Should I remove my wisdom teeth?

6’1Chink

6’1Chink

Bronze
Joined
May 2, 2020
Posts
456
Reputation
395
Title,
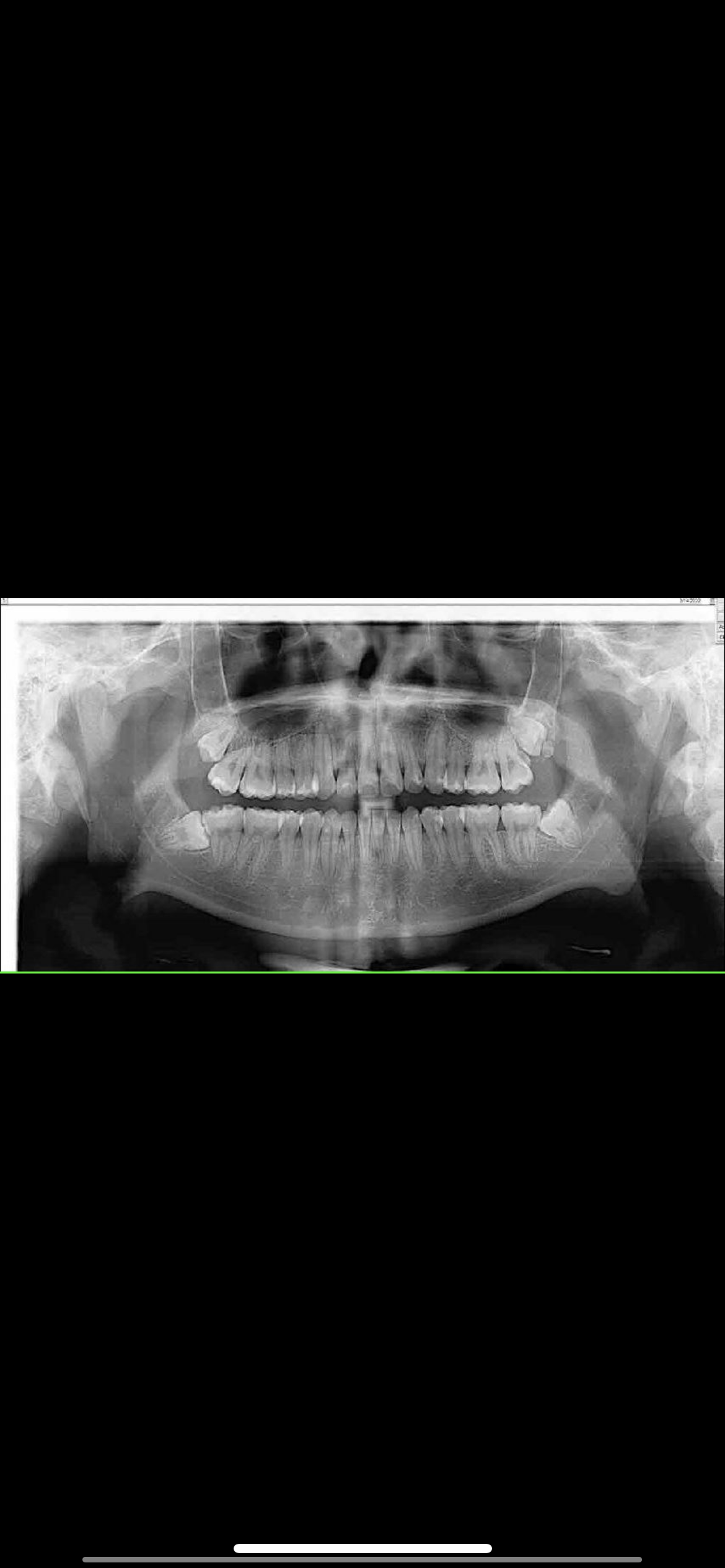
This what they look like
1BAB2605 5245 4A77 BDFD 5F90CF5D384B
97CDDDCD 7275 45D3 BFFB 329660EEE158
 
no, you need palate expansion to make room for those teeth
 
No you shouldn't. Your face will recess bc there isn't any bone supporting it. The 3rd molar is the biggest out of all the teeth and it's nothing short of stupid. You'll lose facial depth, a very attractive thing, and you can develop sleep apnea bc of that.
 
  • +1
Reactions: IhateDentists and thereallegend
No you shouldn't. Your face will recess bc there isn't any bone supporting it. The 3rd molar is the biggest out of all the teeth and it's nothing short of stupid. You'll lose facial depth, a very attractive thing, and you can develop sleep apnea bc of that.
which teeths are bad to remove?
 
which teeths are bad to remove?
all teeth are bad to remove. you'll shrink your airway which will lower the amount of oxygen and your face will become recessed
 
  • +1
Reactions: IhateDentists and Detective
all teeth are bad to remove. you'll shrink your airway which will lower the amount of oxygen and your face will become recessed
i lost my 1 teeth before puberty but my face good. should i worry ?
 
You will lose your wisdom
 

Similar threads

E
Replies
6
Views
182
GeneticDetermenism
GeneticDetermenism
FoidRepellant49
Replies
2
Views
99
FoidRepellant49
FoidRepellant49
IronStapler
Replies
8
Views
193
aids
aids
Yababa
Replies
6
Views
149
correction
correction

Users who are viewing this thread

Back
Top