Smile and teeth tips

BlueBird

BlueBird

Iron
Joined
Jun 29, 2025
Posts
25
Reputation
6
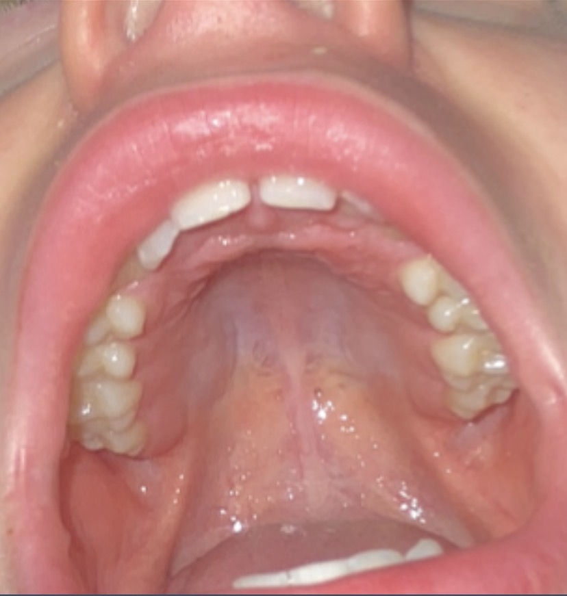
Have an ortho visit soon. Any advice before hand on what I need to get fixed, I have a cross bite and crooked teeth. Your not medical professionals but do you have advice if I should do orthtropics or dontics
IMG 0954
IMG 0955
 
nigga stop munching on rocks
 
  • JFL
Reactions: orbitro

Similar threads

JmenLaid
Replies
6
Views
117
JmenLaid
JmenLaid
E
Replies
1
Views
94
akaorigin
akaorigin
J
Replies
11
Views
153
subhumanchinkcel
subhumanchinkcel
themadman
Replies
12
Views
116
neuro.fb
neuro.fb
nathan_Bs123
Replies
22
Views
125
nathan_Bs123
nathan_Bs123

Users who are viewing this thread

Back
Top