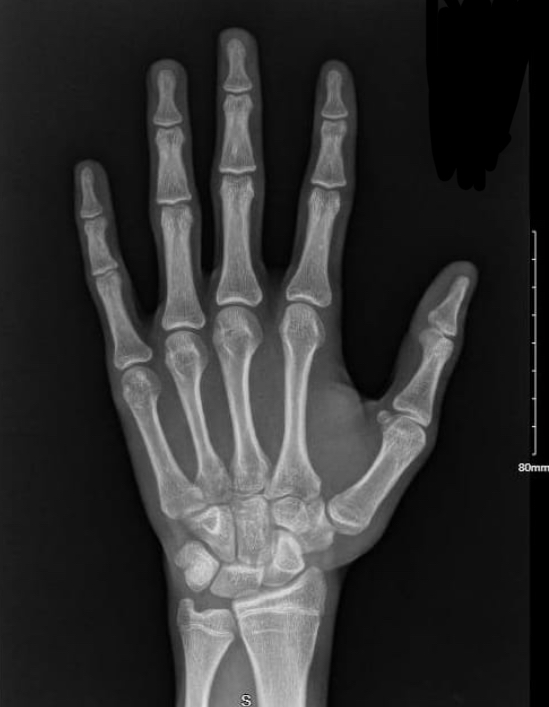
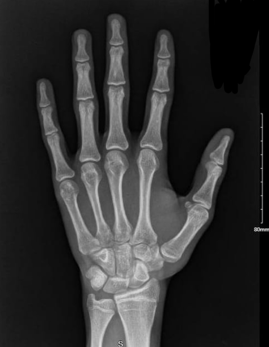
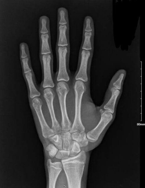
What is my bone age? (Xrays shown)

ImaASCENDsoon

ImaASCENDsoon

Its over
Joined
Jun 17, 2025
Posts
369
Reputation
240
My doctor said its 17 years which means its 14 months older than my chronological age but i want a second opinion from some autist on this forum. Only reply if yk what ur talking abt. Im assuming its 90-95% closed but i hope my planned stack delays its closure

IMG 7225
 

Attachments

  • IMG_7225.jpeg
    IMG_7225.jpeg
    116.9 KB · Views: 0
almost closed, over. maybe 16
 
  • +1
Reactions: egstarbucks
it looks almost fully closed, i can see open plates in your thumb and miniscule amounts in the pinky
maybe you could gain 1-3cm at best
 
  • +1
Reactions: egstarbucks and Stacyslayerᛉ

Similar threads

I
Replies
16
Views
119
Ishaked829
I
foidslayer92910
Replies
10
Views
76
ghoulmania
ghoulmania
M
Replies
18
Views
103
eyezen
eyezen
A
Replies
13
Views
49
khrome
khrome
B
2
Replies
51
Views
297
betabux&surgery
B

Users who are viewing this thread

Back
Top