unon
Kindness (going afk)
- Joined
- Apr 25, 2025
- Posts
- 5,125
- Reputation
- 9,307
151
Follow along with the video below to see how to install our site as a web app on your home screen.
Note: this_feature_currently_requires_accessing_site_using_safari
NGL I didn’t read thread before making my quick comment. My father doesn’t use BoneXpert or an AI software, he does it manually when he needs to (rarely..). A physician estimate is slightly worse than the AI BoneXpert estimation on average off the top of my head but working together they’re more accurate w/ 2 estimation points.They don't bother because your father has access to tech which automatically assesses bone age (BoneXpert) if they need to
we can't get access to that kinda tech and quite frankly it wouldn't be worth paying the 300$+ license fee
but bone age assessment is normal in radiology, it's just quicker than this
Understandable, I'm surprised he still does it manually!NGL I didn’t read thread before making my quick comment. My father doesn’t use BoneXpert or an AI software, he does it manually when he needs to (rarely..). A physician estimate is slightly worse than the AI BoneXpert estimation on average off the top of my head but working together they’re more accurate w/ 2 estimation points.
Absolutely, you won't get this stuff from a radiologist because they usually check on your growth when you're really young to make sure you don't have deficiencies, but in the context of looksmaxing this sort of information can help (not be the reason) teenagers blast growth hormones for yearsI’d be hesitant to call this normal. For what I’m aware, this info only applies to kids / pediatricians working with kids w/ relatively older bone age than real age and vice versa, along with/ kids who have actual growth problems. Yes the info is used but the vast majority of people w/o observable growth problems don’t bother using ts.
yup, reasonable aswellIt should become more useful in the future as parents start optimizing their children’s growth.
For anyone wondering, it is possible to slow down accelerated bone age (and therefore prolong growth) and vice versa using hormonal methods. I don’t think about this often tho cuz I’m 18 alr.
thank you & thanks for the insight!Good thread
Do u have data on age of closure for those plates, thats more what im looking forUnfortunately I can't edit the post now, but its really unlikely that your femur & tibia plates are fused and your knees aren't, so I'd still use your knee xray over most things
do you want me to go fetch a few pics and explain both femur & tibia plates to you though?
I'm out right now but sure I can try finding some for you once I'm backDo u have data on age of closure for those plates, thats more what im looking for
Thanks!Mirin the tag
and mirin the Guide bhai <3
won't do anything except give you brain damagegot a knee scan 2 months ago and my femur and tibia are partially fused at 18, should I spam AI?
by the way, if your knee plates are fused its very likely your wrists have aswell, spamming AI won't reopen ur platesgot a knee scan 2 months ago and my femur and tibia are partially fused at 18, should I spam AI?
Removing you from BWCF dirty niggerEh shit thread
Nigga I'm the ownerRemoving you from BWCF dirty nigger
I mean they aren’t exactly partially fused like the images you presented, they are a bit open. There’s a decent sized crack and not almost slim shut like those photos.by the way, if your knee plates are fused its very likely your wrists have aswell, spamming AI won't reopen ur plates
what letter would you assign them? do you have the pics on you? cause that would helpI mean they aren’t exactly partially fused like the images you presented, they are a bit open. There’s a decent sized crack and not almost slim shut like those photos.
don’t have the pics sadly the scan was in september but I’d rate it D-E.what letter would you assign them? do you have the pics on you? cause that would help
D-E is still extremely open and you've got plenty of growth left loldon’t have the pics sadly the scan was in september but I’d rate it D-E.
you reckon I got time or is it over
Thank GOD, imma get a scan in like a couple weeks I’ll upload them. If I don’t hit 6’ I’ll be the only mf from my dads bloodline to not be 6footD-E is still extremely open and you've got plenty of growth left lol


You are 15 y.o. kid. Even though my bone age is 17, I've grown 10 cm.
I even have a real X-ray. I went to the doctor when I was around 15.5, and he said I couldn't grow. I was somewhere between 1.70 and 72, but now I'm 1.78 and 79. On top of that, my tibia and fibula were completely fused
![]()
The doctor said I'd stopped growing, so I've grown 8-9 cm.![]()
The tibia is the bone that supports the femur, so whether the tibia is fused or doesn't matter; Your spine and ankles will continue to grow. Therefore, if your bone age is kept up and the plates in your vertebrae are open, you will grow taller.
Aromasin is not ridiculous, if taken in a controlled manner, and in some rare cases, bone age and plaque aperture may not match, it is not impossible.
Yes, bone age is cope. The bone age of gigantism patients reaches 18-19 at age 16, which we can't call fusion. Actual epiphyseal closure occurs with the maturation of chondrocytes within the bones. In other words, bone age is used in forensic cases to identify unidentified individuals, and there's no definitive or clear evidence that it can be used to predict future height. In fact, there can be a discrepancy of up to 1.5 years.
Hand plates are the earliest plates to close after ankle plates, meaning they can last for another 1-2 years.
X-rays will never be as reliable as MRIs, and there may be as little as 20% difference between MRI scans and millimetric calculations on X-rays.
Deleted member 114712's xray and story makes little to no senseis bone age cope? @geloo @maarda @Orka
These posts I quoted may seem a bit ridiculous to you, please forgive me. Please translate them from Turkish to English and read them:
![]()
Yagmuru firsat bilen kadinlarin +13 cm topuklu bot giymesi hakkinda
Yagmur ayagi bot ayagi boy ayagi got ayagi Dogida bukadar fraudlsmiyor orospu cocuuuu 13 cm ne Neyse boyuma ulastiniz ezik karilar afferim de benim bonre age 16.5 hghmide aliyom her aksam daha 5 cm uzicam cok kasmayin alttan bakmaya devamlooksmax.org
![]()
Yagmuru firsat bilen kadinlarin +13 cm topuklu bot giymesi hakkinda
Anladık amk kemik yaşı cope cope diyon kemik yaşı ananımı sikti öyle kemik yaşı diye saydırıyon Kemik yaşı travmam doktor bana uzamazsın dediğinde pcnin psusuna su dökük üstüne oturmuştum patlamayı beklemiştimlooksmax.org
![]()
Yagmuru firsat bilen kadinlarin +13 cm topuklu bot giymesi hakkinda
Anladık amk kemik yaşı cope cope diyon kemik yaşı ananımı sikti öyle kemik yaşı diye saydırıyon Kemik yaşı travmam doktor bana uzamazsın dediğinde pcnin psusuna su dökük üstüne oturmuştum patlamayı beklemiştimlooksmax.org
![]()
Yagmuru firsat bilen kadinlarin +13 cm topuklu bot giymesi hakkinda
Anladık amk kemik yaşı cope cope diyon kemik yaşı ananımı sikti öyle kemik yaşı diye saydırıyon Kemik yaşı travmam doktor bana uzamazsın dediğinde pcnin psusuna su dökük üstüne oturmuştum patlamayı beklemiştimlooksmax.org
![]()
![]()
Kemik yaşının cope olması
Evet kemik yaşı copedir. Gigantismli hastaların kemik yaşı 16 yaşındayken 18-19 a ulaşır ki buna füzyon diyemeyiz. Esas epifiz kapanması kemiklerin içindeki kondrositlerin olgunlaşmasıyla olur. Yani kemik yaşı adli vakalarda kimliği belirsiz kişilerin kimliğini belirlemek için kullanılan bir...looksmax.org
![]()
el plakları 3 aya gg
el plakları gitti diz ve omurgadan boy atmayı umacağım muhtemelen el plaklarının kapanmasına 3 4 ay kaldılooksmax.org
![]()
el plakları 3 aya gg
el plakları gitti diz ve omurgadan boy atmayı umacağım muhtemelen el plaklarının kapanmasına 3 4 ay kaldılooksmax.org
Correction* I also don't believe he grew 8-9cm, that's ridiculous, his plates aren't fused, but aren't open enough to grow that muchDeleted member 114712's xray and story makes little to no sense
![]()
I don't think a doctor would look at this and say that growth is impossible for a 15.5 year old, so that makes me not believe his claim about seeing a doctor to begin with since his plates look open.
bi tek benim dediklerime doğru demiş ve mr xray farkına laf etmemis amkDeleted member 114712's xray and story makes little to no sense
View attachment 4323306
I don't think a doctor would look at this and say that growth is impossible for a 15.5 year old, so that makes me not believe his claim about seeing a doctor to begin with since his plates look open.
