664
NeedUndereyeSupport
N
yussimania
Replies
13
Views
487
AlphaLooksmaxxer666
AlphaLooksmaxxer666
Adee
Replies
13
Views
419
geenk worg
geenk worg

Users who are viewing this thread

Back
Top