what is the correct teeth position?

EnviadoVerde

EnviadoVerde

Iron
Joined
Apr 20, 2023
Posts
31
Reputation
39
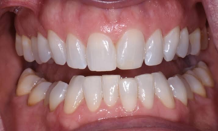
so i have a question: should my teeth touch while I rest them? I've seen some videos that say human teeth should rest on top of each other like pic below
Images 19

but when i do this and i walk my jaw literally goes down and make them hit
I always lived not putting them on top of each other but i saw this is the wrong thing to do actually.
also sorry for bad English
 
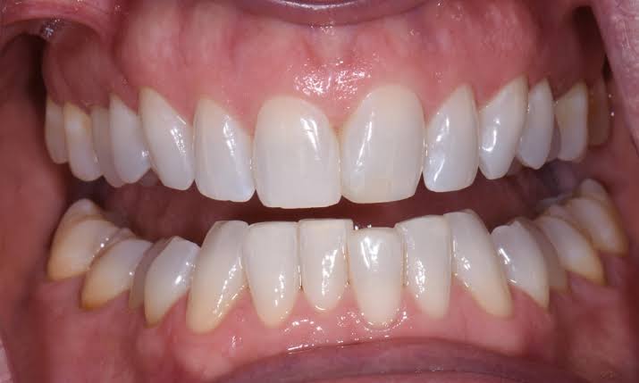
so i have a question: should my teeth touch while I rest them? I've seen some videos that say human teeth should rest on top of each other like pic below
View attachment 2203392
but when i do this and i walk my jaw literally goes down and make them hit
I always lived not putting them on top of each other but i saw this is the wrong thing to do actually.
also sorry for bad English
do you mean the upper teeth completely cover the lower ones? If yes you have a deep bite
 
your teeth are not supposed to touch in neutral, they're supposed to hang a little with your tongue on the roof of your mouth.
 
  • +1
Reactions: Deleted member 15539
You have an OVER bite
 

Attachments

  • images (20).jpeg
    images (20).jpeg
    19.1 KB · Views: 0
Use your tongue for position
how to train your dragon animation GIF
 
they're supposed to be in contact but only lightly. but don't try to force them into a position that may look better to you, just do what's comfortable. also put your tongue on the roof of your mouth.
 
so i have a question: should my teeth touch while I rest them? I've seen some videos that say human teeth should rest on top of each other like pic below
View attachment 2203392
but when i do this and i walk my jaw literally goes down and make them hit
I always lived not putting them on top of each other but i saw this is the wrong thing to do actually.
also sorry for bad English
As long as the bottom teeth aren't in front of the top teeth.
 

Similar threads

R
Replies
5
Views
70
RichZygoRodger
R
Jizzer
Replies
9
Views
137
Jizzer
Jizzer
censoredword
Replies
8
Views
105
censoredword
censoredword
Chef227
Replies
1
Views
58
Ræta
Ræta
ronluk
Replies
23
Views
181
ronluk
ronluk

Users who are viewing this thread

Back
Top