The claim "Hand plates are the earliest plates to close after ankle plates, meaning they can last for another 1-2 years." is also in a way true, but I wouldn't say they last for 1-2 years, closer to 6-9 months (in that time you can't grow more than 2cm realistically)
but yes, getting knee xrays to determine your growth plate closure is a better option than a wrist xray, but its just a lot simpler to actually go ahead and get an xray of your wrists
"Yes, bone age is cope. The bone age of gigantism patients reaches 18-19 at age 16, which we can't call fusion. Actual epiphyseal closure occurs with the maturation of chondrocytes within the bones. In other words, bone age is used in forensic cases to identify unidentified individuals, and there's no definitive or clear evidence that it can be used to predict future height. In fact, there can be a discrepancy of up to 1.5 years."
uh, mixed opinions on this one.
I don't think its a valid way of perfectly predicting height, but rather a visual to see if you can expect a growth spurt or not, and to see how your development has gone, but due to the normal margins of error using the method I sent in this thread, and even using software like BoneXpert, its very hard to predict height.
I would say doctors/radiologist's height predictions are accurate based on what they can see in xrays, but a 1-3cm error of margin is 100% understandable and should be considered
"The tibia is the bone that supports the femur, so whether the tibia is fused or doesn't matter; Your spine and ankles will continue to grow. Therefore, if your bone age is kept up and the plates in your vertebrae are open, you will grow taller. "
This makes sense in theory but in reality doesn't apply, if your knees plates are fused then the chances of your spine and ankles somehow NOT being fused is very low / none, and even if they are not fused, they're 100% near fusion, meaning again, no significant height growth
So as a summary, bone age is not cope, I believe that its an accurate way to track how you've developed, and I also completely do not believe Deleted member 114712's story.
Deleted member 114712's xray and story makes little to no sense
View attachment 4323306
I don't think a doctor would look at this and say that growth is impossible for a 15.5 year old, so that makes me not believe his claim about seeing a doctor to begin with since his plates look open.
The claim "Hand plates are the earliest plates to close after ankle plates, meaning they can last for another 1-2 years." is also in a way true, but I wouldn't say they last for 1-2 years, closer to 6-9 months (in that time you can't grow more than 2cm realistically)
but yes, getting knee xrays to determine your growth plate closure is a better option than a wrist xray, but its just a lot simpler to actually go ahead and get an xray of your wrists
"Yes, bone age is cope. The bone age of gigantism patients reaches 18-19 at age 16, which we can't call fusion. Actual epiphyseal closure occurs with the maturation of chondrocytes within the bones. In other words, bone age is used in forensic cases to identify unidentified individuals, and there's no definitive or clear evidence that it can be used to predict future height. In fact, there can be a discrepancy of up to 1.5 years."
uh, mixed opinions on this one.
I don't think its a valid way of perfectly predicting height, but rather a visual to see if you can expect a growth spurt or not, and to see how your development has gone, but due to the normal margins of error using the method I sent in this thread, and even using software like BoneXpert, its very hard to predict height.
I would say doctors/radiologist's height predictions are accurate based on what they can see in xrays, but a 1-3cm error of margin is 100% understandable and should be considered
"The tibia is the bone that supports the femur, so whether the tibia is fused or doesn't matter; Your spine and ankles will continue to grow. Therefore, if your bone age is kept up and the plates in your vertebrae are open, you will grow taller. "
This makes sense in theory but in reality doesn't apply, if your knees plates are fused then the chances of your spine and ankles somehow NOT being fused is very low / none, and even if they are not fused, they're 100% near fusion, meaning again, no significant height growth
So as a summary, bone age is not cope, I believe that its an accurate way to track how you've developed, and I also completely do not believe Deleted member 114712's story.
I am grateful for the detailed explanation of all the posts I quoted, I thank you wholeheartedly.Correction* I also don't believe he grew 8-9cm, that's ridiculous, his plates aren't fused, but aren't open enough to grow that much
He is claiming that the entire system of determining if your plates are open or not are flawed because of a case which he claimed to have experienced, which is unrealistic
But it still depends on genetics. There was a thread on the forum about a person with a bone age of 17-18 who grew 7cm. If I find it, I'll post it here.
no idea what this meansbi tek benim dediklerime doğru demiş ve mr xray farkına laf etmemis amk@Duck Eats Bagel
npI am grateful for the detailed explanation of all the posts I quoted, I thank you wholeheartedly.
@maarda
https://looksmax.org/threads/arkada...ha-boy-plagi-acik-kalir.1452290/post-20953164
nvm just telling somethin to my friendno idea what this means
Why isn’t this botb yet.The Radiology behind Facial Development & Bodily Growth Indicators
By @Orka
I've seen at least 50 questions asking if somebody's growth plates are still open or not, or to estimate their bone age,so to make it easy, here's how you can answer your own questions!
Table Of Contents (easiest to hardest)
1. What are growth plates & how to determine their status
- What are growth plates?
- Analysis of your wrist’s growth plate
- Analysis of your knee’s growth plate
2. Facial Growth Centers & Sutures
- Midpalatal Suture
- Aesthetic Relevance of Sutures in your face
- Nasal Septal Cartilage
3. How to estimate bone age
- An Introduction to TW3-RUS
- Where to look & how to determine sizes [ Custom reference sheets ]
- Process walkthrough & conclusion
1. What are growth plates & how to determine their status
A growth plate (or an Epiphyseal plate) is a region of cartilage near the ends of long bones in children and adolescents where new bone tissue is created, causing the bone to grow in length and width.
This process continues until adolescence, when the growth plates harden into solid bone, a process called "closing" or “fusing”.
Male growth plates tend to fuse at around 16-19, once your plates have fused/closed, they will not grow any longer or wider.
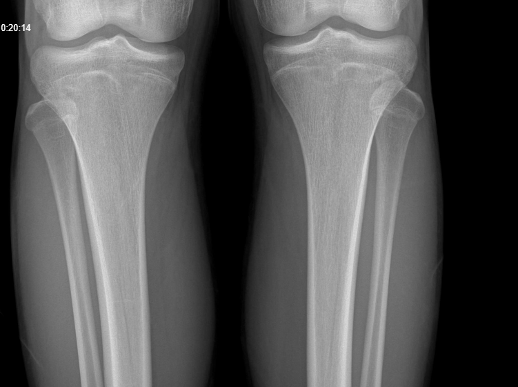
Now, to find out if your growth plates are fused or not, we’re going to look at your wrist & knees for your height, and at your clavicles for your frame.
View attachment 4297716
Above I've added 3 figures, from open ( A ) to fully fused ( C ), those are your growth plates, if theres a visible line like in B, they’re still open, but closer to fusion. ( You will typically see this in X-rays of teenagers). Whereas if you don’t see any lines at all, it means the cartilage has hardened into solid bone, ending any growth potential.
View attachment 4297802
Once again, refer to the graphic above.
If there’s a visible gap or a full line, your growth plates are open, if there’s no visible line, they’re closed.
2. Facial Growth Centers & Sutures
The most important sutures when it comes to facial development are your Midpalatal, Frontomaxillary, Zygomatomaxillary & Pterygopalatine Sutures, but in reality your sutures aren't a growth center, meaning that scanning them and determining their status is for the most part useless, except for the midpalatal suture (one that is a little bit important!)
i. Midpalatal Suture
View attachment 4297717
Here are graphics (I) and CBCT Scans (II) of your midpalatal suture.
Figure A is a young child, 10-12 years old, then onto Figure B where the child is 11-13, C where they’re 13-15, D representing a 15-19 year old, and E representing a fully fused midpalatal suture of a fully grown person, usually 19-20+ years old.
If you still see a line on your scan, your suture is not fused. If you do not see any line on your scan, it’s fused.
Your midpalatal suture begins fusing from the back, so the line you do see will get shorter & shorter until eventually it matures and fuses completely.
Clinically speaking the only significant thing you need to take away from your scans are if your midpalatal suture is fused or not, around the ages of 15-19 you’ll likely have this scan done by your ortho if you’re considering getting a palate expander of any kind.
If it is fused, then you’ll likely be assigned a SARME, SARPE or SAMARPE for your expansion ( Note that this will not mean your zygos become wider, or any extreme external aesthetic benefit, your palate will get wider. ) whereas if it’s not fused, you’ll typically be assigned a regular mse / expander.
ii. Aesthetic Relevance of Sutures.
Before joining this forum I was super active in many looksmaxing discord servers, where I noticed people believing Sutures worked similarly to growth plates.
I’m not saying you believe this, I’m adding this section to clear up misconceptions.
Your sutures are not growth centers, they do not grow & just because your sutures are open doesn’t mean they’ll grow.
The status of your sutures simply shows if the area will respond to growth or not.
