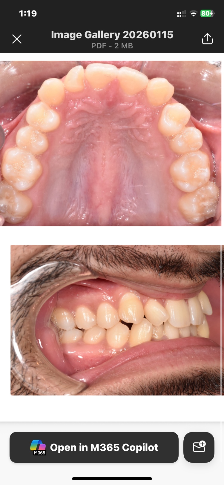
What treatment should I get for my Teeth without causing Recession.

C

chadzay

Iron
Joined
Aug 17, 2024
Posts
162
Reputation
115
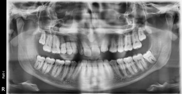
They want me to get elastic braces and see what we do maybe move with invisalign or whatever is best needed for my treatment. If you have decent knowledge in this field respond and give advice for treatment. pls don’t message if u don’t know anything low iq type move
 

Attachments

  • IMG_8177.jpeg
    IMG_8177.jpeg
    226.4 KB · Views: 0
  • IMG_8176.jpeg
    IMG_8176.jpeg
    410.4 KB · Views: 0
  • IMG_8175.png
    IMG_8175.png
    1.7 MB · Views: 0
  • IMG_8210.jpeg
    IMG_8210.jpeg
    145.8 KB · Views: 0
  • IMG_8209.jpeg
    IMG_8209.jpeg
    253.9 KB · Views: 0
They want me to get elastic braces and see what we do maybe move with invisalign or whatever is best needed for my treatment. If you have decent knowledge in this field respond and give advice for treatment. pls don’t message if u don’t know anything low iq type move
What are the braces doing? Are they moving your teeth/jaw forward or backward
What are your elastics doing? are they moving your teeth/jaw forward or backward

Are they extracting teeth?

Give more information
 
If they are moving my jaw back I would know and not continue with him he wanted to do extractions but I told him I wanted to avoid recession so we are doing regular braces.
 

Similar threads

ronluk
Replies
23
Views
191
ronluk
ronluk
puppyboy264
Replies
22
Views
210
Kez Adam
Kez Adam
envy_001
Replies
2
Views
238
Lenix
Lenix
Whatsamaxilla__
Replies
23
Views
237
jester
jester
mewcel420
Replies
5
Views
119
PSLbbc
PSLbbc

Users who are viewing this thread

Back
Top