What can I do to fix this type of assymetry

xarhss

xarhss

Silver
Joined
Feb 17, 2026
Posts
634
Reputation
170
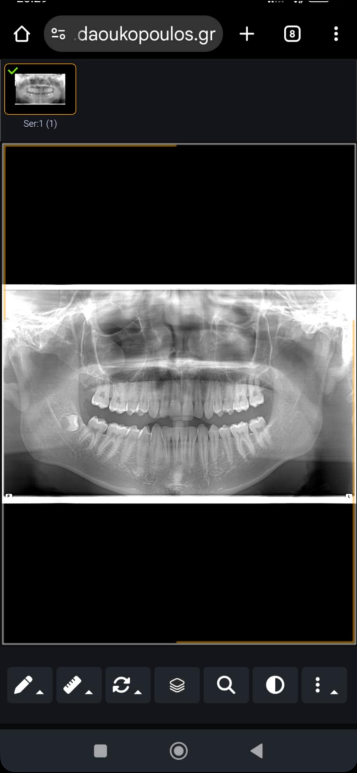
Should I get a surgery or I can fix it naturally I have done anything Im trying right now to fix lateral pelvic tilt ,doing massage on my maseters mostly doing a lot of stretching exercises I’m like doing all of that for 1 month can I do anything else ? Over for me


I will appreciate all the useful information and just tag someone with experience bhai
 

Attachments

  • IMG_1393.jpeg
    IMG_1393.jpeg
    195.6 KB · Views: 0
Should I get a surgery or I can fix it naturally I have done anything Im trying right now to fix lateral pelvic tilt ,doing massage on my maseters mostly doing a lot of stretching exercises I’m like doing all of that for 1 month can I do anything else ? Over for me


I will appreciate all the useful information and just tag someone with experience bhai
BUMP
 
70/30 chewing split

It seems jaw related but if it's major like scoliosis, sphenoid related or APT, you need to see a specialist
 
  • +1
Reactions: xarhss
70/30 chewing split

It seems jaw related but if it's major like scoliosis, sphenoid related or APT, you need to see a specialist
Like what doctor do I will close a appointment I’m 15 also
 
  • +1
Reactions: Vireon
70/30 chewing split

It seems jaw related but if it's major like scoliosis, sphenoid related or APT, you need to see a specialist
So chew on my undeveloped side more ?
 
  • +1
Reactions: Vireon
Tbh bro I have no clue

Check with a orthodontist first
I have done this and he told me to check a maxillofacial surgeon after that I went to the surgeon he said me bullshit and I want to go to another one now
 
  • +1
Reactions: Vireon
Should I get a surgery or I can fix it naturally I have done anything Im trying right now to fix lateral pelvic tilt ,doing massage on my maseters mostly doing a lot of stretching exercises I’m like doing all of that for 1 month can I do anything else ? Over for me


I will appreciate all the useful information and just tag someone with experience bhai
BUMP
 
I have done this and he told me to check a maxillofacial surgeon after that I went to the surgeon he said me bullshit and I want to go to another one now
oh ok then check with a plastic surgeon
 
Should I get a surgery or I can fix it naturally I have done anything Im trying right now to fix lateral pelvic tilt ,doing massage on my maseters mostly doing a lot of stretching exercises I’m like doing all of that for 1 month can I do anything else ? Over for me


I will appreciate all the useful information and just tag someone with experience bhai
BUMP
 
Should I get a surgery or I can fix it naturally I have done anything Im trying right now to fix lateral pelvic tilt ,doing massage on my maseters mostly doing a lot of stretching exercises I’m like doing all of that for 1 month can I do anything else ? Over for me


I will appreciate all the useful information and just tag someone with experience bhai
BUMP
 
Should I get a surgery or I can fix it naturally I have done anything Im trying right now to fix lateral pelvic tilt ,doing massage on my maseters mostly doing a lot of stretching exercises I’m like doing all of that for 1 month can I do anything else ? Over for me


I will appreciate all the useful information and just tag someone with experience bhai
BUMP
 

Similar threads

xarhss
Replies
11
Views
39
xarhss
xarhss
xarhss
Replies
5
Views
72
Mazilias
Mazilias
A
Replies
3
Views
68
itsoverdasilva
itsoverdasilva
A
Replies
8
Views
105
LukaKhang
LukaKhang
1
Replies
10
Views
115
dhirenmire
dhirenmire

Users who are viewing this thread

Back
Top