If your sutures are closed, no you won’t grow anymore, but just because they’re open doesn’t mean they’ll grow, so even if you notice all your sutures are open, your growth still might be over.
iii. Nasal Septal Cartilage
As opposed to Sutures, The Nasal Septal Cartilage is a growth center, meaning its made of the same Hyaline cartilage that your growth plates are made of.
View attachment 4297722
This area is mainly responsible for growing your midface forward, or downwards (oh no!).
Now, the moment this cartilage stops growing, the development of your midface stops aswell.
This is cartilage, meaning it doesn’t show up xrays, or CT/CBCT Scans, the only place you can actually see it is on MRI’s, but there’s literally no way you can bullshit your way into getting an MRI, especially for something like this.
Now the typical method to determine this is actually through lefthand xrays, hyaline cartilage ossifying is systematic, which is why you can check your knee or your wrist to determine your growth plate status, and not have to check both or prioritize one of them.
It’s as simple as this, if the growth plates in your wrist or knee are fused (see Chapter 1 of this guide to determine that), then your nasal septal cartilage has also ossified and completed its work. (Most of the time, after one growth site in your body has ossified, the others follow suit within the next few months, not enough time to get any significant growth anyways).
3. How to estimate your bone age. (Better than ChatGPT)
In my personal experience experimenting with this method, my estimates have beaten chatgpt 3/3 times.
I’m not an experienced radiologist, and asking chatgpt is the only other option for users to estimate their bone age without going to a radiologist (This isn’t to replace a radiologist’s rating, this is for an at-home analysis)
The method we’re going to be using is the Tanner-Whitehouse 3, Radius-Ulna-Short Bones method. For simplicity’s sake I’ll refer to it as the TW3-RUS method from now on.
The typical margin of error using this method is 6-9 months, although during puberty this can differ up to over a year since people can have unpredictable and uneven growth spurts.
TW3-RUS is the most refined and as of today the best method for estimating bone age.
To continue with this method & estimate your own bone age, you’ll need an xray of your non dominant hand, including your wrist. We’re going to be evaluating a total of 13 bones.
I’ve worked my ass off to create the following reference sheets, so here’s what you’re going to do with them.
I added references for stages A (Completely unfused), E-F (Partial fusion, basically late stages of puberty), and I (Complete Fusion)
You will have to eyeball this now using your own xrays, I’ve given three examples and some wiggle-room for letters using a reference bar (green-red) below the image, write down your estimated guesses in a text file until you finish all 13 bones.
Don’t doubt yourself, eyeballing isn’t perfect but it still works well, just choose & continue.
Ex.
“My Radius looks more fused than the image from E-F, but its not as fused as I, it’s closer to the 2nd picture though, so I’ll rate it G” And continue
Bonetype: Radius (distal end)
![]()
Check & use the chart below to figure out where you are. Then write your result on a piece of paper or a text file.
Bonetype: Ulna (distal end)
View attachment 4297727
Check & use the chart below to figure out where you are. Then write your result on a piece of paper or a text file.
Bonetype: 1st Metacarpal (thumb)
View attachment 4297729
Check & use the chart below to figure out where you are. Then write your result on a piece of paper or a text file.
Bonetype: 3rd Metacarpal (middle finger)
View attachment 4297731
Check & use the chart below to figure out where you are. Then write your result on a piece of paper or a text file.
Bonetype: 5th Metacarpal (pinky)
![]()
Check & use the chart below to figure out where you are. Then write your result on a piece of paper or a text file.
Bonetype: 1st Proximal Phalanx
View attachment 4297736
Check & use the chart below to figure out where you are. Then write your result on a piece of paper or a text file.
Bonetype: 3rd Proximal Phalanx
View attachment 4297737
Check & use the chart below to figure out where you are. Then write your result on a piece of paper or a text file.
Bonetype: 5th Proximal Phalanx
View attachment 4297738
Check & use the chart below to figure out where you are. Then write your result on a piece of paper or a text file.
Bonetype: 3rd Middle Phalanx
View attachment 4297739
Check & use the chart below to figure out where you are. Then write your result on a piece of paper or a text file.
Bonetype: 5th Middle Phalanx
View attachment 4297741
Check & use the chart below to figure out where you are. Then write your result on a piece of paper or a text file.
Bonetype: 1st Distal Phalanx (thumb)
View attachment 4297742
Check & use the chart below to figure out where you are. Then write your result on a piece of paper or a text file.
Bonetype: 3rd Distal Phalanx (middle finger)
View attachment 4297743
Check & use the chart below to figure out where you are. Then write your result on a piece of paper or a text file.
Bonetype: 5th Distal Phalanx (pinky)
View attachment 4297744
Check & use the chart below to figure out where you are. Then write your result on a piece of paper or a text file.
There you go, it wasn’t that hard was it?
Now that you’ve got your letters written down, it should look something like this:
Radius = H, Ulna = G
1st MC = I, 3rd MC = I, 5th MC = H
1st PProx = I, 3rd PProx = I, 5th PProx = H
3rd PMid = H, 5th PMid = G
1st PDist = I, 3rd PDist = H, 5th PDist = H
( You should have labeled them ideally, and the letters will vary )
Now convert these letters into numerical value ( TW3-RUS Score )
View attachment 4297753
For each letter you should assign points per bone, then calculate the total by combining all of the points
Total TW3-RUS Score Estimated Bone age ( male ) Estimated Bone age ( female ) 400 9 Years 6 Months 9 Years 3 Months 425 10 Years 3 Months 9 Years 9 Months 450 11 Years 0 Months 10 Years 0 Months 475 11 Years 6 Months 11 Years 0 Months 500 12 Years 3 Months 12 Years 0 Months 525 12 Years 9 Months 12 Years 6 Months 550 13 Years 3 Months 13 Years 0 Months 575 13 Years 9 Months 13 Years 6 Months 600 14 Years 3 Months 14 Years 0 Months
625 14 Years 9 Months 14 Years 6 Months 650 15 Years 3 Months 15 Years 0 Months 675 15 Years 9 Months 15 Years 6 Months 700 16 Years 3 Months 15 Years 9 Months 725 16 Years 9 Months 16 Years 0 Months 750 17 Years 3 Months 16 Years 3 Months 775 17 Years 9 Months 16 Years 9 Months 800 18 Years 17 Years 0 Months
There’s your bone age within a 6-9 month range. You can consider adding another slight margin of error since you’re not an experienced radiologist & don’t have experience reading these.
Bone age = chronological age = normal growth tempo ( You’ll grow normally )
Bone age < chronological age = delayed skeletal maturation ( You’ll grow more )
Bone age > chronological age = advanced skeletal maturation ( You’ll grow less )
If you want to practice & get better at this, I’ve left a link to a 10gb dataset of left hand xrays (with the correct result bone age assigned) as a link below
I hope this helped, and I hope I didn’t annihilate your dreams of growing taller
Lefthand Xrays used for graphics & Depictions:
https://www.kaggle.com/datasets/kmader/rsna-bone-age?select=boneage-training-dataset.csv
I used these images from the dataset for my examples:
10982.png, 1498.png, 1387.png, 10552.png, 1934.png
I also used Assessment of skeletal maturity and prediction of adult height (TW3 method) [ Book ]
By J.M. Tanner
You do not want to know how difficult it was to get information out of this book. Fucking lost media.
Tags: @BigBallsLarry @Quncho @aids @ybuyhgui @chadisbeingmade
( I won’t be tagging my off-topic friends for guides like these, sorry guys. )
I love youbump
can't tell you it's over just from that, but since it's fused then you don't have much growth left... (assumption)Is it over? 15yo and don't have any other image
Thank you anywayscan't tell you it's over just from that, but since it's fused then you don't have much growth left... (assumption)
BOTBThe Radiology behind Facial Development & Bodily Growth Indicators
By @Orka
I've seen at least 50 questions asking if somebody's growth plates are still open or not, or to estimate their bone age,so to make it easy, here's how you can answer your own questions!
Table Of Contents (easiest to hardest)
1. What are growth plates & how to determine their status
- What are growth plates?
- Analysis of your wrist’s growth plate
- Analysis of your knee’s growth plate
2. Facial Growth Centers & Sutures
- Midpalatal Suture
- Aesthetic Relevance of Sutures in your face
- Nasal Septal Cartilage
3. How to estimate bone age
- An Introduction to TW3-RUS
- Where to look & how to determine sizes [ Custom reference sheets ]
- Process walkthrough & conclusion
1. What are growth plates & how to determine their status
A growth plate (or an Epiphyseal plate) is a region of cartilage near the ends of long bones in children and adolescents where new bone tissue is created, causing the bone to grow in length and width.
This process continues until adolescence, when the growth plates harden into solid bone, a process called "closing" or “fusing”.
