Reverse pull headgear for narrow palate

A

aranjay

Iron
Joined
Jul 18, 2024
Posts
2
Reputation
1
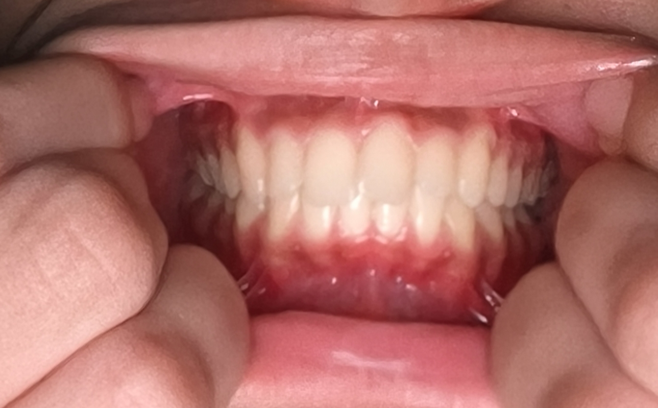
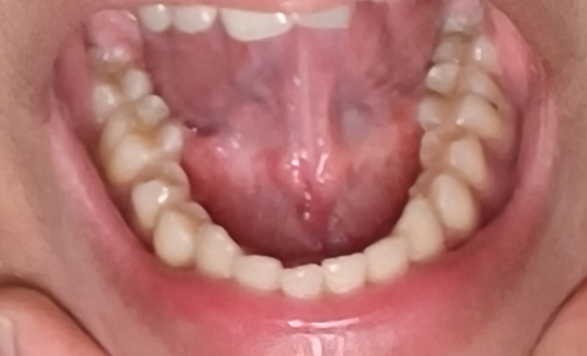
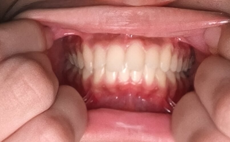
Just turned 18 (male). I have an obviously narrow palate and an overbite.
Wanted to ask if a reverse pull headgear would be able to fix this.
 

Attachments

  • IMG_20251223_172246.jpg
    IMG_20251223_172246.jpg
    173.9 KB · Views: 0
  • IMG_20251223_172303.jpg
    IMG_20251223_172303.jpg
    175 KB · Views: 0
  • IMG_20251223_172442.jpg
    IMG_20251223_172442.jpg
    384.6 KB · Views: 0
Just turned 18 (male). I have an obviously narrow palate and an overbite.
Wanted to ask if a reverse pull headgear would be able to fix this.
Just get MARPE or MSE
 
  • +1
Reactions: Micrognathic
Go to an orthodontist lmao you obviously need braces and other stuff that theyre specialized in
 
I was thinking MSE + headgear will do. I'll get braces after to get the gap fixed
Yeah go for it my nigga, consult with ur dentist/orthodontist tho
 

Similar threads

i.blame.zeta
Replies
5
Views
85
i.blame.zeta
i.blame.zeta
KngNrdy99
  • Question
Looksmaxxing Need genuine advice
Replies
1
Views
65
slavvicularr
slavvicularr
ribbonsharkie
Replies
0
Views
76
ribbonsharkie
ribbonsharkie
C
Replies
4
Views
219
Ascensionjourneywo
Ascensionjourneywo

Users who are viewing this thread

Back
Top