Male growth plates tend to fuse at around 16-19, once your plates have fused/closed, they will not grow any longer or wider.
Now, to find out if your growth plates are fused or not, we’re going to look at your wrist & knees for your height, and at your clavicles for your frame.
View attachment 4297716
Above I've added 3 figures, from open ( A ) to fully fused ( C ), those are your growth plates, if theres a visible line like in B, they’re still open, but closer to fusion. ( You will typically see this in X-rays of teenagers). Whereas if you don’t see any lines at all, it means the cartilage has hardened into solid bone, ending any growth potential.
View attachment 4297802
Once again, refer to the graphic above.
If there’s a visible gap or a full line, your growth plates are open, if there’s no visible line, they’re closed.
2. Facial Growth Centers & Sutures
The most important sutures when it comes to facial development are your Midpalatal, Frontomaxillary, Zygomatomaxillary & Pterygopalatine Sutures, but in reality your sutures aren't a growth center, meaning that scanning them and determining their status is for the most part useless, except for the midpalatal suture (one that is a little bit important!)
i. Midpalatal Suture
View attachment 4297717
Here are graphics (I) and CBCT Scans (II) of your midpalatal suture.
Figure A is a young child, 10-12 years old, then onto Figure B where the child is 11-13, C where they’re 13-15, D representing a 15-19 year old, and E representing a fully fused midpalatal suture of a fully grown person, usually 19-20+ years old.
If you still see a line on your scan, your suture is not fused. If you do not see any line on your scan, it’s fused.
Your midpalatal suture begins fusing from the back, so the line you do see will get shorter & shorter until eventually it matures and fuses completely.
Clinically speaking the only significant thing you need to take away from your scans are if your midpalatal suture is fused or not, around the ages of 15-19 you’ll likely have this scan done by your ortho if you’re considering getting a palate expander of any kind.
If it is fused, then you’ll likely be assigned a SARME, SARPE or SAMARPE for your expansion ( Note that this will not mean your zygos become wider, or any extreme external aesthetic benefit, your palate will get wider. ) whereas if it’s not fused, you’ll typically be assigned a regular mse / expander.
ii. Aesthetic Relevance of Sutures.
Before joining this forum I was super active in many looksmaxing discord servers, where I noticed people believing Sutures worked similarly to growth plates.
I’m not saying you believe this, I’m adding this section to clear up misconceptions.
Your sutures are not growth centers, they do not grow & just because your sutures are open doesn’t mean they’ll grow.
The status of your sutures simply shows if the area will respond to growth or not.
If your sutures are closed, no you won’t grow anymore, but just because they’re open doesn’t mean they’ll grow, so even if you notice all your sutures are open, your growth still might be over.
iii. Nasal Septal Cartilage
As opposed to Sutures, The Nasal Septal Cartilage is a growth center, meaning its made of the same Hyaline cartilage that your growth plates are made of.
View attachment 4297722
This area is mainly responsible for growing your midface forward, or downwards (oh no!).
Now, the moment this cartilage stops growing, the development of your midface stops aswell.
This is cartilage, meaning it doesn’t show up xrays, or CT/CBCT Scans, the only place you can actually see it is on MRI’s, but there’s literally no way you can bullshit your way into getting an MRI, especially for something like this.
Now the typical method to determine this is actually through lefthand xrays, hyaline cartilage ossifying is systematic, which is why you can check your knee or your wrist to determine your growth plate status, and not have to check both or prioritize one of them.
It’s as simple as this, if the growth plates in your wrist or knee are fused (see Chapter 1 of this guide to determine that), then your nasal septal cartilage has also ossified and completed its work. (Most of the time, after one growth site in your body has ossified, the others follow suit within the next few months, not enough time to get any significant growth anyways).
3. How to estimate your bone age. (Better than ChatGPT)
In my personal experience experimenting with this method, my estimates have beaten chatgpt 3/3 times.
I’m not an experienced radiologist, and asking chatgpt is the only other option for users to estimate their bone age without going to a radiologist (This isn’t to replace a radiologist’s rating, this is for an at-home analysis)
The method we’re going to be using is the Tanner-Whitehouse 3, Radius-Ulna-Short Bones method. For simplicity’s sake I’ll refer to it as the TW3-RUS method from now on.
The typical margin of error using this method is 6-9 months, although during puberty this can differ up to over a year since people can have unpredictable and uneven growth spurts.
TW3-RUS is the most refined and as of today the best method for estimating bone age.
To continue with this method & estimate your own bone age, you’ll need an xray of your non dominant hand, including your wrist. We’re going to be evaluating a total of 13 bones.
I’ve worked my ass off to create the following reference sheets, so here’s what you’re going to do with them.
I added references for stages A (Completely unfused), E-F (Partial fusion, basically late stages of puberty), and I (Complete Fusion)
You will have to eyeball this now using your own xrays, I’ve given three examples and some wiggle-room for letters using a reference bar (green-red) below the image, write down your estimated guesses in a text file until you finish all 13 bones.
Don’t doubt yourself, eyeballing isn’t perfect but it still works well, just choose & continue.
Ex.
“My Radius looks more fused than the image from E-F, but its not as fused as I, it’s closer to the 2nd picture though, so I’ll rate it G” And continue
Bonetype: Radius (distal end)
![]()
Check & use the chart below to figure out where you are. Then write your result on a piece of paper or a text file.
Bonetype: Ulna (distal end)
View attachment 4297727
Check & use the chart below to figure out where you are. Then write your result on a piece of paper or a text file.
Bonetype: 1st Metacarpal (thumb)
View attachment 4297729
Check & use the chart below to figure out where you are. Then write your result on a piece of paper or a text file.
Bonetype: 3rd Metacarpal (middle finger)
View attachment 4297731
Check & use the chart below to figure out where you are. Then write your result on a piece of paper or a text file.
Bonetype: 5th Metacarpal (pinky)
![]()
Check & use the chart below to figure out where you are. Then write your result on a piece of paper or a text file.
Bonetype: 1st Proximal Phalanx
View attachment 4297736
Check & use the chart below to figure out where you are. Then write your result on a piece of paper or a text file.
Bonetype: 3rd Proximal Phalanx
View attachment 4297737
Check & use the chart below to figure out where you are. Then write your result on a piece of paper or a text file.
Bonetype: 5th Proximal Phalanx
View attachment 4297738
Check & use the chart below to figure out where you are. Then write your result on a piece of paper or a text file.
Bonetype: 3rd Middle Phalanx
View attachment 4297739
Check & use the chart below to figure out where you are. Then write your result on a piece of paper or a text file.
Bonetype: 5th Middle Phalanx
View attachment 4297741
Check & use the chart below to figure out where you are. Then write your result on a piece of paper or a text file.
Bonetype: 1st Distal Phalanx (thumb)
View attachment 4297742
Check & use the chart below to figure out where you are. Then write your result on a piece of paper or a text file.
Bonetype: 3rd Distal Phalanx (middle finger)
View attachment 4297743
Check & use the chart below to figure out where you are. Then write your result on a piece of paper or a text file.
Bonetype: 5th Distal Phalanx (pinky)
View attachment 4297744
Check & use the chart below to figure out where you are. Then write your result on a piece of paper or a text file.
There you go, it wasn’t that hard was it?
Now that you’ve got your letters written down, it should look something like this:
Radius = H, Ulna = G
1st MC = I, 3rd MC = I, 5th MC = H
1st PProx = I, 3rd PProx = I, 5th PProx = H
3rd PMid = H, 5th PMid = G
1st PDist = I, 3rd PDist = H, 5th PDist = H
( You should have labeled them ideally, and the letters will vary )
Now convert these letters into numerical value ( TW3-RUS Score )
View attachment 4297753
For each letter you should assign points per bone, then calculate the total by combining all of the points
Total TW3-RUS Score Estimated Bone age ( male ) Estimated Bone age ( female ) 400 9 Years 6 Months 9 Years 3 Months 425 10 Years 3 Months 9 Years 9 Months 450 11 Years 0 Months 10 Years 0 Months 475 11 Years 6 Months 11 Years 0 Months 500 12 Years 3 Months 12 Years 0 Months 525 12 Years 9 Months 12 Years 6 Months 550 13 Years 3 Months 13 Years 0 Months 575 13 Years 9 Months 13 Years 6 Months 600 14 Years 3 Months 14 Years 0 Months
625 14 Years 9 Months 14 Years 6 Months 650 15 Years 3 Months 15 Years 0 Months 675 15 Years 9 Months 15 Years 6 Months 700 16 Years 3 Months 15 Years 9 Months 725 16 Years 9 Months 16 Years 0 Months 750 17 Years 3 Months 16 Years 3 Months 775 17 Years 9 Months 16 Years 9 Months 800 18 Years 17 Years 0 Months
There’s your bone age within a 6-9 month range. You can consider adding another slight margin of error since you’re not an experienced radiologist & don’t have experience reading these.
Bone age = chronological age = normal growth tempo ( You’ll grow normally )
Bone age < chronological age = delayed skeletal maturation ( You’ll grow more )
Bone age > chronological age = advanced skeletal maturation ( You’ll grow less )
If you want to practice & get better at this, I’ve left a link to a 10gb dataset of left hand xrays (with the correct result bone age assigned) as a link below
I hope this helped, and I hope I didn’t annihilate your dreams of growing taller
Lefthand Xrays used for graphics & Depictions:
https://www.kaggle.com/datasets/kmader/rsna-bone-age?select=boneage-training-dataset.csv
I used these images from the dataset for my examples:
10982.png, 1498.png, 1387.png, 10552.png, 1934.png
I also used Assessment of skeletal maturity and prediction of adult height (TW3 method) [ Book ]
By J.M. Tanner
You do not want to know how difficult it was to get information out of this book. Fucking lost media.
Tags: @BigBallsLarry @Quncho @aids @ybuyhgui @chadisbeingmade
( I won’t be tagging my off-topic friends for guides like these, sorry guys. )
bump, im so proud of my high iq apprentice..The Radiology behind Facial Development & Bodily Growth Indicators
By @Orka
I've seen at least 50 questions asking if somebody's growth plates are still open or not, or to estimate their bone age,so to make it easy, here's how you can answer your own questions!
Table Of Contents (easiest to hardest)
1. What are growth plates & how to determine their status
- What are growth plates?
- Analysis of your wrist’s growth plate
- Analysis of your knee’s growth plate
2. Facial Growth Centers & Sutures
- Midpalatal Suture
- Aesthetic Relevance of Sutures in your face
- Nasal Septal Cartilage
3. How to estimate bone age
- An Introduction to TW3-RUS
- Where to look & how to determine sizes [ Custom reference sheets ]
- Process walkthrough & conclusion
1. What are growth plates & how to determine their status
A growth plate (or an Epiphyseal plate) is a region of cartilage near the ends of long bones in children and adolescents where new bone tissue is created, causing the bone to grow in length and width.
This process continues until adolescence, when the growth plates harden into solid bone, a process called "closing" or “fusing”.
Male growth plates tend to fuse at around 16-19, once your plates have fused/closed, they will not grow any longer or wider.
Now, to find out if your growth plates are fused or not, we’re going to look at your wrist & knees for your height, and at your clavicles for your frame.
View attachment 4297716
Above I've added 3 figures, from open ( A ) to fully fused ( C ), those are your growth plates, if theres a visible line like in B, they’re still open, but closer to fusion. ( You will typically see this in X-rays of teenagers). Whereas if you don’t see any lines at all, it means the cartilage has hardened into solid bone, ending any growth potential.
View attachment 4297802
Once again, refer to the graphic above.
If there’s a visible gap or a full line, your growth plates are open, if there’s no visible line, they’re closed.
2. Facial Growth Centers & Sutures
The most important sutures when it comes to facial development are your Midpalatal, Frontomaxillary, Zygomatomaxillary & Pterygopalatine Sutures, but in reality your sutures aren't a growth center, meaning that scanning them and determining their status is for the most part useless, except for the midpalatal suture (one that is a little bit important!)
i. Midpalatal Suture
View attachment 4297717
Here are graphics (I) and CBCT Scans (II) of your midpalatal suture.
Figure A is a young child, 10-12 years old, then onto Figure B where the child is 11-13, C where they’re 13-15, D representing a 15-19 year old, and E representing a fully fused midpalatal suture of a fully grown person, usually 19-20+ years old.
If you still see a line on your scan, your suture is not fused. If you do not see any line on your scan, it’s fused.
Your midpalatal suture begins fusing from the back, so the line you do see will get shorter & shorter until eventually it matures and fuses completely.
Clinically speaking the only significant thing you need to take away from your scans are if your midpalatal suture is fused or not, around the ages of 15-19 you’ll likely have this scan done by your ortho if you’re considering getting a palate expander of any kind.
If it is fused, then you’ll likely be assigned a SARME, SARPE or SAMARPE for your expansion ( Note that this will not mean your zygos become wider, or any extreme external aesthetic benefit, your palate will get wider. ) whereas if it’s not fused, you’ll typically be assigned a regular mse / expander.
ii. Aesthetic Relevance of Sutures.
Before joining this forum I was super active in many looksmaxing discord servers, where I noticed people believing Sutures worked similarly to growth plates.
I’m not saying you believe this, I’m adding this section to clear up misconceptions.
Your sutures are not growth centers, they do not grow & just because your sutures are open doesn’t mean they’ll grow.
The status of your sutures simply shows if the area will respond to growth or not.
If your sutures are closed, no you won’t grow anymore, but just because they’re open doesn’t mean they’ll grow, so even if you notice all your sutures are open, your growth still might be over.
iii. Nasal Septal Cartilage
As opposed to Sutures, The Nasal Septal Cartilage is a growth center, meaning its made of the same Hyaline cartilage that your growth plates are made of.
View attachment 4297722
This area is mainly responsible for growing your midface forward, or downwards (oh no!).
Now, the moment this cartilage stops growing, the development of your midface stops aswell.
This is cartilage, meaning it doesn’t show up xrays, or CT/CBCT Scans, the only place you can actually see it is on MRI’s, but there’s literally no way you can bullshit your way into getting an MRI, especially for something like this.
Now the typical method to determine this is actually through lefthand xrays, hyaline cartilage ossifying is systematic, which is why you can check your knee or your wrist to determine your growth plate status, and not have to check both or prioritize one of them.
It’s as simple as this, if the growth plates in your wrist or knee are fused (see Chapter 1 of this guide to determine that), then your nasal septal cartilage has also ossified and completed its work. (Most of the time, after one growth site in your body has ossified, the others follow suit within the next few months, not enough time to get any significant growth anyways).
3. How to estimate your bone age. (Better than ChatGPT)
In my personal experience experimenting with this method, my estimates have beaten chatgpt 3/3 times.
I’m not an experienced radiologist, and asking chatgpt is the only other option for users to estimate their bone age without going to a radiologist (This isn’t to replace a radiologist’s rating, this is for an at-home analysis)
The method we’re going to be using is the Tanner-Whitehouse 3, Radius-Ulna-Short Bones method. For simplicity’s sake I’ll refer to it as the TW3-RUS method from now on.
The typical margin of error using this method is 6-9 months, although during puberty this can differ up to over a year since people can have unpredictable and uneven growth spurts.
TW3-RUS is the most refined and as of today the best method for estimating bone age.
To continue with this method & estimate your own bone age, you’ll need an xray of your non dominant hand, including your wrist. We’re going to be evaluating a total of 13 bones.
I’ve worked my ass off to create the following reference sheets, so here’s what you’re going to do with them.
I added references for stages A (Completely unfused), E-F (Partial fusion, basically late stages of puberty), and I (Complete Fusion)
You will have to eyeball this now using your own xrays, I’ve given three examples and some wiggle-room for letters using a reference bar (green-red) below the image, write down your estimated guesses in a text file until you finish all 13 bones.
Don’t doubt yourself, eyeballing isn’t perfect but it still works well, just choose & continue.
Ex.
“My Radius looks more fused than the image from E-F, but its not as fused as I, it’s closer to the 2nd picture though, so I’ll rate it G” And continue
Bonetype: Radius (distal end)
![]()
Check & use the chart below to figure out where you are. Then write your result on a piece of paper or a text file.
Bonetype: Ulna (distal end)
View attachment 4297727
Check & use the chart below to figure out where you are. Then write your result on a piece of paper or a text file.
Bonetype: 1st Metacarpal (thumb)
View attachment 4297729
Check & use the chart below to figure out where you are. Then write your result on a piece of paper or a text file.
Bonetype: 3rd Metacarpal (middle finger)
View attachment 4297731
Check & use the chart below to figure out where you are. Then write your result on a piece of paper or a text file.
Bonetype: 5th Metacarpal (pinky)
![]()
Check & use the chart below to figure out where you are. Then write your result on a piece of paper or a text file.
Bonetype: 1st Proximal Phalanx
View attachment 4297736
Check & use the chart below to figure out where you are. Then write your result on a piece of paper or a text file.
Bonetype: 3rd Proximal Phalanx
View attachment 4297737
Check & use the chart below to figure out where you are. Then write your result on a piece of paper or a text file.
Bonetype: 5th Proximal Phalanx
View attachment 4297738
Check & use the chart below to figure out where you are. Then write your result on a piece of paper or a text file.
Bonetype: 3rd Middle Phalanx
View attachment 4297739
Check & use the chart below to figure out where you are. Then write your result on a piece of paper or a text file.
Bonetype: 5th Middle Phalanx
View attachment 4297741
Check & use the chart below to figure out where you are. Then write your result on a piece of paper or a text file.
Bonetype: 1st Distal Phalanx (thumb)
View attachment 4297742
Check & use the chart below to figure out where you are. Then write your result on a piece of paper or a text file.
Bonetype: 3rd Distal Phalanx (middle finger)
View attachment 4297743
Check & use the chart below to figure out where you are. Then write your result on a piece of paper or a text file.
Bonetype: 5th Distal Phalanx (pinky)
View attachment 4297744
Check & use the chart below to figure out where you are. Then write your result on a piece of paper or a text file.
There you go, it wasn’t that hard was it?
Now that you’ve got your letters written down, it should look something like this:
Radius = H, Ulna = G
1st MC = I, 3rd MC = I, 5th MC = H
1st PProx = I, 3rd PProx = I, 5th PProx = H
3rd PMid = H, 5th PMid = G
1st PDist = I, 3rd PDist = H, 5th PDist = H
( You should have labeled them ideally, and the letters will vary )
Now convert these letters into numerical value ( TW3-RUS Score )
View attachment 4297753
For each letter you should assign points per bone, then calculate the total by combining all of the points
Total TW3-RUS Score Estimated Bone age ( male ) Estimated Bone age ( female ) 400 9 Years 6 Months 9 Years 3 Months 425 10 Years 3 Months 9 Years 9 Months 450 11 Years 0 Months 10 Years 0 Months 475 11 Years 6 Months 11 Years 0 Months 500 12 Years 3 Months 12 Years 0 Months 525 12 Years 9 Months 12 Years 6 Months 550 13 Years 3 Months 13 Years 0 Months 575 13 Years 9 Months 13 Years 6 Months 600 14 Years 3 Months 14 Years 0 Months
625 14 Years 9 Months 14 Years 6 Months 650 15 Years 3 Months 15 Years 0 Months 675 15 Years 9 Months 15 Years 6 Months 700 16 Years 3 Months 15 Years 9 Months 725 16 Years 9 Months 16 Years 0 Months 750 17 Years 3 Months 16 Years 3 Months 775 17 Years 9 Months 16 Years 9 Months 800 18 Years 17 Years 0 Months
There’s your bone age within a 6-9 month range. You can consider adding another slight margin of error since you’re not an experienced radiologist & don’t have experience reading these.
Bone age = chronological age = normal growth tempo ( You’ll grow normally )
Bone age < chronological age = delayed skeletal maturation ( You’ll grow more )
Bone age > chronological age = advanced skeletal maturation ( You’ll grow less )
If you want to practice & get better at this, I’ve left a link to a 10gb dataset of left hand xrays (with the correct result bone age assigned) as a link below
I hope this helped, and I hope I didn’t annihilate your dreams of growing taller
Lefthand Xrays used for graphics & Depictions:
https://www.kaggle.com/datasets/kmader/rsna-bone-age?select=boneage-training-dataset.csv
I used these images from the dataset for my examples:
10982.png, 1498.png, 1387.png, 10552.png, 1934.png
I also used Assessment of skeletal maturity and prediction of adult height (TW3 method) [ Book ]
By J.M. Tanner
You do not want to know how difficult it was to get information out of this book. Fucking lost media.
Tags: @BigBallsLarry @Quncho @aids @ybuyhgui @chadisbeingmade
( I won’t be tagging my off-topic friends for guides like these, sorry guys. )
I'm bumping this after seeing a dissapointing amount of people not be able to answer their own questions.The Radiology behind Facial Development & Bodily Growth Indicators
By @Orka
I've seen at least 50 questions asking if somebody's growth plates are still open or not, or to estimate their bone age,so to make it easy, here's how you can answer your own questions!
Table Of Contents (easiest to hardest)
1. What are growth plates & how to determine their status
- What are growth plates?
- Analysis of your wrist’s growth plate
- Analysis of your knee’s growth plate
2. Facial Growth Centers & Sutures
- Midpalatal Suture
- Aesthetic Relevance of Sutures in your face
- Nasal Septal Cartilage
3. How to estimate bone age
- An Introduction to TW3-RUS
- Where to look & how to determine sizes [ Custom reference sheets ]
- Process walkthrough & conclusion
1. What are growth plates & how to determine their status
A growth plate (or an Epiphyseal plate) is a region of cartilage near the ends of long bones in children and adolescents where new bone tissue is created, causing the bone to grow in length and width.
This process continues until adolescence, when the growth plates harden into solid bone, a process called "closing" or “fusing”.
Male growth plates tend to fuse at around 16-19, once your plates have fused/closed, they will not grow any longer or wider.
Now, to find out if your growth plates are fused or not, we’re going to look at your wrist & knees for your height, and at your clavicles for your frame.
View attachment 4297716
Above I've added 3 figures, from open ( A ) to fully fused ( C ), those are your growth plates, if theres a visible line like in B, they’re still open, but closer to fusion. ( You will typically see this in X-rays of teenagers). Whereas if you don’t see any lines at all, it means the cartilage has hardened into solid bone, ending any growth potential.
View attachment 4297802
Once again, refer to the graphic above.
If there’s a visible gap or a full line, your growth plates are open, if there’s no visible line, they’re closed.
2. Facial Growth Centers & Sutures
The most important sutures when it comes to facial development are your Midpalatal, Frontomaxillary, Zygomatomaxillary & Pterygopalatine Sutures, but in reality your sutures aren't a growth center, meaning that scanning them and determining their status is for the most part useless, except for the midpalatal suture (one that is a little bit important!)
i. Midpalatal Suture
View attachment 4297717
Here are graphics (I) and CBCT Scans (II) of your midpalatal suture.
Figure A is a young child, 10-12 years old, then onto Figure B where the child is 11-13, C where they’re 13-15, D representing a 15-19 year old, and E representing a fully fused midpalatal suture of a fully grown person, usually 19-20+ years old.
If you still see a line on your scan, your suture is not fused. If you do not see any line on your scan, it’s fused.
Your midpalatal suture begins fusing from the back, so the line you do see will get shorter & shorter until eventually it matures and fuses completely.
Clinically speaking the only significant thing you need to take away from your scans are if your midpalatal suture is fused or not, around the ages of 15-19 you’ll likely have this scan done by your ortho if you’re considering getting a palate expander of any kind.
If it is fused, then you’ll likely be assigned a SARME, SARPE or SAMARPE for your expansion ( Note that this will not mean your zygos become wider, or any extreme external aesthetic benefit, your palate will get wider. ) whereas if it’s not fused, you’ll typically be assigned a regular mse / expander.
ii. Aesthetic Relevance of Sutures.
Before joining this forum I was super active in many looksmaxing discord servers, where I noticed people believing Sutures worked similarly to growth plates.
I’m not saying you believe this, I’m adding this section to clear up misconceptions.
Your sutures are not growth centers, they do not grow & just because your sutures are open doesn’t mean they’ll grow.
The status of your sutures simply shows if the area will respond to growth or not.
If your sutures are closed, no you won’t grow anymore, but just because they’re open doesn’t mean they’ll grow, so even if you notice all your sutures are open, your growth still might be over.
iii. Nasal Septal Cartilage
As opposed to Sutures, The Nasal Septal Cartilage is a growth center, meaning its made of the same Hyaline cartilage that your growth plates are made of.
View attachment 4297722
This area is mainly responsible for growing your midface forward, or downwards (oh no!).
Now, the moment this cartilage stops growing, the development of your midface stops aswell.
This is cartilage, meaning it doesn’t show up xrays, or CT/CBCT Scans, the only place you can actually see it is on MRI’s, but there’s literally no way you can bullshit your way into getting an MRI, especially for something like this.
Now the typical method to determine this is actually through lefthand xrays, hyaline cartilage ossifying is systematic, which is why you can check your knee or your wrist to determine your growth plate status, and not have to check both or prioritize one of them.
It’s as simple as this, if the growth plates in your wrist or knee are fused (see Chapter 1 of this guide to determine that), then your nasal septal cartilage has also ossified and completed its work. (Most of the time, after one growth site in your body has ossified, the others follow suit within the next few months, not enough time to get any significant growth anyways).
3. How to estimate your bone age. (Better than ChatGPT)
In my personal experience experimenting with this method, my estimates have beaten chatgpt 3/3 times.
I’m not an experienced radiologist, and asking chatgpt is the only other option for users to estimate their bone age without going to a radiologist (This isn’t to replace a radiologist’s rating, this is for an at-home analysis)
The method we’re going to be using is the Tanner-Whitehouse 3, Radius-Ulna-Short Bones method. For simplicity’s sake I’ll refer to it as the TW3-RUS method from now on.
The typical margin of error using this method is 6-9 months, although during puberty this can differ up to over a year since people can have unpredictable and uneven growth spurts.
TW3-RUS is the most refined and as of today the best method for estimating bone age.
To continue with this method & estimate your own bone age, you’ll need an xray of your non dominant hand, including your wrist. We’re going to be evaluating a total of 13 bones.
I’ve worked my ass off to create the following reference sheets, so here’s what you’re going to do with them.
I added references for stages A (Completely unfused), E-F (Partial fusion, basically late stages of puberty), and I (Complete Fusion)
You will have to eyeball this now using your own xrays, I’ve given three examples and some wiggle-room for letters using a reference bar (green-red) below the image, write down your estimated guesses in a text file until you finish all 13 bones.
Don’t doubt yourself, eyeballing isn’t perfect but it still works well, just choose & continue.
Ex.
“My Radius looks more fused than the image from E-F, but its not as fused as I, it’s closer to the 2nd picture though, so I’ll rate it G” And continue
Bonetype: Radius (distal end)
![]()
Check & use the chart below to figure out where you are. Then write your result on a piece of paper or a text file.
Bonetype: Ulna (distal end)
View attachment 4297727
Check & use the chart below to figure out where you are. Then write your result on a piece of paper or a text file.
Bonetype: 1st Metacarpal (thumb)
View attachment 4297729
Check & use the chart below to figure out where you are. Then write your result on a piece of paper or a text file.
Bonetype: 3rd Metacarpal (middle finger)
View attachment 4297731
Check & use the chart below to figure out where you are. Then write your result on a piece of paper or a text file.
Bonetype: 5th Metacarpal (pinky)
![]()
Check & use the chart below to figure out where you are. Then write your result on a piece of paper or a text file.
Bonetype: 1st Proximal Phalanx
View attachment 4297736
Check & use the chart below to figure out where you are. Then write your result on a piece of paper or a text file.
Bonetype: 3rd Proximal Phalanx
View attachment 4297737
Check & use the chart below to figure out where you are. Then write your result on a piece of paper or a text file.
Bonetype: 5th Proximal Phalanx
View attachment 4297738
Check & use the chart below to figure out where you are. Then write your result on a piece of paper or a text file.
Bonetype: 3rd Middle Phalanx
View attachment 4297739
Check & use the chart below to figure out where you are. Then write your result on a piece of paper or a text file.
Bonetype: 5th Middle Phalanx
View attachment 4297741
Check & use the chart below to figure out where you are. Then write your result on a piece of paper or a text file.
Bonetype: 1st Distal Phalanx (thumb)
View attachment 4297742
Check & use the chart below to figure out where you are. Then write your result on a piece of paper or a text file.
Bonetype: 3rd Distal Phalanx (middle finger)
View attachment 4297743
Check & use the chart below to figure out where you are. Then write your result on a piece of paper or a text file.
Bonetype: 5th Distal Phalanx (pinky)
View attachment 4297744
Check & use the chart below to figure out where you are. Then write your result on a piece of paper or a text file.
There you go, it wasn’t that hard was it?
Now that you’ve got your letters written down, it should look something like this:
Radius = H, Ulna = G
1st MC = I, 3rd MC = I, 5th MC = H
1st PProx = I, 3rd PProx = I, 5th PProx = H
3rd PMid = H, 5th PMid = G
1st PDist = I, 3rd PDist = H, 5th PDist = H
( You should have labeled them ideally, and the letters will vary )
Now convert these letters into numerical value ( TW3-RUS Score )
View attachment 4297753
For each letter you should assign points per bone, then calculate the total by combining all of the points
Total TW3-RUS Score Estimated Bone age ( male ) Estimated Bone age ( female ) 400 9 Years 6 Months 9 Years 3 Months 425 10 Years 3 Months 9 Years 9 Months 450 11 Years 0 Months 10 Years 0 Months 475 11 Years 6 Months 11 Years 0 Months 500 12 Years 3 Months 12 Years 0 Months 525 12 Years 9 Months 12 Years 6 Months 550 13 Years 3 Months 13 Years 0 Months 575 13 Years 9 Months 13 Years 6 Months 600 14 Years 3 Months 14 Years 0 Months
625 14 Years 9 Months 14 Years 6 Months 650 15 Years 3 Months 15 Years 0 Months 675 15 Years 9 Months 15 Years 6 Months 700 16 Years 3 Months 15 Years 9 Months 725 16 Years 9 Months 16 Years 0 Months 750 17 Years 3 Months 16 Years 3 Months 775 17 Years 9 Months 16 Years 9 Months 800 18 Years 17 Years 0 Months
There’s your bone age within a 6-9 month range. You can consider adding another slight margin of error since you’re not an experienced radiologist & don’t have experience reading these.
Bone age = chronological age = normal growth tempo ( You’ll grow normally )
Bone age < chronological age = delayed skeletal maturation ( You’ll grow more )
Bone age > chronological age = advanced skeletal maturation ( You’ll grow less )
If you want to practice & get better at this, I’ve left a link to a 10gb dataset of left hand xrays (with the correct result bone age assigned) as a link below
I hope this helped, and I hope I didn’t annihilate your dreams of growing taller
Lefthand Xrays used for graphics & Depictions:
https://www.kaggle.com/datasets/kmader/rsna-bone-age?select=boneage-training-dataset.csv
I used these images from the dataset for my examples:
10982.png, 1498.png, 1387.png, 10552.png, 1934.png
I also used Assessment of skeletal maturity and prediction of adult height (TW3 method) [ Book ]
By J.M. Tanner
You do not want to know how difficult it was to get information out of this book. Fucking lost media.
Tags: @BigBallsLarry @Quncho @aids @ybuyhgui @chadisbeingmade
( I won’t be tagging my off-topic friends for guides like these, sorry guys. )
Read until part 3. This gem is for sure Botb worthy, but as u said, it shouldnt be a substitute for a radiologistThe Radiology behind Facial Development & Bodily Growth Indicators
By @Orka
I've seen at least 50 questions asking if somebody's growth plates are still open or not, or to estimate their bone age,so to make it easy, here's how you can answer your own questions!
Table Of Contents (easiest to hardest)
1. What are growth plates & how to determine their status
- What are growth plates?
- Analysis of your wrist’s growth plate
- Analysis of your knee’s growth plate
2. Facial Growth Centers & Sutures
- Midpalatal Suture
- Aesthetic Relevance of Sutures in your face
- Nasal Septal Cartilage
3. How to estimate bone age
- An Introduction to TW3-RUS
- Where to look & how to determine sizes [ Custom reference sheets ]
- Process walkthrough & conclusion
1. What are growth plates & how to determine their status
A growth plate (or an Epiphyseal plate) is a region of cartilage near the ends of long bones in children and adolescents where new bone tissue is created, causing the bone to grow in length and width.
This process continues until adolescence, when the growth plates harden into solid bone, a process called "closing" or “fusing”.
Male growth plates tend to fuse at around 16-19, once your plates have fused/closed, they will not grow any longer or wider.
Now, to find out if your growth plates are fused or not, we’re going to look at your wrist & knees for your height, and at your clavicles for your frame.
View attachment 4297716
Above I've added 3 figures, from open ( A ) to fully fused ( C ), those are your growth plates, if theres a visible line like in B, they’re still open, but closer to fusion. ( You will typically see this in X-rays of teenagers). Whereas if you don’t see any lines at all, it means the cartilage has hardened into solid bone, ending any growth potential.
View attachment 4297802
Once again, refer to the graphic above.
If there’s a visible gap or a full line, your growth plates are open, if there’s no visible line, they’re closed.
2. Facial Growth Centers & Sutures
The most important sutures when it comes to facial development are your Midpalatal, Frontomaxillary, Zygomatomaxillary & Pterygopalatine Sutures, but in reality your sutures aren't a growth center, meaning that scanning them and determining their status is for the most part useless, except for the midpalatal suture (one that is a little bit important!)
i. Midpalatal Suture
View attachment 4297717
Here are graphics (I) and CBCT Scans (II) of your midpalatal suture.
Figure A is a young child, 10-12 years old, then onto Figure B where the child is 11-13, C where they’re 13-15, D representing a 15-19 year old, and E representing a fully fused midpalatal suture of a fully grown person, usually 19-20+ years old.
If you still see a line on your scan, your suture is not fused. If you do not see any line on your scan, it’s fused.
Your midpalatal suture begins fusing from the back, so the line you do see will get shorter & shorter until eventually it matures and fuses completely.
Clinically speaking the only significant thing you need to take away from your scans are if your midpalatal suture is fused or not, around the ages of 15-19 you’ll likely have this scan done by your ortho if you’re considering getting a palate expander of any kind.
If it is fused, then you’ll likely be assigned a SARME, SARPE or SAMARPE for your expansion ( Note that this will not mean your zygos become wider, or any extreme external aesthetic benefit, your palate will get wider. ) whereas if it’s not fused, you’ll typically be assigned a regular mse / expander.
ii. Aesthetic Relevance of Sutures.
Before joining this forum I was super active in many looksmaxing discord servers, where I noticed people believing Sutures worked similarly to growth plates.
I’m not saying you believe this, I’m adding this section to clear up misconceptions.
Your sutures are not growth centers, they do not grow & just because your sutures are open doesn’t mean they’ll grow.
The status of your sutures simply shows if the area will respond to growth or not.
If your sutures are closed, no you won’t grow anymore, but just because they’re open doesn’t mean they’ll grow, so even if you notice all your sutures are open, your growth still might be over.
iii. Nasal Septal Cartilage
As opposed to Sutures, The Nasal Septal Cartilage is a growth center, meaning its made of the same Hyaline cartilage that your growth plates are made of.
View attachment 4297722
This area is mainly responsible for growing your midface forward, or downwards (oh no!).
Now, the moment this cartilage stops growing, the development of your midface stops aswell.
This is cartilage, meaning it doesn’t show up xrays, or CT/CBCT Scans, the only place you can actually see it is on MRI’s, but there’s literally no way you can bullshit your way into getting an MRI, especially for something like this.
Now the typical method to determine this is actually through lefthand xrays, hyaline cartilage ossifying is systematic, which is why you can check your knee or your wrist to determine your growth plate status, and not have to check both or prioritize one of them.
It’s as simple as this, if the growth plates in your wrist or knee are fused (see Chapter 1 of this guide to determine that), then your nasal septal cartilage has also ossified and completed its work. (Most of the time, after one growth site in your body has ossified, the others follow suit within the next few months, not enough time to get any significant growth anyways).
3. How to estimate your bone age. (Better than ChatGPT)
In my personal experience experimenting with this method, my estimates have beaten chatgpt 3/3 times.
I’m not an experienced radiologist, and asking chatgpt is the only other option for users to estimate their bone age without going to a radiologist (This isn’t to replace a radiologist’s rating, this is for an at-home analysis)
The method we’re going to be using is the Tanner-Whitehouse 3, Radius-Ulna-Short Bones method. For simplicity’s sake I’ll refer to it as the TW3-RUS method from now on.
The typical margin of error using this method is 6-9 months, although during puberty this can differ up to over a year since people can have unpredictable and uneven growth spurts.
TW3-RUS is the most refined and as of today the best method for estimating bone age.
To continue with this method & estimate your own bone age, you’ll need an xray of your non dominant hand, including your wrist. We’re going to be evaluating a total of 13 bones.
I’ve worked my ass off to create the following reference sheets, so here’s what you’re going to do with them.
I added references for stages A (Completely unfused), E-F (Partial fusion, basically late stages of puberty), and I (Complete Fusion)
You will have to eyeball this now using your own xrays, I’ve given three examples and some wiggle-room for letters using a reference bar (green-red) below the image, write down your estimated guesses in a text file until you finish all 13 bones.
Don’t doubt yourself, eyeballing isn’t perfect but it still works well, just choose & continue.
Ex.
“My Radius looks more fused than the image from E-F, but its not as fused as I, it’s closer to the 2nd picture though, so I’ll rate it G” And continue
Bonetype: Radius (distal end)
![]()
Check & use the chart below to figure out where you are. Then write your result on a piece of paper or a text file.
Bonetype: Ulna (distal end)
View attachment 4297727
Check & use the chart below to figure out where you are. Then write your result on a piece of paper or a text file.
Bonetype: 1st Metacarpal (thumb)
View attachment 4297729
Check & use the chart below to figure out where you are. Then write your result on a piece of paper or a text file.
Bonetype: 3rd Metacarpal (middle finger)
View attachment 4297731
Check & use the chart below to figure out where you are. Then write your result on a piece of paper or a text file.
Bonetype: 5th Metacarpal (pinky)
![]()
Check & use the chart below to figure out where you are. Then write your result on a piece of paper or a text file.
Bonetype: 1st Proximal Phalanx
View attachment 4297736
Check & use the chart below to figure out where you are. Then write your result on a piece of paper or a text file.
Bonetype: 3rd Proximal Phalanx
View attachment 4297737
Check & use the chart below to figure out where you are. Then write your result on a piece of paper or a text file.
Bonetype: 5th Proximal Phalanx
View attachment 4297738
Check & use the chart below to figure out where you are. Then write your result on a piece of paper or a text file.
Bonetype: 3rd Middle Phalanx
View attachment 4297739
Check & use the chart below to figure out where you are. Then write your result on a piece of paper or a text file.
Bonetype: 5th Middle Phalanx
View attachment 4297741
Check & use the chart below to figure out where you are. Then write your result on a piece of paper or a text file.
Bonetype: 1st Distal Phalanx (thumb)
View attachment 4297742
Check & use the chart below to figure out where you are. Then write your result on a piece of paper or a text file.
Bonetype: 3rd Distal Phalanx (middle finger)
View attachment 4297743
Check & use the chart below to figure out where you are. Then write your result on a piece of paper or a text file.
Bonetype: 5th Distal Phalanx (pinky)
View attachment 4297744
Check & use the chart below to figure out where you are. Then write your result on a piece of paper or a text file.
There you go, it wasn’t that hard was it?
Now that you’ve got your letters written down, it should look something like this:
Radius = H, Ulna = G
1st MC = I, 3rd MC = I, 5th MC = H
1st PProx = I, 3rd PProx = I, 5th PProx = H
3rd PMid = H, 5th PMid = G
1st PDist = I, 3rd PDist = H, 5th PDist = H
( You should have labeled them ideally, and the letters will vary )
Now convert these letters into numerical value ( TW3-RUS Score )
View attachment 4297753
For each letter you should assign points per bone, then calculate the total by combining all of the points
Total TW3-RUS Score Estimated Bone age ( male ) Estimated Bone age ( female ) 400 9 Years 6 Months 9 Years 3 Months 425 10 Years 3 Months 9 Years 9 Months 450 11 Years 0 Months 10 Years 0 Months 475 11 Years 6 Months 11 Years 0 Months 500 12 Years 3 Months 12 Years 0 Months 525 12 Years 9 Months 12 Years 6 Months 550 13 Years 3 Months 13 Years 0 Months 575 13 Years 9 Months 13 Years 6 Months 600 14 Years 3 Months 14 Years 0 Months
625 14 Years 9 Months 14 Years 6 Months 650 15 Years 3 Months 15 Years 0 Months 675 15 Years 9 Months 15 Years 6 Months 700 16 Years 3 Months 15 Years 9 Months 725 16 Years 9 Months 16 Years 0 Months 750 17 Years 3 Months 16 Years 3 Months 775 17 Years 9 Months 16 Years 9 Months 800 18 Years 17 Years 0 Months
There’s your bone age within a 6-9 month range. You can consider adding another slight margin of error since you’re not an experienced radiologist & don’t have experience reading these.
Bone age = chronological age = normal growth tempo ( You’ll grow normally )
Bone age < chronological age = delayed skeletal maturation ( You’ll grow more )
Bone age > chronological age = advanced skeletal maturation ( You’ll grow less )
If you want to practice & get better at this, I’ve left a link to a 10gb dataset of left hand xrays (with the correct result bone age assigned) as a link below
I hope this helped, and I hope I didn’t annihilate your dreams of growing taller
Lefthand Xrays used for graphics & Depictions:
https://www.kaggle.com/datasets/kmader/rsna-bone-age?select=boneage-training-dataset.csv
I used these images from the dataset for my examples:
10982.png, 1498.png, 1387.png, 10552.png, 1934.png
I also used Assessment of skeletal maturity and prediction of adult height (TW3 method) [ Book ]
By J.M. Tanner
You do not want to know how difficult it was to get information out of this book. Fucking lost media.
Tags: @BigBallsLarry @Quncho @aids @ybuyhgui @chadisbeingmade
( I won’t be tagging my off-topic friends for guides like these, sorry guys. )